Final Diagnosis Reactivated Pulmonary Histoplasmosis in the setting


















- Slides: 18
Final Diagnosis Reactivated Pulmonary Histoplasmosis in the setting of TNF alpha antagonist therapy
Histoplasma capsulatum • Dimorphic fungus – Mold in environment – Yeast phase in vivo • Found primarily in North and Central America – Mississippi and Ohio River Valleys • Most common endemic mycosis in the United States • Reservoir is soil that contains bird or bat guano
H. capsulatum Transmission • Microconidia are inhaled from disrupted soil • Deposition in bronchioles and alveoli • Convert into yeast form • Uptake by macrophages • May remain latent in granulomas
Histoplasmosis Categories of Disease • • Acute Pulmonary Histoplasmosis Chronic Cavitary Pulmonary Histoplasmosis Disseminated Histoplasmosis Associated with Anti-Tumor Necrosis Factor Alpha Therapy
Acute Pulmonary Histoplasmosis • Self-limited illness • Generally asymptomatic infection • Chest radiograph: patchy infiltrate, hilar and mediastinal lymphadenopathy, often calcified nodules later noted Acute Severe Pulmonary Histoplasmosis • Symptoms: fever, malaise, headache, weakness, chest discomfort and dry cough • May be associated with myalgias and arthralgias • Physical exam: diffuse rales • Chest radiograph: diffuse reticulonodular infiltrates
Chronic Cavitary Pulmonary Histoplasmosis • • • Older patients with underlying lung disease Interstitial inflammation adjacent to bullae Large apical cavities Calcified mediastinal nodes Systemic symptoms: fatigue, fever, weight loss Pulmonary symptoms: productive cough, dyspnea, mild hemoptysis
Disseminated Histoplasmosis • • Immunocompromised host Parasitized macrophages Symptoms: fever, anorexia, malaise Severe disease: sepsis, disseminated intravascular coagulation, renal failure, adult respiratory distress syndrome • Physical Exam: hepatosplenomegaly, lymphadenopathy, mucous membrane ulceration, pallor/petechiae • Other organs: gastrointestinal tract, genitourinary system, adrenals, bone, central nervous system, endocarditis
Histoplasmosis Associated with Anti-Tumor Necrosis Factor Alpha Therapy • Patients with various inflammatory disorders being treated with either infliximab, adalimumab or etanercept • Acute infection or reactivation of latent disease • Symptoms: fever, malaise, headache, cough, dyspnea • Chest radiograph: diffuse interstitial infiltrates
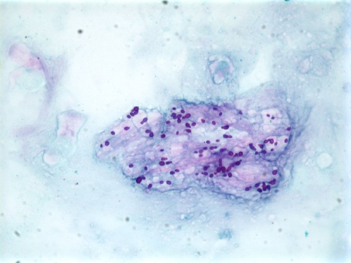
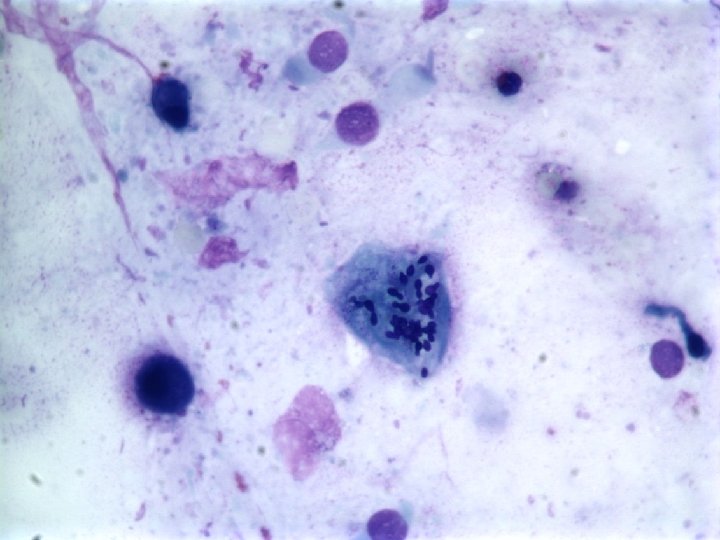
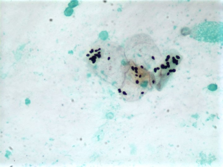
Diagnosis • Culture – Several weeks for growth – DNA probe – Exoantigen test • Histopathology – Budding yeast within macrophages or free in tissue • Antigen Tests – Urine or blood • Antibody Tests – Complement fixation – Immunodiffusion
Treatment • Acute Pulmonary Histoplasmosis – Treatment not usually required – Itraconazole therapy for 6 -12 weeks for severe cases – If severe: amphotericin B then itraconazole for 12 weeks • Chronic Cavitary Pulmonary Histoplasmosis – Itraconazole therapy for 1 -2 years • Disseminated Histoplasmosis – Amphotericin B (if severe) – Itraconazole for 6 -18 months • Histoplasmosis Associated with Anti-Tumor Necrosis Factor Alpha Therapy – As above – Cessation of anti-tumor necrosis alpha inhibitor
Special Considerations • AIDS patients with history of histoplasmosis should remain on itraconazole until CD 4 count is above 200 cells/ml • Prophylaxis is recommended for AIDS patients in endemic areas with CD 4 counts less than 150 cells/ml • No formal recommendations about prophylaxis for patients with other forms of immunosuppression
Ankylosing Spondylitis Tobacco use Thoracic Spine Involvement Obstructive Lung Disease Restrictive Lung Disease Obstructive Sleep Apnea Chronic Hypoxemia and Hypercapnia Etanercept Remote Exposure to Histoplasmosis Reactivation of Histoplasmosis Worsening Hypoxia Breathlessness Fever Chills
Patient Follow-up • Hospital day #18: Based on preliminary bronchoalveolar lavage results, the patient was started on amphotericin B. Etanercept therapy was discontinued. • Hospital day #20: Patient was switched to liposomal formulation of amphotericin because of concerns about nephrotoxicity. • Hospital day #28: Patient’s respiratory status began to improve. He was then converted to PO itraconazole. • Hospital day #31: Oxygen requirements continued to decreased • Hospital day #36: Pt was discharged to a nursing home • Pt has returned home and is functioning at baseline. The current plan is for nine months of itraconazole therapy. He remains off tumor necrosis factor antagonist therapy.
References Bakleh EF, Tleyjeh I, Matteson EL, et al. Infectious complications of tumor necrosis factor alpha antagonists. Int J Dermatol 2005; 44: 443 -448. Crum, N. F. , E. R. Lederman, and M. R. Wallace. Infections associated with tumor necrosis factor-alpha antagonists. Medicine (Baltimore) 2005; 84: 291 -302. Deepe GS. Tumor necrosis factor alpha and host resistance to the pathogenic fungus, Histoplasma capsulatum. J Investig Dermatol Symp Proc 2007; 12: 34 -37. Furst DE, Wallis RS, Broder, et al. Tumor necrosis factor antagonists: different kinetics and/or mechanisms of action may explain difference in risk for developing granulomatous infection. Semin Arthritis Rheum 2006; 36: 159 -167. Jain VV, Evans T, Peterson MW. Reactivation histoplasmosis after treatment with anti-tumor necrosis factor alpha in a patient from a nonendemic area. Respir Med 2006; 100: 1291 -1293. Kauffman CA. Histoplasmosis: a clinical and laboratory update. Clin Microbiol Rev 2007; 20; 115 -132. Lee JH, Slifman NR, Gershon SK et al. Life-threatening histoplasmosis complicating immunotherapy with tumor necorsis factor alpha antagonists infliximab and etanercept. Arthritis rheum 2002; 46: 2565 -2570. Nakelchik M and Mangino JE. Reactivation of histoplasmosis after treatment with infliximab. Am J Med. 2002; 112: 78. Wallis RS, Broder MS, Wong JY et al. Granulomatous infections due to tumor necrosis factor antagonists. Clin Infect Dis 2004; 39: 1254 -1257. Wallis RS, Broder MS, Wong JY et al. Granulomatous infectious disease associated with tumor necrosis factor antagonists. Clin Infect Dis 2004; 38: 1261 -1265. Wheat, J. , G. Sarosi, D. Mc. Kinsey, R. Hamill, R. Bradsher, P. Johnson, J. Loyd, and C. A. Kauffman. Practice guidelines for the management of patients with histoplasmosis. Clin Infect Dis 2000; 30: 688 -695. Wood KL, Hage CA, Knox KS et al. Histoplasmosis after treatment with anti-tumor necrosis factor alpha therapy. Am j respir crit care med 2003; 167: 1279 -1282.