Dficits en sphingomylinase Olivier Lidove Au nom du







































- Slides: 39
Déficits en sphingomyélinase Olivier Lidove, Au nom du Groupe CETNP - Lipidoses Médecine Interne Hôpital Croix-Saint-Simon, 75020 Paris olidove@hopital-dcss. org Réunion Nationale CETL 20 Juin 2013 Toulouse
Liens d’intérêt • Billets d’avion et collaborations scientifiques : • GSK • Sanofi-Genzyme • Shire HGT
Groupe : • • • O Lidove, Médecine Interne I Durieu, Médecine Interne MT Vanier, Biochimie T Levade, Biochimie N Belmatoug, Médecine Interne • Et Groupe CETNP - Lipidoses
Niemann Pick type B • SMPD 1 = sphingomyelin phosphodiesterase 1 = acid sphigomyelinase (ASM) – Cultured skin fibroblasts or leucocytes • AR, 11 p 15. 4 • 0. 4 to 0. 6/100 000 newborns • 2 alleles A : type A; 2 alleles B : type B; 1 A and 1 B : type B • R 608 del – 42% of patients – 25% of alleles
Niemann Pick type B • Initial presentation – Spleen 78% – Liver 73% • Symptoms – Bleeding 49% – Pulmonary infections 42% – Shortness of breath 42% – Joint/limb pain : 39% Mc. Govern MM, et al. Paediatrics 2008.
Treatment ? • Stop tobacco • Risk of coronary artery disease – Atherogenic lipid profile • No specific treatment is available • « Quality of life seems to be normal in some cases »
Niemann-Pick (myélogramme) pathologyoutlines. com
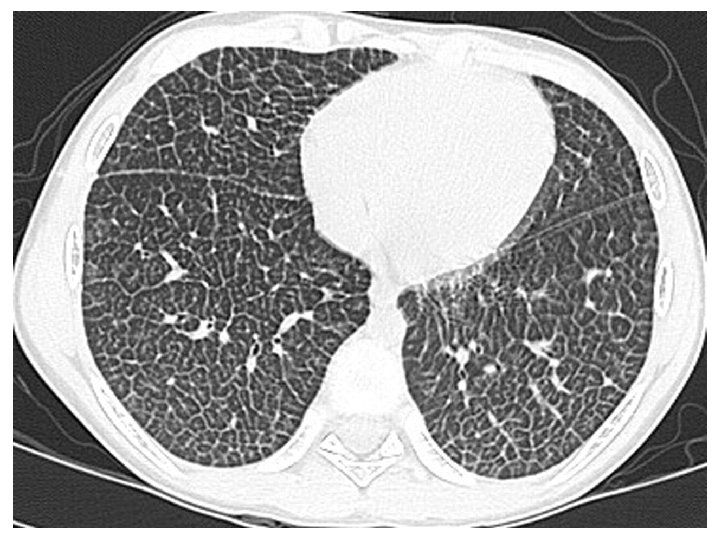
Radiographie thoracique
Just da Costa e Silva E. Pediatr Radiol 2007.
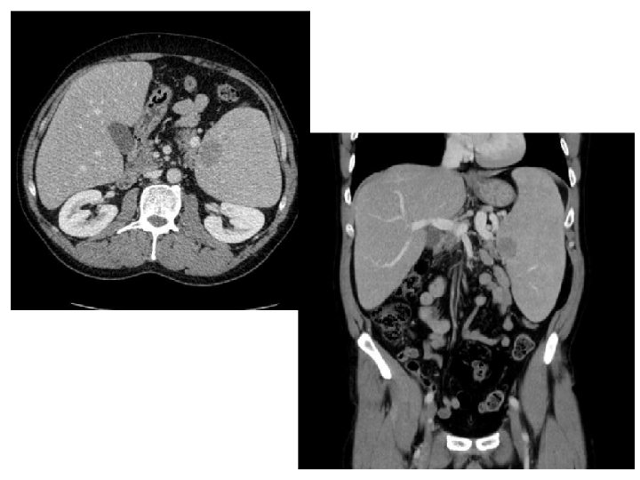
Risque de cirrhose • 1 patient décédé à 31 ans • Plusieurs autres patients français en insuffisance hépatique • Littérature récente Mc. Govern MM, et al. Genet Med 2013 [Epub ahead of print] Thurberg BL, et al. Am J Surg Pathol 2012; 36: 1234 -46.
Splenectomie ? Pas de fièvre Pas de ganglion Ig. M kappa monoclonale
Rupture spontanée de rate : quel traitement ?
Scintigraphie splénique en attente
Etudes précliniques
Recombinant Human Acid Sphingomyelinase (rh. ASM) Sphingomyelin OH CH 2 OPO 3 CH 2 N+(CH 3)3 NH O Acid Sphingomyelinase OH CH 2 O NH Ceramide O + PO 3 CH 2 N+(CH 3)3 Phosphorylcholine
rh. ASM • Over-expression of human c. DNA in CHO cells • Purification of rh. ASM glycoprotein • Preclinical studies in ASMKO mice provide proof of concept for ERT – Dose-dependent reduction of sphingomyelin in organs – Establish biweekly dosing regimen for human use
Perspectives thérapeutiques: Enzymothérapie substitutive • Modèle murin avec inactivation du gène de la sphingomyelinase (qui a une forme neurologique) • Sphingomyélinase humaine recombinante (Genzyme) • Etude préclinique princeps (2000) – Miranda et al, 2000 Faseb J : « Infusion of recombinant ASM into NP mice leads to visceral, but not neurological, correction of the pathophysiology » – Effet sur atteinte systémique mais pas sur atteinte neurologique
Preclinical Toxicity Studies of rh. ASM 1 • IV rh. ASM decreased sphingomyelin levels in ASMKO mice in a dosedependent manner (liver, spleen > lung) • High doses of rh. ASM (≥ 10 mg/kg) resulted in the deaths of ASMKO mice, but not of normal animals – Cardiovascular shock, cytokine elevations – Liver inflammation/degeneration, adrenal hemorrhage • Toxicity appeared related to rapid sphingomyelin degradation • Several low doses followed by high dose rh. ASM prevented toxicity and death • NOAEL: Single dose = 0. 3 mg/kg; Repeat dose > 3 mg/kg 1 Genzyme data on file NOAEL – no observable adverse effect level
Pourquoi la phase 1 a-t-elle été retardée? • Résultats inattendus lors des essais précliniques sur la souris ASM-ko – Doses très élevées (≥ 10 mg/kg) de rh. ASM tuent les souris ASM-ko mais pas les non atteintes • Choc cardiovasculaire, élévation des cytokines • Inflammation/dégénération hépatique, hémorragie surrénale – Cause: dégradation rapide de la sphingomyéline – Plusieurs injections de faibles doses précédant une forte dose: prévention – Définition des doses sans effet adverse (NOAEL): • Dose unique: 0. 3 mg/kg ; ultérieure: 3 mg/kg
Etudes cliniques
Phase 1 Study Patient Flow Mid-study Assessments Inpatient Monitoring Screening/Baseline -180 -1 0 1 2 3 Time (days) rh. ASM infusion Final Assessments 14 28 31 37 Safety Review
Niemann-Pick B : phase I Design et objectifs : single ascending dose study to evaluate the safety and pk profile of single doses of rh. ASM in ASMD patients § Janvier 2007 -> fin Mars 2009 ; 11 adultes § 1 seul centre (Mount Sinaï Hospital, New York) § Doses : – 0. 03 et 0. 1 mg/kg (3 patients / dose) – 0. 3 et 0. 6 mg/kg (2 patients /dose) – 1 mg/kg (1 patient) § Tolérance, p. K, p. D § Résultats présentés à plusieurs congrès et réunions d’associations NP (US et UK) en 2010 et 2011. 24
Plasma Ceramide Levels Patient # - Dose mg/kg 20 Plasma Ceramide, mg/m. L 18 16 14 012112 - 1. 0 012010 - 0. 6 012313 - 0. 6 010807 - 0. 3 011509 - 0. 3 0. 6 010304 - 0. 1 010605 - 0. 1 12 010906 - 0. 1 010202 - 0. 03 10 010503 - 0. 03 010401 - 0. 03 8 Normal range 1. 5 - 8 µg/m. L 6 4 2 0 Pre- 15 m End 15 m 30 m 45 m 60 m Infusion of Infusion 2 h 3 h 4 h 6 h Timepoint 8 h 12 h 18 h 24 h 48 h 72 h Day 14 25
C-Reactive Protein Levels 90 Patient ID - Dose 012112 - 1. 0 80 012010 - 0. 6 012313 - 0. 6 70 010807 - 0. 3 hs-CRP, mg/L 011509 - 0. 3 60 50 010304 - 0. 1 010605 - 0. 1 010906 - 0. 1 010202 - 0. 03 010503 - 0. 03 40 010401 - 0. 03 30 20 Normal level < 8. 5 mg/L 10 0 Pre-Infusion 24 h 48 h Timepoint 72 h Day 14 Day 28 26
Total Bilirubin Levels 5 Patient # - Dose mg/kg 012112 - 1. 0 4. 5 012010 - 0. 6 4 010807 - 0. 3 012313 - 0. 6 Bilirubin, mg/d. L 011509 - 0. 3 3. 5 010304 - 0. 1 010605 - 0. 1 3 2. 5 2 010906 - 0. 1 010202 - 0. 03 010503 - 0. 03 010401 - 0. 03 1. 5 Normal level < 1. 2 mg/d. L 1 0. 5 0 Screen Pre-Inf 12 h 24 h 36 h 48 h Timepoint 60 h 72 h Day 14 Day 28 27
Phase 1 – Summary • rh. ASM was bioactive in vivo • Drug-related AEs after single doses of rh. ASM – Dose-related (≥ 0. 3 mg/kg) – Mostly moderate, transient – Constitutional symptoms began 12 -24 hrs post-dose – Hyperbilirubinemia and acute phase reactants peaked at 48 hrs post -dose and resolved by Day 14 • No cardiovascular or adrenal hormone dysfunction • Maximum tolerated single dose was 0. 6 mg/kg – Dose-limiting toxicity was hyperbilirubinemia • rh. ASM had a prolonged t 1/2 in plasma (10 -15 hr)
Essai de phase I : Conclusion • Des niveaux élevés de produits de dégradation de la sphingomyéline (tel le céramide) semblent induire une réponse inflammatoire et interférer avec le métabolisme de la bilirubine • Plusieurs biomarqueurs de suivi de la tolérance ont été identifiés – Céramide – Bilirubine – CRP, IL-8, calcitonine…. • Argumentaire en faveur de l’administration de doses croissantes chez un même patient pour diminuer l’apparition d’EIs => essai de phase 1 b
Phase 1 b “ An open-label Multicenter, ascending dose study of the tolerability and safety of recombinant Acid Sphingomyelinase (rh. ASM) in patients with Acid Sphingomyelinase Deficiency (ASMD)» • Obj : evaluate safety, tolerability, pharmacokinetic and pharmacodynamic profile of rh. ASM • 6 patients • Countries : UK (Manchester St Mary’s Hospital), US (Mount Sinai, NY) • FPI : April 2013 • Participants will receive rh. ASM of an initial dose of 0, 1 mg/kg, followed by several dose escalations, as tolerated, up to 3, 0 mg/kg. All doses are given 2 weeks apart. • Study duration : 26 weeks • Upon completion of the 6 month trial, participants may have option to continue receiving rh. ASM on a long-term basis under an extension protocol
Recombinant Human Acid Sphingomyelinase (rh. ASM) for ASM Deficiency (Niemann-Pick Disease) Phase 2 Trial (SPHINGO 00709)
Phase 2 – Design Overview • Study objectives : to evaluate the safety, efficacy, and pharmacokinetics of different doses of rh. ASM administered intravenously every 2 weeks for 52 weeks • Study design : phase 2, multinational, multicenter, randomized, openlabel, repeat-dose, dose-comparison study • • Study duration : Screening : up to 60 days Treatment period : 52 weeks Post-treatment period : up to 37 days • Samples size : at least 15 patients • Countries : US, UK, France, Germany, Italy, Brazil, Chile • First patient in : Jan 2014 32
Phase 2 – Endpoints • Primary Efficacy Endpoint - % reduction in spleen volume (MN) by MRI – 15 patient Trial (5 per arm) is powered (>90%) to detect a clinically meaningful reduction in spleen volume (>20%) and dose responsiveness (linear trend test by ANOVA) – Assumptions - spleen volume reductions of 30, 45, and 60% (0. 3, 1, and 3 mg/kg), standard deviation 10%, 15% dropouts, two-sided p<0. 05 • Secondary Endpoints – Liver volume - MRI – Pulmonary imaging – CXR, HRCT – Pulmonary function tests - % predicted DLco/FVC/FEV 1/TV – Exercise capacity by cycle ergometry - % predicted maximum workload, O 2 consumption, and CO 2 production – Physician global assessment – Efficacy biomarker – chitotriosidase – Hematology – platelet count, hemoglobin, WBC
Phase 2 : inclusion • • • Plus de 18 ans Déficit en sphingomyélinase acide 20 < patient >= 80% DLCO Rate > 6 N – splénectomie partielle Test grossesse négatif Contraception efficace
Phase 2 : exclusion • Co-morbidité sévère (INR > 1. 5, plaquettes < 60 000, HTAP, valvulopathie, FEVG < 40%, transaminases > 250, bilirubine > 1. 5 mg/dl) … • Greffe (moelle, foie) • Splénectomie • Traitements hépatotoxiques (dont statines) • Certains psychotropes • Allaitement • …
Remerciements Centre de Référence Maladies Lysosomales (Coordination : Dr Nadia Belmatoug) Hôpital Beaujon, Clichy Dr Jerôme Stirnemann Dr Frédéric Sedel Prof. Bruno Crestani, Pneumologie, Bichat Prof. Jean-Pierre Laissy, Radiologie, Bichat Dr. Pascal Jacquenod, Radiologie, Croix St Simon
Remerciements à Genzyme pour les informations détaillées concernant les résultats de la phase 1
Tableaux cliniques 4 Macrophage Gaucher type 1 4 Cellule endothéliale Fabry Niemann-Pick type B