Cytology Technology and Discoveries Timeline Microscopes allowed discoveries
























- Slides: 24
Cytology Technology and Discoveries Timeline
Microscopes allowed discoveries about cells to be made • Light microscopes – use beams of light and lenses to create magnified images – can be used to view dead or living organisms
Early light microscopes • Simple Light Microscope – uses ONE lens and light • Basically just a magnifying glass • These were in use by the early 1600’s.
First view of cells • Robert Hooke used a sharp knife to slice a thin layer from a piece of cork, and looked at it under a microscope. • He called the small chambers he saw “cells” because they reminded him of the small rooms (cells) in monasteries. • This first use of the word cells occurred in 1665. • They were actually cell walls.
First knowledge that there are organisms too small to see with the naked eye • Anton von Leeuwenhoek used a simple light microscope to look at a sample of pond water. • He was the first to realize, in 1674, that there are living things to small to see with the naked eye.
First effort to prove that life does not appear by “Spontaneous Generation” • People had noted that maggots often appeared on rotting meat. • They though meat produced maggots. • This (incorrect) idea is called “spontaneous generation. ” • Francisco Redi did an experiment in which he showed that maggots only appear if flies are allowed to lay eggs on the meat. • This happened in 1668.
Modern Compound Light Microscopes Become Available • Compound light microscopes use two lenses and light to produce a magnified image. • The total magnification = eyepiece magnification x objective magnification
All plants are made of cells • Mathias Schleiden used a compound microscope to examine many, many plants. • In 1838, he concluded that all plants are made of cells.
All animals are made of cells • Theodore Schwann used a compound microscope to look at many, many animals. • In 1839, he concluded all animals are made of cells.
All cells come from pre-existing cells • Rudolf Virchow studied cells from embryos and from adult human tissue. • In 1855, he helped spread the knowledge that all cells come from pre-existing cells.
The Cell Theory 1864– Summarized findings about cells 1. All living things are composed of cells. 2. Cells are the basic units of structure and function in living things. 3. New cells are produced from existing cells.
Cell Theory has been UPDATED to also include: 4. The activity of an organism depends on the total activity of independent cells. 5. Energy flow (metabolism and biochemistry) occurs within cells. 6. Cells contain hereditary information (DNA) which is passed from cell to cell. 7. All cells are basically the same in chemical composition in organisms of similar species.
Spontaneous Generation does NOT occur • Two hundred years after Redi’s experiment, some argued that the only reason spontaneous generation didn’t occur in his jars was because there was no air for organisms to breathe.
Definitive proof that life does not arise by spontaneous generation • An experiment by Louis Pasteur in 1864, involving a goose-neck flask, finally proved there is NO spontaneous generation.
Pasteur’s experiment disproving spontaneous generation
Disease and infections are caused by germs • Louis Pasteur, who disproved spontaneous generation, also proposed the Germ Theory of Disease in the 1860’s. • Specific diseases are caused by specific microorganisms.
Robert Koch – 1876; developed a method to prove whether a certain germ caused a certain disease.
Penicillin – the first antibiotic (kills bacteria) is discovered • 1928 – Alexander Fleming was studying the bacteria that cause staph infections. • He found that if mold grew in the bacteria dishes, it killed the bacteria. • The mold produced penicillin.
Electron Microscopes – 1940’s • Use a beam of electrons, instead of light, to produce magnified images • Preparing the object for magnification involves coating it with metal, so it can’t be used to view organisms while they are alive.
Scanning Electron Microscope • Magnifies 100, 000 times or more • Observes surface detail • Specimen coated with thin metal coating • 3 -D Effect
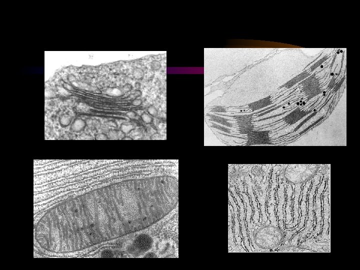
Transmission Electron Microscope • Observes fine detail • Requires thin sections of a specimen • Magnifies up to one million times • This microscope allowed discovery of organelles!
Origin of Life – Miller and Urey Experiment • Designed to test hypothesis that life in Earth’s primitive oceans began when simple compounds combined to form the organic compounds needed for life. • Experiment was performed in the 1950’s. Amino acids appeared in the collecting trap.
Endosymbiotic Theory – Margulis • Billions of years ago, complex cells with organelles arose when several types of simple cells developed a symbiotic relationship.