Knee Injuries Sports Medicine 2 Knee Structures n























- Slides: 23
Knee Injuries Sports Medicine 2
Knee Structures n n Hinge Joint Stability comes from ligamentous support Femur, tibia, fibula, patella Menisci ~ 2 oval fibrocartilages
Ligaments n n ACL ~ Prevents the tibia from moving anteriorly or the femur from moving posteriorly PCL ~ Prevents posterior movement of the tibia on the femur, hyperextension MCL ~ Prevents valgus motion LCL ~ Prevents varus force
ACL Tears n n n Cause: Direct lateral or valgus blow with the knee flexed and tibia externally rotated, lower leg rotated with the foot planted, or flexion deceleration injury S/S: Hears/feels a ‘pop’ in the knee followed by immediate disability. Laxity of joint. TX: RICE n n n Surgery Rehabilitation ST: Anterior Drawer test, Lachman test
Normal ACL Torn ACL Restructured ACL
MCL Tears n n n Cause: Result of a medially directed valgus force from lateral side or from external rotation of the tibia S/S: Swelling, point tenderness, laxity on the medial side TX: RICE n n Crutches if unable to walk Bracing Surgery worse case ST: Valgus Stress Test, anterior drawer test
LCL Tears n Cause: Result of a laterally directed varus force from the medial side or from internal rotation of the tibia. q n n “Rarely ever will you have an isolated LCL tear” S/S: Pain and tenderness over the ligament, swelling, effusion, joint laxity TX: RICE n n Crutches if unable to walk Surgery if bad enough Brace ST: Varus Stress Test
PCL Tears n n n Cause: A full weight bearing fall on a hyper flexed knee. Dashboard injury S/S: Feels a ‘pop’ in the back of the knee. Tenderness and little swelling in popliteal fossa. Laxity may be noted. TX: RICE n n Quadricep strengthening on non-operative knees Surgery in highly active Brace ST: Posterior Drawer test
Meniscal Tear n n Cause: A weight bearing combined with a rotational force while extending of flexing the knee. Medial more common than lateral. Acute vs. Chronic S/S: Effusion on joint line, loss of motion, joint locking, and pain when squatting. TX: RICE n n n quad sets Surgery possible ST: Mc. Murray’s, Apley’s compression test
Meniscal Blood Supply
Patellar Tendonitis n n n Cause: Jumping, kicking, or running. S/S: Vague pain indicated, tenderness around bottom of patella, Point tenderness over tibial tuberosity TX: RICE (ice cups) n n NSAIDS Cho-pat strap Rehabilitation ST: Strength test, ROM test
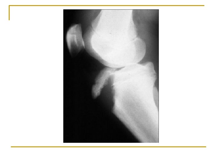
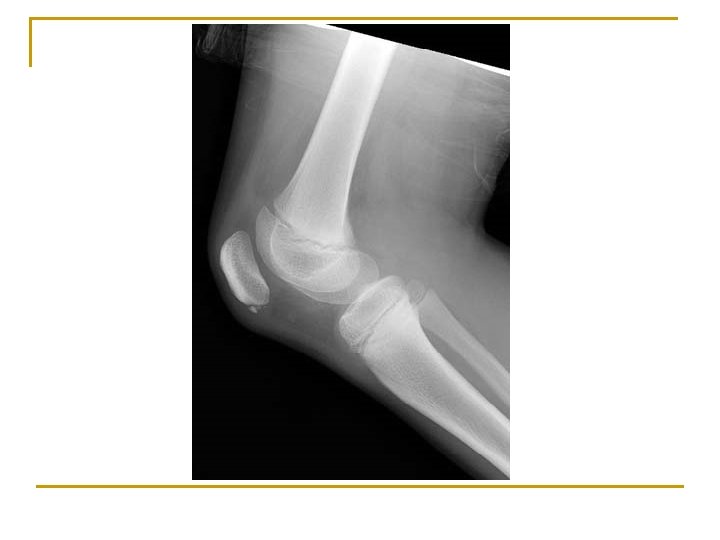
Osgood-Schlatter’s Disease n n n Cause: common in immature athletes. Repeated pull of the patellar tendon at the tibial tubercle. S/S: Swelling, hemorrhage, and gradual degeneration of tubercle (causing deformity) TX: Conservative: RICE (ice cups) n n n Out for 6 months to 1 year Rehabilitation ST: X-Ray
Larsen-Johansson Disease n Same as Osgood-Schlatter Disease but occurs at inferior pole of patella
Patellar Tendon Rupture n Cause: Sudden powerful contraction of quads with weight of the body applied to affected leg q n n ***Steroid injections to this area increase likelihood of rupture S/S: Patella moves upward, noticeable defect, and athlete cannot extend knee TX: Conservative: Surgical repair n n NSAIDS ST: X-Ray, MRI
Chondromalacia Patella n n Cause: wearing away of articular cartilage on the posterior aspect of patella S/S: Pain while walking or deep bending n n n TX: RICE n n n Going up stairs Crepitation Avoid painful activities Rhb NSAIDS Surgery ST: History, Clarks sign, Patella grind test