Endocrine System Communication and chemical regulation Endocrine glands




































































- Slides: 68
Endocrine System • Communication and chemical regulation – Endocrine glands secrete hormones – Long-distance regulators • Slow to act – Whole body control
18. 1 Overview of the Endocrine System 1. 2. 3. 4. 5. 6. 7. 8. 9. 10. Metabolism Control of food intake and digestion Tissue maturation Ion regulation Water balance Heart rate and blood pressure regulation Control of blood glucose and other nutrients Control of reproductive functions Uterine contractions and milk release Immune system regulation 18 -2
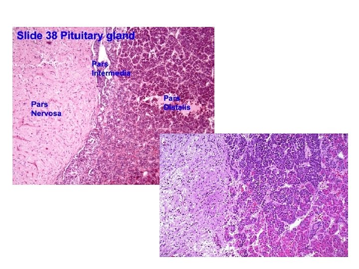
18. 2 Pituitary Gland Hypothalamus Copyright © The Mc. Graw-Hill Companies, Inc. Permission required for reproduction or display. Hypothalamus Third ventricle Mammillary body Infundibulum Optic chiasm Pituitary gland Sella turcica of sphenoid bone (a) Mammillary body Hypothalamus Optic chiasm Infundibulum Posterior pituitary (neurohypophysis) (b) Pars intermedia Anterior pituitary (adenohypophysis) • Where nervous and endocrine systems interact • Hypothalamus regulates secretions of anterior pituitary • Posterior pituitary is an extension of the hypothalamus • The pituitary produces nine major hormones that – Regulate body functions – Regulate the secretions of other endocrine glands 18 -4
Structure of the Pituitary Gland • Posterior Pituitary (neurohypophysis) – Developmentally it is an extension of the brain. – Connected to hypothalamus by infundibulum. – Releases neurohormones • Anterior Pituitary (adenohypophysis) – Developmentally traces back to the oral cavity. – Releases regular hormones
Regulation of Pituitary by Hypothalamus • In the region where the pituitary connects with the hypothalamus and the anterior pituitary, there are two capillary networks: 1) Hypothalamohypophyseal portal system as the primary capillary network. 2) Secondary capillary network in the anterior pituitary.
Portal venous system: a capillary bed that flows into another capillary bed through veins 18 -8
A) Neurohormone released from the hypothalamus enter the primary capillary. B) The hormones are carried into the secondary capillary and are released into anterior pituitary. C) These hormones may either increase or inhibit the excretion of hormones from the anterior pituitary. D) Hormones from the anterior pituitary, then will be carried by the circulatory system.
Releasing and Inhibiting Hormones These are neurohormones that are released from the hypothalamus that effect the anterior pituitary gland (Table 18. 1). Most of them are small peptides.
• As for the posterior pituitary, there is no connecting portal system between the hypothalamus and the posterior pituitary. • The neurosecretory cells from the hypothalamus extend to the posterior pituitary through hypothalamohypophyseal tract. • Why is this called a tract? • The secretions are called neurohormones.
18 -14
From its point of secretion until it reaches its target cells, TRH is found in or passes through which structures? hypothalamus, hypothalamo-hypophyseal tract, posterior pituitary hypothalamus, hypothalamo-hypophyseal portal vessels, anterior pituitary, vascular system, thyroid gland, vascular system, target organs and tissues
Hormones of the Pituitary Glands – Posterior pituitary hormones: • The posterior pituitary stores and releases two neurohormones formed in the hypothalamus and transmitted through hypothalamohypophyseal nerve tract. – Antidiuretic hormone (ADH): prevents production of large quantity of urine (kidneys) It is also calles vasopressin and constricts blood vessels. – Oxytocin: contracts the uterus. Important for expulsion of fetus, also ejection of milk during lactation, . – Does the posterior pituitary gland make its own hormone?
Oxytocin: Uterine Contractions Breast milk production 18 -18
Anterior Pituitary Hormones • • Growth hormone (GH) or (somatotropin) Thyroid-stimulating hormone (TSH) Adrenocorticotropic hormone (ACTH) Melanocyte-stimulating hormone (MSH) Luteinizing hormone (LH) Follicle-stimulating hormone (FSH) Prolactin 18 -19
• • Anterior Pituitary Hormones secretion is regulated by the neurohormones from the hypothalamus. Growth hormone: targets many cells and over all increase in growth and metabolism. Thyroid-stimulating hormone: targets the thyroid gland increases thyroid hormone release. Adrenocorticotropic hormone: targets the adrenal cortex and increases glucocorticoid (cortisol)hormone secretion.
Growth Hormone (GH or somatotropin) • Promotes bone and cartilage growth • Important for metabolism 18 -21
Note: controlled by both releasing and inhibiting neurohormones
Tropic hormones : - hormones which stimulate or regulate the secretion of hormones from other endocrine glands. • Among the anterior pituitary hormones: – Thyroid-stimulating hormone (TSH) targets the thyroid gland increase thyroid hormone release. – Adrenocorticotropic hormone (ACTH) targets the adrenal cortex and increase glucocorticoids (cortisol) hormone secretion.
In which pair of hormones does the first cause increased secretion of the second? ACTH; cortisol FSH; aldosterone LH; insulin TSH; prolactin
The Thyroid Gland a. Located at the upper portion of the trachea. b. Structure: – Consist of two lobes connected by a narrow band of tissue called isthmus. c. Hormones of the thyroid – The follicular cells use three or four iodine molecules to make: – triiodothyronine (T 3) makes up ~ 10% – Tetraiodothyronine (T 4) makes up ~ 90%, also known as thyroxine. – Parafollicular cells release calcitonin.
18 -28
• Synthesis and release of thyroid hormones • Thyroid hormone synthesis requires thyroid stimulating hormone (TSH) from the anterior pituitary and iodine. • Secretion of thyroid hormone starts with the release of TRH from the hypothalamus, to the hypothalamohypophyseal portal system of the anterior pituitary, where TSH is released. • TSH reaches the thyroid gland through the circulatory system and regulates the secretion of T 3 and T 4.
• The Targets of Thyroid Hormones • Thyroid hormone affects many cells and is important for metabolism, growth and maturation.
• The action of thyroid hormones • The effects of thyroid hormones are numerous Some examples are: – Hypersecretion (Hyperthyroid): increased metabolic rate, high body temperature, weight loss, increased appetite, rapid heart rate. – Hyposecretion (Hypothyroid): decreased metabolic rate, low body temperature, weight gain, loss of appetite, reduced heart rate. – Essential for the normal growth of children.
Name the two hormones produced by the posterior pituitary. Which two anatomical structures does the hypothalamohypophyseal portal system connect. What two anatomical structures does the hypothalamohypophyseal tract connect? What is the difference between a tract and a portal system? If you were travelling in the desert with little water, would ADH secretion be high or low? Which hormone requires iodine for synthesis? Which hormone is responsible for growth? For uterine contractions at childbirth? For metabolism in general? A person with hypothyroidism would have a high or low TSH level?
Calcitonin • Produced from the parafollicular cells. • Increased level of Ca++ in blood stimulates the release of calcitonin from parafollicular cells. • Target is bone tissue: deceases osteoclast activity and increases the life span of osteoblast. Deposits calcium from blood into bone Decreases blood levels of calcium.
Parathyroid Glands • Location - the posterior part of each lobe of the thyroid gland. • Targets and function • The gland detects blood Ca++ levels. • PTH regulates calcium levels and targets bone, the kidneys and the intestines. • § § PTH stimulates: Osteoclast activity in bone tissue Induces Ca++ reabsorption in the kidneys. Increased Ca++ absorption by small intestines. Inactive parathyroid glands result in hypocalcaemia (low blood Ca++)
Calcitonin & PTH are antagonistic
Adrenal Glands “Ad Renal” Location: The adrenal glands are attached on top of the kidney and may be divided, based on the embryonic origin, into outer adrenal cortex and inner adrenal medulla.
18 -40
18 -41
Catecholamines: Epinephrine and Norepinephrine Androgens: Sex hormones that are converted to testosterone- weak system Glucocorticoids: Main one is cortisol Mineralocorticoids: Aldosterone (kidneys) 18 -42
Hormones of the Adrenal Medulla: formed from neural crest: part of sympathetic nervous system. Secretes epinephrine and norepinephrine Epinephrine (adrenaline) – 80% Norepinephrine (noradrenaline) – 20% Norepinephrine is a precursor to epinephrine 18 -43
The adrenal medulla is similar to a big autonomic (sympathetic) ganglion whose nerve bodies do not send out nerve fibers. 18 -44
• The hypothalamus stimulated by stress, physical activities, low blood glucose levels triggers generation of action potential through the preganglionic neurons of the sympathetic division of the ANS. • These neurons stimulate the adrenal medulla to release either norepinephrine or epinephrine into the bloodstream. • The results of stimulation are: “fight or flight” – Increased release of glucose from liver – Increased released of fatty acids from fat store – Increased heart rate – Increased constriction of visceral blood vessels (increase blood pressure. )
18 -46
Hormones of Adrenal Cortex “Steroids” • Mineralocorticoids: • Aldosterone produced in greatest amounts. Increases rate of sodium reabsorption by kidneys increasing sodium blood levels • Glucocorticoids: Cortisol is major hormone. Increases fat and protein breakdown, increases glucose synthesis, decreases inflammatory response • Androgens: Weak androgens secreted then converted to testosterone by peripheral tissues. 18 -48
CRF: Corticotropin releasing factor (or hormone) ACTH: Adrenocorticotropin hormone
Regulation of Cortisol Secretion 1 Corticotropin-releasing hormone (CRH) is released from hypothalamic neurons in response to stress or low blood glucose and passes, by way of the hypothalamohypophysial portal system, to the anterior pituitary. Low blood glucose and other stressors CRH 2 In the anterior pituitary, CRH binds to 1 and stimulates cells that secrete adrenocorticotropic hormone (ACTH). Hypothalamus 3 ACTH binds to membrane-bound receptors on cells of the adrenal cortex and stimulates the secretion of glucocorticoids, primarily cortisol. 4 Cortisol acts on target tissues, resulting Hypothalamohypophysial portal system 5 Anterior pituitary in increased fat and protein breakdown, increased glucose levels, and anti-inflammatory effects. ACTH 5 Cortisol has a negative-feedback effect because it inhibits CRH release from the hypothalamus and ACTH secretion from the anterior pituitary. Cortisol 4 Stimulatory Inhibitory 2 3 Cortisol in the target tissues: • Increases lipid and protein breakdown • Increases blood glucose • Has anti-inflammatory effects Adrenal cortex (zona fasciculata) 18 -50
18 -51
• Steroid and sex Hormones are derived from cholesterol. • Cholesterol is a fatty substance • All these hormones are lipid soluble • They are all secreted by the adrenal cortex. 18 -52
18 -53
Steroid hormones have a relatively longer half life in the circulation (in general, compared with peptide hormones); reflects plasma binding proteins. The half-life of water soluble (and polar) peptide hormones in the circulation is relatively short : no binding proteins • • • Which type has receptors inside the cell? Which type has receptors on the cell membrane? Which one uses a second messenger system ( ready made G protein? ) Which one uses the genetic material in the nucleus to code for proteins. Why is the reaction of a cell to a water soluble hormone relatively faster than to a lipid soluble hormone? 18 -54
18 -55
• Pancreas • Located between the greater curvature of the stomach and the duodenum • Histology • Has both exocrine and endocrine function • The exocrine portion consists of acini (clusters of cells that look like berries) that produce pancreatic juice and a duct system. • The endocrine part consists of pancreatic islets (islets of Langerhans) separated into: • Alpha cells (glucagon production) • Beta cells (insulin production) • Delta cells (somatostatin)
18 -58
Hormones of the pancreas • Insulin: produced in beta cells in response to rising blood glucose and amino acids. Targets many cells: the liver, adipose (fat), muscles • Insulin is a peptide. It binds to the receptor on the membrane and stimulates glucose transport into the cell. • The liver stores glucose as glycogen ( a storage of many glucose molecules)
Glucagon • Secreted from alpha cells when blood glucose levels fall. • In the liver, it breaks down glycogen ( glucose stores) and releases glucose into circulation.
Somatostatin • Produced in delta cells of islets when blood glucose and amino acids rise after a meal. • It behaves as a paracrine secretion ( chemical messenger that diffuses to neighboring target cells: alpha and beta cells. • Thus modulates the activities of alpha and beta cell, also inhibits release of growth hormone from pituitary.
18 -62
Which of the following hormones is NOT secreted by the pancreas? A. Glucagon B. Glucocorticoids C. Insulin D. Somatostatin
The pituitary regulates all of the following except: A) B) C) D) E) Thyroid Adrenal Cortex Ovaries Testes Adrenal Medulla Which of these hormones pairs’ effects oppose each other? A) B) C) D) E) Insulin and glucagon PTH and Calcitonin Glucagon and cortisol A& B A, B, & C 18 -64
The Pineal Gland • At the roof of thalamus. ( the sensory relay area) • Produces melatonin • Information from the visual pathways enter the pineal gland effect melatonin production. • Melatonin is made mostly at night. • Involved in sleep cycle
Gonadal Hormones l Gamete development and 2° sex characteristics l Gonadotrophin Releasing Hormone stimulates FSH and LH l Testosterone l Estrogens l Progesterone
If the hypothalamus fails to secrete Gn. RH, the effect would be hyposecretion of pituitary gonadotropins hypersecretion of pituitary gonadotropins hyposecretion of prolactin hypersecretion of oxytocin
Other Hormones and Chemical Messengers • Thymus Gland, GI Tract – Thymosin: Development of the immune system. – GI tract: several hormones regulate digestion and enzyme secretion. Studied with digestive system. 18 -68