CANCER DE PULMON Dr Oscar Gonzlez Daz Neumologa

























































































- Slides: 89
CANCER DE PULMON Dr. Oscar González Díaz. Neumología e Inhaloterapia Hospital Civil Juan I. Menchaca
CANCER DE PULMON n EPIDEMIOLOGIA: -En EUA es el segundo proceso maligno en hombres y el 2 do en mujeres. -Ocupa 1 er lugar en incidencia y mortalidad mundial. -En 2008 en México ocupó el 1 er. lugar como causa de muerte (68% hombres). - Tasa de incidencia 62/100, 000 con edad media de aparición de 70 años (SEER USA). - El 80% hombres y el 50% mujeres con CB es atribuible directamente al tabaquismo. - Sobrevida global a 5 años de 16% solamente.
EPIDEMIOLOGIA DEL CANCER PULMONAR FACTORES DE RIESGO 1. - Factores Demográficos/ambientales: . Edad avanzada > 70 años. . Género masculino. . Tabaquismo : 90%. Exposición ocupacional: 8%. Contaminación 2% 3. - Factores Hereditarios: . Agregación familiar. . Síndrome de alto riesgo: 2. - Factores Biológicos: . Diabetes Mellitus 2. Obesidad.
EPIDEMIOLOGIA DEL CANCER PULMONAR n EDAD: Aumenta con rapidez desde <1: 100, 000 antes de los 30 años hasta 329. 9: 100, 000 entre los 70 -74 años. La edad promedio al momento del diagnóstico es de 60 años. n SEXO: Los hombres tienen una probabilidad de 2. 4 veces mayor que las mujeres de presentar Ca pulmonar. n RAZA: Negros 1. 4 : 1 Blancos
EPIDEMIOLOGIA DEL CANCER PULMONAR FACTORES GENETICOS *Antecedentes familiares: Los familiares directos de pacientes con Ca pulmonar tienen un riesgo 2. 4 veces más alta de presentar este cáncer u otro no relacionado con el tabaquismo. *Rasgos genéticos: -La 4 -debrisoquina-hidroxilasa (10 veces mayor); producción de fxs de crecimiento (tipo insulina, transferrina y liberador de gastrina –bombesina-) deleción cromosómica 3 p, 11 p, 13 p; P-450 (isoenzimas CYP 2 D 6 y CYP 1 A 1).
TABAQUISMO Y CANCER PULMONAR *Después de 15 años de suspender el tabaquismo, el riesgo para desarrollar CP es de 1. 5. *El riesgo para desarrollar CP se duplica/triplica en los fumadores pasivos. *Responsable del 25% de los CP en no fumadores. *El contacto de un niño con un fumador durante 25 años duplica el riesgo de sufrir cáncer pulmonar.
EPIDEMIOLOGIA DEL CANCER PULMONAR n TABAQUISMO: *Es la principal causa de cáncer pulmonar. * Los fumadores tienen un riesgo 20 veces mayor de desarrollar CP en comparación con los no fumadores. *Causa el 87% de CP en varones y el 85% en las mujeres. *Se relaciona en 97 -91% (H-M) con el cáncer de células pequeñas (CPCP). *1 de cada 9 fumadores desarrollará CP.
EPIDEMIOLOGIA DEL CANCER PULMONAR n DIETA: Las dietas deficientes en Vit-A y B-caroteno han mostrado aumentar el riesgo de CP en modelos animales y seres humanos. Otros posibles agentes protectores son la Vit-E y el selenio. n EXPOSICION LABORAL: Se han vinculado con mayor riesgo de CP los panaderos, cocineros, obreros de la construccción, mineros, plomeros, impresores, alfareros, caucho, astilleros y los conductores de camiones.
EPIDEMIOLOGIA DEL CANCER PULMONAR ASBESTO: *Responsable del 23% de los casos de CP. *Provocan todos los tipos de CP pero predominan los de células pequeñas y escamosas. *Afecta sobretodo a obreros de astilleros, fabricantes de cemento, plomeros, conductores de camiones.
EPIDEMIOLOGIA DEL CANCER PULMONAR ARSENICO: *Afecta a obreros de fundición, agua de pozo artesano. OTROS IMPLICADOS EN CA DE PULMON: *Cadmio (baterías), cromo (albañiles), clorometil-eter (madererías). *Radón (isótopos alfa), minas de uranio. *Radioterapia. *EPOC, Tuberculosis (8. 8% en un lapso de 10 años), en cicatrices pulmonares (adenocarcinoma).
EXPOSICIONES PROFESIONALES PARA CANCER PULMONAR n n n n n Producción de aluminio Arsénico Asbesto (Pleura, peritoneo) Bisclorometiléter Cromo Silicatos Vinilo y polivinilo Hidrocarburos Fibras minerales sintéticas n n n n Carbón de hulla Gas mostaza Níquel (Senos paranasales) Radón Hollín, alquitrán Formaldehído Berilio Cadmio
CUADRO CLINICO DEL CANCER PULMONAR Asintomático en el 6% de los casos. n Síntomas generales. n La sintomatología se debe a: n a)Crecimiento local del tumor. b)Invasión a estructuras adyacentes. c)Metástasis a distancia. d)Síndromes paraneoplásicos.
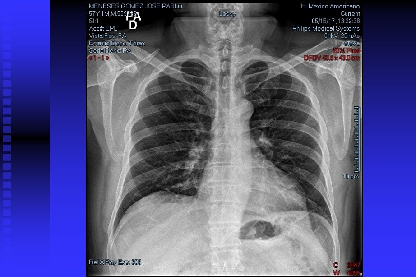
Cancer Pulmonar Rx de Tórax
SINTOMAS GENERALES DEL CANCER PULMONAR • • • Malestar general (80%). Pérdida de peso (66%). Fiebre (21%). Caquexia-anorexia (31%). Inmunosupresión (3%).
SINTOMAS LOCALES DEL CANCER PULMONAR *Se presentan en un 27%. *Tumores de localización central: Tos, hemoptisis, disfonía, estridor, atelectasia, disnea sibilancias, dolor. *Tumores de localización periférica: Tos, dolor en la pared torácica, hombro y brazo (tumor de Pancoast), disnea, derrame pleural (20%), síntomas de absceso pulmonar, Síndrome de Horner (miosis, ptosis, anhidrosis ipsilateral –Tumor de Pancoast-)
SINTOMAS POR INVASION REGIONAL DEL CANCER PULMONAR n n n Ronquera (metástasis linfáticas, compresión del nervio laríngeo –recurrente-). Disnea (parálisis por compresión del nervio frénico). Disfagia (Compresión o metástasis a esófago). Síndrome de vena cava superior (compresión o mets). Taponamiento cardiaco (compresión, derrame pericárdico.
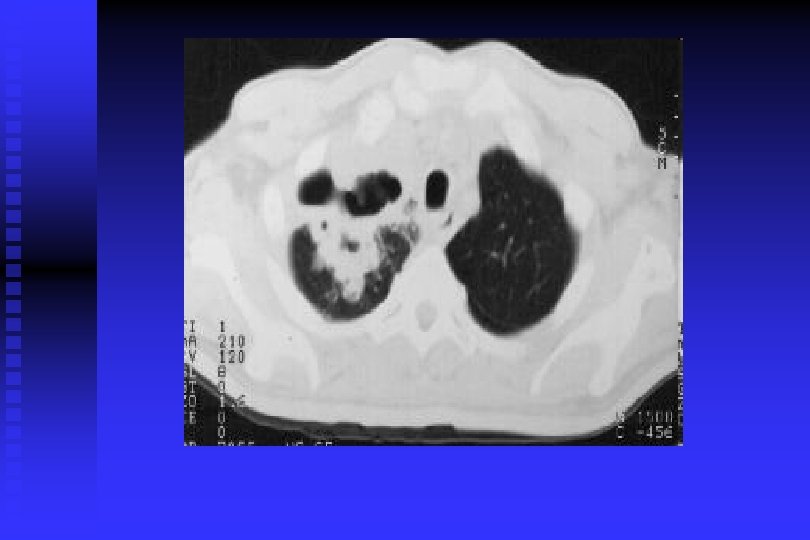
Cancer Pulmonar
SINTOMAS POR METASTASIS DEL CANCER DE PULMON Dependerá de la estructura afectada más los síntomas primarios debidos a la afección local. n Las estructuras que más frecuentemente se afectan son el cerebro, hueso, glándulas suprarrenales, hígado, cadena linfática de la región cervical, supraclavicular y axilar. n
SINDROMES PARANEOPLASICOS EN EL CANCER DE PULMON n CARDIOVASCULARES: Tromboflebitis migratoria, trombosis venosa, endocarditis trombótica no infecciosa, émbolos arteriales. n NEUROMUSCULARES (1 -3%): Degeneración cerebelosa aguda, demencia, encefalitis lím— bica, neuritis óptica, retinopatía, mielopatía crónica subaguda, neuropatía periférica, autonómica y sensitivomotora, síndrome miasténico (Eaton-Lambert), polimiositis.
SINDROMES PARANEOPLASICOS EN EL CANCER DE PULMON n GASTROINTESTINALES: Anorexia, caquexia, síndrome carcinoide. n HEMATOLOGICOS (1 -4%): Eritrocitosis, leucocitosis, CID, anemia, hemorragias. n ENDOCRINOLOGICAS: Producción de hormonas ectópicas: PTH con hipercalcemia (CPCP), ACTH -Síndrome de Cushing-(CPCP), ADH –SIADH- con hiponatrmia.
SINDROMES PARANEOPLASICOAS EN EL CANCER DE PULMON n n SINDROME NEFROTICO. OSTEOARTROPATIA PULMONAR HIPERTROFICA: Adenocarcinoma, células grandes, epidermoide (1 -10%). ACROPAQUIA (29%) DERMATOLOGICOS: Acantosis nigricans, dermatomiositis, eritema anular centrífugo –gyratum-, ictiosis.
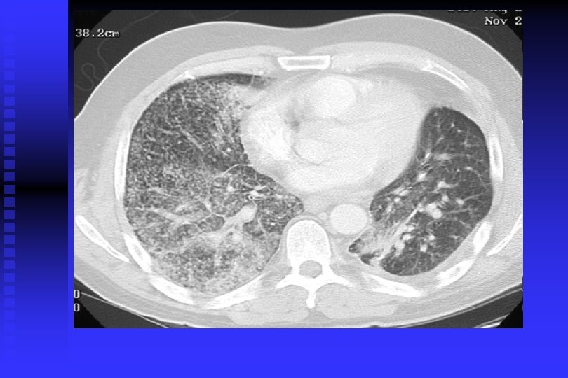
Cancer Pulmon
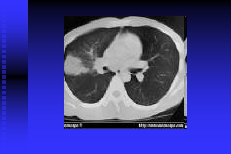
Cancer Pulmonar
CLASIFICACION HISTOLOGICA DE LOS TUMORES MALIGNOS DEL PULMON n CARCINOMA DE CELULAS ESCAMOSAS. n CARCINOMA DE CELULAS PEQUEÑAS. n ADENOCARCINOMA. n CARCINOMA DE CELULAS GRANDES. n CARCINOMA ADENOESCAMOSO.
CLASIFICACION HISTOLOGICA DEL CANCER PULMONAR n Carcinoma de Células Escamosas: a) Variedad de células fusiformes. n Carcinoma de Células Pequeñas: a) Variedad de Células de Avena. b) Variedad de Células Intermedias. c) Variedad de Células Combinadas.
CLASIFICACION HISTOLOGICA DEL CANCER PULMONAR Adenocarcinoma: a) Acinar. c) Bronquioloalveolar. b) Papilar. d) Secretora de mucina. Carcinoma de Células Grandes: a) Variedad de Células Gigantes. b) Variedad de Células Claras. Carcinoma Adenoescamoso:
Cancer Pulmonar
CANCER DE PULMON Es posible encontrar hasta 2 tipos de tumor hasta en el 10% de los casos. n El cáncer es más común en el pulmón derecho y en los lóbulos superiores. n Existe un riesgo significativo de un segundo tumor primario de pulmón sicrónico (1 -7%) y de un tumor metacrónico (10%). n
CARCINOMA DE CELULAS ESCAMOSAS Representan el 33 -64% de todos los CP. n La mayoría tiene una localización central. n Afecta bronquios principales. n Causa obstrucción bronquial, atelectasia, lesiones cavitadas y neumonía. n Es más frecuente en varones. n Mets a linfáticos hiliares y mediastínicos. n
CARCINOMA DE CELULAS PEQUEÑAS n n n Representa el 19 -35% de todos los CP. Se originan en la submucosa bronquial Está típicamente localizado en la vía aérea, en el bronquio principal ó lobar. Metastatizan en forma rápida y amplia: médula ósea (1015%), hipófisis (15%), tiroides (8%), los testículos (7%), paratiroides (1%). Las mets óseas pueden ser osteoblásticas. Tiene estrecha relación con el tabaquismo.
ADENOCARCINOMA PULMONAR n n n n La mayoría se presenta en la periferia y puede no asociarse con la vía aérea. Cuando se presenta en la vía aérea es muy dificil de diferenciar del carcinoma epidermoide. Tiende a invadir la pleura subyacente. Se origina de las glándulas mucosas del epitelio de los bronquios y de los bronquiolos, zonas de fibrosis. Puede asociarse a Linfoma de Hodgkin. Es más frecuente en mujeres. Representa el 15 -35% de los CP. Tiene gran capacidad metastásica y es mucho más agresivo que el carcinoma epidermoide
CARCINOMA DE CELULAS GRANDES n n n n Representan el 2 -5% de todos los CP. Generalmente son periféricos y voluminosos con múltiples focos de necrosis y pueden cavitarse hasta en un 20 -30% de los casos. Su diagnóstico es por exclusión. Las metástasis son tardías. El pronóstico es similar al adenocarcinoma. La variedad de células gigantes causa rápidamente la muerte. La variedad de células clara puede confundirse con un Ca renal metastásico a pulmón.
CARCINOMA ADENOESCAMOSO *La incidencia varía según el método para realizar el diagnóstico si se emplea microscopio electrónico, si se utiliza hallazgos ultraestructurales para el tipado, el dx es de aprox 46% de todos los CP. *Si se emplea el microscospio de luz el dx es del 0. 4 -4%. *Generalmente son periféricos. *Pueden ser indistinguibles del adenocarcinoma o del carcinoma de células grandes.
OTROS TUMORES MALIGNOS DEL PULMON n n n DISPLASIA (carcinoma in situ). TUMORES DE TEJIDOS BLANDOS. MESOTELIONA MALIGNO: a) Epitelial (túbulopapilar). b) Mesenquimatoso (fibrosarcomatoso). c) Mixto. n TUMORES MISCELANEOS: a) Carcinosarcoma. b) Blastoma pulmonar. c) Melanoma maligno. d) Linfoma maligno. Etc. . .
Cancer Pulmonar
LOCALIZACION DEL CANCER PULMONAR SEGÚN EL TIPO HISTOPATOLOGICO CARACTERISTICAS HISTOLOGICAS Células Escamosas LOCALIZACION CENTRAL LOCALIZACION PERIFERICA 64 -81% 19 -36% Adenocarcinoma 5 -29% 71 -95% Células Grandes 42 -49% 51 -58% Células Pequeñas 74 -83% 17 -26% 63 % 37 % Global
EFECTO DEL TIEMPO DE DUPLICACION TUMORAL EN LA EVOLUCION DEL CANCER PULMOINAR Histología Tiempo medio de duplicación (días) Años transcurridos desde la transformación maligna hasta aparición de masas tumorales clínicamente evidentes 1 cm 3 cm ** 10 cm Cel. Pequeñas 29 2. 4 2. 8 3. 2 Cél. Grandes 86 7. 1 8. 2 9. 4 Epidermoide 88 7. 2 8. 4 9. 6 Adenocarcinoma 161 13. 2 15. 4 17. 6 **Con este volumen tumoral sobreviene la muerte del paciente.
DISEMINACION METASTASICA DEL CANCER PULMONAR n EXTENSION DIRECTA: Pleura visceral, parietal, pricardio, grandes vasos, pared torácica, diafragma y columna vertebral. n LINFATICA: Bronquiales, hiliares; Tumores derechos: carina, traqueobronquiales, paratraqueales; Tumores izquierdos: traqueobronquiales, ventana aórtica y mediastinales anteriores. n HEMATOGENA: No respetan ningún órgano.
Cancer Pulmonar
ESTADIFICACION DEL CANCER PULMONAR NO DE CELULAS PEQUEÑAS MEDIANTE EL SISTEMA TNM n. T Tumor primario n. N Nodulos linfáticos regionales n. M Metástasis a distancia.
ESTADIFICACION TNM T (Tumor primario) n n n T 0 : Tx : Sin evidencia de tumor primario. Tumor demostrado por la presencia de células malignas en las secresiones broncopulmonares pero no se visualizan en Rx ni broncoscopicamente. Tis : Carcinoma in situ.
ESTADIFICACION TNM DEL CANCER PULMONAR ESTADIO T 1 Rodeado de pulmón o pleura visceral. n Tumor de 3 cm o < en su diámetro mayor. n Sin evidencia de invasión proximal al bronquio lobar por fibrobroncoscopía n
ESTADIFICACION TNM DEL CANCER PULMONAR ESTADIO T 2 *Tumor de 3 cm ó más de diámetro. *Invade la pleura visceral y produce atelectasia o neumonitis obstructiva. *La FBC demuestra invasión a bronquio lobar ó al menos a 2 cm distal a la carina. *La atelectasia y la neumonitis no afectan a un pulmón entero.
ESTADIFICACION TNM PARA CANCER PULMONAR ESTADIO T 3 n n Tumor de cualquier tamaño. Invade pared torácica, diafragma, pleura mediastinal o el pericardio. O un tumor en el bronquio principal (BP) a 2 cm de la carina sin afectación de la misma. Puede asociarse a neumonitis obstructiva y/o atelectasia del pulmón entero.
ESTADIFICACION TNM DEL CANCER PULMONAR ESTADIO T 4 n n n Tumor de cualquier tamaño. Invade el mediastino afectando corazón, grandes vasos, tráquea, esófago, cuerpo vertebral o carina o presencia de derrame pleural y/o pericárdico de característicasas malignas. Cuando la etiología del derrame pleural no es por el tumor, no se clasifica en este estadío y debe de reclasificarse como T 1, T 2 ó T 3.
CLASIFICACION TNM PARA CANCER PULMONAR NODULOS LINFATICOS n n N 0: No hay mets a linfáticos regionales. N 1: Mets peribronquiales o región hiliar ipsilateral o ambos, y nódulo intrapulmonar involucrado por extensión directa del tumor primario. N 2: Mets a ganglios mediastínicos y subcarinales ipsilaterales N 3: Mets a ganglios mediastínicos e hiliares contraleterales, a escalenos ipsi y contralaterales o supraclaviculares.
CLASIFICACION TNM PARA CANCER PULMONAR METASTASIS A DISTANCIA n Mx: M 0: n M 1: n No se conoce la presencia de metástasis a distancia. No existen metastasis a distancia. Existen metástasis a distancia.
ESTADIFICACION DEL CANCER PULMONAR DE CELULAS NO PEQUEÑAS ESTADIO T N M SOBREVIDA A 5 AÑOS IA 1 67% IB 2 57% IIA 1 1 55% IIB 2 -3 1 39% IIIA 1 -3 1 -2 23 -25% IIIB 01234 123 IV 01234 0123 3 -7% 1 1% Revisions in the International System for Stating Lung Cancer. Chest 1997, 111: 1710 -7.
ESTADIFICACION DEL CANCER DE DE PULMON DE CELULAS PEQUEÑAS n ENFERMEDAD LIMITADA: -Limitada a un hemitórax. -Mets a ganglios ipsi y contralaterales hiliares y mediastínicas. -Ganglios supraclaviculares o derrame pleural ipsilateral o todos sin importar si se demuestra malignidad o no en la citología. n ENFERMEDAD EXTENSA: -Pacientes con afección en sitios no elegibles para definir una enfermedad limitada.
Cancer Pulmonar
DIAGNOSTICO DIFERENCIAL DEL CANCER DE PULMON n n n Nódulo pulmonar benigno. Tuberculosis Hongos Parásitos (Echinococcus). Pseudotumor. Quiste broncogénico. Malformaciones arteriovenosas. Hamartomas. Hemangiomas. Tumores papilares. Mesoteliomas benignos. n n n Mesotelioma maligno Edema agudo de pulmón, ICCV. C. extraños inta/extratorácicos. Cáncer metastásico. Adenomas bronquiales. Abscesos pulmonares. Hematomas e infarto pulmonar. Sombras del pezón. Prótesis de mama. Derrame pleural loculado. Granulomatosis de Wegener.
DIAGNOSTICO DE CANCER PULMONAR RADIOGRAFIA DE TORAX: Permite descubrir CP en asintomáticos en 67 -82% y de estos el 24% tiene citología de esputo anormal. TOMOGRAFIA DE TORAX: Sensibilidad del 85% para CP y una especificidad del 95%. Per– mite descartar causas benignas de nódulos pulmonares con uni – dades Hounsfield >175= benigno; adenopatías <1 cm= benignos; 1 -2 cm= Indeterminado, >2 cm= positivo. Permite conocer actividad metastásica, y para estadificación (S= 73% y E= 80%).
DIAGNOSTICO DEL CANCER PULMONAR CITOLOGIA DE ESPUTO: *Es dx en un 47 -78% cuando la muestra es espontánea, aumenta con la inducción de expectoración. *Dx tumores de origen central y de gran tamaño. *El más comunmente dx es el escamoso. *Esputo de la mañana de 3 días consecutivos. *Precaución con falsos positivos.
Cancer Pulmonar
DIAGNOSTICO DEL CANCER PULMONAR BRONCOSCOPIA: *Evidenciará malignidad en más del 90% de los tumores visibles, cuando las lesiones son necróticas ó compresivas, la BTB incrementa el dx hasta 97%. *Con la BTB el riesgo de hemoptisis es del 3. 7%, y de neumotórax hasta en un 5. 5% de los pacientes.
DIAGNOSTICO DEL CANCER PULMONAR BRONCOSCOPIA: *En tumores periféricos es <60% y disminuye a menos del 30% si la lesión es mernor de 2 cm, mediante fluroscopía el dx se incrementa hasta el 80%. *Morbilidad= 0. 15%, Mortalidad= 0. 05%.
DIAGNOSTICO DE CANCER PULMONAR n BIOPSIA PERCUTANEA (BAAF): - Esta indicada en caso de tumores periféricos con cito logía de esputo no diagnóstica. - Su rentabilidad supera el 90% incluyendo lesiones de 2 cm ó menos. - El riesgo de neumotórax es del 12 -30% y requieren colocación de SEP en 3 -15%, la hemoptisis es rara y escaza.
DIAGNOSTICO DEL CANCER PULMONAR n n n BIOPSIA DE GANGLIO LINFATICO ESCALERNO: Indicado en adenopatía supraclavicular palpable o de tumores del lóbulo superior porque en otras situaciones sólo del 4 al 10% genera hallazgos positivos. Complicaciones: Infección, hemorragia, neumotórax, lesión del N. Frénico, del laríngeo recurrente y del con – ducto torácico.
DIAGNOSTICO DEL CANCER PULMONAR n MEDIASTINOSCOPIA: n n n Adenopatías por TAC mayores de 1 cm. Y permiten establecer estadiaje. No es posible biopsiar ganglios aortopulmonares ni hiliares anteriores. El 42% de las lesiones centrales y 30% de los periféricos presentan mets ganglionares durante la mediastinioscopía. ***Los hallazgos negativos se asocian con una tasa de resección curativa del 88%
MEDIASTINOSCOPIA EN CANCER PULMONAR PARAESTERNAL ANTERIOR: n Procedimiento de Chamberlain. n Evaluación del mediastino izquierdo, hilio y ventana Aorto-Pulmonar. n Investigar mets ganglionares y extensión tumoral directa. n
MEDIASTINOSCOPIA EN CANCER PULMONAR CONTRAINDICACIONES: n Extenso compromiso ganglionar ipsilateral extracapsular. n Mets ganglionarespor encima de la porción media de la tráquea, mediastino anterior o contralateral. n Mets fijas o mets que invaden el segmentgo proximal de la arteria pulmonar. n
MEDIASTINOSCOPIA EN CANCER PULMONAR n COMPLICACIONES: Se presentan en el 1. 6%, mortalidad 0. 08%. n Hemorragia, mediastinitis, lesión del NLR, perfo - ración esofágica, bradicardia, IAM, EVC, embo — lia gaseosa. n
Cancer Pulmon
TRATAMIENTO DEL CANCER PULMONAR DE CELULAS NO PEQUEÑAS 1. - QUIRURGICO. 2. - RADIOTERAPIA. 3. -QUIMIOTERAPIA. 4. - AC. MONOCLONALES 5. - INMUNOTERAPIA
TRATAMIENTO QUIRURGICO DEL CANCER PULMONAR NO DE CELULAS PEQUEÑAS INDICACIONES: n a). Nódulo pulmonar solitario. n b). Cáncer de Pulmón oculto. n c). Cáncer de Pulmón Comprobado. n *Estadíos IA a IIIA por T 3 no por N 2. n d). Como tratamiento paliativo. n
CIRUGIA EN CANCER PULMONAR n RESECCION SEGMENTARIA: **Estadíos IA-IIB, recurrencia del 12 -19%, tasa de mortalidad del 6%. n LOBECTOMIA: **De elección en estadío II, recurrencia local del 7 al 16%, mortalidad del 7%. n NEUMONECTOMIA: **De elección en estadíos IIIA.
CONTRAINDICACIONES MEDICAS Y QUIRURGICAS DE CIRUGIA EN CANCER PULMONAR n SINTOMAS: -SVCS -Ronquera -Sx Horner n HALLAZGOS: -Histología de Células Pequeñas -Tumor a menos de 2 cm de la carina -Tumor endobronquial bilateral -Compromiso de la arteria pulmonar, pericardio -Derrame pleural maligno -Metástasis a distancia
CONTRAINDICACIONES MEDICAS Y QUIRURGICAS DE CIRUGIA EN CANCER PULMONAR n n CONTRAINDICACIONES MEDICAS: -VEF 1 <0. 8 lts. -VEF 1 =0. 9 – 2. 4 lts con reserva pulmonar insuficiente para compensar la resección requerida. -IAM en los últimos 3 meses.
MEDIASTINOSCOPIA EN CANCER PULMONAR CONTRAINDICACIONES: n Extenso compromiso ganglionar ipsilateral extracapsular. n Mets ganglionarespor encima de la porción media de la tráquea, mediastino anterior o contralateral. n Mets fijas o mets que invaden el segmento proximal de la arteria pulmonar. n
CONTRAINDICACIONES PARA CIRUGIA n n n Metástasis extra torácicas Síndrome de vena cava superior Parálisis de la cuerda vocal y nervio frénico Derrame pleural maligno Taponamiento cardíaco Tumor < de 2 cm de la carina Metástasis a tumor contralateral Tumor endo bronquial bilateral Metástasis en ganglios supraclaviculares Metástasis en ganglios mediastinales contralaterales Compromiso de la arteria pulmonar principal
RADIOTERAPIA EN CANCER PULMONAR DE CELULAS NO PEQUEÑAS n RADIOTERAPIA PRIMARIA: *Intención curativa en estadíos I-II que rechazan la cirugía; adyuvante y paliativa en estadíos IIIA-IIIB. Dosis de 5, 500 a 6000 c. Gy. Tasa de recurrencia del 30%, a pesar de RT 75% tiene mets y 10% sobrevive menos de 5 años. n RADIOTERAPIA COADYUVANTE: *Preoperatoria, intraoperatoria, posoperatoria.
QUIMIOTERAPIA EN EL CANCER DE PULMON DE CELULAS NO PEQUEÑAS CARCINOMA PRIMARIO DE PULMON: *CF, 5 -FU, Mostaza nitrogenada, Vinblastina. *Cisplatino + VP 16. QUIMIOTERAPIA COADYUVANTE: *Preoperatorio: CSP+VP 16, CSP+MC, VI ó CF + Doxo. *Respuesta: 56 -75%, > sobrevida de EC I-IIIA. QUIMIOTERAPIA POST-OPERATORIA: *CF, Dx, CSP, producen > de la sobrevida a 5 años en 5 -8%.
QUIMIOTERAPIA EN EL CANCER DE PULMON DE CELULAS PEQUEÑAS • CF, Dx, VP 16, Mtx y V producen como agentes sólos respuestas parciales en el 30 -90% pero la mortalidad a un año no se ha modificado. • La terapia combinada ha incrementado la sobrevida de 7 a 11 meses, y libre de enfermedad durante 2 años en el 5%. La mejor combinación es CSP y VP 16.
CARCINOMA DE CELULAS PEQUEÑAS
TASAS DE RECURRENCIAS A UN AÑO DESPUES DE QUIMIOTERAPIA SOLA ESTADIO RECURRENCIA I 30 -36% II 68 -80% III 80 -95% IV > 95%
Gracias