Prpad SD IAP 262 Klinick daje 76 ron






















- Slides: 22
Prípad SD IAP č. 262
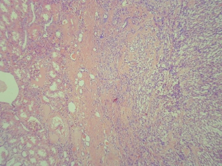
Klinické údaje: • 76 -ročný muž sledovaný pre tumor močového mechúra, na CT zachytený tumor pravej obličky priemeru 4 cm • makro: sivočervený, dobre ohraničený, s drobnými dutinkami, subkapsulárny
RCC EMA CK 7 Vimentin
Racemáza P 504 S
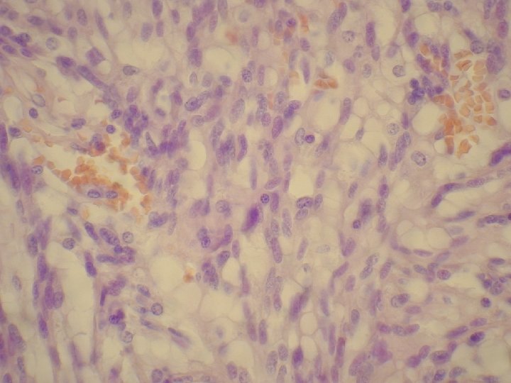
Imunohistochémia • pozit. : EMA, M 903, Vimentin (fokálne) P 504 S, AE 1/3 • negat. : CD-10, RCC, SMA, Dezmín, HMB-45, CEA, CK 7
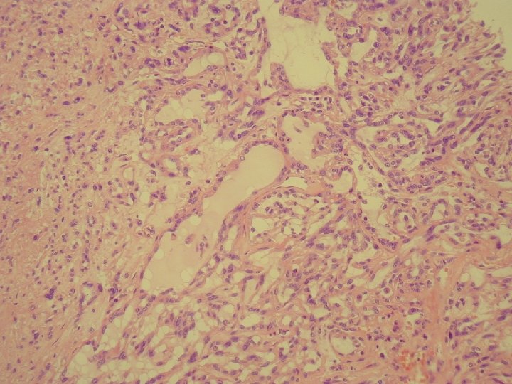
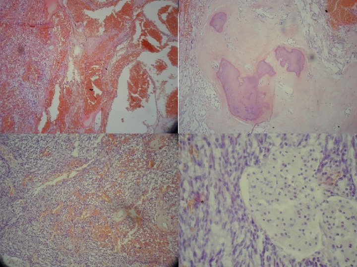
Mucinous tubular and spindle cell carcinoma.
História • Ordonez (1996), Loreta (1998), He (1998), Otani (2001) – neklasifikovaný • Parwani (2001) – LG myxoid renal epithelial neoplasm • Hes (2002), Razoky (2002) • WHO 2004
• LG polymorfný renálny tumor: mucinózny, tubulárny, spindle cell • 17 – 82 rokov • M/Ž– 1/4 • v minulosti: neklasifikovaný alebo sarkomatoidný
Genetika • WHO – losses: 1, 4, 6, 8, 13, 14 – gains: 7, 11, 16, 17 • ? ? ?
Histogenéza • distálny nefrón, Henleho kľučka • proximálny nefrón, vzťah k papilárnemu Ca • ?
Dif. dg. • • metanefrický adenóm onkocytóm LG Bellini konvenčný RCC papilárny RCC sarkomatoidný RCC juxtaglomerular cell tumor angiomyolipóm
Použitá literatúra • WHO 2004 • Expanding the Histologic Spectrum of Mucinous Tubular and Spindle Cell Carcinoma of the Kidney. Samson W. Fine, MD; Pedram Argani, MD; Angelo M. De. Marzo, MD, Ph. D; Brett Delahunt, MD; Thomas J. Sebo, MD; Victor E. Reuter, MD; Jonathan I. Epstein, MD, American Journal of Surgical Pathology. 30(12): 1554 -1560, December 2006. • Review of mucinous tubular and spindle-cell carcinoma of the kidney with a focus on clinical and pathobiological aspects, N. Kuroda, M. Toi 1, M. Hiroi, T. Shuin and H. Enzan, Histopathol 20, 221 -224 (2005) • Low-grade myxoid renal epithelial neoplasms with distal nephron differentiation, A. Parwani, Human Pathology, Volume 32, Issue 5, Pages 506 -512 • Mucinous tubular and spindle cell carcinoma of kidney is probably a variant of papillary renal cell carcinoma with spindle cell features. Shen SS, Ro JY, Tamboli P, Truong LD, Zhai Q, Jung SJ, Tibbs RG, Ordonez NG, Ayala AG, Annals of diagnostic pathology 11 (2007) 13 - 21