Doenas do Aparelho Genital Feminino 1 Inspeo da


































- Slides: 34
Doenças do Aparelho Genital Feminino 1
Inspeção da vulva Paciente com quadro de dor e aumento do volume da região dos pequenos lábios, à esquerda, de onde drena uma secreção amarelada. Pode estar relacionada a higiene íntima deficiente, traumas, estenose do ducto ou muco espesso; Pode ter acúmulo de líquido quando a abertura da GL de Bartholin fica obstruída devido a uma infecção ou lesão. Geralmente é unilateral. Bartolinite
Localizações possíveis da JEC a depender da situações hormonal da mulher Exame especular Eversão da endocervice
Cisto de Naboth: GL mucosas (glândulas de Naboth) no colo uterino podem ficar cheias de secreção devido ao bloqueio no ducto ou passagem da glândula. Epitélio metaplásico obstrui a saída de glândulas endocervicais, levando a acúmulo de secreção mucosa dentro das glândulas (cistos de Naboth). Microscopia de fragmento retirado da superfície cervical
A chamada zona de transformação ou zona T é a porção da endocérvice mais próxima do orifício externo do canal cervical e, portanto, limítrofe com a ectocérvice. Nesta região é comum a ocorrência de metaplasia escamosa. O epitélio de revestimento da endocérvice, que deveria ser cilíndrico mucoso igual ao das glândulas, sofre metaplasia para epitélio plano estratificado não corneificado semelhante ao da ectocérvice. As glândulas endocervicais abaixo da superfície mantêm aspecto normal. Na zona de transformação também é comum haver processo inflamatório crônico inespecífico (cervicite crônica). Os cistos de Naboth, freqüentemente observados nesta região, são glândulas endocervicais dilatadas porque seu orifício de saída foi obstruído pelo epitélio metaplásico. Seu revestimento é de epitélio cilíndrico simples mucoso, igual ao de outras glândulas endocervicais. A importância da zona de transformação é que o epitélio metaplásico pode ser sede de atipias celulares chamadas de displasia (de graus leve, moderado ou grave). Neste caso, as células do tipo basal passam a ocupar mais de uma camada (normalmente só ocupam a primeira camada) e podem apresentar atipias nucleares. A displasia grave é considerada um carcinoma in situ, que é precursor do carcinoma do colo uterino.
Ácido tricloroacético revela a queratina= BRANCA, o HPV promove a queratinização do citoplasma HPV
Lesão benigna metaplásica de epitélio escamoso= PAPILOMA + HPV (coilocitose)= CONDILOMA ACULMINADO Tem aspecto verrucoso; Há hiperplasia, papilomatose e hiperceratose do epitélio escamoso nas lesões. Esta última é a responsável pela reação com o ácido tricloroacético, favorecendo o diagnóstico.
Iodo e ATA
Percebam as atípias celulares e até que altura da espessura do epitélio essas atipias alcançam
RM: melhor método para estadiamento locorregional do CA de colo; Rastreio do câncer de colo: colposcopia, citologia oncótica biópsia/histopatologia Carcinoma de colo de útero
TUMOR Colo do útero tem hipossinal= normal Paramétrio Reto Lesão tem sinal intermediário, localizada na parede posterior do colo do útero, tumor esta invadindo o paramétrio (observe raiozinhos em direção ao paramétrio= invasão macroscópica; quer dizer q na patologia vê-se muito mais) Carcinoma de colo de útero
Estágio IV de câncer de colo de útero de mulher menopausada, pq já invade estruturas adjacentes Carcinoma de colo de útero
Endometriose ocorre quando o endométrio, ou seja, o tecido que reveste a cavidade uterina, implanta-se fora do útero. As primeiras teorias sobre o assunto têm mais de cem anos. Cogita-se que, quando a mulher menstrua – e a menstruação nada mais é do que a eliminação do endométrio -, fragmentos desse tecido podem caminhar pelas tubas, alcançar a cavidade abdominal, nela implantar-se e crescer sob a ação dos hormônios femininos. Hoje se sabe que mulheres normais também podem apresentar essa menstruação retrógrada, ou seja, a que faculta a chegada do endométrio na cavidade abdominal, mas só algumas têm endometriose. Pode -se concluir, então, que alguns fatores permitem a instalação dos implantes na cavidade peritoneal, entre eles, destaca-se o sistema imunológico da mulher. Dispareunia, dificuldade para engravidar após um ano de tentativas sem sucesso, alterações intestinais durante a menstruação como diarreia ou dor para evacuar.
Endometriose externa = endometriose: presença de tecido endometrial fora do útero. As principais localizações são ovários, ligamentos uterinos, septo retovaginal, peritônio pélvico, cicatrizes ciúrgicas na parede abdominal e, raramente, no umbigo, vagina, vulva e intestinos. Há várias hipóteses para explicar como o tecido endometrial assume posições ectópicas. a) Regurgitação ou menstruação retrógrada pelas trompas (ocorre até em mulheres normais); b) Metaplasia: endométrio ectópico poderia originar-se diretamente do epitélio celômico (é esta a origem do próprio endométrio normal). c) Disseminação linfática ou hematogênica: clinicamente, a endometriose causa dor no período menstrual (dismenorréia), dor pélvica e dispareunia devido ao sangramento intrapélvico e aderências periuterinas. Há infertilidade em 30 a 40% dos casos.
Achado cirúrgico de uma paciente de 28 anos com queixa principal de dor pélvica há cerca de 1 ano, que piora no período menstrual. Paciente: dor ciclica Aderências leva a fibrose
MIOMA: branco e sólido ÁREAS DE ADENOMIOSE: Aspecto fasciculado espessado com pontinhos
Endometriose interna ou adenomiose: quando ninhos de estroma endometrial, com ou sem glândulas, estão situados 2 - 3 mm abaixo da interface, ou mais profundamente. A causa é desconhecida. Os ninhos ectópicos podem causar espessamento da parede uterina e ser visíveis já a olho nu como pequenos cistos. Durante o ciclo menstrual, a adenomiose comporta-se como o próprio endométrio, sofrendo degeneração e hemorragias. Clinicamente isto pode manifestar-se como menorragia (sangramento menstrual abundante), cólicas, dor pélvica e dispareunia (dor durante o coito), especialmente no período prémenstrual.
Mioma pediculado subseroso: o pedículo pode torcer e o mioma ficar solto na cavidade e causar dor Leiomioma: neoplasia benigna que comumente afeta o útero
RM T 2; Útero heterogênio de contornos lobulados e volume aumentado, útero miomatoso
RM no plano sagital de uma mulher de 35 anos com infertilidade. Qual a base fisiopatogênica da lesão mostrada? Cite outros achados clínicos possíveis. Se a paciente fosse submetida a uma histerectomia, que alterações seriam evidenciadas no exame histopatológico? Útero difusamente aumentado; focos hiperintensos, que são focos de endométrio dentro do miométrio= ADENOMIOSE
Leiomioma: tumor benigno originado em musculatura lisa. Ex mais comum é o leiomioma uterino. São freqüentemente múltiplos, pode causar dores pélvicas, menorragia, metrorragia. Há leiomiomas no TGI e mais raramente em outros locais. Imagem escaneada da lâmina: nódulo neoplásico bem delimitado, mas não encapsulado, constituído por tecido muscular liso muito semelhante ao tecido de origem (o miométrio). Em seguida, fotos em aumentos crescentes do miométrio (em cima) e do leiomioma (embaixo). Leiomioma é constituído por fibras musculares lisas maduras, arranjadas em feixes em várias direções. A semelhança entre os tecidos não neoplásico e neoplásico é grande, a ponto de ser difícil distingüí-los, especialmente em aumento maior. No leiomioma, a celularidade (quantidade de núcleos por unidade de área) é um pouco maior e o arranjo em feixes mais nítido (os feixes se cruzam às vezes em ângulo reto) que no miométrio normal. A boa delimitação do tumor e a ausência de invasão dos tecidos vizinhos sugerem benignidade. Também não há atipias, mitoses ou necrose.
Imagem de histeroscopia DD mais prováveis para a lesão observada: a) Leiomioma submucoso b) Pólipo hiperplásico c) Sarcoma do estroma endometrial
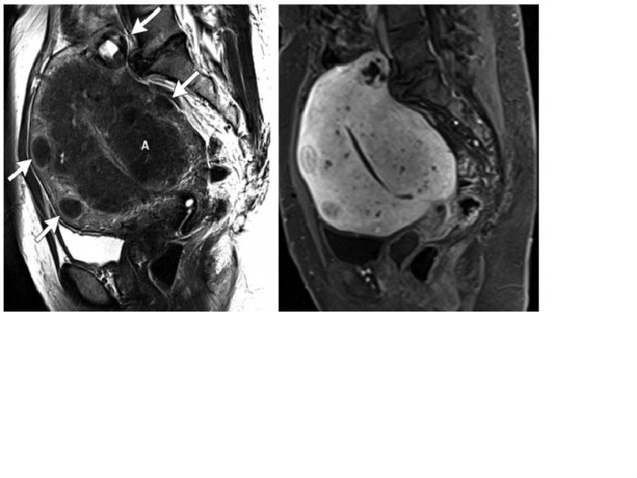
Gel vaginal para distender o colo; Formação expansiva no miométrio do corpo e fundo do útero. Densidade heterogênia e hiposinal T 1 e no T 2. MAS, 36 anos, nuligesta, com menorragia, dismenorréia e sensação de peso na pelve. Realizou USG que diagnosticou a causa dos sintomas, prosseguiu investigação com RM de pelve para realizar intervenção cirúrgica. Predominante INTRAMURAL, componente sub-seroso Miomatose -
HIPOSINAL EM T 1 COM CONTRASTE= NECROSE Imagem heterogenia, mal definida, de crescimento rápido: alta chance de malignidade; endométrio recharssado; vasos com contraste
Endométrio normal no menacme, na fase ovulatória; aspecto trilaminar Paciente 60 anos evolui com sangramento pós menopausa →USG transvaginal Atrofia endometrial: principal causa de sangramento na pós menopausa, seguindo de pólipo endometrial e neoplasia maligna. Atrofia endometrial
USG: Útero pequeno, na menopausa; Endométrio espessado, heterogêneo, com áreas císticas → Biópsia + histeroscopia
RM T 2 (hipersinal no endométrio e na medula): fizeram T 2 dps de fazer contraste, o gadolínio qd ele está muito concentrado na urina ele reduz o tempo T 2; o gadolínio só ficar hiper no T 2 se estiver diluído com muita urina Pedículo do pólipo exteriorizado Colo do útero formação circular com isosinal (iso ao musculo). Pólipo endometrial
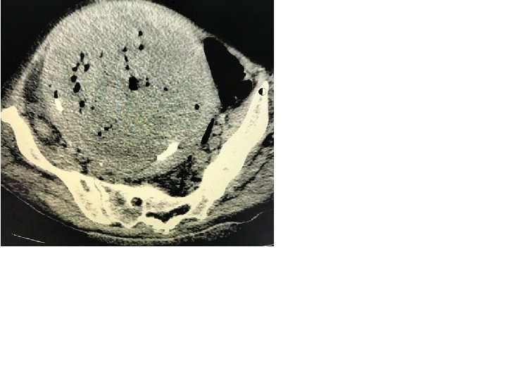
Paciente de 68 anos, com história de tratamento recente de infecção urinária, febre há 7 dias e dor forte no baixo ventre. Ao exame físico: paciente febril ao toque, com muita dor abdominal e tomuração pélvica palpável. Conduta: USG → TC de abdome Scalt da TC= RX que a TC faz Lesão radiopaca com calcificação
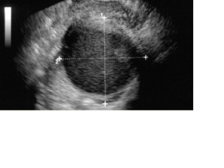
Paciente 31 anos com dismenorréia progressiva desde os primeiros ciclos, no momento refere dismenorréia incapacitante. Fez USG que evidenciou útero de dimensões normais, com imagem cística anexial com conteúdo espesso.
Kissing ovary, endometriose, Focos de sangramento no parenquima ovariano