Echographie de contraste quels rsultats et quelle place










































- Slides: 42
Echographie de contraste: quels résultats et quelle place dans le diagnostic des lésions focales hépatique Hervé TRILLAUD . Hôpital Saint André. Laboratoire d’imagerie moléculaire et fonctionnelle ERT/CNRS/Université Victor Segalen Bordeaux 2
u u Produit de contraste de première génération (lecture en mode destruction) Produit de contraste de seconde génération (lecture en temps réel) – Stabilité – Reproductibilité u Séquence d’imagerie adaptée – Augmentation du signal du PC par rapport au signal du tissu NB: Faible index mécanique
Réponses respectives tissu-bulles Intensité Diminution du signal tissulaire Bulles Ø Index mécanique faible Ø Suppression du signal du tissu Tissu Ø Détection sélective du produit de contraste 0. 1 1 Puissance acoustique (IM)
PCUS vs PC iodés ou chélates de Gd Echographie avec PC Ø MB: produit de contraste intravasculaire Ø Résolution temporelle Produits de contraste iodés ou chélates du Gd: traceurs vasculointersticiel
Imagerie hépatique US US PC (Doppler) TDM IRM Détection + ? ++(+) +++ Localisation spatiale + ? +++ caractérisation + ? ++ +++ 75, 60 153 309, 5 coût
Problèmatique clinique u Caractérisation: – Découverte fortuite d’un nodule en échographie – Caractérisation d’un nodule découvert sur TDM monophase dans un contexte néoplasique – Caractérisation d’un nodule et cirrhose u Détection – Métastase – cirrhose u Thérapeutique – Repérage de la lésion – Évaluation après traitement (RF…. . )
Caractérisation d’un nodule u Nicolau et al AJR 2006 (n=152 biopsie = 120, Sequoia en CCI) – 92, 8% de classification correcte bénin vs malin u sen = 98%, spe = 82% u Socle hépatique ++ (95, 7% socle normal vs 91, 5% cirrhose) – Erreurs: CHC bien différencié, nod dysplasique, angiome à remplissage rapide et HNF sur cirrhose, angiome fibreux u Quaia et al Radiology 2004 (n=452) – 86, 5 % correct benin vs malin – Séquence déjà ancienne
Découverte fortuite chez une femme jeune
PCUS phase artérielle
T 2 IRM T 1 après injection phase artérielle T 1 après injection phase tardive Cicatrice centrale
PCUS à différents temps (secondes) 13 s 15 s 14 s 20 s 14, 5 s 120 s
PCUS phase portale
Lésion de découverte fortuite u Souvent en US STOP US Produit de contraste IRM* u * Une lésion non caractérisée en US/PC est souvent non caractérisée en IRM
Contexte néoplasique u Caractérisation si doute sur US ou TDM (méta versus angiome, kystes, …) – PCUS en alternative à l’IRM
PCUS US 15 sec 17 sec Angiome avant injection 28 sec 113 sec
Bilan dans le cadre d’une adénopathie cervicale Métastatique d’origine indéterminée
PCUS phase tardive
IRM hépatique Séquence pondérée en T 2 Phase art Phase port Phase tardive 1
Bilan de K du sein
US PCUS phase tardive
Métastase de cancer du colon (PCUS) 22 sec 29 sec 32 sec Avant injection 47 sec 76 sec
Métastase de cancer du colon (PCUS) 13 sec 24 sec 16 sec 121 sec
Métastases hypervascularisées de cancer endocrine du pancréas (PCUS) Avant injection 15 sec 17 sec 21 sec 74 sec
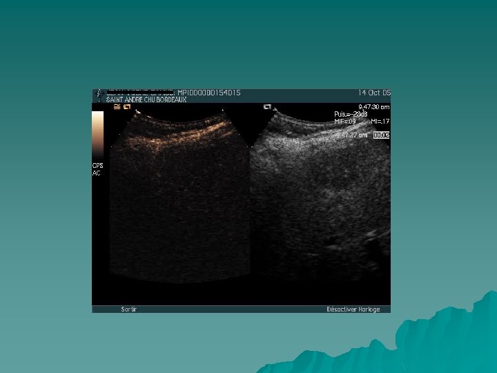
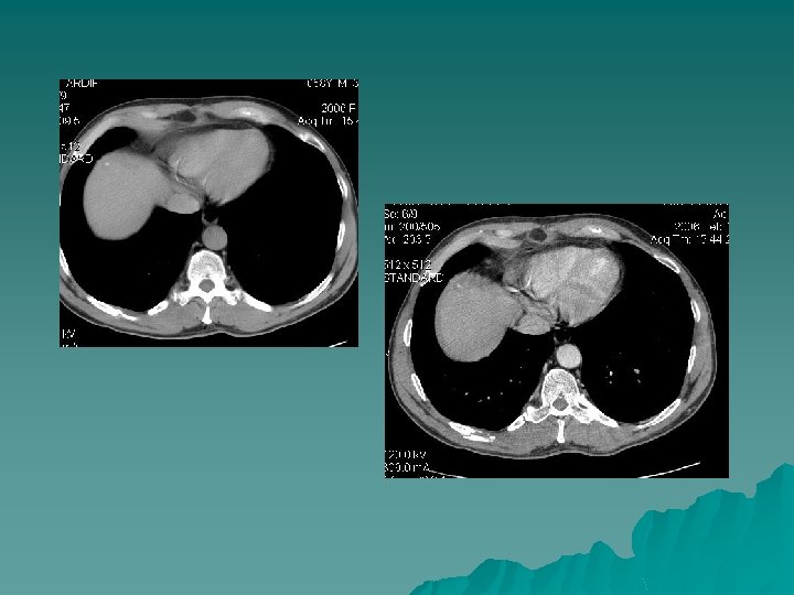
TDM phase artérielle PCUS phase artérielle
Détection?
Cirrhose u Caractérisation d’un nodule découvert sur l’échographie u CT≈ USPC Giorgio et al AJR 2004
Recommandations de L’EASL Bruix et al hepatology 2005
US
PCUS Hépatocarcinome
PCUS phase artérielle: caractérisation
PCUS: phase portale
PCUS: phase tardive Second nodule
Monitorage des traitements percutanés u Aide à la visualisation du nodule u Évaluation traitement de l’efficacité du
PCUS phase tardive
Surveillance d’une patiente traitée par RF pour CHC 12 mois auparavant TDM phase artérielle récidive US PCUS Phase précoce récidive Nodule traité TDM phase portale
Conclusions US US PC (Doppler) TDM IRM Détection + ++ ++(+) +++ Localisation spatiale + ++ +++ caractérisation + ++ +++ 76, 60 € 153 € 309, 5 € coût
Conclusions: limites u Limites du PCUS – Détection difficile u Cirrhose, stéatose, post chimiothérapie u Balayage du foie souvent incomplet u surveillance de RF: autres tumeurs à distance du traitement percutané – Machine dépendant++++
Conclusion u Caractérisation u Aide au monitorage des traitements percutanés
Métastase