Pathologie pleurale Gilles Mangiapan ENKRE 2007 Plvre et






















































- Slides: 54
Pathologie pleurale Gilles Mangiapan. ENKRE, 2007
Plèvre et cavité pleurale Enveloppe séreuse 1 feuillet viscéral 1 feuillet pariétal - plèvre costale - plèvre médiast - Plèvre diaphr - dôme pleural
Maladies Pleurales Air : pneumothorax Liquide : pleurésie Prolifération tissulaire : mésothéliome
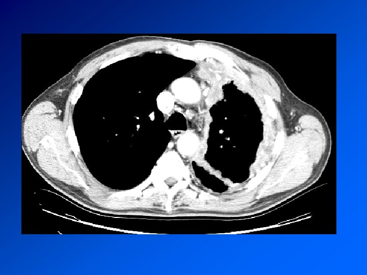
Pneumothorax • présence d’air dans la cavité pleurale • Le plus souvent rupture de la plèvre viscérale avec issue d’air des alvéoles sous pleurales dans la cavité pleurale • Plus rarement arrivée d’air de l’extérieur : plaie pénétrante du thorax et PNT iatrogène
PNT spontanée du sujet jeune Le pneumothorax est lié à la rupture de bulles d’air sous -pleurales. CDD : douleur thoracique brutale spontanée ou lors d’un effort. Parfois dyspnée Examen : tympanisme hémithoracique. Recherche de signes de détresse respiratoire (polypnée, cyanose, sueur, tirage…) Radio : hyperclarté périphérique séparée du poumon par le « liséré capillaire » : image de la plèvre viscérale. La radio fait le diagnostic
Formes Cliniques • Pneumothorax suffocant : à soupape : • l’air rentre dans la cavité pleurale et comprime le poumon puis le médiastin : détresse respiratoire aiguë = drainage en urgence
• Pneumothorax secondaire : complique ou fait découvrir une maladie pulmonaire sous-jacente : BPCO, emphysème, asthme, fibrose pulmonaire, histiocytose X, lymphangiomyomatose, cancer bronchopulmonaire primitif ou secondaire • Pneumothorax traumatique : s’accompagne parfois d’hémothorax et de contusion pulmonaire : détresse respiratoire
PNT : Traitement • Méthodes • -repos : PNT spontané minime • -Exsuflation à l’aiguille • -Drainage thoracique : pleurocath ou drain thoracique • -Traitement antalgique, antitussif, laxatifs • -Symphyse pleurale chirurgicale : Vidéochirurgie ou thoracotomie : abrasion pleurale ou pleurectomie.
Exsuflation à l’aiguille
• Drainage thoracique
drain à mandrin interne
drain à mandrin interne video clip 059 video clip 060 vue externe vue interne étape 3 introduction du drain sur son mandrin interne
drain à mandrin interne video clip 061 video clip 062 vue externe vue interne étape 4 retrait du mandrin interne
drain à mandrin interne video clip 063 étape 5 fin de la procédure
Indication Tout PNT : repos, exsuflation, ou drainage en fonction de l’importance du PNT 1 er épisode : repos, exsuflation, ou drainage en fonction de l’importance du PNT 3ème épisode (2ème récidive) : traitement du PNT + symphise chirurgicale 2ème épisode (1 re récidive) : au choix du patient Risque de récidive : 30 à 50% (plus élevé chez le fumeur)
EFR à distance Interdiction définitive de la plongée sous-marine “Prudence” avec sports extrêmes et instruments à vent
Pleurésie Présence de liquide dans la cavité pleurale 2 mécanismes : -Augmentation de filtration liquidienne au travers d’une plèvre intact: TRANSUDAT -Sécrétion de liquide par une plèvre anormale : EXSUDAT
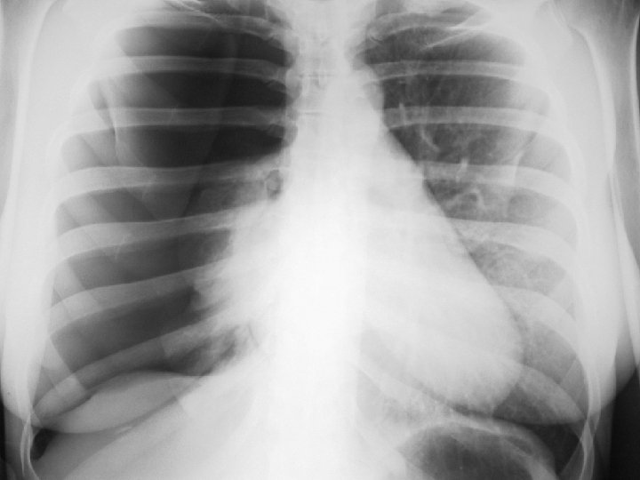
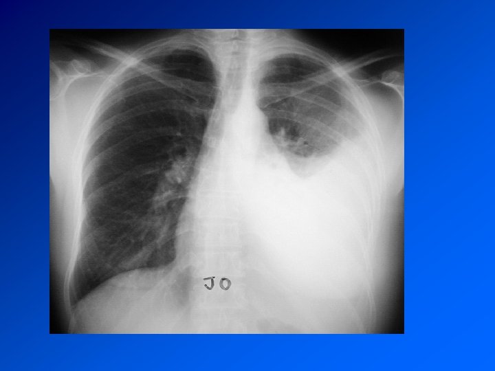
DIAGNOSTIC CDD : Dyspnée, Douleur Autres signes en fonction de l’étiologie Examen : syndrome pleural : matité, abolition de la transmissions des vibrations vocales, abolition du murmure vésiculaire Radio : opacité dense, limitée par une ligne concave en haut et en dedans : la ligne de Damoiseau Bilan biologique : en fonction de l’étiologie
Ponction pleurale examen clé de l’enquête étiologique Permet de séparer -TRANSUDAT : protidopleurie <30 g/l et rapport protidopleurie/protidémie <0, 5 et LDH <200 -EXSUDAT : protidopleurie>30 g/l et/ou rapport protidopleurie/protidémie>0, 5 et/ou LDH>200.
Abord de l’EIC
• analyses biologiques effectuées sur le liquide pleural • -De manière systématique : • -Dosage du taux de protides et de LDH • -Numération et formule cytologique • -analyse cytologique ( cellules anormales) • -analyse microbiologique • -recherche de mycobactérie (coloration de Ziehl et mise en culture sur milieu spécifique de Lowenstein) • -D’autres analyses biologiques peuvent être réalisés sur le liquide pleural en fonction de l’orientation diagnostique.
PLEURESIES TRANSUDATIVES La plèvre est saine -Etiologies : Insuffisance cardiaque Insuffisance hépatique Syndrome néphrotique pleurésie le plus souvent bilatérale Plus rarement : atélectasies, embolies pulmonaires -Traitement : avant tout de la cause Parfois l’abondance de l’épanchement et son retentissement (dyspnée) rend nécessaire la ponction évacuatrice
PLEURESIES EXSUDATIVES • La plèvre est pathologique. L’enquête étiologique dépend avant tout de l’analyse cellulaire de la ponction pleurale. • Les étiologies peuvent être regroupées en 4 classes : pleurésie infectieuse, pleurésie néoplasique, pleurésies inflammatoires pleurésies sans causes retrouvées.
- Pleurésie à Polynucléaire neutrophile (PNN) Pleurésie purulente · Pleurésie parapneumonique · Rarement autres types (polyarthrite rhumatoïde) · Foyer infectieux ou inflammatoire sous-phrénique - Pleurésie à prédominance Lymphocytaire · TUBERCULOSE · Parfois pleurésie néoplasique · Autres pleurésies infammatoires (Lupus érythémateux disséminé) · Lymphome · Pleurésie asbestosique bénigne - Pleurésie avec cellules anormales · Pleurésie néoplasique · mésothélime pleural
Autres pleurésies -Hémothorax : traumatique Spontané (anomalie vasculaire…) -Présence de chyle : liquide laiteux : Chylothorax -Présence d’amylase (liquide « chocolat » ) : pathologie pancréatique
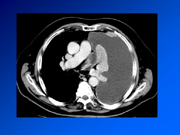
Enquête diagnostique Histoire de la maladie : recherche une maladie déjà connue, une exposition à un toxique professionnel, la prise de médicaments Examen clinique retrouve le syndrome pleural. Recherche de signes d’autres maladies associée Radio de thorax : fait le diagnostic TDM Thorax : précise les images Ponction pleurale oriente en fonction de la cytologie
Biopsie Pleurale quasi systématique dans les pleurésies exsudatives (sauf en cas de pleurésie purulente ou d’épanchement parapneumonique). Permet l’étude histologique de la plèvre. -Biopsie pleurale à l’aveugle : aiguilles spécifiques (Abrams ou Castelain) : 4 à 6 fragments biopsiques + mise en culture pour BK -Biopsies sous pleuroscopie (médicale ou chirurgicale) : sous anesthésie générale, introduction d’un pleuroscope et prélèvement pleural sous contrôle de la vue.
BIOPSIES PLEURALES Avec une bonne anesthésie, une biopsie pleurale N’EST PAS DOULOUREUSE
Principes de la technique
Thoracoscopie
ETIOLOGIES PLEURESIE INFECTIEUSES
Tuberculose pleurale pleurésie exsudative lymphocytaire Isolée ou accompagne une tuberculose pulmonaire Lorsqu’elle est isolée, patient non contagieux
CDD : Installation subaigüe 2 à 4 semaines). AEG fébrile, douleurs thoraciques dyspnée Examen clinique : syndrome pleural Radio : épanchement pleural. Recherche de signes de tuberculose pulmonaire associée Ponction : pleurésie lymphocytaire Biopsies pleurales : granulome tuberculoïde avec nécrose caséeuse Traitement antituberculeux + évacuation pleurale + Kiné
Pleurésie Purulente CDD : fièvre et douleur thoracique. Accompagne souvent une pneumonie. Ou foyer infectieux autre à toujours recher (DENTS+++, sinus, cancer bronchique, cancer de l’œsophage…) Radio : épanchement pleurale unilatéral, pafois enkysté Ponction : pus franc, avec présence de germe à l’examen direct et en culture. prédominance de Polynucléaires neutrophiles (PNN). Germes en causes : pneumocoques, streptocoques non groupables, germes anaérobies
Forme cliniques : pleurésie parapneumonique : accompagnent une pneumonie la ponction ne ramène pas de pus mais un liquide sérohématique Cellularité : prédominace de PNN Traitement ATB+DRAINAGE PLEURAL+KINESITHERAPIE PROLONGEE LA KINE COMMENCE DES LE DRAINAGE Lors de pleurésie enkysté : Fibrinolyse locale par injection intrapleurale de STREPTOKINASE
PATHOLOGIES NEOPLASIQUES Pleurésie néoplasiques métastatiques : Cancer primitif : poumon, sein, prostate, digestif (estomac, colon) Révélateur ou compliquant la maladie Traitement : du cancer primitif De la pleurésie : évacuation et TALCAGE PLEURAL
Mésothéliome pleural Cancer primitif de la plèvre Principal facteur de risque (retrouvé dans > 80% des méso): exposition à l’AMIANTE CDD : AEG douleur, syndrome pleural. Surveillance d’un sujet exposé Radio : pleurésie. Epaississement tumoral nodulaire de la plèvre. Extension extrathoracique rare mais possible Evolution défavorable. Survie moyenne 9 à 12 mois. Traitement décevant : chimiothérapie. Radiothérapie sur orifices biopsies et drainage Symphise pleurale
Pleurésies inflammatoires De nombreuses maladies inflammatoires « générales » peuvent avoir une atteinte pleurale, parfois révélatrice. - Collagénose : Lupus, polyarthrite rhumatoïde, maladie périodique… - Autres maladies « inflammatoires : embolie pulmonaire, asbestose, irradiation thoracique - Médicament : bétabloquants, furantoïne, méthysergide…
Pleurésie exsudative idiopathique • Malgré une enquête étiologique exhaustive, un certain nombre de pleurésie restent sans cause retrouvée. • Le plus souvent aucune récidive n’est notée, parfois elles deviennent chroniques, parfois elles sont le premier signe d’une maladie qui ne sera diagnostiquée que plusieurs années plus tard (mésothéliome…)
TRAITEMENT • Etiologique (antibiotique, chimiothérapie…. ) • Évacuation pleurale : – Ponction évacuatrice – Drainage pleural • Résorption par kinésithérapie pleurale
Resorption par les « stomas »
Rôle du Kiné • C’est la kinésithérapie qui redonne la fonction++++++ • Précoce (dès le drainage thoracique) • Prolongée : jusqu’à récupération : 2 à 3 mois.