Marfan Syndrome Stephanie van Colen DO Marfan Syndrome


























- Slides: 26
Marfan Syndrome Stephanie van Colen, DO
Marfan Syndrome n Marfan syndrome is an inherited connective tissue disorder n Autosomal dominant n Results from molecular defects in the fibrillin gene, (FBN 1) on chromosome 15 (q 15 -q 21) n Impaired structural integrity of the skeletal, ocular, and cardiovascular systems
Features Tall stature n Mitral-valve prolapse n Aortic-root dilatation n Aortic dissection n Pectus deformities n Occular problems - ectopia lentis n Joint laxity n Spinal deformities n
Pathophisiology n The affected gene encodes for the glycoprotein fibrillin: a major building block of microfibrils - structural components of the suspensory ligament of the lens - elastin in the aorta and other connective tissues
Pathophysiology n Abnormalities in the microfibrils - weaken the aortic wall Progressive aortic dilatation and possible aortic dissection secondary to tension caused by left ventricular ejection n Deficient fibrillin reduced structural integrity of the lens zonules, ligaments, lung airways, and spinal dura n
In patients with Marfan’s, the media is affected and has decreased tensile strength
Physical Findings The diagnosis of Marfan syndrome is mainly clinical n Skeletal findings n Taller/thinner stature n Limbs are disproportionately long compared with the trunk (dolichostenomelia) n Arachnodactyly n
Physical Findings n Major criteria include the following: n Pectus excavatum (severe)/ pectus carinatum n Reduced upper-to-lower body segment ratio n Arms and legs may be unusually long in proportion to the torso n Positive wrist (Walker) and thumb (Steinberg) signs n Scoliosis greater than 20°: > 60% of patients n Reduced extension of the elbows (<170°) n Medial displacement of medial malleolus - pes planus n Protrusio acetabula of any degree
Positive thumb (Steinberg) sign Positive wrist (Walker) sign
Physical Findings n Minor criteria are as follows: n n n n Pectus excavatum (moderate) Scoliosis less than 20° Thoracic lordosis Joint hypermobility Highly arched palate Dental crowding Typical facies (dolichocephaly, malar hypoplasia, enophthalmos, retrognathia, down-slanting palpebral fissures) For the skeletal system to be involved, need 2 major criteria or 1 major criterion plus 2 minor criteria
Other systems n Ocular findings: n The major criterion is ectopia lentis; @ 50% n n Pulmonary findings: n Minor criteria include the following: n n n Multiple other ocular findings Spontaneous pneumothorax (about 5%) Apical blebs Dural findings: n n 1 major criterion is defined: Dural ectasia (seen on CT / MRI) Seen in 65 -92%, usually in the lumbosacral spine Dural ectasia: ballooning / widening of the dural sac +/- herniation of the nerve root sleeves out of the foramina Less than 20% of patients have serious dural ectasia
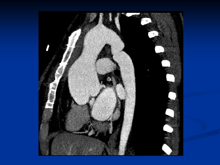
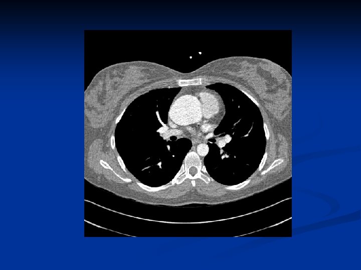
Cardiovascular n Major criteria: n Aortic-root dilatation: ( 70 -80%) n Aortic dissections involving the ascending aorta n Minor criteria: n Mitral valve prolapse (55 -69%) n Dilatation of proximal main pulmonary artery without pulmonic stenosis or other cause n Calcification of mitral annulus (patients <40 y) n Dilatation of abdominal or descending thoracic aorta (patients <50 y) n For the CV system to be involved, need 1 minor criterion
Differential Ehlers-Danlos Syndrome n Fragile X syndrome n Gigantism and acromegaly n Hyperpituitarism n Hyperthyroidism n Klinefelter syndrome n
Echocardiography Diagnosis and management of aortic-root dilatation The upper limit of the normal aortic root size is 1. 9 cm/m 2 of body surface area n Assesses mitral-valve prolapse, LV size / function, LA size, and tricuspid valve function n TEE assesses the distal ascending and descending aorta and prosthetic valves n Doppler echocardiography - detecting and grading aortic and mitral regurgitation n
CT and MRI for assessing chronic dissection of the aorta - any patient who has an aortic-root dimension >150% of the mean for their body surface area or - ratio of actual to predicted aortic-root dimension >1. 5 n CT or MRI of the lumbosacral spine to evaluate for dural ectasia n
Treatment n Cardiovascular surgery CV surgery can substantially prolong survival Prophylactic / emergency CV surgery is needed for: - aortic and mitral regurgitation - aortic aneurysm - aortic dissection n In cases of acute proximal aortic dissection, emergency surgical replacement of the aortic root is performed n
Treatment The ascending aorta is usually replaced when the diameter exceeds 55 -60 mm n Composite valve-graft replacement is performed - prosthetic valve sewn into a tube graft with reimplantation of the coronary ostia (modified Bentall procedure) n Low rates of morbidity and mortality n
Treatment n n Bentall procedure Repair of Type A aortic dissection, aneurysm of the proximal ascending aorta, and aortoannular ectasia Replacement of the root and proximal ascending aorta with a tube graft containing a prosthetic valve and reimplantation of the coronary arteries into the graft Postoperative complications include: n leakage at the suture lines - pseudoaneurysm of the aortic or coronary anastomosis
Non-cardiac Treatment Scoliosis surgery n Pectus repair n Repair of pectus excavatum to improve respiratory mechanics n Pectus carinatum repair - mainly for cosmetic reasons n Pneumothorax therapy n Ocular therapy n Medical management n
Medical Management n Beta-blockers May delay aortic dilatation and progression to rupture or dissection. n The rate of surgical interventions has substantially declined during the past decade of beta-blockade use. n
Medical Treatment Anticoagulants are needed after artificial heart-valve placement n IV antibiotic therapy is required during cardiac and noncardiac procedures to prevent bacterial endocarditis n Progesterone and estrogen therapy have been used to induce puberty and reduce the patient's ultimate height - if tx is begun before puberty n
Referrences n n n Caffey’s Pediatric Diagnostic Imaging, Vol. 2, Kuhn, Slovis and Haller, Mosby, 2004. Thoracic Imaging, Webb, R. and Higgins, C. , Lippincott Williams & Wilkins, 2005. emedicine. com mayoclinic. org marfan. org