Rheumatic Valvular Heart Disease Acute Rheumatic fever RF




































- Slides: 36
Rheumatic Valvular Heart Disease Acute Rheumatic fever (RF) & Chronic rheumatic heart disease (RHD) Doç. Dr. Işın DOĞAN EKİCİ Department of Pathology
Introduction • Rheumatic fever (RF) is a systemic, immune mediated multisystem inflammatory disease that occurs few weeks after an episode triggered by Group A bhemolytic streptococcal throat infection, rarely with streptococcal infection of other sites. • Rheumatic Heart Disease is the cardiac manifestations of RF and is associated with inflamation of the valves, myocardium and/or pericardium • Around 3 -5% of untreated streptococcal pharyngitis turns into rheumatic fever. • Most patients are kids 5 -15 years old. • The disease is endemic in the poor nations.
• A painful migratory arthritis (approx. 80%). – The earliest and most common feature – Large joints such as knees, ankles, elbows, or shoulders typically are affected. • Sydenham chorea – was a common late-onset clinical manifestation in the past but rarely is observed now. • Carditis – (with progressive congestive heart failure, a new murmur, or pericarditis) may be the presenting sign of unrecognized past episodes and is the most lethal manifestation.
Jones Criteria of Diagnosis of RF • • • Major Criteria Migratory polyarthritis of the large joints, Pancarditis Subcutaneous nodules Erythema marginatum of the skin Sydenham Chorea –a Minor Criteria • Fever • Arthralgia • High acute phase reactants (CRP, SAA, SAP, Complements, Coagulation Proteins) • High ESR • prolonged PR interval on ECG neurologic disorder with involuntary purposeless, rapid movements. For Diagnosis: Two Major or one major and two minor criteria following Group-A streptococcus pharyngitis.
Sydenham Chorea o Patients present with difficulty writing, involuntary grimacing, purposeless (choreiform) movements of the arms and legs, speech impairment, generalized weakness, and emotional lability. o Physical findings include hyperextended joints, hypotonia, diminished deep tendon reflexes, tongue fasciculations ("bag of worms"), and a "milk sign" or relapsing grip demonstrated by alternate increases and decreases in tension when the patient grips the examiner's hand.
Outcome of the Disease • The acute attack may induce (licks) arthritis and sometimes myocarditis (bites). • The most important consequence of Rheumatic fever is Chronic rheumatic heart disease • Chronic rheumatic heart disease (RHD) is characterized principally by deforming fibrotic valvular disease (particularly mitral stenosis), which produces permanent dysfunction and severe, sometimes fatal, cardiac failure decades later.
• Acute rheumatic heart disease often produces a pancarditis characterized by endocarditis, myocarditis, and pericarditis. • Endocarditis is manifested as valve insufficiency. – The mitral valve is most commonly and severely affected (65 -70% of patients), and the aortic valve is second in frequency (25%). – The tricuspid valve is deformed in only 10% of patients and almost always is associated with mitral and aortic lesions. – The pulmonary valve is rarely affected. • Severe valve insufficiency during the acute phase may result in congestive heart failure and even death (1% of patients).
Pathogenesis and key morphologic changes of acute rheumatic heart disease. Acute rheumatic fever causes changes in the endocardium, myocardium, and pericardium. Chronic rheumatic heart disease is almost always caused by deformity of the heart valves, particularly the mitral and aortic valves.
Etiology and Pathogenesis RF is a post-infectious, immunologic disease that results either from • (1) heightened immunologic reactivity to streptococcal antigens that evoke antibodies cross reactive with human tissue antigens (the M -protein of the streptococcus, and at least one other antigen now being characterized, are attacked by antibodies which then cross-react with the heart anti-myosin antibody, brain, skin, and joints), or • (2) some form of autoimmune reaction incited by a streptococcal infection.
• Initial attacks of RF follow some weeks (1 to 5 weeks) after streptococcal infection. • Elevated serum titers of antibodies to streptolysin O (ASO) and hyaluronidase (both elaborated by the streptococcal organism) are almost always present. • The tissue lesions of RF and RHD are sterile and do not result from direct bacterial invasion. • Recurrent acute RF is preceded by a streptococcal infection.
Potential antigenic targets • (1) heart valve glycoproteins that cross-react with the hyaluronate capsule of the streptococcus, itself identical to human hyaluronate; • (2) myocardial and smooth muscle sarcolemma that are cross-reactive with streptococcal membrane antigens; and • (3) cardiac myosin (that shares antigenic determinants with streptococcal M protein, the chief virulence factor of group A streptococci).
Joints • The likelihood of acute arthritis increases with age at the time of the attack, appearing in about 90% of adults and less commonly in children. • The large joints, such as the knees, are most often affected. • The changes are transitory and resolve without sequelae.
Skin lesions • Subcutaneous nodules or Erythema marginatum (present in 10 to 60% of cases, more often in children): Subcutaneous nodules • essentially giant Aschoff bodies, are most often • located overlying the extensor tendons of the extremities at the – – wrists, elbows, ankles, and knees.
Erythema marginatum • begins as flat to slightly elevated, slightly reddened maculopapules with reddened and elevated erythematous margins • progressively enlarge • it tends to have a “bathing-suit” distribution • may also occur over the thighs, lower extremities, and face.
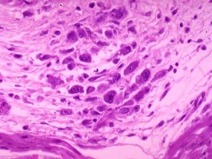
Morphology of Acute RF • The cardiac pathology is a pancarditis. • The characteristic lesion in the myocardium (especially near the vessels) is the Aschoff body (Aschoff nodule). • Aschoff body is a a mass of fibrinoid surrounded by – T lymphocytes, – macrophages, – few plasma cells, and – plump “activated” histiocytes called Anitschkow cells (caterpillar cells), bloated, pale-purple-staining macrophages with a curious caterpillar-shaped mass of heterochromatin running the length of the nucleus (in crosssection, this is an owl eye instead). – Some of the larger altered histiocytes are multinucleated to form Aschoff giant cells.
Acute and chronic rheumatic heart disease. A. Aschoff body in a patient with acute rheumatic carditis; B, Acute rheumatic mitral valvulitis superimposed on chronic rheumatic heart disease. Small vegetations (verrucae) are visible along the line of closure of the mitral valve leaflet C-D, Mitral stenosis with diffuse fibrous thickening and distortion of the valve leaflets, commissural fusion (arrows), and thickening and shortening of the chordae tendineae. D, Opened valve. E, Surgically removed specimen of rheumatic aortic stenosis, demonstrating thickening and distortion of the cusps with commissural fusion
Aschoff body
• During acute RF, Aschoff bodies may be found in any of the three layers of the heart–pericardium, myocardium, or endocardium–hence a pancarditis. • In the pericardium, they are located in the subserosal fat and fibrous tissue and are accompanied by a fibrinous or serofibrinous pericardial exudate, described as a “bread-andbutter” pericarditis, which generally resolves without sequelae. • The myocardial involvement takes the form of scattered Aschoff bodies within the interstitial connective tissue, often perivascular. Adjacent myocytes may be damaged.
Fibrinous pericarditis
• Endocardium and the left-sided valves: the endocarditis manifests as verrucae, small (1 -2 mm), sterile masses of fibrin and platelets along the lines of closure of the valve leaflets. • The verrucae are prone to organize, causing deformity of the heart. • If the cusps stick together, stenosis results. • If scar contraction shortens and bends the valve leaflets, insufficiency (regurgitation) results. • The aortic and mitral valves are usually affected; the tricuspid sometimes, the pulmonic rarely.
Normal valves
RF verrucae
Chronic rheumatic heart disease (RHD) • Chronic manifestations due to residual and progressive valve deformity occur in 9 -39% of adults with previous rheumatic heart disease. • Fusion of the valve apparatus resulting in stenosis or a combination of stenosis and insufficiency develops 2 -10 years after an episode of acute rheumatic fever, and recurrent episodes may cause progressive damage to the valves. • Fusion occurs at the level of the valve commissures, cusps, chordal attachments, or any combination of these.
• Rheumatic heart disease is responsible for 99% of mitral valve stenosis in adults. • Associated atrial fibrillation or left atrial thrombus formation from chronic mitral valve involvement and atrial enlargement may be observed.
• Gross: – Leaflet thickening – Commissural fusion – Shortening, Thickening & fusion of chordae tendinae. • Microscopic: – Fibrosis – neovascularisation – calcification • Mitral 68%, Mitral+Aortic 25% (stenosis+insufficiency)
• Subendocardial lesions: perhaps exacerbated by regurgitant jets, may induce irregular thickenings called Mac. Callum’s plaques (usually in the left atrium), • One hallmark of old rheumatic mitral valve disease is thickening of the chordae tendineae.
Valves in Chronic Rheumatic Heart Disease • Valve leaflet thickening. • Shortening, thickening and fusion of tendinous cords Fish mouth Mitral stenosis
• Chronic rheumatic heart disease (RHD) is characterized principally by deforming fibrotic valvular disease (particularly mitral stenosis), which produces – permanent dysfunction and – severe, sometimes fatal, cardiac failure. • The cardinal anatomic changes of the mitral valve are: – leaflet thickening, – commissural fusion and shortening, – thickening and fusion of the chordae tendineae.
• If the cusps stick together, stenosis results. • If scar contraction shortens and bends the valve leaflets, insufficiency (regurgitation) results. • Fibrous bridging across the valvular commissures and calcification create “fish mouth” or “buttonhole” stenoses.
Fish mouth/Buttonhole
Prognosis • Despite damaged valves, the heart may remain compensated for the duration of a long life, but usually over the span of decades, decompensation and eventual full-blown cardiac failure develop. • This course can now be altered by surgical repair or replacement of damaged valves.
Complications of ARF 1. Myocarditis induces arrhythmias (particularly atrial fibrillation) 2. Thromboembolism (fibrillation potentiates atrial thrombi that constitute potential sources of emboli) 3. Myocarditis may lead to cardiac dilation and resultant functional mitral insufficiency 4. Cardiac failure (the major cause of death during acute RF). Complications of Chronic RHD 1. Aortic and mitral stenosis/insufficiency 2. Infective endocarditis (superimposed on chronically deformed valves) 3. Decompensation ( full-blown cardiac failure develop in Chronic RHD).
RF Summary • Autoimmune inflammatory disease • Following Group A-Streptococcus pharyngitis • Acute inflammatory phase Joint, Heart, Skin & CNS • Chronic fibrosing phase Deforming fibrotic valve disease • Left Heart Fish mouth mitral stenosis incompetence heart failure