Yrselattacker hos ldre SNOF Kpenhamn 131128 Mikael Schulin











































- Slides: 43
Yrselattacker hos äldre SNOF, Köpenhamn 131128 Mikael Schulin
Fall 1 n n Man f 38 Massiv her hjärt/kärlsjukdom Aldrig rökt Cor by pass 90 -t
n n 2006 plötslig sjögångsyrsel och dubbelseende Sporadiska attacker - äv rot yrsel
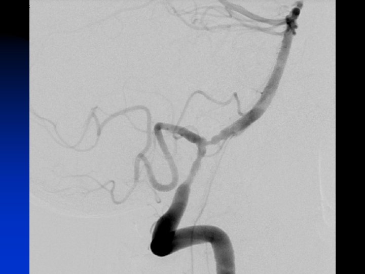
n n n Sommaren 2011 flera attacker per vecka (20 sek till 10 min) Soc handikappad CT huvud: förkalkningar i vertebralartärer
Cerebri post Cerebelli sup Basilaris Vä AICA Vä PICA Spinalis ant V 4 V 3 Vä vertebralartär
n n n Direkt postop upplevd förbättrad syn och balans Inga ytterligare anfall Uppföljande CT-angio utan restenosering
Yrsel n Vertigo ATTACKER Spontana Icke spontana - Meniere - BPPV - Vestibulär - Ortostatism migrän - TIA/TNA - Bow hunter’s sndr - Makrovaskulär slynga -Subclavian steal sndr - Tredje fönster n Ostadighet - (multi)sensorisk svikt - Delsymptom i andra sjukdomar - Polyfarmaci (biverkningar, interaktioner) - spinocerebellär ataxi - rädsla att ramla, oro, depression, isolering, inaktivitet, nya glasögon, bilat meniere, BPPV…
National Institute of Neurological Disorders and Stroke (NINDS) criteria ”…vertigo, dysarthria, dizziness or wooziness, focal symptoms suggestive of migraine, confusion, and amnesia, should not be defined as TIAs. ” The Ad Hoc Committee on the classification and outline of cerebrovascular disease II. Stroke 1975; 6: 566– 616.
n ”Vertebrobasilar TIA is a rare cause of isolated recurrent vertigo” (Lempert 2012)
93, 5% perifer yrsel hos äldre: BPPV, idiopatisk vestibulopati(? ) eller migränyrsel Üneri A 2008 The Journal of Laryngology & Otology
Conclusion: ” … stroke occurring in less than 1 in 500 patients within the first month. ” Anthony S Annals of Emergency Medicine 2010
Nytta av CT-A, Temporalbens-MR, MR Hjärna vid ”isolated dizziness” n n Ca 800 patienter Five patients (2. 2%) with CTAs, 4 (1. 3%) with CE-MRs, and 4 (1. 5%) with MRIACs demonstrated significant findings CTA: CT-angiografi CE-MR: Contrast enhanced MR, MR hjärna med kontrast MRIAC: MR inner auditory canal S Fakhran Head & Neck 2013
Invändningar n n 5 -25% har ischemisk stroke som orsak till akut vestibulärt syndrom ”Transient ischemia within the vertebrobasilar system is a common cause of episodic vertigo in older patients. ” (Baloh 2000)
3000 enkäter till äldre om ev TNA/TIA med uppföljning fem år senare n ”…consistently increased risk in men and women reporting rotatory vertigo (relative incidence ratio 2. 5). … Thus rotatory vertigo is a risk factor for stroke but non-rotatory dizziness is not. ” Evans Ageing 1990
n n De flesta menierefall debuterar i 30 -50 års ålder 2 -3 % av huvudvärksmigrän debuterar efter 50 års ålder
n ”The risk for cerebral infarction after TIA is 10% to 15% within 90 days. The risk goes up to 22% for TIA patients who have vertebrobasilar stenosis greater than 50% documented by angiography. ” (Lempert 2012)
Nicola et al Lancet/Neurology 2013: n n n Undersökte andelen tidigare TNA: s (transient neurol attacks) hos 1034 patienter med ischemisk stroke. 759 hade stroke i carotisområdet 275 vertebrobasilarisstroke
n n Isolerad hjärnstams-TNA förekom innan hos 45 av de 275 (16%) Av alla 59 TNA föregående vertebrobasilarisstroke, uppfyllde bara fem (8%) NINDS kriterier för TIA.
n De övriga 54 hade: Monosymptomatisk vertigo (n=23), non. NINDS synstörningar (n=9), vertigo med andra icke fokala symptom (n=10), sluddrigt tal, halvsidiga pirrningar eller diplopia (n=8), and icke-fokala symptom (n=4).
n Endast 10 (22%) av de 45 patienter med isolerade hjärnstams-TNA hade sökt läkarhjälp innan stroken och en vaskulär orsak misstänktes i ett av dessa fall.
n n n TNA i 24% innan VB-stroke Isolerad vertigo hos 39% av dessa Vertigo i kombination med ickefokala symptom hos ytterligare 18%
Fall 2 n n n Man f -40 Exrökare Kost beh DM, HT, hyperlipidemi, Waranbeh FF Drog åt vänster vid promenader Nu rot yrsel en minut utan lägesändring innan
n n n Följer: neds åt vä Vis suppr: 0, 6 -0, 8 Vä sl nyst efter 40 sek vä-rotation av huvudet
n n n CT-huvud: hö sid frontal inf, progress kärlkalk i carotider, vertebraler och basilaris MR-angio: inget flöde i vä vertebral, hö d: o ordinär (CT-A ej möjlig) Tillklämning av hö vertebral vid huvudvridning vänster?
n Rossitti: Ej möjlighet till endovaskulär neurokirurgi
Fall 3 n n n Kv f 33 HT, op spinal stenos 2011 98: rot yrsel, 01: bakre bgg-BPPV hö Början okt 13: tinnitus vä, värk hö öra 19/10: plötsligt rot yrsel, kräkningar, oförändrad tinnitus
n n Hsk-nystagmus vertikalt nedåt Huvudvridning i sitttande åt höger: efter tio sek högerslående nystagmus
n n n CT-huvud: ua CT-angio: mkt tunn vä vertebral, förkalkning i höjd med skallbasen, fetal försörjning av posteriora kärlen via främre cirk. (gott tecken) Tillklämning av höger vertebralartär vid huvudvridning höger?
n Neurovask rond 8/11: Oacceptabel hög risk med revaskulariseringsingrepp och oviss vinst.
Rotational Vertebral Artery Occlusion (Bow hunter’s syndrome)
n n n 51% dominant vä VA 25% dominant hö VA 25% codominanta artärer 15% hypoplastisk VA (< 2 mm) 5% en VA som avslutas i en PICA utan att förenas med andra sidans VA i Basilaris
Bow hunter’s n n Litteratur: Mestadels fallbeskrivningar med yrsel och hjärnstamssymptom vid huvudvridning samt diskussion om mekanismen bakom nystagmusmönstret Nystagmus vid huvudvridning -relevans? - relation till vertebralisinsuff/TIA?
Utredning TIA – AV VEM? ? n n n n Blodsocker Blodstatus CRP SR Na, K, krea PK-INR, APTT och hjärtinfarktmarkörer Lipider n n n n Elektrokardiografi - EKG Datortomografi - DT DT – angio Ultraljud halskärl Ultraljud hjärta Bandspelar-EKG Lumbalpunktion protein S, protein C, APC-resistens, antitrombin III, kardiolipidantikroppar, fibrinogen, homocystein, lupusantikoagulans
Spontana yrselattacker hos äldre n n n Uteslut BPPV, migränyrsel och Menieres sjukdom Testa för vertebralisstenos med huvudvridningstest. Nystagmus? Om nystagmus vid testet eller i övrigt stark misstanke på TIA/TNA i bakre cirkulationen - gör (dynamisk) CTangio. Även MR om misstanke om permanent skada (stroke).
n n Vid anfall - smartphone-filmning av pat eller anhöriga. Betaserc vid ”idiopatisk” vestibulär attackyrsel. Utförlig licensmotivering utan hittills underkännande av Läkemedelsverket.
n Rotatorisk yrsel som enda TIA/TNA -symptom kanske vanligare än tidigare uppfattning?