Silvia Magnaldi ENDOMETRIOSI I QUADRI PI FREQUENTI IN







































- Slides: 39
Silvia Magnaldi ENDOMETRIOSI: I QUADRI PIÙ FREQUENTI IN RISONANZA MAGNETICA
Agenda Adenomiosi Endometriosi di superficie Endometriosi profonda (DIE) del compartimento anteriore del compartimento medio (ovarica) del compartimento posteriore
Adenomiosi Tessuto endometriale negli strati profondi del miometrio (den. obsoleta di “endometriosi interna”) Ispessimento della zona giunzionale (*messo in discussione il valore di >12 mm come altamente predittivo, se < 8 mm → esclusione della diagnosi) *Irregolarità o aspetto sfumato dell’interfaccia zona giunzionale-miometrio periferico Spesso + microcisti (“swiss cheese”) *Tellum T et Al, Eur Radiol Dec 2019
Zona giunzionale di aspetto e spessore normali
Adenomiosi
Adenomiosi
Adenomiosi: pitfalls Pseudoispessimento della zona giunzionale e del miometrio legato alle modificazioni cicliche dell’utero Miometrio periferico ↑ del segnale in fase secretiva (luteinica) → zona giunzionale e adenomiosi più visibili ↓ del segnale durante le mestruazioni o nella fase proliferativa precoce (follicolare) → zona giunzionale > 12 mm in assenza di patologia soprattutto nei primi due giorni
Adenomiosi: pitfalls Focolai adenomiosici Maggiore eterogeneità del segnale in fase secretiva (gravidanza, terapia progestinica, squilibri ormonali) Riduzione del segnale in T 2 e delle dimensioni dopo terapia ormonale (GRH) o in menopausa
Adenomiosi: pitfalls L’adenomiosi si studia meglio nella seconda metà del ciclo
Adenomiosi focale
Adenomiosi: pitfalls Contrazione focale del miometrio, anche in utero gravido e a ridosso della sede di impianto reperto incostante in sequenze successive e in cine-RM, assenza di residui ematici in SWI
Possibile adenomiosi focale Zona giunzionale normale in un’altra sequenza dello stesso esame
Varianti: a) Adenomioma Forma localizzata, pseudotumorale Può essere intracavitario (polipoide), identico al polipo adenomiomatoso spesso associato a terapia con tamoxifene (DD k endometrio, problemi di stadiazione) intramurale (DD miomi, sarcomi) sottosieroso (DD miomi, sarcomi, lesioni annessiali)
Varianti: b) Adenomiosi cistica Variante rara Ha l’aspetto di un endometrioma (iperintensità con alone periferico ipointenso in T 1 FS) Più spesso intramurale, può anche essere intracavitaria o sottosierosa Di solito associata ad aree contigue di adenomiosi tipica
Adenomiosi: diagnosi differenziale Miomi Infiltrazione da endometriosi pelvica/placche di endometriosi sottosierosa LG-ESS Metastasi miometriali (tumori mammari e gastrici, linfomi maligni)
Adenomiosi DD: infiltrazione da endometriosi pelvica
Endometriosi pelvica superficiale Impianti peritoneali non invasivi Distinta sulla base dell’aspetto laparoscopico nelle varianti nera, bianca e rossa a seconda del grado di fibrosi cicatriziale ed emorragia e della loro trasformazione nel tempo Piccoli impianti superficiali non emorragici non sono visibili con RM
Endometriosi superficiale
Endometriosi pelvica profonda (solida infiltrante, DIE) Infiltrazione del peritoneo >5 mm da parte del tessuto endometriale (ghiandole e stroma) Si ritiene che questa forma contribuisca maggiormente an dolore pelvico e all’infertilità
La suddivisione della pelvi femminile nei compartimenti anteriore, medio e posteriore, basata su criteri funzionali e clinici, rende più facile la diagnosi di endometriosi.
Endometriosi del compartimento anteriore Include localizzazioni endometriosiche a livello di recesso pre-vescicale parete vescicale (detrusore) plica vescico-uterina setto vescico-vaginale uretere Si associa a lesioni in altre sedi pelviche nel 50 -75% dei casi Le Pazienti con questa forma hanno malattia in stadi più avanzati (III and IV secondo i criteri del 1996 dell’American Society of Reproductive Medicine)
Endometriosi della plica vescico-uterina
Endometriosi della plica vescico-uterina
Endometriosi del compartimento medio Include localizzazioni endometriosiche a livello di utero → le lesioni possono localizzarsi sulla sierosa che lo riveste (l’adenomiosi è una condizione a se stante) ovaie (75% dei casi) → (a) piccoli impianti di superficie (b) aumento di dimensioni delle ovaie da ripetuti episodi emorragici e conseguenti cisti endometriosiche (endometriomi), abitualmente considerati una categoria a se stante tube, spesso associato ad infertilità legamenti uterini (larghi, rotondi) → ispessimento, spesso di aspetto plurinodulare parametri, talora difficile da visualizzare (DD strutture vascolari ectasiche)
Endometriomi, “shading” in T 2 Endometrioma dell’annesso sinistro
Endometriomi, molteplicità e “dark spots” in T 2 Endometriomi bilaterali, kissing ovaries
Ematosalpinge
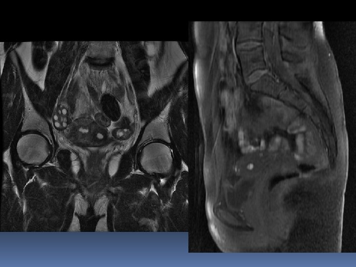
Endometriosi del compartimento posteriore Include localizzazioni endometriosiche a livello di fornice vaginale posteriore area retroistmica/retrocervicale, sopra la riflessione del fornice setto retto-vaginale torus uterino e legamenti utero-sacrali recesso retto-vaginale (Douglas) retto
Endometriosi dei legamenti utero-sacrali
Netta prevalenza di forme pluricompartimentali
Altre localizzazioni L’endometriosi profonda può coinvolgere, anche isolatamente parete addominale anteriore vagina fossa ischio-anale spazi presacrale e pre-coccigeo perineo nervi pelvici Quasi sempre le localizzazioni insolite si accompagnano a lesioni in sedi tipiche
Endometriosi dei nervi pelvici L’entrapment può interessare i nervi sciatico, otturatorio, femorale, pudendo, ipogastrico inferiore e plesso lombosacrale; decorso interamente extra-peritoneale → patogenesi? L’ipotesi della mestruazione retrograda perde forza rispetto ad altre disseminazione linfatica o vascolare teoria neurale (rilascio di neurotrasmettitori con induzione dell’angiogenesi) infiltrazione diretta di parametrio, spazio presacrale, parete pelvica e plessi da lesioni retrocervicali
Endometriosi dei nervi pelvici Sintomi tipici: sciatica L 5 -S 1, dolore gluteo e deficit motori del piede con andamento catameniale e tendenza alla progressione Il coinvolgimento del nervo otturatorio è raro; poichè innerva i muscoli e la cute del compartimento mediale della coscia, l’infiltrazione da parte di placche retro e paracervicali può determinare ipostenia nell’adduzione e difficoltà nella deambulazione Le lesioni endometriosiche possono estendersi anche al pavimento pelvico ed interessare il muscolo elevatore dell’ano
Endometriosi extra-pelvica 8. 9% dei casi di endometriosi le localizzazioni più frequenti sono apparato gastroenterico (32. 3%) apparato urinario (5. 9%) altre sedi (61. 8%): polmone, cicatrice ombelicale, fegato, colecisti, pancreas, nervi pelvici, regione inguinale, mammella, estremità e parete addominale raramente possono trovarsi localizzazioni nella mucosa nasale, cerebrali, oculari Chamié LP et Al. : Atypical sites of deeply infiltrative endometriosis: clinical characteristics and imaging findings. Radiographics 38 (1): 2018
Take-home messages Inquadramento clinico: fondamentale Solo apparecchiature ad alto campo (>1. 5 T) Clinica indicando, gel nel colon distale e nell’ampolla rettale Aumento dell’estensione della scansione se lesioni in sedi insolite Sequenze aggiuntive-base e “problem-solving” se lesioni con caratteristiche aggressive
Grazie!