Echocardiographic assessment of Patent Ductus Arteriosus Dr Sandeep






















































- Slides: 54
Echocardiographic assessment of Patent Ductus Arteriosus Dr Sandeep Mohanan Senior resident, Cardiology GMC, Kozhikode
TOPIC OVERVIEW • PDA anatomy and classification • Echocardiographic identification • Echocardiographic quantification • Role of Echo in corrective management • Role of 3 D Echo and TEE
Anatomy ~ 10 * 5 mm 5 -10 mm from the L-SCA
Embryology Distal part of Left 6 th arch
Classification – Angiographic (Krichenko et al, 1989) Conical Window- like Tubular Complex with multiple constrictions Elongated with a remote constriction Krichenko et al. Angiographic classification of the isolated, persistently patent ductus arteriosus and implications for percutaneous catheter occlusion. Am J Cardiol. 1989 Apr 1; 63(12): 877 -80.
Why the PDA is often difficult to Echo-image? TTE? ? TEE? ?
When should the echocardiographer look for a PDA? • All neonatal echo s • All paediatric referral for Echo • Any unexplainable cause of heart failure in adults • Unexplained central cyanosis • Any unexplained PAH, LV volume overload • Any referral for suspicion of IE
TTE- PSAX view The 1 st step in imaging the ductus is knowing where to look for it. Superior and leftward sweep of a routine Basal PSAX view
TTE-PSAX view for PDA
1. Three-legged pant view -high left PSAX view A large PDA shunting L to R is often easily visualized However smaller PDA required help of Colour Doppler
2. Horizontal short axis view
PSAX – Colour Doppler Echo -Identify the ‘central flame in the blue stream’ (red - PDA blue-LPA, RPA, Desc Ao) Ao - A flow that appears to come from the left corner of the LPA origin and directed usually towards the left PV However again confusion arises in the case of a predominant R to L shunt through the PDA.
Doppler echo
CWD - Normal PA vs PDA
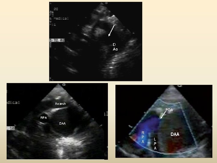
3. Ductal view – high parasternal sagittal view
Ductal view with colour Doppler
Echo measurement of the Pulmonary end
4. TTE- Suprasternal view
The value of suprasternal view above parasternal views Zhang et al. Value of the Echocardiographic Suprasternal View for Diagnosis of Patent Ductus Arteriosus Subtypes. JUM September 1, 2012 vol. 31 no. 9 1421 -1427
PDA type characterisation by suprasternal view
Measurements from the suprasternal view -Ampulla -Adjacent aortic diameter.
PDA significance • The direction of shunting • The shunt gradient • PA pressures • Size of the PDA
Direction of predominant shunting -PWD
Increasing PA pressures Appearance of an early systolic R to L shunt with increasing PA pressures Widening and deepening of early systolic R to L shunt in parallel with a lesser L to R gradient.
PDA-Eisenmenger • Very difficult to demonstrate the Doppler flow • Corroborative evidence and clinical picture should guide suspicion : Septal flattening, RVH, dilated PA, high velocity PR etc • Contrast Echo : reveal bubbles in the descending aorta and not in the ascending aorta
PDA with suprasystemic pressures
PDA shunt quantifcation • LA/ Aorta ratio -- >1. 5 – moderate to large PDA (Sens -79%, Spec-95%)1 • • • LV dimensions LV output Qp/Qs PDA pressure gradient Colour Doppler ductal diameter Diastolic flow reversal in descending aorta 1. Re-evaluation of the left atrial to aortic root ratio as a marker of patent ductus arteriosus. Archives of Disease in Childhood 1994; 70: Fl 12 -Fl 17
Qp/Qs in PDA vs ASD/VSD • In VSD Qs- Qp = shunt • In ASD Qs - Qp = shunt Any output from LV goes to the systemic circulation. . . So, Qs= LV output Any output from RV goes only to pulm circulation ie, Qp = RV output So Qp/Qs = RV output/ LV output for ASD & VSD --- Continuity equation ) • However in PDA the shunt is extracardiac Therefore, Qp ≠ RV output (will be more) and Qs ≠ Lv output (will be less)
Qp/Qs in PDA • Counterintuitively , Qs = RV output & Qp = LV output • Thus, Qp/Qs = LV output / RV output. . . FOR AN ISOLATED PDA However, for most neonates this is unusual. Coexisting L to R shunts makes simple ventricular output ratios unreliable
Colour Doppler ductal diameter • Optimal gain settings (not too high) • Maximum Doppler scale settings • Duct should be imaged along its entire length Colour Doppler diameter > 2 mm ~ Qp/Qs >2: 1 in neonates Evans N, Iyer P. Assessment of ductus arteriosus shunt in preterm infants supported by mechanical ventilation: effect of interatrial shunting. J Pediatr. 1994; 125: 778– 785
Diastolic flow reversal in Descending Ao PWD NORMAL in PDA FLOW Retrograde diastolic flow –VTId/VTIs >30% ~ QP/Qs>1. 6
Increased diastolic flow in branch PAs
PDA in a Right aortic arch • The PDA is commonly left in origin
Ductal aneurysm • ~8% • May present at any age • In adults may present as a thoracic mass or with cardiovocal syndrome • In children may spontaneously resolve • Requires surgical excision / covered stent placement
Infective endocarditis TEE image showing vegetations on the MPA wall at the pulmonary end of PDA
Use of 2 D Echo in pre-interventional work up • Minimum diameter (A) • Length (B) • Ampulla diameter (C) • PDA type
Use of 2 D Echo in pre-interventional work up • Echo classification corresponding to Krichenko’s A- Conical with a narrow pulmonary end B- Short with narrow aortic end C- Tubular without constriction D- Multiple constrictions E- Long and tortuous requiring >1 echo plane for complete imaging Comprehensive Assessment of Patent Ductus Arteriosus by Echocardiography Before Transcatheter Closure. J Am Soc Echocardiogr 2002; 15: 1154 -9.
Important to define the Ampulla • Adequate Ampulla: Length of PDA> Narrowest portion of the PDA (usually at pulm end)
• Inadequate ampulla: Short PDA - Worst example : WINDOW type (Type B)
• Tubular ductus: Same diameter from aorta to pulmonary end
Echo classification • CONICAL DUCT ( common) • WINDOW DUCT • TUBULAR DUCT
Correlation of 2 D echo and Angio • Wong et al found poor correlation between colour Doppler and angiographic measurements 1 • 2 DE imaging overestimates the minimal diameter in comparison with angiography but in the majority difference was <1 mm 2 • In ~14% there is discrepancy in classification type 2 • Ampulla and length measurement were the most discordant 1. Wong et al. Validation of color Doppler measurements of minimum patent ductus arteriosus diameters: significance for coil embolization. Am Heart J 1998; 136: 714 -7. 2. Comprehensive Assessment of Patent Ductus Arteriosus by Echocardiography Before Transcatheter Closure. J Am Soc Echocardiogr 2002; 15: 1154 -9.
TEE for PDA • TEE is not that popular among the PDA cohort in its incremental benefit in echo diangnosis, compared to ASD, VSD and complex congenital heart disease • Inherent difficulties in imaging
TEE imaging -In high esophageal position (~20 -35 cm), probe rotated completely backward to image decending aorta in the short axis (0 deg). . -Then slowly rotated to around 60 to 80 deg will help visualize the PDA to PA connection
Doppler TEE of PDA Evaluation of Shunt Flow by Multiplane Transesophageal Echocardiography in Adult Patients with Isolated Patent Ductus Arteriosus. JASE 2002.
TEE vs TTE • 40 patients with PDA • Gold standard--- angiography TEE sensitivity – 97% vs 42% and TEE NPV 98% vs 68%, ; p<0. 001) for confirming the presence of PDA For PDA Eisenmenger's syndrome, the sensitivity of TEE in confirming diagnosis of PDA was 100% vs 12% (p<0. 01), Diagnostic Accuracy of Transesophageal Echocardiography for Detecting Patent Ductus Arteriosus in Adolescents and Adults. CHEST 1995; 108: 1201 -05
3 D echo for PDA Full volume 3 D acquisition from a modified parasternal short-axis view, cropped so as to show the entrance of the PDA into the left pulmonary artery
3 D vs 2 D echo for PDA • 42 patients with PDA (mean ~3 years) - 3 D was better than 2 D for type, length, ampulla as well as constrictions - Both 2 D & 3 D Echo overestimated Type A - Type C was overdiagnosed by Echo - Type D is poorly defined in echo - Both underestimated Type E Roushdy et al. Visualization of patent ductus arteriosus using real-time three-dimensional echocardiogram: Comparative study with 2 D echocardiogram and angiography. J Saudi Heart Assoc 2012; 24: 177– 186
3 D TEE
3 D TEE cropped view from aortic side
3 D TEE guided device occlusion
Device closure guided by transaortic phased-array imaging Bartel et al. Device closure of patent ductus arteriosus: optimal guidance by transaortic phased-array imaging. Eur J Echocardiogr (2011) 12 (2): E 9.
THANK YOU