SEIZURES IN CHILDREN Rashmi Kumar Prof Head Pediatrics















































- Slides: 47
SEIZURES IN CHILDREN Rashmi Kumar Prof & Head, Pediatrics King George Medical University Lucknow
• • • Prevalence Definition Conditions that mimic seizures Pathophysiology Etiology Age wise etiology Classification Assessment Febrile seizures Management
SEIZURES • One of the most common life threatening events in childhood, more than adults • Paroxysmal electrical activity in brain --> motor/sensory/autonomic disturbance with /without alteration of consciousness • Convulsion – seizure with motor activity • Epilepsy – recurrent (2 or more) unprovoked seizures beyond newborn period 0. 5% 5%
Seizures: DDx Tremors –distal, rhythmic, equal amplitude, no loss of consciousness Jitteriness Breath holding spells –always after crying, sequence of events important Syncope – after prolonged standing/emotional upset, gradual loss of consciousness, slow pulse, pallor, sweating, improves in supine/head down position Pseudoseizures – older girl, never hurts herself, bizarre movements, normal s Prolactin Detailed sequence of events necessary – HISTORY, HISTORY
Seizures: Pathophysiology: Sustained partial depolarisation in a group of neurons --> excitability --> sudden depolarisation in response to stimuli ->conduction to surrounding cells, distant synaptically connected cells & subcortical neurons -->dissemination -->loss of consciousness
SEIZURES - ETIOLOGY 1 st fit/ recurrent fits I Symptomatic • • • • • Infectious/ post infectious (including granulomas) Anoxic/post anoxic Vascular Trauma/post traumatic Tumour Congenital - porencephaly, lissencephaly, agenesis of corpus callosum, neurocutaneous syndromes Degenerative Metabolic - hypocalcemia/hypomagnesemia hypo/hypernatremia hypoglycemia pyridoxine deficiency Inborn errors Drugs/Toxins -aminophylline, antihistamines, steroids, phenothiazines, hexachlorophene, strychnine, camphor, INH, tetanus, lead, shigella/salmonella Acute cerebral edema - Hypertension Febrile II Idiopathic
Newborn Birth asphyxia/trauma IVH Hypocal/hypoglyc IU infections Meningitis Tetanus tumour Inborn errors Kernicterus Polycythemia Narcotic withdrawal 1 -6 mths 6 m-3 yrs birth asphyxia Febrile cranial malformations inborn errors IU infections Degenerative >3 yrs idiopathic CNS infections metabolic other
CLASSIFICATION OF EPILEPTIC SEIZURES: ILAE 1981 • I Partial 54% – Simple - motor/sensory/autonomic 7. 7% – Complex 35. 5% – Partial with secondary generalization 56. 4% • II Generalised – – – 40. 4% Tonic clonic 69% Absence 3% Myoclonic 20. 5% Tonic 4. 1% Atonic 3. 1% • III Unclassifiable 6% (hospital based study in Mumbai) • However, same patient can have more than 1 type • Many patients show a distinct evolution of disease
CLASSIFICATION OF EPILEPTIC SYNDROMES : ILAE 1989 I Localisation related • Symptomatic • Cryptogenic • Idiopathic II Generalised • Idiopathic • Cryptogenic – – • CLASSIFICATION OF EPILEPSY STILL EVOLVING West syndrome Lennox Gastaut syndrome epilepsy with myoclonic astatic seizures epilepsy with myoclonic absences Symptomatic – Non specific – specific III Epilepsies undetermined whether focal or generalised IV Special syndromes
EPILEPSY - SPECIAL TYPES: GTCS: v common • Aura tonic spasm loss of consciousness fall clonic movements • Rolling of eyeballs/Frothing at mouth/Distortion of face • Incontinence/ Jerky breathing • Post ictal sleep
Absence epilepsy • • • 2 -4% of childhood idiopathic epilepsy Girls 3 -7 yrs, normal IQ Transient loss of consciousness for few secs No loss of tone Ppted by hyperventilation - • • • Treatment – Ethosuximide, valproate May develop GTCS EEG - 3/sec spike & wave activity
EPILEPSY - SPECIAL TYPES: Infantile spasms: Onset in 1 st year • Sudden flexion/extension in series esp on awakening • Upto 100 times /day • 60% secondary, 30% cryptogenic • Treatment - ACTH/steroids/ vigabatrin • Associated with mental regression • EEG - hypsarrhythmic • May develop GTCS Lennox Gastaut: • 1 -8 yrs, • tonic/absence type • EEG - diffuse 2 Hz spike-waves • Very difficult to control
EPILEPSY - SPECIAL TYPES: Psychomotor (Temporal lobe) seizures: Complex partial seizures with origin in temporal lobe. • Purposeful but inappropriate acts 'automatisms' • Associated with behavioral problems • Difficult to diagnose or treat. Benign epilepsy with centrotemporal spikes: Partial, idiopathic, • orofacial/hemifacial, 3 -13 yrs, often during sleep. Easy to control Myoclonic: heterogenous, multiple causes Juvenile myoclonic: myoclonic jerks esp after awakening • EEG - 4 -6 Hz polyspike, photosensitivity, GTCS may occur • Good response to Valproate
FEBRILE SEIZURES: • • • 2 -4% of children 3 m - 5 yr age Assn with fever due to extracranial infection Generalised, Short lasting, only one sz per illness No mental/neurological/EEG abnormality Typical vs Atypical (complex) Focal Prolonged >1 seizure during illness 1/3 have at least 1 recurrence 1/6 have multiple recurrences Risk of epilepsy: – Fh/o epilepsy – Atypical – Abnormal neurologic/mental status
Febrile Seizures: Management • • • Exclude CNS infection Control fever Look for & treat cause of fever Rectal diazepam Explain to parents, reassure If multiple - intermittent oral diazepam by 80% • If high risk for epilepsy long term phenobarb/valproate.
Seizures: ASSESSMENT History: • • • 1 st seizure/ recurrent seizures Fever Precipitating factors – diarrhea/ vomiting/ drug/ toxin/ metabolic Headache/vomiting/visual loss Duration Age at onset No of attacks Frequency / , change in seizure type, last seizure when? Exact description – – – – • • Aura partial/generalised onset Loss of consciousness Tonic/clonic phase Associated events - bed wetting/fall/tongue bite Duration Post ictal Precipitating factors Diurnal Family history Antecedant events - trauma/CNS infection/asphyxia Personality change/intellectual deterioration Failure to thrive Developmental milestones Treatment
Seizures: ASSESSMENT Examination: • BP • Head circumference • Skin lesions • Facial features • Organomegaly • Fundus • Meningeal signs • Neurological deficit • Development
Seizures: Investigations • • • • If features of CNS infection - CSF examination Glucose, Ca, Mg - low yield Skull Xray - calcification/ ICT - low yield EEG: Always diagnostic during a seizure Interictal record : normal in 40 -50% of epileptics (spikes/sharp waves & spikes –slow wave complexes) yield with sleep, sleep deprivation, hyperventilation, photic stimulation 2 -10% normal population may have epileptic changes EEG indicated in all cases of epilepsy for: -confirmation of diagnosis & syndrome -type of seizures - absence vs temporal lobe, primary generalised vs secondarily generalised -presence of underlying lesion/ idiopathic vs symptomatic -follow up -before withdrawal of AEDs -localisation of focus before surgery Video EEG
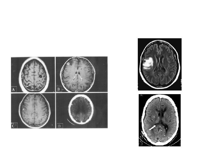
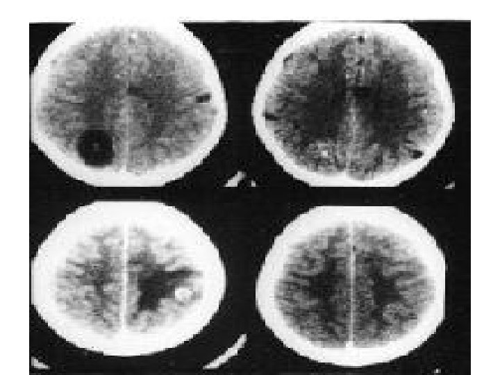
Seizures: Imaging - CT/MRI Has revolutionised the management of epilepsy Indications: focal features on exam, EEG Features of ICT Intractable However, now indicated in every case with unknown cause Not necessary in febrile/absence/BETS/ JME etc. Western studies - 30% abnormal (30 -50% of focal) -only 3% treatable Indian studies: Very high prevalence of granuloma like lesions –recent onset partial seizures in child/young adult 40% abn even after 1 st seizure indicated in every case
MCQ • The following are features of benign (typical) febrile seizures except: • They are short lasting • They are always generalised • They only occur within 4 hours of fever onset • They do not recur in the same febrile illness
The typical EEG pattern in absence epilepsy is: • Intermittent spike and slow waves • Hypsarrythmia • Burst suppression • 3 per second spike and waves
The following is true about absence epilepsy • It occurs more commonly in boys • There is loss of tone • It is precipitated by hyperventilation • Imaging is usually abnormal
Definition of epilepsy includes: • • At least 3 seizures EEG is abnormal Imaging is abnormal Beyond neonatal period
The following is true about breath holding spells: • • It is usually preceded by crying Child is always blue There is no loss of consciousness EEG may show spikes
The following is true about infantile spasms except: • • They occur in clusters They may appear like ‘startling’ They usually occur during sleep They are also called ‘salaam attacks’
West syndrome usually has the following features except: • • Infantile spasms Onset in newborn period Hypsarrythmia on EEG Psychomotor retardation or regression
Imaging in seizures is not indicated in: • • Generalised tonic clonic seizures Absence seizures Temporal lobe seizures Infantile spasms
Prevention of febrile seizures can be achieved by: • • Intermittent phenobarb Long term phenytoin Intermittent diazepam Long term carbamazepine
Emergency dose of IV diazepam for seizure control is: • • 1 mg/kg 0. 5 mg/kg 0. 1 mg/kg 0. 3 mg/kg
Seizures - Management • • • I Management of acute attack: Calm down Head down lateral position Prevent hurt If does'nt stop convulsing in 3 -5 min, Inj Diazepam 0. 3 mg/kg slow iv bolus Maybe repeated after 20 min Effect lasts 0. 5 -3 hrs SE- hypotension, respiratory depression, secretions • or • Rectal diazepam 0. 5 mg/kg dose/ nasal midzolam 0. 2 mg/kg/dose
Domiciliary Mx • Rectal Diazepam 0. 5 mg/kg • Intranasal midzolam 0. 2 mg/kg
Seizures: Status epilepticus: • Prolonged seizure for >20 min or repeated seizures without regaining consciousness • Persistent seizure activity hypoxia, hypoglycemia, hyperthermia, cerebral edema & vasomotor instability • Life threatening • Risk of permanent brain damage Medical emergency
Mx of Status epilepticus ICU, monitoring IV dextrose drip Oxygen IV Inj Diazepam 0. 3 mg/kg or Lorazepam 0. 1 mg/kg (longer action) or Midzolam (lesser respiratory depression) Inj phenytoin 15 -20 mg/kg iv at a rate of <1 mk/kg/min Inj Phenobarbitone 20 mg/kg iv at a rate of 1 mg/kg/min or IV Valproate 20 mg/kg as infusion in 50 ml NS over 30 min Ventilatory support + diazepam/midzolam infusion `` Thiopental infusion
LONG TERM MANAGEMENT OF EPILEPSY: I General advice: • As normal a life style as possible • No swimming/cycling on road/driving • Inform teacher • First aid • Seizure dairy • Regularity
LONG TERM MANAGEMENT OF EPILEPSY: Drugs: • When to start? If 2 or more seizures within a 12 month period • Monotherapy: • Start at lower limit & build up gradually till toxicity/control • If no effect at maximum dose, taper off while introducing 2 nd drug • 4 first line drugs - Carbamazepine, phenytoin, valproate and phenobarbitone • No drug completely safe • 70% can be controlled
First line AEDs Carbamazepine: • • Ind: Partial, tonic clonic Dose: 10 -30 mg/kg/d in 2 -3 doses 13 -18 hrs, Adv: Relatively safe, improves cognitive fn. SE: Diplopia, drowsiness, giddiness initially. Hepatitis, skin rash, BM depression, drug interactions, dystonia, can aggravate minor motor seizures
First line AEDs Sodium valproate: Ind: Broad spectrum Dose: 20 -30 mg/kg/d (upto 80) in 2 -3 doses Half Life; 7 -10 hrs SE: Nausea, vomiting, wt gain, hair loss, hepatic failure, tremors, platelets, s ammonia, s carnitine, no correlation between drug levels & toxicity, levels of other AEDs
First line AEDs Phenobarbitone Ind: Tonic-clonic, partial, febrile Dose: 3 -6 mg/kg/d as single doses level: 10 -15 g/ml 20 -80 hrs Adv: Cheap, once daily dose SE: Drowsiness, hyperkinesia, cognitive impairment ? ? , rash, rickets
First line AEDs Diphenylhydantoin: Ind: Tonic-clonic, atonic, partia Dose: l 4 -8 mg/kg/d in 2 doses level: 10 -20 g/ml Half Life: Upto 20 hrs SE: Hirsutism, gum hyperplasia, rickets, ataxia, lymphoma like syndrome, Sle like illness, megaloblastic anemia, rash, low margin of safety
Ethosuximide: Ind: Absence seizures Dose: 20 -25 mg/kg/d in 2 doses Half Life: 4 -30 hrs SE: Photophobia, WBC, nephrosis, blood dyscrasia ACTH: Ind: West syndrome Dose: 20 -40 u/d for 4 -6 wks SE: hypercortisolism
Nitrazepam Ind: Myoclonus, atypical absence Dose: 0. 5 mg/kg/d in 2 doses SE: Sleepiness, salivation, hypotonia, ataxia, tolerance Clonazepam Dose: 0. 05 -0. 25 mg/kg/d in 3 doses • Drug level monitoring • EEGs • When to stop ? 2 -3 yrs seizure free
Newer AEDs Clobazam Ind: Partial, generalised & myoclonus (add on drug) Dose: 0. 5 mg/kg/d single dose SE: Drowsiness, tolerance, secretions Gabapentin Ind: Secondarily generalised, complex partial SE: liver enzymes, impaired swallowing & aspiration, somnolence, fatigue, dizziness, wt gain Lamotrigine Ind: Generalised, absence, JME, LG syndrome SE: Synergy with valproate, skin rash, SJ syndrome
Newer AEDs/ Other modalities Topiramate: Ind: Partial, generalised, drop attacks, LG syndrome SE: ? cognitive impairment Vigabatrine: Ind: Partial, infantile spasms Dose: 40 -80 mg/kg/d SE: Drowsiness, agitation, confusion Oxcarbazepine: Derivative of carbamazepine • Ketogenic diet • Surgery