TEHNICI MODERNE DE IMAGISTICA ELASTOGRAFIA Dr Andriescu Catalin













































- Slides: 45
TEHNICI MODERNE DE IMAGISTICA – ELASTOGRAFIA Dr. Andriescu Catalin
� � � Ecografia standard 2 D evalueaza detalii anatomice ale diferitelor structuri pe baza impedantelor diferite. Mai tirziu a aparut tehnica Doppler, care apreciaza elementele in miscare (fluxul sangvin). Tehnica elastografiei, adauga o noua dimensiune a examinarii: masurarea elasticitatii tesuturilor. Elastografia este considerata a fi cel mai important pas in evolutia ecografiei, de la implementarea tehnicii Doppler.
� Ce este Elastografia ? – “palpare virtuala”
� � � In 1995 Cathelin & colab. au realizat primul echipament de elasografie 1 D cu care se putea aprecia elasticitatea/duritatea unui tesut iar in 2001, firma Ecosens dezvolta si comercializeaza un astfel de dispozitiv sub denumirea de Fibroscan. In paralel, 1997 cercetatorii de la Institul Langevin au extins tehnica de elastografie 1 D la tehnica 2 D. Primele experinte in vivo, pe voluntari, au fost facute in 2003 la Institutul Curie. Achizitia imaginii era de 5000 cadre/s dar imaginea avea o calitate modesta. In 2004, firma Supersonic dezvolta aceasta idee si introduce doua concepte noi: acoustic radiation force si ultrafast imaging. Ideea de a combina cele doua notiuni ii apartine lui Armen Sarvazian care este considerat parintele elastografiei moderne - share wave.
Elastografia: - � � -metoda neinvaziva, repetitiva si complexa de diagnostic, -se adreseaza atit organului in intregime cit si leziunilior focale: De exemplu: elastografia hepatica (adresata ficatului in intregime) este folosita pentru a investiga rigiditatea ficatului, indicativ de fibroza sau steatoza, care la rândul lor indică numeroase condiţii de boală, inclusiv hepatita si ciroza. Mai mult - elastografia este deosebit de utila, pentru că atunci când fibroza este difuză, o biopsie poate pierde cu uşurinţă zonele afectate, si prin urmare poate duce la o eroare de diagnostic.
� Elastografia leziunilor focale este folosita pentru depistarea si diagnosticul tumorilor de san, ficat, tiroida, prostata, intestin, testicol etc. Anumite tipuri de elastografie sunt de asemenea utile pentru imagistica musculoscheletala, şi pot evalua proprietăţile fiziologice ale muşchilor şi tendoanelor etc.
Elasograma tri-dimensionala de prostata – formatiunea tumorala colorata in nuante de rosu.
� � Elastografia are un rol major in diferentierea benign/malign. O tumoră canceroasă este de 10 -100 de ori mai dură si deci mai incompresibila comparativ cu ţesutul normal.
Tehnici de elastografie: � � � Elastografia Strain (cvasistatica), Elastografia ARFI - acoustic radiation force impulse imaging implementata de firma Siemens, Elastografia SWEI - Share wave elasticity imaging-implementata de Supersonic, � Elastografia - SSI-supersonic share imaging, � Elastografia tranzitorie - Fibro-Scan-ul.
ELASTOGRAFIA STRAIN � � Reprezinta pionieratul in elastografie, in 1997 cercetatorii de la Institul Langevin au extins tehnica 1 D la cea 2 D, In aceasta metoda, se comprima ritmic, cu sonda, tesutul studiat si se compara imaginea obtinuta prin compresie-repetata cu imaginea initiala:
� Elastografie strain realizata prin compresie manuala, (carcinom mamar ductal invaziv).
EVALUAREA ELASTOGRAFIEI STRAIN Se realizeaza prin: - SCORUL UENO sau SCORUL TSUKUBA, - STRAIN RATIO, !!! nu prin determinre cantitativa (exprimata in k. Pa sau m/s);
SCORUL UENO Clasifica in 6 categorii elasticitatea(duritatea) formatiunilor mamare. Scorul se stabileste prin suprapunerea aspectului elastografic al leziunii peste cel din ecografia conventionala – apreciaza distributia elasticitatii in interiorul si in jurul formatiunii mamare identificate ecografic. Semnificatie clinica: Probabilitatea unui cancer mamar creşte o dată cu creşterea scorului UENO. In general, un scor de 1 -3 corespunde cel mai frecvent unei leziuni benigne, în timp ce scorul 4 şi mai ales 5 sugerează prezenţa unei tumori maligne.
STRAIN RATIO Reprezinta raportul dintre elasticitatea leziunii şi elasticitatea ţesutului mamar normal adiacent. În general, un raport ≥ 5 ridică suspiciunea unui cancer mamar
Dezavantajele metodei STRAIN sunt reprezentate de: � � � imposibilitatea vizualizarii organelor profunde, deplasarea organelor studiate in afara sau in interiorul imaginii de factori care tin de experienta examinatorului.
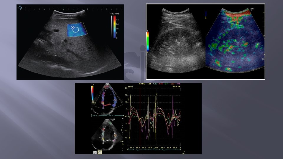
ARFI(Acoustic Radiation Force Impulse) � � Utilizeaza ultrasunetele pentru a crea o harta 2 D a duritatii tesuturilor, iar imaginea este analizata intr-o singura regiune de interes. Push-ul este generat de forta impulsului radiatiei acustice in lungul axului de propagare a fascicolului de ultrasunete,
Elastografie hepatica ARFI, realizata cu un echipament Siemens - viteza undelor de forfecare, in interiorul ROI este de 1, 07 m/s -ficat sanatos.
ARFI – in scala de gri: (A) pacient sanatos, viteza de propagare este de 1, 2 m/s in interiorul ROI (B) pacient cu ciroza, viteza de propagare este de 1, 6 m/s
SWEI(Share Wave Elasticity Imaging) Similar cu ARFI, push-ul este produs de fascicolul de ultrasunete al transductorului, si se creaza o harta 2 D a duritatii tesutului:
Spre deosebire de ARFI, in aceasta tehnica undele sunt perpendiculare pe directia de propagare a fascicolului de ultrasunete, iar cuantificarea se realizeaza in k. Pa.
Relatia de echivalenta, (exprimata cantitativ), intre ARFI si elastografia tranzitorie:
Shear wave realizata cu un echipament Supersonic gradul de fibroza este exprimat in kilopascali. (pacient cu hepatita C)
SW-realizata cu un echipament GE - se observa ca sau facut 9 determinari in doua regiuni de interes Q-box 1 si Q-box 2 calculinduse ulterior media duritatii hepatice in esantionul studiat.
Fig. (A)Shear wave in scala de gri, este realizata cu un echipament ecografic Philips, abord intercostal. Indicatorul de elasticitate arata o valoare de 3. 135 k. Pa(normal) Fig. (B)share wave a unui ficat dur calibratorul de duritate indica 8, 91 k. Pa
� � � (A) Ecografie 2 D in scala de gri evidentiaza modificarile cirotice cu ascita perihepatica. (B) Elasticitatea hepatica, are o valoare de 42. 6 k. Pa de 8 ori valoarea normala. (C) Gradientul presional, la nivel portal, este de 26. 3 mm. Hg (N=10 mm. Hg) valoare care sugereaza o hipertensiune portala severa.
SSI(Supersonic Share Imaging) � � � Una din cele mai avansate metode de elastografie ce creaza o harta 2 D, color, in timp real, a elasticitatii unui tesut. Are implementate doua inovatii: prima ar fi faptul ca foloseste simultan mai multe push-uri invecinate iar a doua, consta in viteza foarte mare de procesare a imaginii (peste 10. 000 cadre/s). Este deasemeni o metoda cantitativa, utilizata in elastografia de inalta rezolutie pentru sin, tiroida, ficat, prostata, testicol, musculoscheletal etc.
Imagine Supersonic shear-wave: � (A) - albastru inchis reprezinta tesutul hepatic normal; si � (B) - imaginea unui ficat cirotic-albastru-verzui deschis. Q-box reprezinta zona pe care s-a calculat media duritatii tesutului hepatic.
� � Fig. (A)Ecografie 2 D in scara gri prezinta un ficat cu ecogenitate modificata, Fig. (B) imagine realizata prin tehnica elastografica SSW arata o duritate de 10. 3 k. Pa Sase luni mai tirziu, starea pacientului se imbunatateste. Fig. (C) In scala de gri, parenchimul hepaticare aspect asemanator cu cel anterior dar duritatea ficatului – Fig. (D) scade la 6 k. Pa.
� � Supersonic-share wave - se evidentiaza gradul de contractie (deci cresterea rigiditatii), muschiului abductor digiti minimi(A) si al primului dorsal interosos(B). Aceasta tehnica poate fi utilizata si in evaluarea contractilitatii musculare
Elastografia tranzitorie - Fibro-Scan � � Validata de numeroase studii clinice, elastografia tranzitorie, exprima cantitativ, unidimensional(1 D), elasticitea tesutului hepatic, Principiul de baza este acelasi, tehnica share wave si se realizeaza cu ajutorul unui echipament numit Fibro-scan:
Imaginea obtinuta - Fibro. Scan cu abord intercostal, gradul de fibroza este exprimat in k. Pa
Comparativ o elastografie a unui pacient sanatos (A) undele de forfecare sunt relativ incetinite si duritatea tesutului este scazuta. La un pacient cu ciroza (B) undele de forfecare sunt mai rapide iar duritatea tesutului este mai mare, (panta mult mai abrupta).
Valori normale: � � In mod normal valorile trebuie sa se incadreze intre 5. 5± 1. 6 k. Pa. Varsta nu influenteaza valorile, dar valorile sunt mai mari la barbati 5. 8± 1. 5, comparativ cu femeile 5. 2± 1. 6 k. Pa. La persoanele cu BMI > 30 kg/m 2, valorile normale sunt 6. 3± 1. 9 pentru barbati si 5. 4± 1. 5 k. Pa pentru femei. Fibroza in hepatita cronica este evaluata, prin biopsie, in 4 grade, F 1 -F 4: Valori patologice: � � F 1 < 7 k. Pa - se poate confunda cu ficatul normal F 2>7, 1 k. Pa F 3> 9, 5 k. Pa F 4 (ciroza)> 12, 5 k. Pa
� Corelatia dintre valorile duritatii si scorul Metavir:
Avantajele fibro-scan-ului: -Este o tehnică rapidă, nedureroasa, reproductibila, esantionul stiudiat este mai mare decit la punctia biopsie; -Oferă o precizie buna de diagnostic; exista numeroase studii; -Poate fi urmarita evolutia in dinamica a unei afectari hepatice; -Rezultatul este disponibil imediat; -Fibro-scan este o metoda ieftina:
Limitele Fibro-scan: - măsurătorile sunt dificil de realizat atunci când spaţiile intercostale sunt înguste, peretele toracic este gros, in caz de obezitate, şi sunt imposibile în prezenţa ascitei. - parenchimul hepatic nu este vizualizat in totalitate (limitare majoră) in ficat pot fi zone heterogene, fatty free area, zone de steatoza si zone mai mult sau mai puţin fibrotice; - partea stângă a ficatului nu poate fi examinata; - aparatul este costisitor; - sistemul nu a fost cuplat cu "ecografie clinică standard" si nu poate furniza date despre examenul morfologic al ficatului.
BIBLIOGRAFIE: � Wells, P. N. T. (June 2011). "Medical ultrasound: imaging of soft tissue strain and elasticity". Journal of the Royal Society, Interface 8 (64): 1521– 1549. line feed character in |title= at position 54 � Sarvazyan A, Hall TJ, Urban MW, Fatemi M, Aglyamov SR, Garra BS. . Current Medical Imaging Reviews, 2011, 7(4): 255 -282. � Ophir, J. ; Céspides, I. ; Ponnekanti, H. ; Li, X. (April 1991). "Elastography: A quantitative method for imaging the elasticity of biological tissues". Ultrasonic Imaging 13 (2): 111– 134. � Parker, K J; Doyley, M M; Rubens, D J (February 2011). "Imaging the elastic properties of tissue: the 20 year perspective". Physics in � Nightingale KR, Palmeri ML, Nightingale RW, and Trahey GE, On the feasibility of remote palpation using acoustic radiation force. J. Acoust. Soc. Am. 2001; 110: 625 -34 � Sarvazyan AP, Rudenko OV, Swanson SD, Fowlkes JB, Emelianov SY. Shear wave elasticity imaging: a new ultrasonic technology of medical diagnostiltrasound Med Biol. 1998; 24(9): 1419 -35. � Supersonic Shear Imaging: A New Technique for Soft Tissue Elasticity Mapping. Bercoff J. et al. , IEEE Transactions on Ultrasonics, Ferroelectrics, and Frequency Control, Vol. 51, No. 4, April 2004. � Acoustoelasticity in soft solids: Assessment of the nonlinear shear modulus with the acoustic radiation force, J. -L. Gennisson, a M. Rénier, S. Catheline, C. Barrière, J. Bercoff, M. Tanter, and M. Fink, J. Acoust. Soc. Am. 122 [1]6, December 2007 � Mendelson EB, Chen J, Karstaedt P. Assessing tissue stiffness may boost breast imaging Diagnostic Imaging. 2009; 31(12): 1517. � Shear wave elastography for breast masses is highly reproducible. Cosgrove DO, Berg WA, Doré CJ, Skyba DM, Henry JP, Gay J, Cohen-Bacrie C; the BE 1 Study Group. Eur Radiol. 2011 Dec 31. � Shear-wave Elastography Improves the Specificity of Breast US: The BE 1 Multinational Study of 939 Masses. Berg WA, Cosgrove DO, Doré CJ, Schäfer FKW, Svensson WE, Hooley RJ, Ohlinger R, Mendelson EB, Balu-Maestro C, Locatelli M, Tourasse C, Cavanaugh BC, Juhan V, Stavros AT, Tardivon A, Gay J, Henry JP, Cohen-Bacrie C, and the BE 1 Investigators. Radiology 2012; 262: 435 -449 Catheline, Stefan; Wu, Francois; Fink, Matt 1999). "A solution to diffraction biases in sonoelasticity: The acoustic impulse technique. ". Journal of the Acoustical Society of America 105 (5): 2941– 2950. � Sandrin, Laurent; Tanter, Mickaël; Gennisson, Jean-Luc; Catheline, Stefan; (April 2002). "Shear elasticity probe for soft tissues with 1 -D transient elastography. ". IEEE transactions on ultrasonics, ferroelectrics, and frequency control
Va multumesc.