Case presentation Tania Jain Chief medical resident Detroit
































































- Slides: 64
Case presentation Tania Jain Chief medical resident Detroit Receiving Hospital
Idea of an M and M conference • Learn (that’s why we are in a training program ; ) • Improve the system (we owe it to the hospital !)
Idea of an M and M conference • Learn (that’s why we are in a training program ; ) • Improve the system (we owe it to the hospital !) • Have fun
At admission • 68 yo man with h/o CAD (s/p MI and PCI in 2006) • 2 weeks of generalized abdominal pain, constipation (8 days) and weight loss (15 -20 lbs) • ROS – cough
Other histories…. • PMHx: CAD (patient reports he doesn't take any medications, currently) • PSHx: Cardiac stent 2006 • Family Hx: Mother - MI, Father - TB • Social Hx: 1 PPD x 20 years (quit 2006); 1 fifth/day (quit 2006); remote IV heroin (60's and 70's) • Allergies: NKDA
Physical exam • HR 117 • Vital signs including RR and O 2 Sat. were normal range (12 -18/ 96 -100%) • Respiratory: Positive egophony on left lung. • Gastrointestinal: Diffusely tender to palpation without rebound/ guarding, no masses
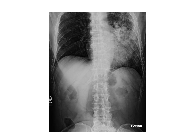
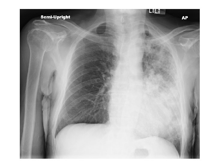
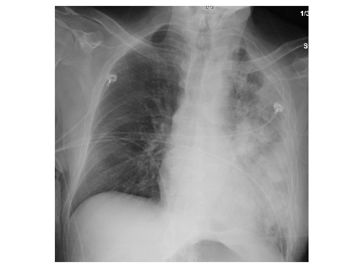
ER work-up • Abdominal XR = No obstruction/ air fluid level Atelectasis with central bronchial obstruction
More about the cough ? • Cough productive of thick, white phlegm. • Dyspnea at rest as well as fatigue, generalized weakness and inability to walk • No fever, night sweats, hemoptysis • Only exposure in distant past (father; died many years ago)
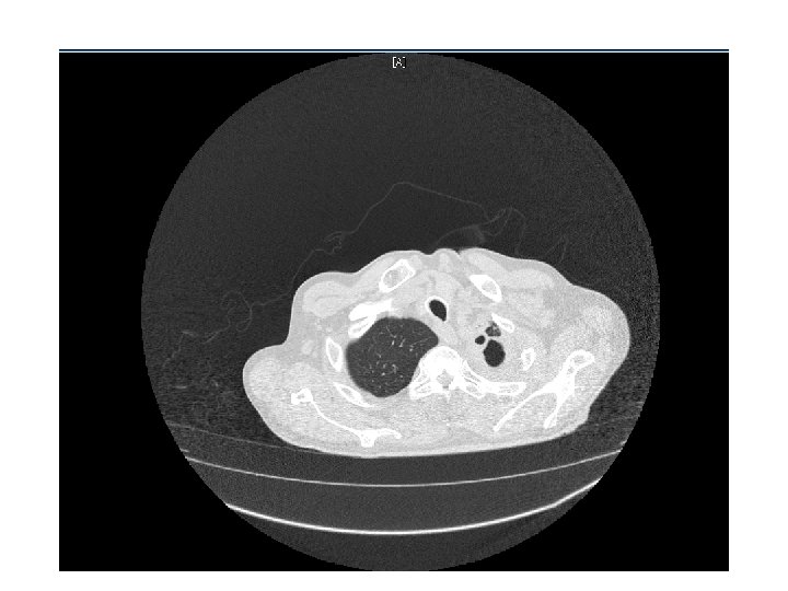
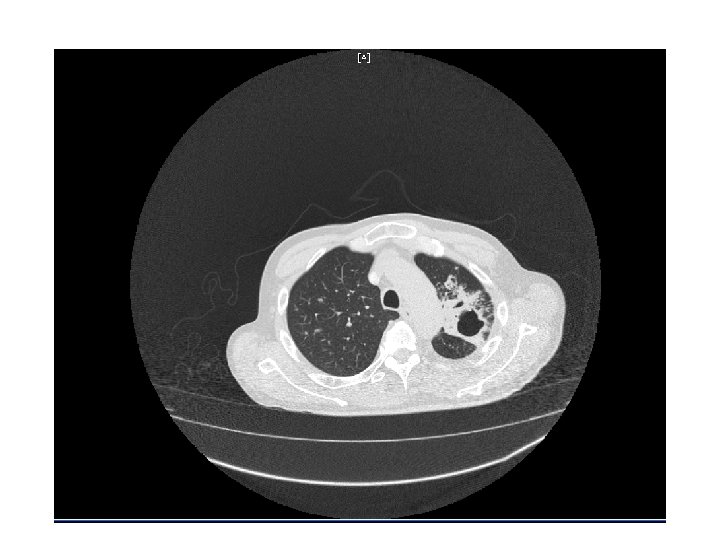
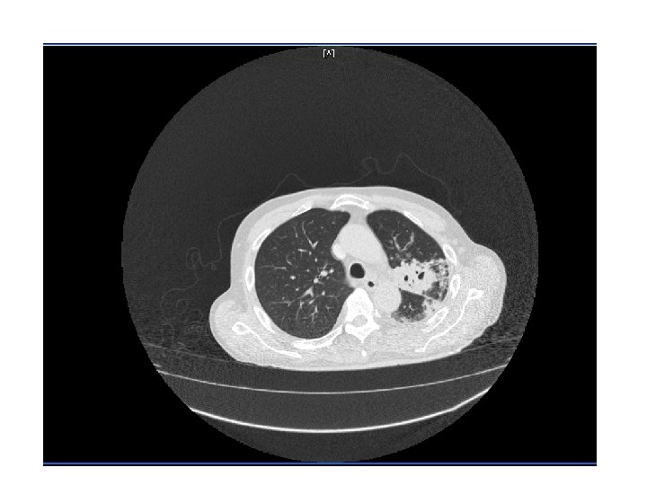
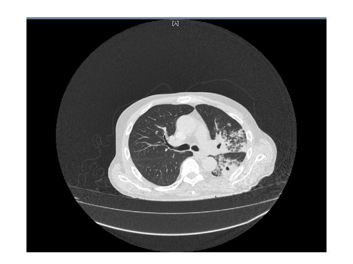
CT Chest • Multiple cavitary lesions • Largest left lung apex 3. 8 x 4. 7 cm with nodular thickened wall • Smaller cavitary lesions in L lung base • R lung: smaller areas of ground-glass opacities with areas of tree in bud appearance.
Other labs • • K 2. 9 Liver enzymes 38/ 63/ 70 Blood cultures sent (negative) AFB smear x 3 ordered TB Quanti. FERON® ordered HIV ordered TB isolation precautions
Day 2 • With Pulmonary consulted, plan is to pursue a bronchoscopy if AFB x 3 negative (concern infections vs malignancy)
By Day 5 • 3 x AFB sputum smear reported negative * producing very little sputum * one sample was induced sputum by RT * One morning sample
Oh BTW…. • The morning of day 5 (which is the day patient scheduled for bronchoscopy), TB Quanti. FERON® reported positive
What do you do now ? ? Discontinue isolation ? Bronchoscopy ? Nucleic acid amplification ? Treat active TB ? Treat latent TB
What actually happened ? • AFB isolation discontinued • Patient underwent bronchoscopy
A few hours post-bronchoscopy… • • Tachypneic with RR 30 s Tachycardic to HR 150 s Hypoxic w/ SPO 2 92 on 4 L NC Accessory muscle use. Crackles, most prominent over left upper lung field. Decreased breath sounds, more prominent on left side • ABG 7. 5 / 22 / 65 / 20 / 93, lact 3. 4 • Transferred to MICU for new sepsis secondary to HCAP ; Rx vancomycin and cefepime
Day 6 & 7 • • BAL smear : 4+ AFB isolation re-initiated Started on RIPE Blood and respiratory fungal cultures negative
Back on floors • • Repeat 3 AFP sputum - negative BAL sent for susceptibility testing Continued RIPE and AFB isolation Discharged after 2 weeks inpatient RIPE; Detroit/ Michigan dept of health informed; TB clinic follow up
• Day 30, sputum cultures (from day 2, 3) are reported positive for Mycobacterium tuberculosis
Aim • To understand the following about TB diagnosis and prevention : ? CDC guidelines to prevent transmission ? Testing for TB diagnosis ? Role of bronchoscopy ? When in doubt
Typical TB patient • Cough >= 3 weeks/ weight loss/ fever/ night sweats • Chest xray • Sputum Smear • Sputum culture • Sputum drug susceptibities
Our patient decision tree in retrospect ! Quanti. FERON® positive = means he is infected Latent Active
“Latent” and Active TB • Infected but not symptomatic • Not infectious • skin test or blood test result indicating TB infection • normal chest x-ray and a negative sputum test • Needs treatment for latent TB • Skin/ blood test positive • Abnormal chest XR or positive sputum • Symptoms • Treatment for TB disease
Quanti. FERON® positive = means he is infected (latent or active) Latent : no symptoms/ normal chest xray/ sputum negative Active TB : symptoms/ chest xr findings/ sputum smear +
Preventing transmission • Who to isolate ? “Anyone suspected to have TB disease OR has known TB disease and has not had enough treatment”
How to identify “infectious” patient ? • Cough > 3 weeks • Cavitation on chest xray • Positive AFB sputum smear • Lung/ laryngeal involvement • Failure to cover mouth/ nose • Cough-inducing/ aerosol generating prcedures * Extrapulmonary TB is not infectious unless open abscess or lesion
When to discontinue isolation in a TB “suspect”
• Likelihood of TB AND Another possible diagnosis OR AFB smears negative x 3
Excerpts from CDC : • Hospitalized patients for whom suspicion of TB remains after 3 negative AFB sputum smear should not be released from airborne precautions until they are on standard multidrug antituberculosis treatment and are clinically improving.
Fun fact • In one study, 17% of transmission occurred from person with negative AFB smear results. Behr MA etal. Transmission of mycobacterium tuberculosis from patients smearnegative for acid-fast bacilli. Lancet 1999; 353: 444 -9
When to discontinue isolation in a TB “disease”
• Effective therapy for 2 weeks • Clinical improvement • AFB smears negative x 3
How about discharge home ? • Specific plan for follow up • Standard multidrug TB Rx and DOT • No infants/ children < 4 yrs or immunosuppressed • Immunocompetent members have been exposed
Diagnostic procedures for TB
Quanti. FERON® TB Gold • Cell mediated immune response • IFN gamma • ELISA based • Positive in both latent and active disease
Tuberculin skin test • PPD, 48 -72 hrs • Beyond 72 hours ? *repeat *If ≥ 15 mm up to 7 days + Measure the induration; not redness Ø OK to do in HIV, BCG exposure, pregnancy
Interpreting the TST Size of induration: >5 mm highest risk, HIV, known exposure >10 mm other risk factors >15 mm no known risk factors
Chest radiography • Active disease: upper lobe infiltration/ cavity/ effusion • Healed: nodules, fibrotic scars, calcified granulomas or basal pleural effusion • Normal in latent TB • HIV: infiltrate in any lung zone, mediastinal or hilar LAD, normal
Sputum samples • 3 samples, 8 – 24 hours apart, atleast 1 morning • Type: Spontaneous expectoration Induced sputum Gastric aspirate (esp children) Bronchoscopy sample
• Stained smear - Auramine rhodamine/ Ziehl -Neelsen or Kinyoun stained smear under flourescence microscopy • Culture – definitive identification, drug susceptibilities
Nucleic acid amplification • 70% sensitivity in smear negative • Utilize a lot of amount of specimen, which could be used for culture/ drug susceptibilities • Should not replace culture and drugsusceptibility testing in suspected TB.
Role of bronchoscopy
• Those with negative induced-sputum results still suspected with TB are then referred for bronchoscopy • 30 suspected cases: Induced sputum smear/culture 60 days BAL culture + 3/30 (10%) BAL smear + none BAL NAA + none
Diagnostic utility • Drug susceptibilities • Identification of alternative diagnosis: granulomatous/ malignancy Lower yield • Operator expertise • Lidocaine – antibacterial and antifungal properties
101 Smear negative patients • BAL culture: Sensitivity 73% NPV 91% • Induced sputum: Sensitivity 87% NPV 96% Low cost Well tolerated
Excerpt from * If possible, bronchoscopy should be avoided in patients with a clinical syndrome consistent with pulmonary or laryngeal TB disease because bronchoscopy substantially increases risk for transmission either through an airborne route or a contaminated broncoscope, including in persons with negative AFB sputum smear results.
Excerpt from • If the underlying cause of radiographic abnormality remains unknown, additional evaluation with bronchoscopy might be indicated; however, in case where TB disease remains a diagnostic possibility, initiation of a standard TB regimen for a period before bronchoscopy might reduce the risk for transmission.
Excerpt from • If bronchoscopy is performed, because it is a cough-inducing procedure, additional sputum samples for AFB smear and culture should be collected after the procedure to increase the diagnostic yield.
HIV Testing u Who to test for HIV ? Every patient with latent or active TB u Why ? Progression from latent to active TB. Rapid progression/ fatal. Rapid expansion of outbreaks. u What test ? Rapid HIV/ Standard labs assays
Hot off the press from MMWR. .
DMC does not have this test available ! • Automated nucleic acid amplification test that can simultaneously identify M. tuberculosis and rifampin resistance within 2 hours. • 98 percent of patients with smear-positive tuberculosis and 72 percent of patients with smear-negative/culture-positive tuberculosis
This recent newsletter says… • To aid in decision of whether continued airborne isolation is warranted for pts with suspected pulmonary TB. • Per the data presented at Conference on Retroviruses and Opportunistic Infections in Seattle in Feb 2015, negative Xpert MTB/RIF assay results form either one or two sputum samples are highly predictive of results of two or three negative AFB sputum smears. • Single negative Xpert assay NPV 99. 7% (99. 6% in USA and 100% outside) • Two serial negative NPV 100%
Take home ! • • High suspicion “Intraweb” / DMC resources Take you own history It’s ok to seek help when in doubt
Acknowledgments Dr D. Kissner Dr R. Roxas Dr S. Dhar CDC