UNIVERSIDAD DE LOS ANDES FACULTAD DE MEDICINA ESCUELA







































- Slides: 39
UNIVERSIDAD DE LOS ANDES FACULTAD DE MEDICINA ESCUELA DE MEDICINA DEPARTAMENTO DE FISIOLOGÍA SISTEMA NERVIOSO MOTOR CEREBELO Profesor: Carlos N. Nasr E. Licenciado en Biología Médico Cirujano MÉRIDA, 2013
CEREBELO Del latín: Cerebellum, pequeño cerebro “Área Silente”? ? ?
TEMARIO 1. Anatomía macroscópica y microscópica del cerebelo 2. Circuito neuronal del cerebelo 3. Función del cerebelo en el control global: a. Vestíbulo-Cerebelo b. Espino-Cerebelo c. Cerebro-Cerebelo 4. Anomalías clínicas del cerebelo
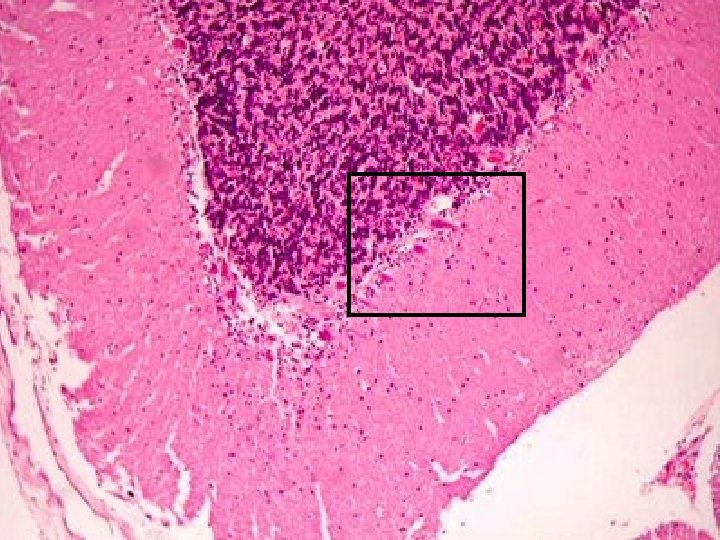
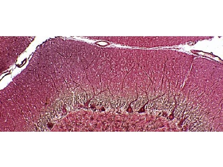
1. Anatomía macroscópica y microscópica del cerebelo
Kandel y colaboradores, Principios de Neurociencias. 4 ta edicion 2000
2. Circuito neuronal del cerebelo Las tres regiones funcionales del cerebelo tienen diferentes centros de entrada y de salida Kandel y colaboradores, Principios de Neurociencias. 4 ta edicion 2000
Principales vias aferentes
Principales vias aferentes al cerebelo desde la periferia
¿Qué llega por el fascículo espinocerebeloso dorsal?
Información sobre: • La contracción muscular. • El grado de tensión en los tendones musculares. • La posición y la velocidad de movimiento de las diversas partes del cuerpo • Las fuerzas que actúan sobre las superficies corporales
¿Qué llega por el fascículo espinocerebeloso ventral?
• La información que envía el encéfalo a través del fascículo corticoespinal y rubroespinal. • Los generadores internos de patrones motores de la propia médula.
Principales vias eferentes desde el cerebelo Kandel y colaboradores, Principios de Neurociencias. 4 ta edicion 2000
Circuito neuronal de la unidad funcional Kandel y colaboradores, Principios de Neurociencias. 4 ta edicion 2000
Capa de las células de Purkinje Célula de Purkinje Fibra trepadora Inhibición Célula nuclear profunda Excitación Aferencia (oliva inferior) Eferencia Capa Granulosa Células Granulares Núcleos profundos Fibra Musgosa Aferencias (El resto de aferentes) Corteza Capa Molecular
EL CEREBELO EMITE SEÑALES DE ENCENDIDO-APAGADO Y APAGADO-ENCENDIDO
• El Cerebelo emite señales de encendido-apagado y Capa apagado-encendido Célula de Purkinje - Fibra trepadora Célula nuclear profunda Capa de las células de Purkinje Inhibición + Excitación + Aferencia (oliva inferior) Eferencia Capa Granulosa Células Granulares Núcleos profundos Fibra Musgosa Aferencias (El resto de aferentes) Corteza Molecular
LAS CÉLULAS DE PURKINJE “APRENDEN” A CORREGIR LOS ERRORES MOTORES: IMPORTANCIA DE LAS FIBRAS TREPADORAS
Kandel y colaboradores, Principios de Neurociencias. 4 ta edicion 2000
3 - Función del cerebelo en el control global a. Vestíbulo-Cerebelo b. Espino-Cerebelo c. Cerebro-Cerebelo
Kandel y colaboradores, Principios de Neurociencias. 4 ta edicion 2000
a- Vestíbulo-cerebelo Consta básicamente de los pequeños lóbulos cerebelosos floculonodulares y las porciones adyacentes del vermis. Mayormente circuitos relacionados con el equilibrio corporal Kandel y colaboradores, Principios de Neurociencias. 4 ta edicion 2000
b- Espino-cerebelo Compuesto por la mayor parte del vermis del cerebelo anterior y posterior, además de las zonas intermedias adyacentes a sus dos lados. Coordina los movimientos de las porciones distales de las extremidades Kandel y colaboradores, Principios de Neurociencias. 4 ta edicion 2000
El espino-cerebelo contiene dos mapas somatotópicos del cuerpo Kandel y colaboradores, Principios de Neurociencias. 4 ta edicion 2000
• El cerebelo evita exageración de los movimiento • El cerebelo amortigua los movimientos • El cerebelo controla los movimientos balísticos Kandel y colaboradores, Principios de Neurociencias. 4 ta edicion 2000
b- Cerebro-cerebelo Compuesto por las grandes zonas laterales de los hemisferios cerebelosos. Recibe todas las conexiones desde la corteza cerebral motora y las cortezas somatosensitivas y premotoras adyacentes del cerebro. Implicado en la planificación de movimientos voluntarios Kandel y colaboradores, Principios de Neurociencias. 4 ta edicion 2000
Cerebro-cerebelo • Planifica movimientos secuenciales • Sincroniza los movimientos • Tiene funciones de predicción extramotora Kandel y colaboradores, Principios de Neurociencias. 4 ta edicion 2000
4 - Anomalías clínicas del cerebelo • • Dismetría y ataxia Hipermetría Disdiadococinesia Disartria Temblor intencional Nistagmo cerebeloso Hipotonía
ALCOHOL Y CEREBELO? ? ?