Apikale Parodontitis Definitionen Odontium Zahnschmelz Dentin Pulpa Apikale












































- Slides: 44
Apikale Parodontitis
Definitionen: Odontium: Zahnschmelz, Dentin, Pulpa Apikale Parodontium: Zement, Periodontium, Lamina dura, Spongiosa Wenn die Krankheiten des Odontium sich fortpflanzen wird, wird Apikale Parodontium
Hochvirulente Erreger dringen über die Wurzelkanalöffnung en in das noch gesunde Parodontium ein und verursachen eine akute entzündliche Reaktion.
Ursachen �Bakterien �Mechanische �Chemische Streptococcus, Lactobacillus, Actinomyces viscosus Behandlungstrauma Orthodontische Behandlung Alkohol, Chloroform, Hydrogen peroxide, Überstopfte Wurzelfüllungen
I. Akute Apikale Parodontitis � PRIMER Symptome: Akute Entzündung in der Umgebung der Wurzelspitze. Dauerschmerz in der Umgebung des Zahnes, Perkussionsschmerz, Der Patient hat das Gefühl, der Zahn sei länger geworden. Ursache: Pulpitis, Trauma, Caries, Wurzelbehandlung Röntgen: Im Röntgenbild bietet die primär-akute apikale Parodontitis zunächst keine Veränderungen. Nach einigen Tagen wird der durch die Entzündung ausgelöste Knochenabbau als diffuse Aufhellung in der Umgebung der Wurzelspitze erkennbar. + Periodontale Spalt ist breiter. � SEKUNDER Symptome: Akute Exazerbation einer primär-apikalen Parodontitis. Röntgen: Ähnlich wie chronische apikale Parodontitis
Ludwig-Angina folgt oft eine Zahn-Infektion oder andere Infektionen oder Verletzungen im Mund. Symptome sind: � Schmerz oder Empfindlichkeit in den Boden von Ihrem Mund, unter der Zunge � Schwierigkeiten beim Schlucken � Sabberei � Probleme mit der Sprache � Nackenschmerzen � Schwellung des Halses � Rötung am Hals � Schwäche, Müdigkeit � Ohrenschmerzen � geschwollene Zunge gegen den Gaumen drücken � Fieber, Schüttelfrost
I/A Periodontitis periapicalis acuta �Acuta Wurzelhautentzündung �Symptome: spontaner Zahnschmerz, Perkussionsschmerz �Röntgen: Keine Veränderung oder periodontale Spalt ist breiter.
I/B Abcessus periapicalis acuta �abgekapselte Ansammlung von Eiter �Symptome: spontaner Zahnschmerz, Perkussionsschmerz mobiler Zahn �Röntgen: Periodontale Spalt ist breiter. Apikale Aufhellung kann sein.
I/C Periostitis acuta �Akute Knochenhautentzündung unter der Periosteum �Symptome: Schwellung Fieber, Lyphadenopathia mobiler Zahn �Röntgen: Keine Veränderung
II. Chronische Apikale Parodontitis �Symptome: Langsamer Verlauf. Keine Schmerzen, Devitalität des betroffenen Zahnes. �Ursache: Infektion über den Wurzelkanal eines pulpentoten Zahnes �Röntgen: Im Röntgenbild apikale Aufhellung oder Parodontalspaltverbreiterung. +Knochensklero se/ Knochenverdünnung
II/A Pulpagangrena � 2 Typen: - Gangrena simplex- nur Pulpa ist tot, Röntgen- keine Veränderung. - Gangrena komplex – Knochen im Umgebung der Wurzel ist auch tot. Es kann in 2 Variazion erscheinen: Ostitis rareficiens- Knochenverdünnung Ostitis slcerotisans- Knochenneubildung
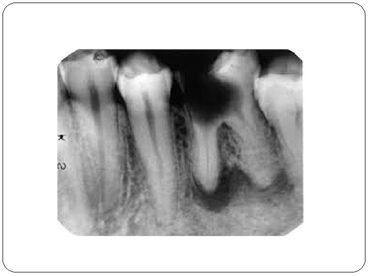
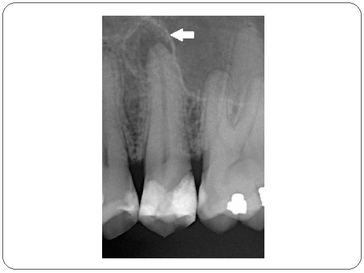
II/B Parodontitis periapicalis chronica �Chronische Wurzelhautentzündung �Symptome: Es gibt sehr oft keine Symptome. �Röntgen: Periapikale Aufhellung-(Grenze ist nicht so scharf) Parodontalspaltverbreiterung �Histologie: Cyst > 1 cm (Fluidum) Granuloma < 1 cm (Granulationsgewebe)
Granuloma
Eine Variation: Parodontitis lateralis chronica �Es gibt Seitekanale nach mesiale oder nach distale Richtung. Die Veränderung erscheint neben der Wurzel. �Symptome: Keine Schmerzen, Devitalität des betroffenen Zahnes. �Röntgen: rundliche Aufhellung im lateralen Parodontium.
Cyst
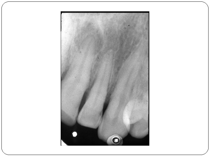
II/C Abcessus periapicale chronica �abgekapselte Ansammlung von Eiter �Symptome: spontaner Zahnschmerz, Perkussionsschmerz Fistula, Gaumenschwellung Eiterbeule an der Gaumen �Röntgen: Irregulare und unscharfe Grenze, Aufhellung, (Granuloma und Zyst sind dunkler)
II/E Parodontitis apicalis chronica ossificans �Knochenvedünnüng in der Parodontium �Symptome: keine Beschwerde (Patienten sind oft <20 Jahre alt) �Röntgen: Sklerosis
Radiologische Definition �Periodontitis periapicalis acuta �Parodontitis periapicalis chronica diffusa �Parodontitis periapicalis chronica circumscripta �Parodontitis periapicalis chronica progressiva �Parodontitis periapicalis chronica ossificans
acuta
diffusa circumscript a
progressiv a ossifican s
Falsch negative Diagnose �Foramen incisivum �Foramen mentale �Sinus maxillaris �Foramen nasale �Tuberkel von Pulpa
Therapie �Trepanation des Zahnes zum Sekretabfluss �Konservative Wurzelbehandlung mit anschließender Wurzelfüllung wird ebenfalls empfohlen �Wurzelspitzenresektion bei erhaltungswürdigem Zahn. �Die Extraktion des Zahnes im akuten Stadium ist nur in besonderen Fällen angezeigt. Es ist dann eine perioperative Antibiotikaprophylaxe erforderlich, weil der Entzündungsprozess durch das Extraktionstrauma aktiviert werden kann.
Wurzelbehandlung
Vor der Wurzelbehandlung Nach der Wurzelbehandlung