Pathologie pleurale Cours DCEM II Rappels anatomiques Cage














































































- Slides: 78
Pathologie pleurale Cours DCEM II
Rappels anatomiques • Cage thoracique • Plèvre viscérale et pariétale • Espace virtuel
Plèvre Pariétale Paroi thoracique Scissures Hile Plèvre Viscérale Bloc Cœur-Poumons
Rôles physiologiques • Ventilation: couple paroi thoracique- poumon • Défense de l’organisme mécanique, immunologique • Sécrétion / résorption liquide pleural • Activité fibrinolytique
Vide Pleural • Inspiration • • Normale = -15 cm H 2 O Forcée = - 40 cm H 2 O • Expiration - 2 cm H 2 O • A la Toux + 1 m H 2 O
Signes fonctionnels • Toux • Dyspnée • Douleur thoracique
Signes physiques • Epanchement aérique : immobilité thoracique, tympanisme, diminution des vibration vocales, diminution du murmure vésiculaire • Epanchement liquidien: immobilité, matité, diminution des vibrations vocales, diminution du murmure vésiculaire
Techniques d’exploration • Imagerie: RT, tomodensitométrie, échographie • Ponction exploratrice • Biopsies à l’aveugle ou sous thoracoscopie
Pointe de l’omoplate Bord supérieur de la côte
Pédicule intercostal Paroi Plèvre Poumon
• • Diagnostic d’un exsudat de cause inconnue • cancers § Poumon § Mésothéliome § Métastases • Tuberculose • autres Permet d’obtenir un morceau de plèvre pariétale
• Matériel
7 - mm télescope (0°) 7 - mm télescope (Oblique) Optical biopsy forceps (4 -mm ) Biopsy forceps
Biopsie pleurale Biopsie pulmonaire
Moyens thérapeutiques • Ponction évacuatrice / exsuflation • Drains thoraciques • Symphyse / talcage
Indications Situations simples • Pneumothorax > 2 doigts • Hémothorax avec Matité • Hémo-pneumothorax • Epanchement liquidien de la grande cavité Situations compliquées s’aider de l’imagerie • Épanchement non significatif • Epanchement cloisonné • Air sous cutanée géant • Pour le chirurgien thoracique ? ? . . .
Technique Doit répondre à 3 questions… • Où introduire le drain ? • Comment drainer ? • Avec quel matériel ?
Où drainer ? 1 er EIC ligne médio claviculaire 1 er 2ème 4ème 2ème EIC ligne médio claviculaire 4ème ou 5ème EIC ligne axillaire moyenne
Quel matériel? les drains : Monaldi
Les drains : Argyle
Les drains : Joly
Les drains : avec mandrin Monod Pleurocath Joly
Système d’aspiration Aspiration : à 3 bocaux Air Patient 20 cm 2 cm Contrôle aspiration Scellé sous eau Recueil
Système à 3 bocaux Aspiration Air 3 2 Patient 1
Règles fondamentales Ne JAMAIS placer le drain si… 1. La ponction ne ramène ni air ni liquide 2. Si le retrait du mandrin ne ramène ni air ni liquide
Complications • Trajet pariétal hors du grill • Plaie d’un organe sous diaphragmatique • Plaie pulmonaire • Plaie du cœur ou d’un gros vaisseau
Enlever le drain… • Ne bulle plus depuis + de 24 h • Donne moins de 100 cc en 24 h • ou moins de 50 cc en 12 h • A fortiori s’il est exclu ! • RT
Pneumothorax • Signes cliniques • Imagerie • Étiologies • Traitement
Etiologies Pneumothorax spontanés Idiopathiques Secondaires Age 80% avant 35 ans 90% après 50 ans Particularités Sujet longiligne, maigre, fumeur, sans patho bronchopulmonaire Pronostic plus sévère pae décompensation de la pathologie sous jacente Récidive après 30% 1é épisode 50%
PNO spontanés secondaires Maladies des voies respiratoires Nécrose pulmonaire Pneumopathies chroniques infiltratives diffuses Pneumocystose Fibrose pulmonaire BPCO/emphysème +++ Rupture caverne tuberculeuse Asthme Rupture abcès bactérien Infarctus post embolique Cancer bronchique Mucoviscidose Métastases Nodule rhumatoïde Pneumothorax cataménial (/endométriose pleurale) Histiocytose X Sarcoïdose Lymphangiomyomatose …
Pneumothorax Pleurésie
Pleurésies • Signes cliniques • Imagerie • étiologies p°exploratrice +/- biopsies
Miserocchi G. ERJ 1997; 10: 219 -225 Plèvre pariétale Plèvre viscérale Capillaire systémique Capillaire pulmonaire Interstitium pariétal Interstitium pulmonaire Liquide pleural Lymphatiques pulmonaires Une pleurésie apparaît seulement lorsque la production de liquide excède les capacités de drainage
Diagnostics • p° pleurale • aspect macroscopique (hémorragique, chyleux, purulent…) • transsudat / exsudat transsudat exsudat Prot pleurales/prot sériques < 0, 5 > 0, 5 LDH pleurales/LDH sériques < 0, 6 > 0, 6 LDH pleurales <2/3 lim sup du taux normal LDH sériques >2/3 Prot pleuraux < 30 g/l > 30 g/l Leucocytes pleuraux < 1000/mm 3 > 1000/mm 3
Exsudats Transsudat K Inf° EP Mal digestives… Collagénoses et vascularites… Médicaments Autres. . Ins cardiaque congestive Cirrhose hépatique Sd néphrotique Obstruction VCS EP Sarcoïdose Autres…
Chylothorax Hémothorax TG> 1, 1 g/l Chylomicrons +++ 100 000/mm 3 GR Hte>20% ou > 50% sang périphérique K (lymphomes) Traumatismes (chir) Autres (lymphangioléïomyomatose) Idiopathiques Traumatiques Iatrogènes Spontanés sur patho diverses
Liquide leucocytaire > 50 000/mm 3 Pleurésie purulente 10 000 - 50 000/mm 3 Pleurésie parapneumonique, pancréatite, post IDM, asbestose, BK, K, lupus 1000 - 5000/mm 3 K, BK, exsudat chronique < 1000/mm 3 transsudat lymphocytaire BK, K…
Épanchement pleural et médicaments • • • Amiodarone CORDARONE Nitrofurantoïne FURADANTINE Phenytoïne DILANTIN Methotrexate Carbamazepine TEGRETOL Procainamide Propylthiouracil Antithyroïdien D-Penicillamine TROLOVOL G-CSF Cyclophosphamide ENDOXAN Bromocriptine PARLODEL Épanchements avec PNE Épaississements pleuraux Bandes d’atélectasies au contact de l’épaississement (pied de corneille)
Tumeurs pleurales • Fibrome • Mésothéliome • Métastases pleurales
Cas clinique 1 • • Homme 65 ans suivi pour BPCO Retraité SNCF Tabagique Asymptomatique hormis BPCO
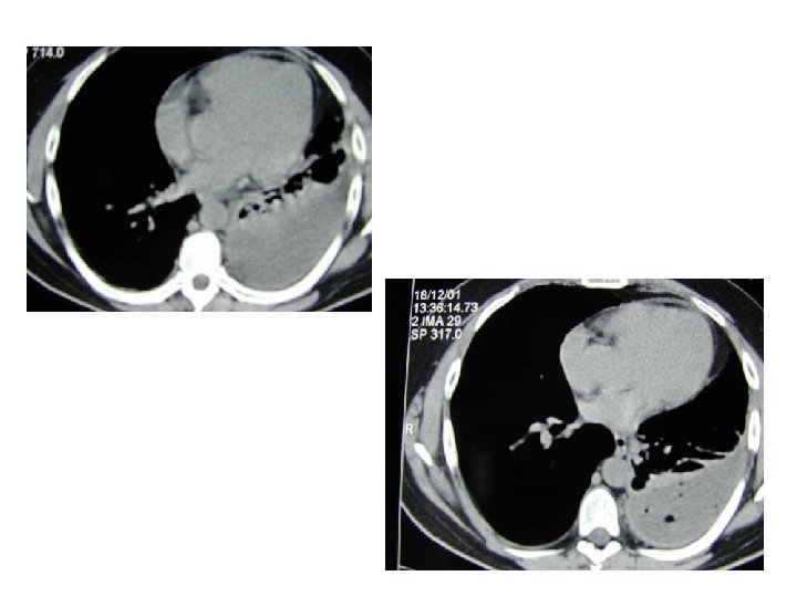
Cas clinique n° 2
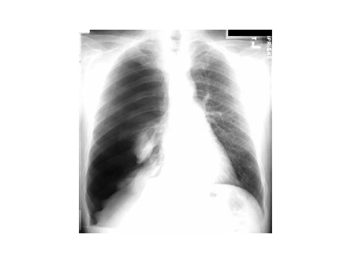
• Quelques mois plus tard : AEG, douleur basithotacique droite, dyspnée • Épanchement pleural droit 3/4 de l’hémichamp
Que faites-vous? • Ponction pleurale exploratrice : – Biochimie (ac hyaluronique) – Cytologie/ana-path • Biopsie pleurale? • Thoracoscopie – Diagnostic – « Traitement »
Cas clinique
Quel diagnostic suspectez vous? Mésothéliome
Le mésothéliome • Exposition à l’amiante dans 80% des cas, parfois très ancienne ou indirecte • Diagnostic difficile : biopsies sous thoracoscopie • Parfois asbestose connue avant • Traitement curatif rare et lourd / Palliatif – – Symphyse pleurale Chimiothérapie Radiothérapie sur le trajet des drains / antalgique Évolution loco-régionale
Poumon nécropsique après mésothéliome
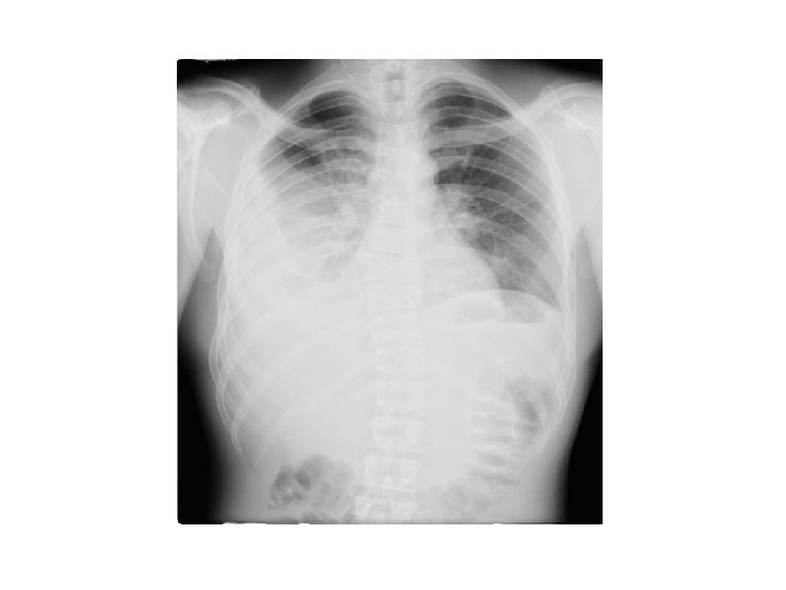
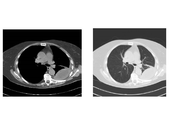
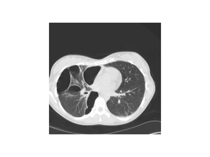
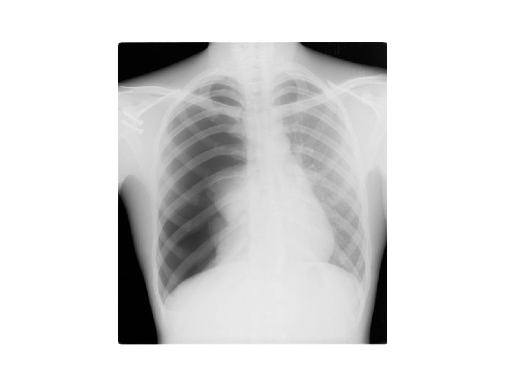
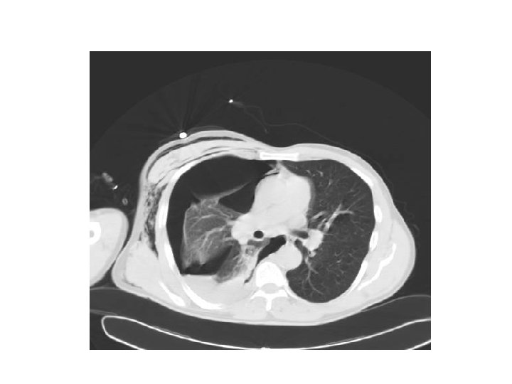
Cas clinique 2 • • • M O. , 55 ans, douleur thoracique droite, brutale, non fébrile tabagisme à 50 PA, sevré il y a 1 an diminution du murmure vésiculaire crépitement sous cutané
• Diagnostic ? • Traitement ?
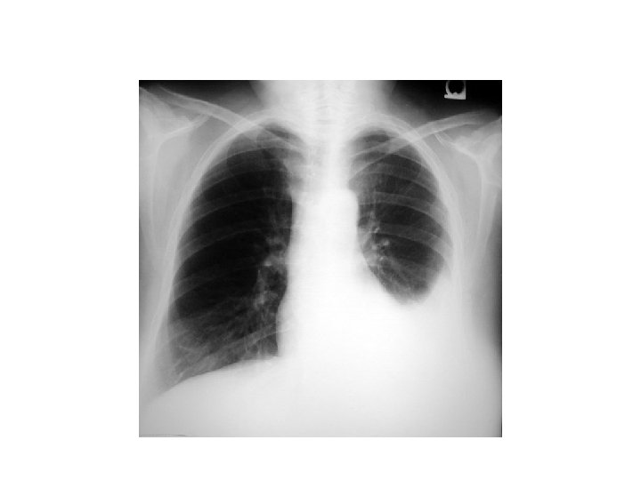
Cas clinique 3 • Femme, 45 ans • Douleur thoracique gauche • Dyspnée progressive, insp • ATCDT K sein droit 5 ans: TTT chir et radiothérapie • MV base gauche
Diagnostic évoqué ? Conduite à tenir diagnostique ? Conduite à tenir thérapeutique initiale et en cas de récidive ?
Cas clinique 4 • H, 49 ans • Pneumopathie infectieuse bactérienne • TTT 10 jrs clamoxyl • À l’arrêt de ttt, Sd fébrile et asthénie
Hospitalisation ?
Ex complémentaires ?
Attitude diagnostique et thérapeutique ?
Cas clinique 5 • • • H, 30 ans Chute échafaudage 3 jrs avant Dyspnée et douleur thoracique droite Pâleur cutanéo muqueuse, tachycardie Matité mi champs à droite