Smiologie DCEM 1 Protinurie Hmaturie Professeur Eric DAUGAS










































- Slides: 42
Sémiologie DCEM 1 Protéinurie/ Hématurie Professeur Eric DAUGAS
INTRODUCTION
Sémiologie rénale • Combinatoire de peu de signes cliniques et biologiques sanguins et urinaires – HTA – Oedèmes – Élévation de la créatinine (insuffisance rénale) – Protéinurie – Hématurie • Permet un diagnostic syndromique
Diagnostic syndromique • • Syndrome de néphropathie glomérulaire Syndrome de néphropathie tubulaire Syndrome de néphropathie interstitielle Syndrome de néphropathie vasculaire • Insuffisance rénale aiguë • Insuffisnce rénale chronique
Protéinurie
Rappel de physiologie
Dépistage et analyse des protéinuries
Mesure de la protéinurie • Référence: g/ 24 heures • Urines de 24 h non indispensables, car on peut utiliser le rapport protéinurie (g/l) sur créatininurie (mmol/l). Le rapport normal est inférieur à 15 mg/mmol.
Protéinurie physiologique • Inférieure à 150 mg par 24 heures • Protéinurie physiologique composée – 60 % de protéines plasmatiques – 40 % de protéines venant des tubules et de l’urothelium;
Détection de la protéinurie • Bandelette urinaire : technique semi quantitative - négative ou traces < 0, 3 g/l - ++ environ 1 g/l - ne détecte que l’albumine • Dosage pondéral en g/24 heures • Ou sur échantillon (matin) en utilisant le rapport protéinurie/créatininurie • Protéinurie si ≥ 0. 3 g/j ou ≥ 0. 3 g/g ou ≥ 30 mg/mmol de créatininurie
1ère étape : analyse quantitative • Si > 2 g/24 heures ou > 2 g/g ou > 200 mg/mmol de créatininurie Protéinurie glomérulaire le plus souvent • Si < 2 g/24 heures ou < 2 g/g ou < 200 mg/mmol de créatininurie Tout est possible
2ème étape : analyse qualitative Electrophorèse des protéines urinaires : fiabilité imparfaite • Albumine majoritaire: Néphropathies glomérulaires (protéinurie sélective si albumine > 80%, associée à une LGM) • Globulines de faible poids moléculaire: Néphropathies tubulaires • Protéinurie « de surcharge » ou « prérénales » – Chaînes légères d’immunoglobulines (anciennement BJ) – Myoglobinurie – Hémoglobinurie
2ème étape : analyse qualitative Analyse par analyse radio-immunologique (RIA) : plus fiable • Détection et quantification de protéines spécifiques • Exemple: Microalbuminurie = albuminurie de faible débit: 30 à 300 mg/j ou mg/g de créatininurie ou 3 à 30 mg/mmol de créatininurie – Néphropathie diabétique débutante – Facteur de risque cardio-vasculaire – Réversible avec bloqueurs du SRA
Situations cliniques avec protéinurie
Signes cliniques • Le plus souvent asymptomatique +++ • Urines mousseuses en cas d’albuminurie • Oedèmes si syndrome néphrotique ou néphritique
Situations cliniques • Protéinuries intermittentes ou transitoires: - protéinurie orthostatique (< 20 ans) - autres : fièvre, insuffisance cardiaque droite, infections de l’appareil urinaire • Protéinuries permanentes: arbre décisionnel selon l’abondance de la protéinurie et sa composition
Les combinatoires sont fréquentes
Le syndrome néphrotique • Définition biologique : - protéinurie ≥ 3 g/j - et hypoalbuminémie < 30 g/l • Syndrome néphrotique pur si il n’y a ni hématurie microscopique, ni HTA, ni IR organique (IRA fonctionnelle possible) • Syndrome néphrotique impur si au moins l’un des trois.
Syndrome néphrotique • La protéinurie contient essentiellement de l’albumine ou des protéines de PM> albumine. • = néphropathie glomérulaire
Syndrome néphrotique Tableau clinique Il est dominé par les oedèmes • B, M, I, prenant le godet • Prédominants dans les territoires déclives • Avec parfois épanchement des séreuses • Avec constamment une prise de poids à chiffrer • Mécanismes: diminution de la pression oncotique et fuite d’eau et de sodium vers le secteur interstitiel. Stimulation du SRAA
Protéinurie au cours des maladies rénales chroniques • Quelle que soit la maladie rénale chronique • Marqueur pronostique ++++ péjoratif si – Protéinurie glomérulaire – Importante – Péjoratif si glomérulaire non sélective • Néphroprotection si < 0. 5 g/j ou < 50 mg/mmol
HEMATURIE
Circonstances de découverte • Recherche systématique (bandelette urinaire) • Découverte fortuite (ECBU) • Exploration d’une maladie à risque de maladie rénale • Hématurie macroscopique • Signe associé (HTA, douleur, protéinurie, insuffisance rénale…)
Définition/ diagnostic positif • ECBU • > 104 hématies/m. L ou >10 mm 3
Diagnostic différentiel • Coloration des urines sans hématies – Pigmenturies: hémoglobinurie, myoglobinurie, porphyrie – Certains médicaments: Rifampicine, métronidazole – Betterave • Hématies sans hématurie – Hémorragie génitale (gynécologique, période menstruelle)
Sémiologie • • Macroscopiques ou microscopique Permanentes ou intermittentes Avec ou sans caillot Initiale, terminale, ou totale
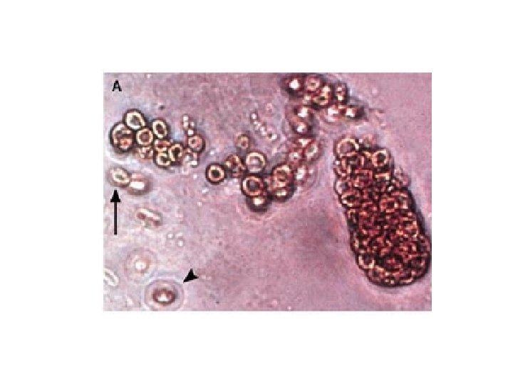
Sémiologie des hématuries: morphologie • Avec ou sans cylindres hématiques • Avec ou sans déformations (acanthocytes)
2 grandes catégories de causes d’hématurie • Urologiques – – Lithiase Tumeurs du rein Tumeurs urothéliales Infections de l’appareil urinaires • Néphrologiques (ou rénales ou parenchymateuses): l’hématurie est un signe de gravité des néphropathies – Glomérulonéphrites PROLIFERATIVES – Néphrites interstitielles aiguës – Infarctus du rein ou thromboses de la veine rénale
Eléments du diagnostic étiologique • • Antécédents personnels et familiaux Caractéristiques sémiologiques Examen clinique Examen complémentaires
Examens complémentaires • Examens morphologiques (radiologiques) pour recher une cause urologique • • Radiographie de l’abdomen sans préparation Echographie de l’appareil urinaire Scanner, UIV, IRM, artériographie Cystoscopie • Examens pour recher une néphropathie: protéinurie, évaluation fonction rénale • Examen pour recher une infection urinaire: ECBU • Cytologie urinaire
Urologique Néphrologique Macroscopique Microscopique Caillot Sans caillot Initiale Origine sous-vésicale Terminale Origine vésicale Totale Hématies non déformées le plus souvent Hématies déformées en acanthocytes ou agglomérées en cylindres Signes d’accompagnement urologiques inconstants : colique néphrétique… Signes d’accompagnement néphrologiques inconstants : HTA, protéinurie. . Anomalie(s) morphologique(s) de l’appareil urinaire = étiologie Pas d’anomalie morphologique de l’appareil urinaire
Merci