The American Association for Thoracic Surgery guidelines call

  • Slides: 70
Download presentation

The American Association for Thoracic Surgery guidelines call for Annual lung cancer screening with

The American Association for Thoracic Surgery guidelines call for Annual lung cancer screening with low-dose computed tomography screening for North Americans from age 55 to 79 years with a 30 pack-year history of smoking. Long-term lung cancer survivors should have annual low-dose computed tomography to de tect second primary lung cancer until the age of 79 years. Annual low-dose computed tomography lung cancer screening should be offered starting at age 50 years with a 20 pack-year history if there is an additional cumulative risk of developing lung cancer of 5 % or greater over the following 5 years.

Lung nodule analysis • Evaluating Pulmonary Nodules Pulmonary nodules ≤ 4 mm have a

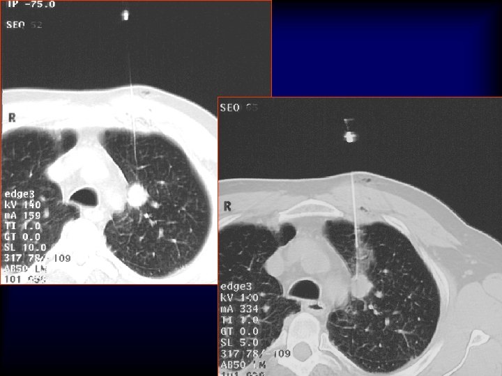
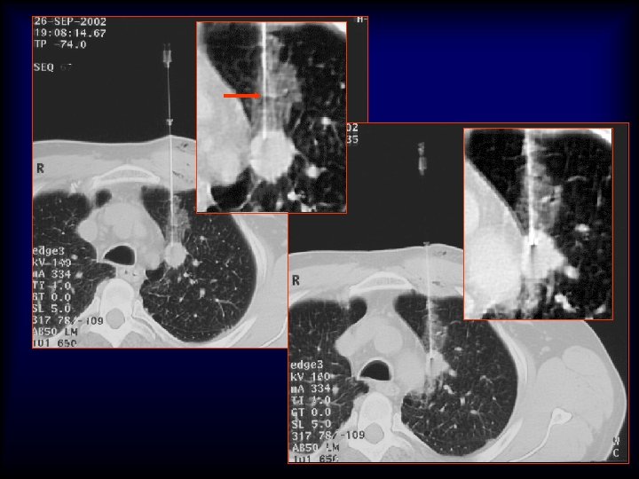
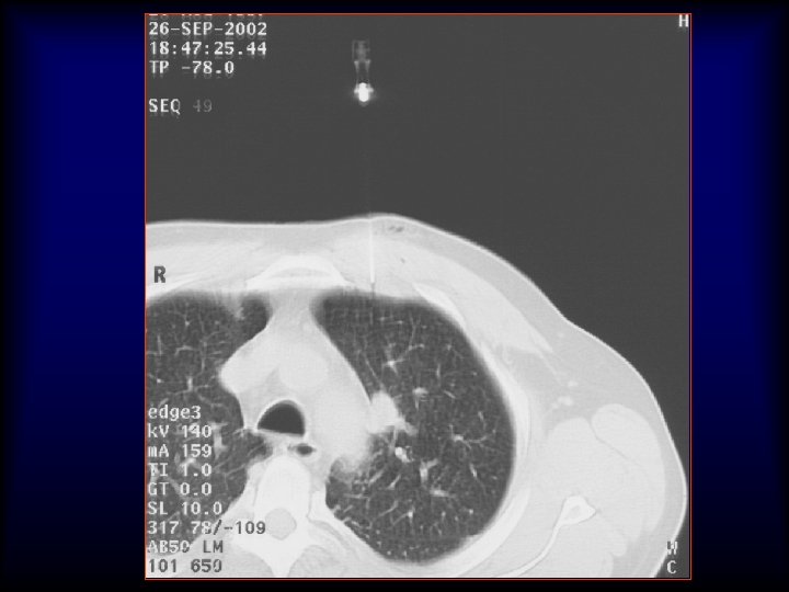
Lung nodule analysis • Evaluating Pulmonary Nodules Pulmonary nodules ≤ 4 mm have a low risk of being cancerous; nodules between 4 -8 mm are of intermediate risk for cancer; follow up CT scans for both categories are recommended on different schedules • Pulmonary nodules >8 mm and mixed solid/ground glass nodules are suspicious for cancer; percutaneous needle aspiration biopsy (PNAB), positron emission tomography (PET), or video assisted thoracic surgery (VATS) should be considered

Advanced Lung analysis 1. Μεταβολή του μεγέθους (Volume) του όγκου Ø Γρήγορο doubling time

Advanced Lung analysis 1. Μεταβολή του μεγέθους (Volume) του όγκου Ø Γρήγορο doubling time Authors of a number of other series (20, 21) have confirmed similar findings and have estimated the median tumor doubling times, assuming a constant growth rate to be in the 160– 180 -day range.

Dynamic Contrast Enhanced MRI

Dynamic Contrast Enhanced MRI

Dynamic Contrast Enhanced MRI

Dynamic Contrast Enhanced MRI

FDG-PET/CT vs 3 T MRI

FDG-PET/CT vs 3 T MRI

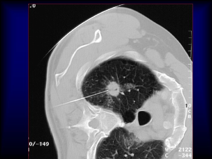
20 G/9 cm/10 T x 25 x 40 x 200 5 mm Adenocarcinoma H&E

20 G/9 cm/10 T x 25 x 40 x 200 5 mm Adenocarcinoma H&E

Mοριακοί δείκτες που εμπλέκονται στη θεραπεία του Ca πνεύμονα 1. Receptor Tyrosine Kinase Growth

Mοριακοί δείκτες που εμπλέκονται στη θεραπεία του Ca πνεύμονα 1. Receptor Tyrosine Kinase Growth Factors Erb. B-1 (EGFR) Erb. B-2 (Her-2/neu) 2. Peptide Growth Factors Neuropeptides 3. Ras, Raf, kit signaling 4. Retinoid Acid Receptor β 5. Eicosanoid pathways Cox-2 6. Apoptotic markers Fas, Bcl-x. L, Bcl-2, Survivin Bax, capsase-3 7. Proliferative markers Rb, p 16, cyclin E Ki-67 8. Angiogenesis markers VEGF, Angiostatin, MMP 2, 9 TIMP 1, 2 Θεραπευτικοί στόχοι Ναι Ναι ? Ναι Ναι Μη σχετιζόμενοι

Response Evaluation in Solid Tumors - RECIST

Response Evaluation in Solid Tumors - RECIST

CT perfusion

CT perfusion

CT perfusion

CT perfusion