C SPINE Y A Mamoojee Importance of Prompt















































- Slides: 47
C SPINE Y A Mamoojee
Importance of Prompt Diagnosis • Neck pain – > quadriplegia – > death • Delayed recognition can lead to irreversible s. c injury and permanent neurologic damage.
INDICATIONS • Who needs XR
NEXUS NO • Alcohol intoxication • Focal neuro deficit • Midline tenderness • GCS 15 • Painful distracting injuries
CANADIAN C SPINE RULES
CASE DISCUSSION • A person arrives by ambulance to ED on a backboard and a cervical collar after an MVA. • Speed of 50 km/hr • No LOC, no other injuries, no midline tenderness, BAL 0. 20. • Does he need imaging?
WHAT VIEWS?
• LATERAL • AP • ODONTOID • SWIMMERS • FLEXION/EXTENSION?
ANATOMY OF NECK • • LIGAMENTS BONES MUSCLES JOINTS
• • • Most important view Can see 80 -90% of injuries Interpretation: A - adequacy A - alignment B - bone C - cartilage D - disc S – soft tissue • • • A - Must have a view of C 7 – T 1 A - Use 3 lines 1. anterior vertebral line 2. posterior vertebral line 3. spino laminar line (base of spinous processes) 4 th line can be used ie. Tips of spinous processes •
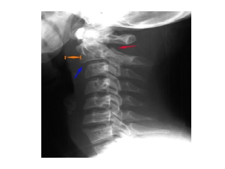
• Check : • B - individual vertebrae • C - cartilage • D - disc • S - soft tissue • <7 mm at C 3 • <21 mm at C 7 • no more than vertebral body width at C 7 • Predental space – • 5 mm child • 3 mm adult • Fanning of spinous processes
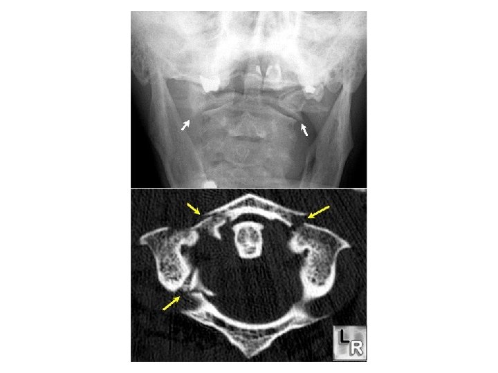
• Open mouth view • Adequate if entire Odontoid and lateral borders of C 1 and C 2 visible • Check : • lateral masses of C 1 must align with Odontoid • bilateral symmetry • Important also for Odontoid fractures
SWIMMER’S AP
MECHANISM OF INJURY • • • 1. Flexion 2. flexion rotation 3. extension 4. axial compression 5. Other
WEDGE FRACTURE • STABLE • Compression fracture resulting from flexion • Features – – Buckled anterior cortex – Loss of height of anterior part of body – Anterosuperior fracture of vertebral body
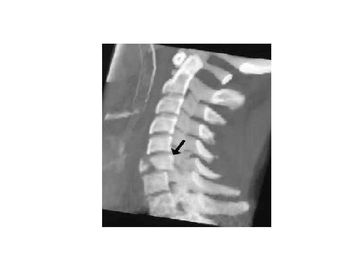
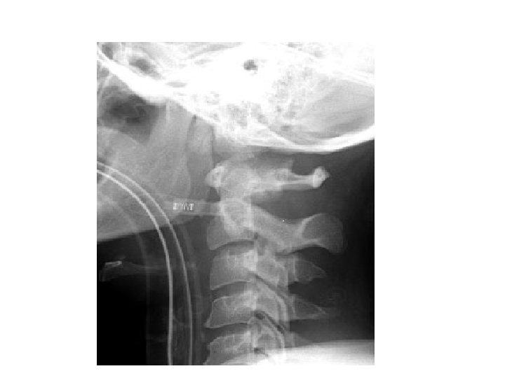
FLEXION TEARDROP FRACTURE • UNSTABLE • Posterior ligament disruption and anterior compression fracture of the vertebral body • Prevertebral swelling • Tear drop fragment • Posterior vertebral body subluxation into the spinal canal • Spinal cord compression • Fracture of spinous process
• Mechanism – Hyperflexion and Compression – Excessive flexion of the neck in the sagittal plane, disrupts posterior ligament. • Example – diving into shallow pool
ANTERIOR SUBLUXATION • Disruption of the posterior ligament complex. Anterior subluxation of C 4 on C 5 is characterized by widening of the interspinous space (arrowhead), subluxation of the C 4 -C 5 interfacetal joints (arrows), and anterior rotation of the C 4 vertebra relative to C 5.
• • • Stable but potentially unstable during flexion Mechanism : hyperflexion Disruption of posterior ligament complex, anterior intact • • Stable – loss of normal cervical lordosis anterior displacement of body fanning of interspinous distance • • • Unstable – anterior subluxation >4 mm assoc. compression fracture >25% of affected body increase or decrease in normal disc space fanning of interspinous distance • •
BILATERAL FACET JOINT DISLOCATION • Complete anterior dislocation of the vertebral body • Mechanism – extreme hyperflexion of head and neck without axial compression • Unstable – very high risk of cord damage • Features – – complete anterior dislocation >50% of vertebral body diameter – Disruption of the posterior ligament complex and anterior longitudinal ligament – “Bow tie” appearance of the locked facets.
CLAY SHOVELLER’S FRACTURE • Fracture of spinous process C 6 -T 1 • Mechanism – powerful hyperflexion, usually combined with contraction of paraspinous muscles pulling on spinous processes (e. g. shovelling). Features – spinous process fracture on lateral view Ghost sign on AP – double spinous process of C 6/C 7 due to displaced fractured spinous process
UNILATERAL FACET JOINT DISLOCATION • Stable • Mechanism – simultaneous flexion and rotation • Facet joint dislocation and rupture of the apophyseal joint ligaments • FEATURES : • Anterior dislocation of vertebral body by <50% of the diameter • Discordant rotation above and below involved level • Facet within intervertebral foramen on oblique view • “Bow tie” appearance of the overriding locked facets
EXTENSION INJURIES • Excessive extension of the neck in the sagittal plane. • E. g. hitting the dash board in MVA
HANGMAN’S FRACTURE • • Fractures through pars interaticularis of the axis Unstable if occurs with facet dislocation Mechanism – hyperextension Features – – Prevertebral soft tissue swelling – Avulsion of anterior inferior corner of C 2 assoc. with rupture of the ant. Longitudinal ligament – Anterior dislocation of C 2 body – Bilateral C 2 pedicle fractures.
C 1 POSTERIOR ARCH FRACTURE • Hyperextended head • C 1 arch is compressed by occiput and C 2 spinous process • Odontoid process is normal • Stable • Distinguish from Jefferson fracture (unstable)
AXIAL COMPRESSION INJURIES
BURST FRACTURE • Fracture of C 3 -C 7 that results from axial compression • Spinal cord injury secondary to displacement of posterior fragments is common. • Mechanism – Axial compression • >25% loss of height of vertebral body • Stable • Needs CT or MRI
JEFFERSON FRACTURE • Burst type fracture of C 1 • Lateral displacement of C 1 masses • Fracture of anterior and posterior arches on both sides – quadruple fracture • Unstable – transverse ligament rupture • Soft tissue swelling is marked on Xray
ATLANTO AXIAL SUBLUXATION • Flexion and rotation causes the transverse ligament to rupture • Predental space >3. 5 mm in adults and >5 mm in children • Unstable
ODONTOID FRACTURES • 3 Types : – I Avulsion of tip at alar ligament (stable) – II Base of dens (unstable) – common, non union is a complication – III Involves body of C 2 (unstable)