Traumatisme Crnien Dr David PARIENTE Dfinition Lger pas





































- Slides: 37
Traumatisme Crânien Dr David PARIENTE
Définition • Léger: pas de perte de connaissance, pas de fracture du crâne. • Moyen: perte de connaissance initiale, ou fracture du crâne • Grave: coma d’emblée.
Anatomie • • • Scalp Os Méninges Cerveau Vaisseaux
Anatomie du crâne • Scalp
Méninges
Les différentes lésions 1/2 • Les lésions osseuses peuvent être totalement absentes malgré une atteinte cérébrale. • Fracture linéaire – Un os du crâne (frontal, occipital, pariétal ou temporal) est fissuré. • Fracture avec enfoncement / Embarrure – L'os du crâne (frontal, occipital, pariétal ou temporal) est fracturé et des fragments osseux sont enfoncés ce qui peut occasionner une blessure ou une compression sur le cerveau. • Fracture de la base du crâne – L'os sphénoïde est fissuré. Généralement linéaire • Hémorragies intra-crâniennes – On parle d'hémorragie intra-crânienne lorsqu'il y a un saignement à l'intérieur du crâne, autour ou dans le cerveau.
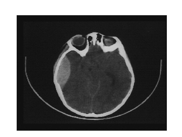
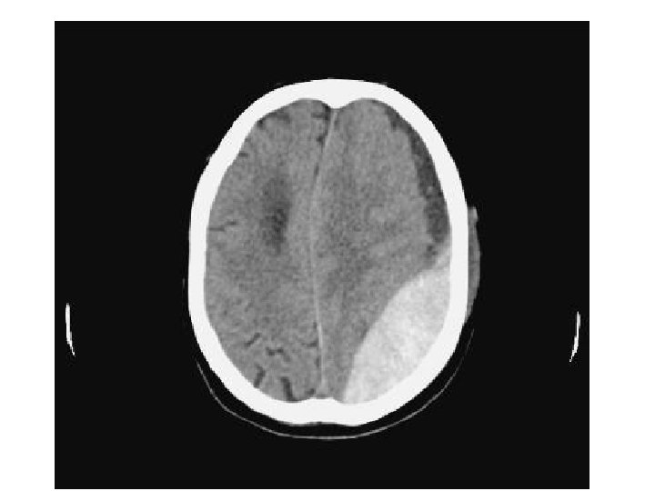
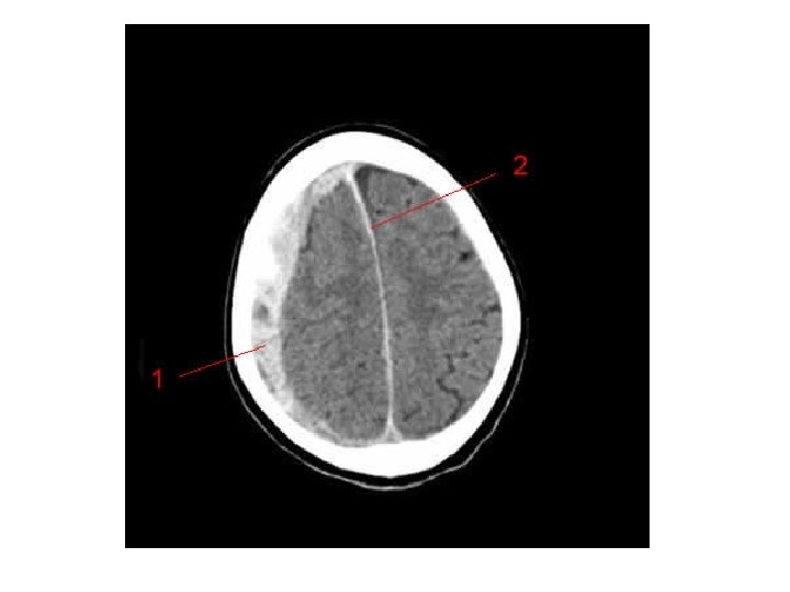
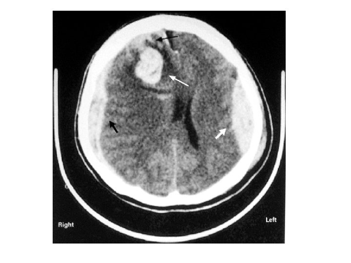
Les différentes lésions 2/2 • Hématome extra-dural – L'hématome extra-dural ou épidural est une accumulation de sang entre l'os du crâne et la dure-mère (enveloppe fibreuse du cerveau faisant partie des méninges). L'hématome extra-dural est une urgence chirurgicale absolue. Il se développe en quelques heures et peut entraîner la mort du patient par engagement cérébral si rien n'est fait. • Hématome sous-dural – Il s'agit d'un épanchement sanguin situé entre, en dehors la dure-mère, et en dedans l’arachnoïde. Il peut survenir de façon aiguë, au cours des heures suivant le traumatisme (hématome sous-dural aigu). Il est alors fréquemment associé à une contusion cérébrale dont peut dépendre le pronostic. Il peut aussi se constituer à bas bruit, et se démasquer quinze jours, voire des semaines après un traumatisme relativement peu important (hématome sous-dural chronique). • Hémorragie intracérébrale – Il s'agit d'un saignement à l'intérieur du parenchyme cérébral. • Hémorragie méningée – Une hémorragie méningée est observée dans 1/3 des traumatismes crâniens sévères. Elle peut être secondaire à la lésion d'un vaisseau méningé, ou bien à une suffusion hémorragique à partir d’un foyer de contusion du cortex cérébral.
Le trauma crânien grave • TC avec CGS<8 après correction des fonctions vitales
Orientation aux urgences
ATTENTION: lésions associées 1/2 Traumatisme cervical : • Tout traumatisme crânien est associé à un traumatisme du rachis cervical jusqu’à preuve du contraire… Facteurs de risque de lésion cervicale associée : – – Troubles de la conscience (G<15) Déficit neurologique focal Intoxication associée Douleur du rachis cervical (douleur sur la ligne apophyses épineuses, contracture para-cervicale, attitude antalgique) • Recher une atteinte vasculaire (dissection carotidienne) Recher une atteinte médullaire : score ASIA (American spinal injury association) • Score ASIA
ATTENTION: lésions associées 2/2 Lésions traumatiques associées : • Recher systématiquement d’autres lésions traumatologiques associées au traumatisme crânien. Penser à : – – fractures du massif facial (classification de Lefort) (cf Annexes) fracture du plancher de l’orbite (trouble de l’occulomotricité) fracture du rocher (otoliquorrhée, otorragie, paralysie faciale) fracture basilaire (hématomes péri-orbitaire et péri-auriculaire) • Recher toute lésion sous-claviculaire possiblement associée : lésions thoraco-abdominales, lésions segmentaires des membres. TC chez la personne âgée : • Toujours recher la cause du traumatisme qui peut être médicale et nécessiter une prise en charge immédiate. Recher systématiquement les ATCD et les traitements pris habituellement (AVK , antiaggrégants plaquettaires)
Epidémiologie • • • Problème majeur de Santé Publique A court terme: risque vital A long terme: handicap Touche surtout l’adulte jeune Incidence 10 à 25/100000 hab. Causes principales: – AVP 50 -60% – Chutes: 20 -30%
Physiopathologie • Agression primaire: Impact • Agressions secondaires: – Systémique: ACSOS – Centrale
ACSOS (Facteurs d’agression cérébrale secondaire d’origine systémique) : • Ils correspondent à des facteurs biologiques dont le déséquilibre aggrave le pronostic du traumatisé crânien. Il est donc nécessaire de les repérer et de les réguler.
Origine centrale • • HTIC Œdème Hématome Hémorragie Vasospasme Hydrocéphalie Epilepsie
Aggravation des lésions • Le traumatisme crânien peut entraîner des lésions anatomiques primaires (hémorragies méningée, intracérébrale, hématomes sous dural, extra-dural). Ces lésions initiales entraînent à leur tour des désordres métaboliques et hémodynamiques (HIC et ACSOS) qui sont responsables de lésions cérébrales secondaires et d’une ischémie cérébrale, aggravant les lésions primaires.
La Pression de Perfusion Cérébrale (PPC) • PPC = PAM – PIC • La PPC (Pression de perfusion cérébrale) doit être > 70 mm. Hg pour permettre une perfusion cérébrale suffisante. Cette dernière dépend de 2 paramètres sur lesquels, on a une possibilité d’action : • La PIC (Pression intra-crânienne) augmente dans les situations d’hypoxie, hypercapnie, acidose, agitation, douleur, hyperthermie. • La PAM (Pression artérielle moyenne) diminue dans les situations d’hypovolémie, de sédation excessive… • Donc pour maintenir une PPC suffisante il faut maintenir une PAM > 90 mm. Hg et maintenir une PIC basse. Ceci ne peut être possible qu’en maîtrisant les ACSOS.
Prise en charge aux urgences
IAO • Collier cervical systématique • Dextro systématique • Classer en Master: – 1 & 2 => Box simple – 3 => Box de déchocage
En box • Collier cervical rigide : retrait après accord du médecin. Patient déshabillé +/- scopé. • Dextro. • Voie veineuse périphérique : Sérum physiologique 500 cc (pas de G 5% ACSOS++). • O 2 pour sat>95%. • VAT, si non à jour.
Examen complémentaires • ECG - Si personne âgée ou traumatisme thoracique : recherche de troubles de la repolarisation (cause médicale, contusion myocardique ? ) • Prélèvements sanguins : NFS – – – ionogramme sanguin, créatininémie, urémie, glycémie TP TCA +/- INR GDS dosage de toxique éventuel : alcoolémie, Hb. CO… Bilan éventuel de lésions associées : troponine en cas de suspicion de contusion myocardique (clinique et/ou électrique) BHC, BU • TDM cérébral sans injection +/- massif facial +/- rachis cervical Body. TDM si polytraumatisé • Plus d’indication à RX crâne
Autres examens • Bilan radiologique des lésions associées : RX rachis cervical (F+P+bouche ouverte) • RX OPN • RX thorax, gril costal • Echographie abdominale, rénale • RX bassin, membres
Surveillance scope en continu, PA toutes les 10 mn +++ Maîtrise des ACSOS : • Si PAM<90 mm. Hg : Remplissage par sérum physiologique +/- drogues vaso-actives • Si T°>38°C : Perfalgan® : 1 g toutes les 6 heures IV • Si dextro>12 mmol/l : Pas de G 5%, +/- protocole Insuline rapide en SC • Si sat<95% : Oxygénothérapie • Si anémie<8 g/dl (ou Ht<30%) : Transfusion de CG • Si agitation ou crise convulsive post-TC : Rivotril® Ampoules de 1 mg/1 ml : 1 à 2 mg IV en 3 mn et relai par anticonvulsivant (Dilantin, Gardenal) • Si Engagement cérébral : Mannitol® 20%.
Orientation • • Sortie sous surveillance Hospitalisation pour surveillance au Porte Avis neurochirurgical (grande garde…) Hospitalisation en réanimation
En SMUR Prise en compte des ACSOS Prévention de l’ischémie secondaire Examen clinique corps entier. Si coma CGS<8 => intubation crush induction Ventilation pour que sat. O 2>95 % et Pa. CO 2=35 mm. Hg Maintenir une bonne hémodynamique. PAM>90 mm. Hg (remplissage Na. Cl, Noradrénaline) • Sédation optimale: hypno/Sufenta, voire curare si toux. • Surélévation de la tête à 30° • Si anisochorie => Mannitol (0, 25 à 1 g/kg en 20 min = Urgence Neurochirurgicale. • • •