PATHOLOGIE PLEURALE L Lucaci PATHOLOGIE PLEURALE PATHOLOGIE PLEURALE
























































- Slides: 56
PATHOLOGIE PLEURALE L. Lucaci
PATHOLOGIE PLEURALE
PATHOLOGIE PLEURALE De l’eau…Pleurésie De l’air…Pneumothorax Du sang …hémothorax Du pus…Empyème, Pyothorax
EPANCHEMENTS PLEURAUX pleurésies
EPANCHEMENTS PLEURAUX pleurésies üAntécédents Ø Professionnels (amiante) Ø Tabac paquets/années Ø Autres maladies (cardiaques, hépatiques, renales) Ø Traitements en cours
pleurésies üSignes fonctionnels respiratoires Ø Dyspnée: de la simple gene à la detresse respi. Ø Toux: sèche, quinteuse, douloureuse, favorisée les changements de position Ø Douleur par thoracique: unilat. , point de coté; exacerbée par la toux et les mouvements
Pleurésies examen üInspection: asymetrie des hemithorax, voire distention üPalpation: diminution des vibrations vocales üPercussion: matité üAuscultation: diminution du MV+/-souffle pleurétique, frottements pleuraux
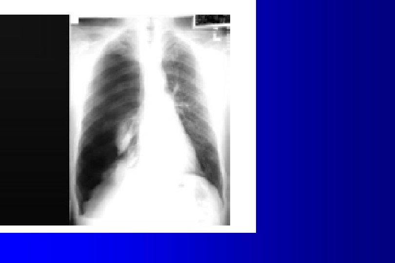
Pleurésies imagerie üRadios standard: opacité homogène, limite sup. concave, ligne bordande axillaire. üEchographie pleurale üTomodensitométrie (scanner) üScintigraphie pulmonaire üTomodensitométrie par Émission de positron (TEP)
Imagerie Radio Standard
Imagerie Radio Standard
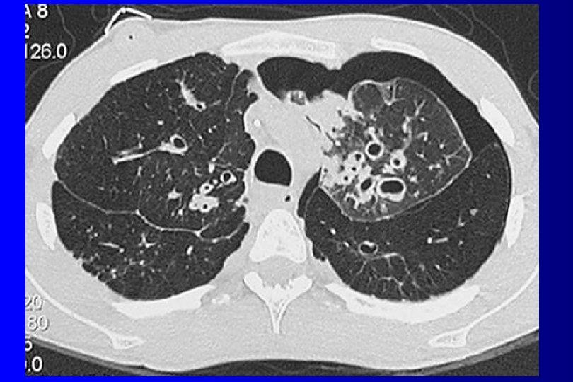
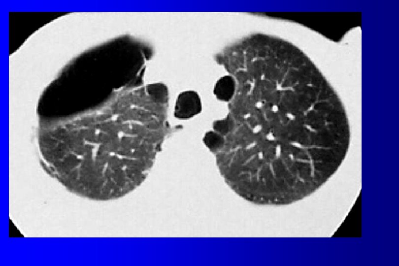
TDM Imagerie
Imagerie Echographie
PONCTION PLEURALE Après avoir vérifier plaquettes, hémosctase côtes liquide libre dans la cavité pleurale poumon
Épanchements cloisonnés et non cloisonnés (air ou liquide) côte adhésion pleurale poumon côte adhésions (brides) pleurales poumon brides pleurales
EXAMENS PARACLINIQUES SPECIFIQUES Exploration de la plèvre üPonction de liquide pleural üBiopsie à l’aveugle üPleuroscopie
pleurésies üPonction de liquide pleural
pleurésies
pleurésies
pleurésies
Biopsie à l’aveugle
Liquide pleural Analyse biochimique: ØProtéines totales ØLDH ØGlucose, amylase ØPh ØCholesterol, triglycérides ØHématocrite (hémothorax)
Liquide pleural Analyse anatomopathologique: ØRecherche de cellules cancéreuses Analyse microbiologique: Ø flacon sec stérile ou flacon à hémoculture ØRecherche de mycobactéries
Liquide pleural TRANSSUDAT=Mecanique, liquide pauvre en protéines. La plèvre elle-meme est indemne Aspect: jaune citrin, transparent ØProteines=inferieure à 30 g/l. Rapport protides pleuraux/sériques: inf. à 0, 5 ØLDH sang /LDH plèvre < 0. 6 Cause mécanique: Insuffisance cardiaque, rénale, hépatique Pas de traitement pneumologique
Liquide pleural EXSUDAT=Inflamatoire, liquide riche en protéines Aspect: jaune foncé, opalescent ØProteines>30 g/l ØProteines pleuraux/sérique sup. à 0, 5 ØLDH plévre /LDH sang > 0. 6 Cause : Infectieuse non spécifiques, réactionnelle Purulente TBC ØCancer: néoplasique, compression ØPost-traumatiques Ø Pathologie sous diaphragmatique: pancréatique,
HEMOTHORAX Liquide pleural ØHématocrite>5% Causes: ØTraumatisme ØIatrogènes
Annecdotiques Liquide pleural ØChylothorax (liquide chyleux) ØUrothorax (urines)
Aspect liquide pleural:
Pleuroscopie
Pleuroscopie üExamen diagnostique et thérapeutique
Pleuroscopie
Pleuroscopie
Pleuroscopie
BIOPSIES
TALCAGE
Traitement ØÉpanchement libre: Évacuation simple: 1, 5 L. Oedeme a vacuo Drainage pleural: pleurésies purulentes
Traitement ØPLEURESIE PURULENTE: ü ü Drainage pleural Lavages streptokinase, serum salé, antiseptiques ü Par voie IV: antibiotiques ü kiné
Traitement PLEURESIE MALIGNE ØÉvacuation complète si possible Øsi récidive précoce: ponctions itératives ou drain thoracique à demeure(pleur’x) ØSymphyse pleurale par talcage
Traitement HEMOTHORAX ØDrainage ØChirurgie
Pneumothorax, pleuresie Pose d’un drain thoracique
Pose d’un drain thoracique
Pose d’un drain thoracique
Pose d’un drain thoracique
Pose d’un drain thoracique
PNEUMOTHORAX
PNEUMOTHORAX
PNEUMOTHORAX üLa gravité: degré de rétraction du poumon et de la fonction pulm. de base du sujet üFacteurs de risques: Spontané du sujet jeunes (tabac, blebs) üSur poumon pathologique, BPCO, emphysème, Kc
PNEUMOTHORAX üSignes fonctionnels respiratoires Ø Douleur thoracique : brutale, déchirante, latérothoracique(le début de la douleur) Ø Dyspnée: très Ø Toux variable
PNEUMOTHORAX examen üInspection (signes de gravités): hemithorax plus distendu et moins mobile üPalpation: diminution des vibrations vocales üPercussion: tympanisme Auscultation: diminution du MV
PLEUMOTHORAX imagerie üRadios standard (inspiration et en expiration forcée en cas de doute): hyperclarté entre la paroi et le parenchyme üTomodensitométrie (scanner recherche de bulles)
TRAITEMENT DU PNEUMOTHORAX Exsufflation simple
TRAITEMENT DU PNEUMOTHORAX Drainage aspiratif
TRAITEMENT DU PNEUMOTHORAX Si récidive: Talcage sous pleuroscopie Ou traitement chirurgical (pleurectomie)