Final Diagnosis Intralobar Pulmonary Sequestration 8152005 History of
Final Diagnosis Intralobar Pulmonary Sequestration
8/15/2005
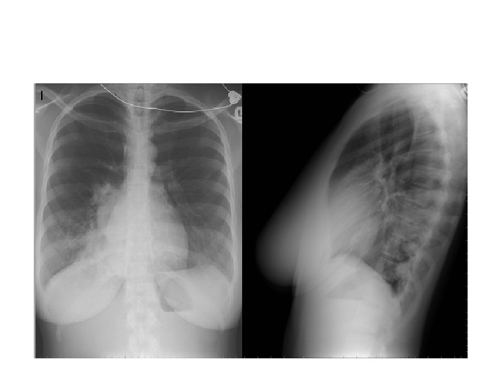
History of recurrent pneumonia
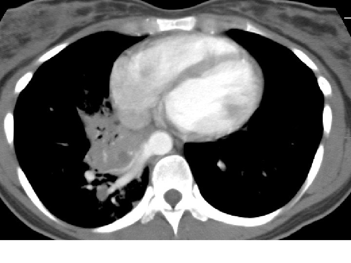
Surgical Report • Intralobar Pulmonary Sequestration, treated with right lower lobectomy • Two major arteries from the thoracic aorta • Large vein draining sequestered lobe
Bronchopulmonary Sequestration Definition • Non-functioning lung tissue • Separated from normal bronchial tree • Vascularized by a systemic artery Two Forms • Intralobar (ILS): within the visceral pleura • Extralobar (ELS): separated from the lung by its own pleura
Intralobar Pulmonary Sequestration (ILS) Characteristics • More common type • May present at any age • Generally as recurrent infection • No sexual predominance • Almost exclusively affects lower lobe • Arterial supply: descending aorta • Venous drainage: pulmonary veins
Etiology of Bronchopulmonary Sequestration • Accessory bud that forms caudal to lung buds • Traction theory • Postnatal formation
Pulmonary Sequestration Complications • Recurrent infection • Heart failure • Intralobar malignancy
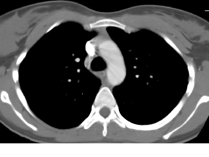
Treatment of Pulmonary Sequestration Symptomatic Disease • Surgery: lobectomy or segmental resection • Arterial embolization
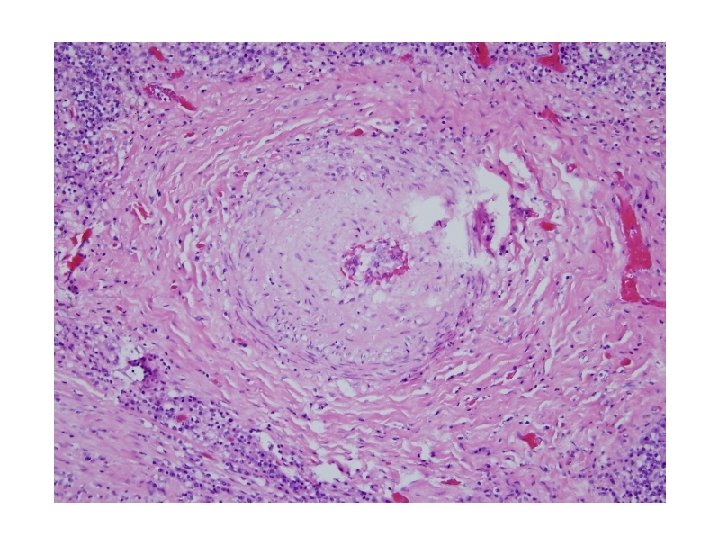
Patient Follow-up • Given granulomas and acid fast bacilli, sputum was sent for culture. Three sputum samples were negative for acid fast bacilli. A ppd was placed and was also negative. • Patient was treated empirically with IRPE for four months.
- Slides: 18