Injuries to the Lower Leg Foot and Ankle

  • Slides: 38
Download presentation
Injuries to the Lower Leg, Foot and Ankle

Injuries to the Lower Leg, Foot and Ankle

Lower Leg Injuries Caution! Graphic Picture

Lower Leg Injuries Caution! Graphic Picture

Contusions n Shin contusion

Contusions n Shin contusion

Compartment Syndrome

Compartment Syndrome

n

n

Fasciotomy – surgical procedure in which the fascia is cut to relieve pressure http:

Fasciotomy – surgical procedure in which the fascia is cut to relieve pressure http: //www. youtube. com/watch? v=82 Qcxd. Hel 0 Q

Muscle Strain n Calf is most affected (usually at gastroc-achilles junction)

Muscle Strain n Calf is most affected (usually at gastroc-achilles junction)

n Grade 1 Calf Strain: n Grade 2 Calf Strain : n Grade 3

n Grade 1 Calf Strain: n Grade 2 Calf Strain : n Grade 3 Calf Strain:

Achilles Tendonitis n Inflammation of the Achilles Tendon n MOI – overuse, microtearing of

Achilles Tendonitis n Inflammation of the Achilles Tendon n MOI – overuse, microtearing of tendon

Achilles Tendon Tear n

Achilles Tendon Tear n

n

n

Thompson’s test for Achilles Tendon Rupture http: //www. youtube. com/watch? v=8 kx. PFj. SJj

Thompson’s test for Achilles Tendon Rupture http: //www. youtube. com/watch? v=8 kx. PFj. SJj 0 k

Muscle Spasm n Calf usually affected n MOI – fatigue, dehydration n Treatment –

Muscle Spasm n Calf usually affected n MOI – fatigue, dehydration n Treatment – direct compression, gradual stretch, ice, rehydrate

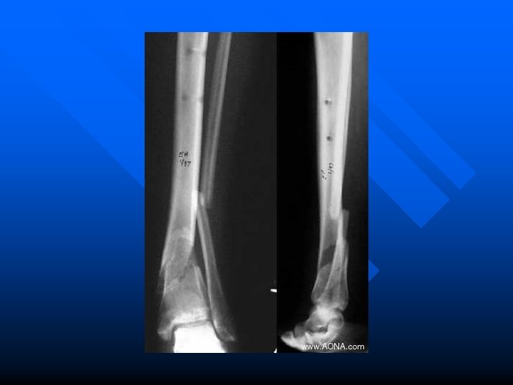
Leg Fractures n. Direct blows or indirect trauma

Leg Fractures n. Direct blows or indirect trauma

Stress Fractures An incomplete break in a bone occurring after prolonged repetitive exercise

Stress Fractures An incomplete break in a bone occurring after prolonged repetitive exercise

Stress Fractures (con’t) n Signs and Symptoms -

Stress Fractures (con’t) n Signs and Symptoms -

Medial Tibial Stress Syndrome n “shinsplints” n Pain along medial border of the tibia

Medial Tibial Stress Syndrome n “shinsplints” n Pain along medial border of the tibia n Usually with novice runners – well conditioned runners usually due to mechanical abnormalities

n Causes: - running on hard surfaces - Overuse - Muscle imbalance - Tight

n Causes: - running on hard surfaces - Overuse - Muscle imbalance - Tight Achilles

n

n

Ankle Injuries

Ankle Injuries

Mechanisms of Injuries n Inversion -

Mechanisms of Injuries n Inversion -

n Plantar Flexion - Usually sprain ankle when in plantar flexion. - Ankle is

n Plantar Flexion - Usually sprain ankle when in plantar flexion. - Ankle is unstable in this position

n Eversion - usually due to a planted foot that receives a lateral force

n Eversion - usually due to a planted foot that receives a lateral force - stepping in a hole - higher incidence of fractures

Lateral Ligament Sprain n Most common ankle injury n MOI = Inversion and plantar

Lateral Ligament Sprain n Most common ankle injury n MOI = Inversion and plantar flexion

n Anterior Talofibular Ligament (ATF) is injured first. (mild sprain) n The Calcaneofibular Ligament

n Anterior Talofibular Ligament (ATF) is injured first. (mild sprain) n The Calcaneofibular Ligament (CF) is injured in more severe sprains

INVERSION ANKLE SPRAIN n n

INVERSION ANKLE SPRAIN n n

Ankle inversion http: //www. youtube. com/watch? v=d. P 17 ZY 3 zxa 4&feature=related http:

Ankle inversion http: //www. youtube. com/watch? v=d. P 17 ZY 3 zxa 4&feature=related http: //www. youtube. com/watch? v=8 Kc 1 CEAk 1 ao&feature=fvwrel n

Medial Ligament Sprain (Deltoid Ligament) n Often associated with fractures of lateral malleolus

Medial Ligament Sprain (Deltoid Ligament) n Often associated with fractures of lateral malleolus

The Deltoid Ligament n

The Deltoid Ligament n

Peroneal Tendon Injury n Can occur when lateral ankle ligaments are injured

Peroneal Tendon Injury n Can occur when lateral ankle ligaments are injured