HERNIE DIAPHRAGMATIQUE CONGNITALE Facult de Mdecine de Tlemcen

























- Slides: 25
HERNIE DIAPHRAGMATIQUE CONGÉNITALE Faculté de Médecine de Tlemcen Module de Pédiatrie Dr. B. Abou-bekr 22/ 11/ 2006
Sommaire I- DEFINITIONS ET GENERALITES II- RAPPEL EMBRYOLOGIQUE III- ETIOPATHOGENIE IV- ANAPATH V- PHYSIOLPATHOLOGIE +++ VI- DIAGNOSTIC POSITIF VII- DIAGNOSTIC DIFFERENTIEL VIII- PRISE EN CHARGE
I- DÉFINITION ET GÉNÉRALITÉS: C’est le passage des viscères abdominaux dans la cavité thoracique à travers un défect embryologique.
II- RAPPEL EMBRYOLOGIQUE 1 - Le diaphragme : se développe à partir de 3 ébauches: septum traversum Piliers Uskow Délimite 2 canaux Pleuropéritonéal (Foramen de Bochdalek)
Piliers Uskow Canal pleuro-péritonéal Septum traversum
Foramen de Bochdalek se ferme progressivement : - entre 6ème – 8ème par l’adossement des séreuses - à la fin de la 8ème par la colonisation myoblastique. 2 - en parallèle se déroule le processus de développement de l’anse intestinale primitive avec réintégration vers la 10ème semaine.
III- ETIOPATHOGENIE * Fréquence 1 fois 3 000 naissances * Siège plus fréquent à gauche qu’à droite * ♂ >♀
Hypothèses !!!! Hypothèses : Fermeture du canal pleuropéritonéal en retard Réintégration intra abdominale précoce
IV- ANAPATH • Orifices herniaires souvent postéro-latéral Rétroxyphoïdien de Larrey Orifice hiatal Foramen de Bochdalek
Hernié postéro-latérale Hernie rétro-xyphoïdienne
Hernie avec sac ou non q Avant 6 semaines sans sac q 6ème – 8ème semaines avec sac q Après 8 semaines éventration
Les différents organes herniés n Côlon – foie gauche – rate – etc.
Lésions associées n Vices de rotation intestinale n Hypoplasie pulmonaire
V- PHYSIOPATHOLOGIE +++ Hypoplasie pulmonaire Dysplasie Bronchique Surface d’échange alvéolaire HTAP Hypoximie Dysplasie artérielle Hypoperfusion pulmonaire Cercle vicieux SHUNT droit / gauche VG (Hypoxie acidose) Rein oligurie Cœur dépression cardiaque Poumon : ischémie pulmonaire résistances pulmonaires
La sévérité de certaines formes néonatales donnent : - Hypoplasie pulmonaire - HTAP shunt droit/gauche Toutes les mesures de réanimation cherchent à contourner ce cercle : - Vasodilatateurs pulmonaires - Assistance respiratoire extra corporelle (AREC) - Extra corporeal non bra oxygèn (ECMO)
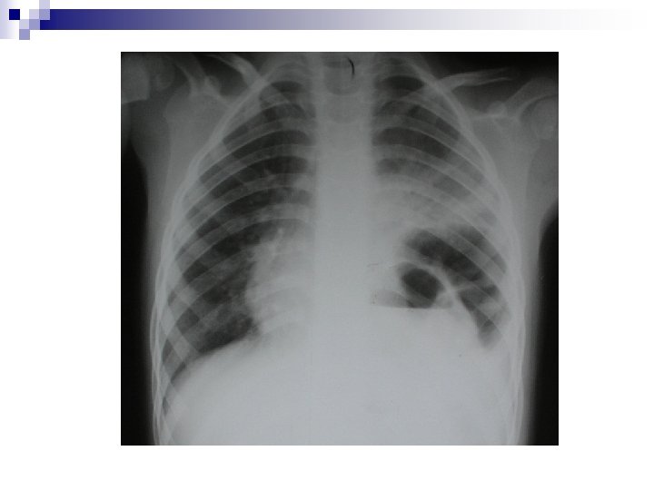
VI- DIAGNOSTIC POSITIF: TDD : Hernie diaphragmatique postéro latérale gauche Anténatal hydramnios- refoulement du cœur- image liquidienne intra-thoracique Néonatal battement des ailes du nouveau-né dyspnée avec tirage(gêne respiratoire) cyanose (gêne cardiaque)
Signes physiques : Inspection : Thorax bombée Abdomen plat Auscultation : Déplacement des bruits du cœur vers la droite Bruits hydro-aérique
Signes R* Télé thorax f+p * Présence de multiples images aériques Directs * SNG remontant en hameçon * Compression par déviation du cœur Indirects * Défect diaphragmatique * Vacuité abdominale
VII- DIAGNOSTIC DIFFÉRENTIEL Emphysème lombaire géant Malformation adénomatoïde Kyste bronchogénique Malformations pulmonaires
VIII- PRISE EN CHARGE Salle de travail - SNG → diminue la pression thoracique - Désobstruction - Oxygénothérapie - Voie centrale veineusee Transfers
En réanimation: - Confirmation Diagnostic - Bilan complet - Ventilation pour lutter contre l’HTAP Stabilisation Normothermie alcalose Hémodynamique Instable Vasodilatateur AREC ou CMO
Traitement chirurgical: - But : - Réduction - Réparation - TRT des malformations associées
- Moyens - Voie d’abord abdominale - Réduction - Réintégration - Fermeture de l’orifice diaphragmatique - Vérification de la disposition intestinale - Fermeture de la paroi
Conclusion • Détresse respiratoire = une hernie congénitale des coupoles diaphragmatique, jusqu’à preuve du contraire. • Le bilan radio-clinique diagnostic. • Une prise en charge médicochirurgicale • Intérêt de l’unité de réanimation néonatale