NEUMONIA n n La neumona es la infeccin


























- Slides: 26
NEUMONIA
n n La neumonía es la infección del parénquima pulmonar producida por un agente infeccioso. La puerta de entrada del agente infeccioso suele ser la vía aérea. Los síntomas característicos son malestar general, náuseas, vómitos y fiebre, dificultad respiratoria, polipnea , hipoxia relativa. 1. - Neumonía adquirida en la comunidad o Extrahospitalaria, tiene buen pronostico por la poca agresividad del agente patogeno.
Clasificación ATS CLASIFICACION: ATS Grupo II Edad < 60 Años > 60 Años* Grupo III Grupo IV Cualquiera Comorbilidad No Si* Si o No Necesidad de hospitalización No No Si Si Gravedad Extrema No No No Si
n n n 2. - La Neumonía nosocomial es la que se adquiere durante la estadía hospitalaria despues de las 48 horas del ingreso del paciente por otra causa. Pacientes de riesgo: 1. - Personas de edad avanzada 2. - Inmuno-deprimidos 3. - Pacientes con SIDA (Pneumocystis) 4. - Fibrosis quística
n n n n Fisiopatología Los síntomas de la neumonía son causados por la invasión del pulmón por microorganismos y por la respuesta inmune del huésped. La causa más común de neumonías son: 1. - virus 2. - bacterias. 3. - hongos 4. - parásitos.
n n n n Neumonías virales Puerta de entrada vías respiratorias invadiendo células de revestimiento de las vías aéreas y los alvéolos. Se produce : 1. - Activación lifocitaria 2. - Liberación de citoquinas 3. - Aumento de la permeabilidad bronquial 4. - Liberación de exudado peribronquial
n n n n La combinación de destrucción celular y el paso de fluidos al alvéolo empeora el intercambio gaseoso. Agentes patógenos : 1. - Influenza (gripe) 2. - Virus sincitial respiratorio 3. - Adenovirus 4. - Herpes (recién nacidos) 5. - Citomegalovirus ( inmunodeprimidos)
n n n n Neumonias bacterianas: 1. - Neumocóccica 2. - Estafilocócica 3. - Klebsiella 4. - Legionella 5. - Pneumocysti 6. - Mycoplasma 7. - Chlamydia
n Neumonias micoticas: n 1. - Aspergilosis
n n n n Clasificacion: 1. - Por el tipo de afectación anatomopatológica: A. - neumonía lobar B. - neumonía multifocal C. - neumonía necrotizante D. - absceso pulmonar E. - neumonía intersticial.
n n n 2. - Según el huésped: 1. - Neumonías en pacientes inmunocompetentes 2. - Neumonías en pacientes inmunodeprimidos
n n n n n 3. - Función del ámbito de adquisición: 3 A. - Adquiridas en la comunidad : 1. - Neumonía neumocóccica, 2. - Neumonía por Mycoplasma 3. - Neumonía por Chlamydia. 3 B. - Neumonías hospitalarias o nosocomiales. 1. - Mayor mortalidad. 2. - Gérmenes de mayor virulencia 3. - Resistentes a los antibióticos, 4. - Impacto económico servicios de salud
n n n n Causas 1. - En inmunodeprimidos: A. - Bacterias gram negativas B. - Pneumocystis C. - Citomegalovirus D. - Hongos, E. - Micobacterium tuberculosis.
n n n n n 2. - neumonías nosocomiales: A. - Pseudomonas aeruginosa B. - Hongos ( aspergilo) C. - Staphylococcus aureus. 3. - En personas adultas: A. - Streptococcus pneumoniae B. - Virus influenza 4. - neumonía atípica: A. - Mycoplasma pneumoniae B. - Chlamydia pneumoniae.
n n n n n Signos Síntomas 1. - inicia como gripe o el resfrio común. 2. - Fiebre prolongada por más de tres días, en particular si es elevada. 3. - La frecuencia respiratoria aumentada 4. - Retracción de las costal y aleteo nasal( niños) 5. - tos 6. - expectoración de tipo muco-purulento (amarillenta), 7. - escalofríos. 8. - dolor torácico con tope inspiratorio (pleura)
n n n 9. - Hemoptisis 10. - Disnea , cianosis distal y peribucal 11. - Compromiso del estado general (Anorexia, Astenia y Adinamia) 12. - Taquicardia, 13. - Taquipnea 14. - Hipotension ya sea sistólica o diastólica.
n n n 15. - Disminución de la expansión y de la elasticidad torácica y aumento de las vibraciones vocales. 16. - A la percusión: matidez. 17. - A la auscultación: A. - disminución del murmullo pulmonar B. - crepitaciones
n n n n Tratamiento : Puede ser tratada sin hospitalización. Normalmente, los antibióticos orales, reposo, líquidos, y cuidados en el hogar son suficientes para completar la resolución. La hospitalizacion procede : 1. - Dificultad respiratoria 2. - Necesidad de oxigeno 3. - Edades limites 4. - Patologias de base
n n n n Neumonia de la comunidad: 1. - amoxicilina 2. - claritromicina 3. - eritromicina (alergia PNS). 4. - azitromicina 5. - claritromicina 6. - fluoroquinolonas La duración del tratamiento siete a diez días,
n n n Neumonía Intrahospitalaria 1. - Vancomicina 2. - Cefalosporinas 3. - Carbapenemas 4. - Fluoroquinolonas 5. - Aminoglucósidos
n n n n Neumonía viral causada por la influenza A 1. - Amantadina 2. - Rimantadina 3. - Oseltamivir 4. -Zanamivir. Estos tratamientos son beneficiosos sólo si se inició un plazo de 48 horas de la aparición de los síntomas. No se conocen tratamientos eficaces para las neumonías viral causada por el coronavirus del SRAS, adenovirus, el hantavirus, o parainfluenza virus.
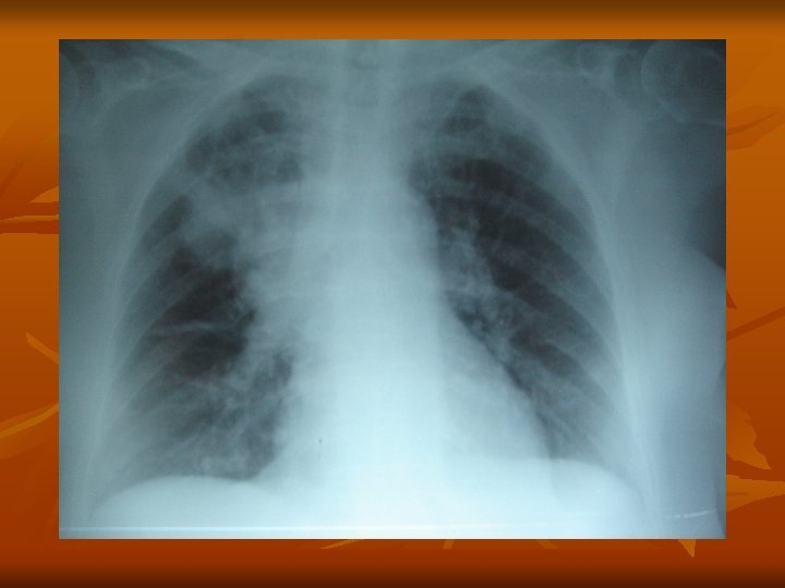
n Diagnóstico imagenologico: n 1. - Radiografia de Torax n 2. - TAC de Torax ( diag. Diferencial)
Diagnosticos de Enfermeria n n Hipertermia (39 C) relacionado a proceso infeccioso (neumonía), manifestado por piel enrojecida y caliente al tacto. Intolerancia a la actividad relacionada al desbalance entre el suministro y la demanda de oxigeno evidenciado por disnea.
n Respiración Ineficaz relacionado a proceso inflamatorio ( neumonía) evidenciado por aleteo nasal, tos, dificultad respiratoria, cansancio.