CHEST TRAUMA Majid Pourfahraji ANATOMY TRAUMA v Trauma













































- Slides: 45
CHEST TRAUMA Majid Pourfahraji
ANATOMY
TRAUMA v Trauma, or injury, is defined as cellular disruption caused by an exchange with environmental energy that is beyond the body's resilience. v Trauma remains the most common cause of death for all individuals between the ages of 1 and 44 years and is the third most common cause of death regardless of age.
PRIMARY SURVEY ü The initial management of seriously injured patients consists of performing the primary survey (the "ABCs"—Airway with cervical spine protection, Breathing, and Circulation); the goals of the primary survey are to identify and treat conditions that constitute an immediate threat to life.
MAIN CAUSES OF CHEST TRAUMA Ø Blunt Trauma: Blunt force to chest. Ø Penetrating Trauma: Projectile that enters chest causing small or large hole. Ø Compression Injury: Chest is caught between two objects and chest is compressed.
TRAUMA TO THE CHEST ü Chest wall * Rib fracture * Flail chest ü Airway obstruction ü Pneumothorax * Simple/Closed * Open Pneumothorax * Tension Pneumothorax ü Hemothorax ü Flail Chest and Pulmonary Contusion ü Cardiac Tamponade ü Traumatic Aortic Rupture ü Diaphragmatic Rupture
RIB FRACTURE v. Blunt And Penetrating v PAIN v Shallow breathing v Atelectasis v Shunt: lack of ventilation respiratory and metabolic acidosis
ANATOMY
Intercostal nerve block
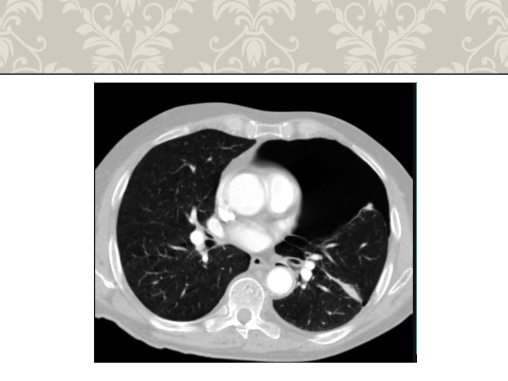
SIMPLE PNEUMOTHORAX • • Opening in lung tissue that leaks air into chest cavity Blunt trauma is main cause May be spontaneous : Cough Usually self correcting Ø S/S • • • Chest Pain Dyspnea Tachycardia Tachypnea Decreased Breath Sounds on Affected Side
TREATMENT FOR SIMPLE/CLOSED v ABC’s with C-spine control v Airway Assistance as needed v If not contraindicated transport in semi-sitting position v Provide supportive care v Contact Hospital and/or ALS unit as soon as possible
TREATMENT FOR SIMPLE/CLOSED Ø Thoracocentesis Ø Chest Tube or throcostomy
CHEST TUBE !!
OPEN PNEUMOTHORAX • An open pneumothorax or "sucking chest wound" occurs with full-thickness loss of the chest wall • Causes the lung to collapse due to increased pressure in pleural cavity • Can be life threatening and can deteriorate rapidly • Results in hypoxia and hypercarbia • Complete occlusion of the chest wall defect without a tube thoracostomy may convert an open pneumothorax to a tension pneumothorax • Temporary management of this injury includes covering the wound with an occlusive dressing that is taped on three sides. • Definitive treatment requires closure of the chest wall defect and tube thoracostomy remote from the wound.
OCCLUSIVE DRESSING
ASHERMAN CHEST SEAL
S/S OF OPEN PNEUMOTHORAX Ø Dyspnea Ø Sudden sharp pain Ø Subcutaneous Emphysema Ø Decreased lung sounds on affected side Ø Red Bubbles on Exhalation from wound …
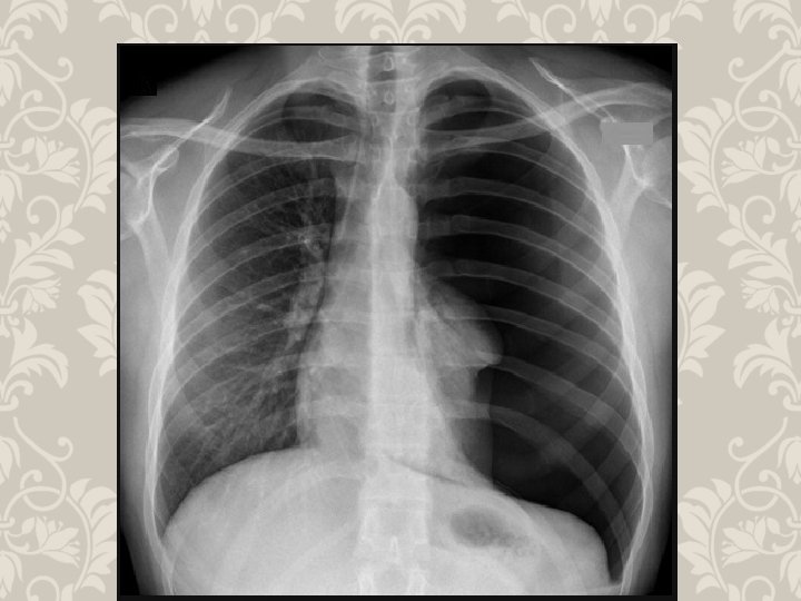
TENSION PNEOMOTHORAX v Respiratory distress v Tachypnea v Tachycardia v Poor Color v Anxiety/Restlessness v Accessory Muscle Use v *Hypotension* But JVP + v Tracheal deviation away from the affected side v Lack of or decreased breath sounds on the affected side v Subcutaneous emphysema on the affected side v Hypotension qualifies the pneumothorax v Needle thoracostomy with a 14 -gauge angiocatheter in the second intercostal space in the midclavicular line v Tube thoracostomy should be performed immediately
TENSION PNEOMOTHORAX v The normally negative intrapleural pressure becomes positive, which depresses the ipsilateral hemidiaphragm and shifts the mediastinal structures into the contralateral chest v the contralateral lung is compressed and the heart rotates about the superior and inferior vena cava; this decreases venous return and ultimately cardiac output, which results in cardiovascular collapse
TENSION PNEOMOTHORAX
NEEDLE TORACOSTOMY
NEEDLE DECOMPRESSION
NEEDLE THORACOSTOMY
FLAIL CHEST * Flail chest occurs when TWO or more contiguous ribs are fractured in at least two location * additional work of breathing and chest wall pain caused by the flail segment is sufficient to compromise ventilation * it is the decreased compliance and increased shunt fraction caused by the associated pulmonary contusion that is typically the source of post injury pulmonary dysfunction * Treatment is intubation and mechanical ventilation (PEEP mode) • The patient's initial chest radiograph often underestimates the extent of the pulmonary parenchymal damage • Must chest tube if bleeding!
FLAIL CHEST
FLAIL CHEST
HEMOTHORAX life-threatening injury number one A massive hemothorax is defined as >1500 m. L of blood or, in the pediatric population, one third of the patient's blood volume in the pleural space tube thoracostomy is the only reliable means to quantify the amount of hemothorax After blunt trauma, a hemothorax usually is due to multiple rib fractures occasionally bleeding is from lacerated lung parenchyma a massive hemothorax is an indication for operative intervention Indication of emergency toracotomy
HEMOTHORAX
HEMOTHORAX PHYSICAL FINDINGS
RIB FRACTURE WITH HEMOTHORAX
RIB FRACTURE WITH HEMOTHORAX
CARDIAC TAMPONADE life-threatening injury number two Acutely, <100 m. L of pericardial blood may cause pericardial tamponade The classic diagnostic Beck's triad—dilated neck veins, muffled heart tones, and a decline in arterial pressure—often is not observed in the trauma Increased intrapericardial pressure also impedes myocardial blood flow, which leads to subendocardial ischemia Best way to diagnose is ultrasound of the pericardium Early in the course of tamponade fluid administration a pericardial drain is placed using ultrasound guidance Pericardiocentesis is successful in decompressing tamponade in approximately 80% of cases : 15 to 20 cc
CARDIAC TAMPONADE
BECKS TRIAD
PERICARDIAL TAMPONADE PHYSICAL FINDINGS
PERICARDIOCENTESIS