Prpad SD IAP 263 Referuje Henrieta idlov Klinick

  • Slides: 36
Download presentation
Prípad SD IAP č. 263 Referuje: Henrieta Šidlová

Prípad SD IAP č. 263 Referuje: Henrieta Šidlová

Klinické údaje 54 ročná žena po hysterektómii pre endometroidný karcinóm endometria 3 mesiace po

Klinické údaje 54 ročná žena po hysterektómii pre endometroidný karcinóm endometria 3 mesiace po HYE polypoidný „tumor“ vo vaginálnom pahýli priemeru 3 cm

p 63

p 63

p 63

p 63

p 63

p 63

p 63 Alfa-aktin

p 63 Alfa-aktin

CD 10

CD 10

CD 10

CD 10

ER

ER

PR

PR

calponin

calponin

calponin

calponin

calponin

calponin

prolaps tuby asociovaný s exuberantnou angiomyofibroblastickou strómou

prolaps tuby asociovaný s exuberantnou angiomyofibroblastickou strómou

Prolaps tuby r. 1902 Pozzi odvtedy opísaných okolo 100 prípadov najčastejšie po hysterektómii 3

Prolaps tuby r. 1902 Pozzi odvtedy opísaných okolo 100 prípadov najčastejšie po hysterektómii 3 mesiace - 30 rokov príčiny: inkompletný peritoneálny uzáver pooperačné infekcie hematómy

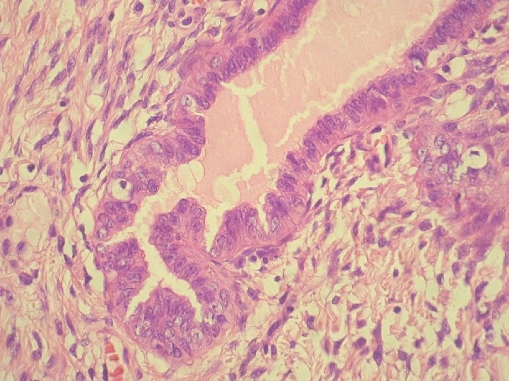
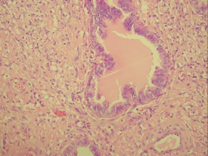
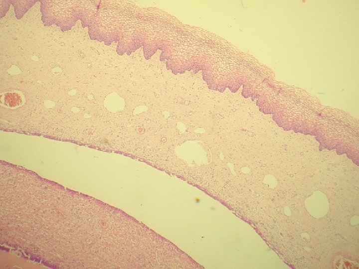
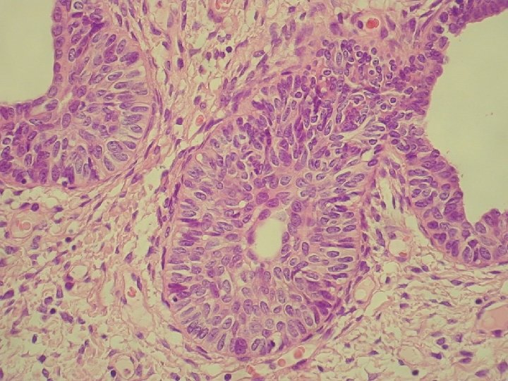
Klinicky: chronická abdominálna bolesť, dyspareunia polypoidné hemoragické masy Ø Histologicky: prezencia tubálneho epitelu s

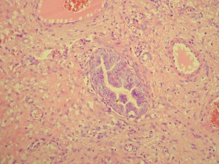
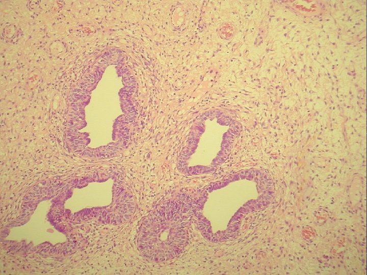
Klinicky: chronická abdominálna bolesť, dyspareunia polypoidné hemoragické masy Ø Histologicky: prezencia tubálneho epitelu s variabilnou architektonikou v edematóznej, prevažne fibrotickej stróme Ø glandulárne prevažne tubálne inklúzie z malých epiteloidných buniek s eozinofilnou cytoplazmou, s riasinkami, sekretorické a „peg“ cells

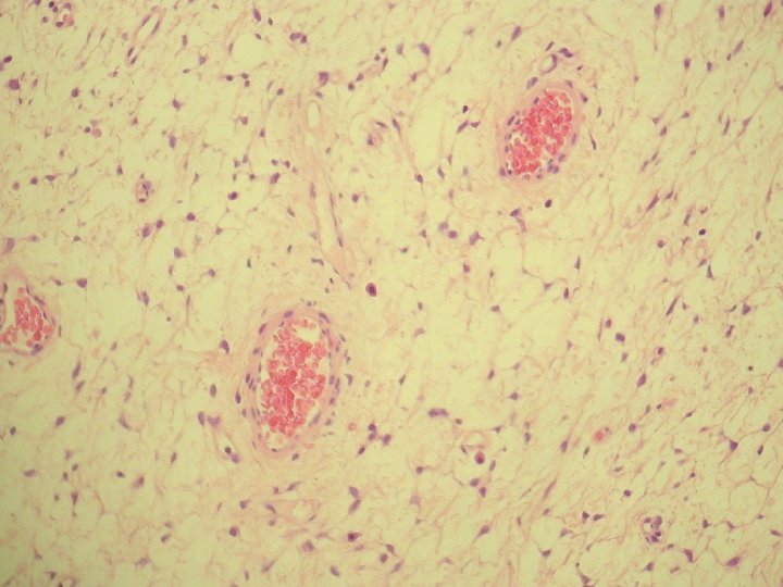
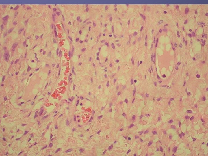
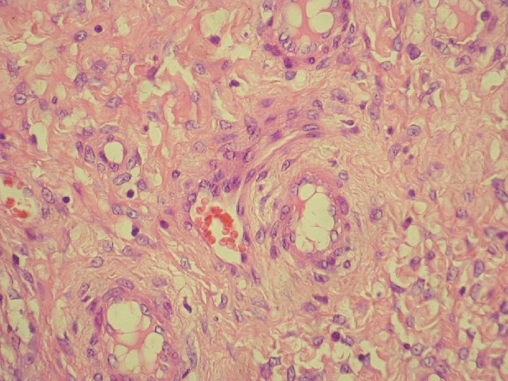
Ø hladkosvalové vlákna a lymfoplazmocytárny infiltrát Ø bohatá vaskularizácia v retiformnej stróme, miestami aj

Ø hladkosvalové vlákna a lymfoplazmocytárny infiltrát Ø bohatá vaskularizácia v retiformnej stróme, miestami aj myxoidnej Ø Imuno: silná desmin pozit. Ø CD 34, S-100, alfa aktin, CK, calponin negat. Ø prezentovaná reaktívna stromálna proliferácia publikovaná v dvoch „case reportoch“

Case report M. Michal, Z. Rokyta, B. Mejchar, K. Pelikan, M. Kummel, P. Mukenšnabl:

Case report M. Michal, Z. Rokyta, B. Mejchar, K. Pelikan, M. Kummel, P. Mukenšnabl: Prolapse of the fallopian tube after hysterectomy associated with exuberant angiomyofibroblastic stroma response: a diagnostic pitfall. Wirchows Arch. (2000) 437: 436 -439 H. Varnholt, Chr. N. Ottis, M. R. Rucci, V. O. Johari: Fallopian tube prolapse mimicking aggressive angiomyxoma. International Journal of Gynecological Pathology, 2005.

Diferenciálna diagnostika • • • granulačné tkanivo endometrióza vaginálna adenóza (tuboendometriálny variant) vaginálny fibroepitelový

Diferenciálna diagnostika • • • granulačné tkanivo endometrióza vaginálna adenóza (tuboendometriálny variant) vaginálny fibroepitelový polyp angiomyofibroblastóm agresívny angiomyxóm

 • • • superficiálny myofibroblastóm botryoidný rabdomyosarkóm adenokarcinóm !

• • • superficiálny myofibroblastóm botryoidný rabdomyosarkóm adenokarcinóm !

Ďakujem za pozornosť

Ďakujem za pozornosť