Coqueluche XV Jornada Cientfica dos Mdicos Residentes do




















- Slides: 20
Coqueluche XV Jornada Científica dos Médicos Residentes do HMIB 21 a 23 de fevereiro de 2013 Alexandre Peixoto Serafim UTI Pediátrica www. paulomargotto. com. br Brasília, 23 de fevereiro de 2013
Plano de Apresentação Coqueluche: Patogenia básica Bordetella monomórfica e variações alélicas Definição de caso clínico Fatores de risco à vida e terapia intensiva Casos clínicos Tratamento e estratégias de vacinação
Lactentes adquirem coqueluche antes de ter idade para serem imunizados ou montar uma resposta imunológica adequada. Os sintomas clínicos podem ser atípicos e o diagnóstico difícil. Nem todos os lactentes apresentam tosse paroxística, e o quadro clínico pode ser dominado por episódios de instabilidade autonômica (apnéia, cianose e bradicardia). Os quadros críticos evoluem com pneumonia e disfunção de múltiplos órgãos requerendo suporte ventilatório.
Mooi F. Emerging Infectious Diseases 2009
Cherry J. Clinical Definitions of Pertussis. CID 2012: 54
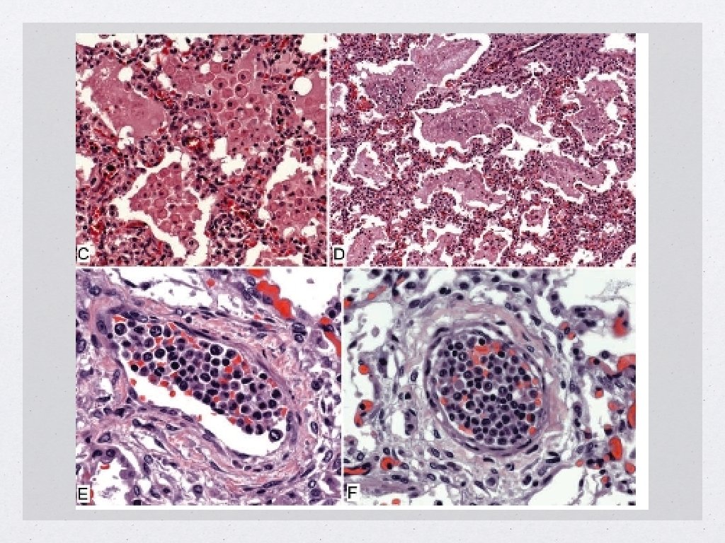
Pertussis Maligna em Crianças: Definição de Risco a Vida Pertussis com apnéia / bradicardia Pertussis com Pneumonia Pertussis Maligna (SDRA, Hipertensão Pulmonar, Insuficiência Cardíaca e Falência de Múltiplos Órgãos) Tissieres P et al, Archives of Diseases in Childhood 2008; 93
Razões para Internação na Terapia Intensiva Apnéia Bradicardia Cianose 59 (82) [ n (%) ] 56 (78) 69 (83) Alteração do estado mental 7 (10) Convulsões 6 (8) Surridge J, Pertussis requiring intensive care. Arch Dis Child 2007
Levene I. Is Measurement of lymphocyte count useful in investigation of suspected pertussis in infants? Ach Dis Child 2011
Pertussis: características da apresentação hospitalar Contagem de Linfócitos 0 -9 24 (35) 10 -14 15 (22) 15 -24 13 (19) >25 12 (17) Patógenos Virais Vírus Sincicial Respiratório 7 (44) Picornavirus Enterovirus Parainfluenza + RSV 2 (13) Adenovirus 1 (6) 3 (19) 1 (6) Citomegalovirus 1 (6)
Fatores de risco para óbito ou sequelas respiratórias ou neurológicas Não Imunização 3, 64 (0, 58 -12, 61) Co-morbidade 5, 56 (1, 50 -8, 15) Linfocitose 5, 75 (1, 54 -13, 65) Pneumonia 3, 35 (0, 95 -6, 83) Convulsões ou Encefalopatia Choque 4, 87 (1, 18 -8, 34) 6, 50 (1, 89 -8, 94) Surridge J. Pertussis requiring intensive care. Arch Dis Child 2007
Halasa NB. Fatal pulmonary hypertension associated with pertussis syndrome. Pediatrics 2003
Caso Clínico Trata-se de um lactente de 7 meses admitido na UTI Pediátrica procedente do HRBz, transportado de helicóptero pelo SAMU. Há 1 mês evoluiu com quadro “gripal”e tosse persistente. Um dia antes da internação evoluiu com insuficiência respiratória e choque séptico.
Caso Clínico Exame Laboratorial Hemoglobina 11, 5 g/d. L Leucócitos 92. 100 Bastonetes 7% Neutrófilos 35% Monócitos 5% (4. 600) Linfócitos (39. 600) 43% Plaquetas 603. 000
Caso Clínico - Evolução Intubado para o transporte e colocado em Ventilação Mecânica Hipotenso e com perfusão ruim. Tentado tratamento com expansões e adrenalina contínua, sem sucesso. No segundo dia de internação foi feita troca de 1000 m. L de sangue. Leucócitos após transfusão: 25. 400 Seguiu febril e com taquicardia de difícil controle. Ecocardiograma: dilatação acentuada de VD com disfunção sistólica grave. Evoluiu com anúria no terceiro dia e em seguida clínica de morte encefálica.
Caso Clínico - 2 Ex-prematuro com 3 meses e 8 dias, com tosse e dispnéia há 16 dias. Estava usando corticóide e broncodilatador. Internado no PS-HMIB por tosse vômito e cianose. Saturação inicial de 86%. Hemograma: Leucócitos 32. 700 (linfócitos 66% 21. 500). Intubado 2 horas após a admissão na UTI. Apresenta instabilidade autonômica com necessidade de RCP. Prescrito dobutamina e noradrenalina. Hemograma: 85. 400 (linfócitos 31. 500). Segue com acidose metabólica e choque refratária. Óbito após 17 horas na UTI.
Coqueluche e exsanguineotransfusão Nieves D. Exchange blood transfusion in the management of severe pertussis in young infants. Pediatr Infect Dis J 2013 Nicholson CE. Early exchange and pheresis therapies in critical pertussis. Pediatr Crit Care Med 2011 Donoso AF. Exchange transfusion to reverse severe pertussis-induced cardiogenic shock. Pediatr Infect Dis J. 2006
Coqueluche e exsanguineotransfusão • A exsanguineotransfusão está recomendada quando o número total de leucócitos ultrapassa os 50. 000. Quanto mais cedo for realizada, maiores os benefícios. No entanto, em alguns casos (na nossa UTI), conseguimos reverter a disfunção de órgãos utilizando esse recurso (com sobrevivência do bebê).
Coqueluche - estratégia de vacinação “Cocoon strategy” • Cocoon"= casulo significa recomendar a vacinação de gestantes entre as semanas 28 e 38 de gestação. O objetivo é que a mãe produza anticorpos que protegerão o bebê nos primeiros meses até que ele possa receber a primeira dose da vacina. O Ministério da saúde passou a recomendar essa estratégia a partir desse ano no Brasil devido ao aumento do número de notificações. Para as mães que não receberam a vacina durante a gestação, uma alternativa é realizá-la após o parto, esperando que anticorpos possam ser transmitidos através da amamentação.