Foot Ankle Lower Leg Injuries Sports Medicine 1

























- Slides: 25
Foot, Ankle, Lower Leg Injuries Sports Medicine 1 Lexington High School
Anatomy ¢ Bony components l l Tibia, fibula 26 Foot bones
Arches ¢ Medial longitudinal, Lateral longitudinal, anterior metatarsal, and transverse Shock absorbers l Support body weight l Provide rigid lever for propulsion l Accommodation to uneven surfaces l
Ligaments Plantar aponeurosis ¢ Medial (Deltoid) ¢ Lateral ~ anterior talofibular ~ calcaneofibular ~ posterior talofibular ¢
Muscles Foot (4 layers) ¢ Leg (4 compartments) ¢ Anterior l Lateral l Superficial posterior l Deep posterior l
Motions Foot ~ flexion/extension ~ abduction/adduction ~ inversion/eversion ¢ Ankle ~ plantarflexion/dorsiflexion ¢
Foot Injuries Cause ¢ Signs and Symptoms ¢ Treatment ¢ Prevention ¢
Retrocalcaneal Bursitis Cause: Chronic inflammation of bursa from constant rubbing from heel of shoe. ¢ S/S: Tenderness, swelling, warmth, and redness ¢ TX: Doughnut pad placed around area ¢ Prevention: Properly fitting shoes ¢
Bunion Cause: Bony enlargement of the head of the 1 st metatarsal caused from wearing improperly fitting shoes. ¢ S/S: Obvious deformity, tenderness, and swelling. ¢ TX: Proper shoe selection, protection devices, surgery may be necessary ¢ Prevention: Properly fitting shoes. ¢
Metatarsal Fracture Cause: Direct force or twisting or torsion stresses ¢ S/S: Swelling and pain. More pt tender and sometimes palpable. ¢ TX: RICE, casting ¢ Prevention: Avoid getting kicked, falling/rolling ankle ¢
Pes Planus Over pronation of foot ¢ Cause: Lack of support in shoes, genetics, age ¢ S/S: Foot pain, lack of longitudinal arch, lateral heel tilt ¢ Tx: arch stretches, toe curls, ice massage, orthotics ¢ Prevention: toe curls, proper shoes ¢
Ingrown Toenail Cause: Improper shoe fitting and nail cutting ¢ S/S: Increased pain, swelling, redness around the nail bed ¢ TX: Hot, soapy water, antibiotics, raise nail up. ¢ Prevention: proper shoes, proper nail trimming ¢
Plantar Fasciitis Cause: Running, toe running, wrong shoes (acute and chronic) ¢ S/S: Pain near heel. Similar signs as heel bruise ¢ Treatment: RICE, stretching, IM, NSAIDs, pad heel. ¢ Prevention: Stretching ¢
Ankle Sprain Cause: Inversion of the ankle ¢ S/S: Point tenderness, swelling, laxity ¢ TX: RICE, rehabilitation immediately ¢ Prevention: Strengthening exercises, proper shoes ¢
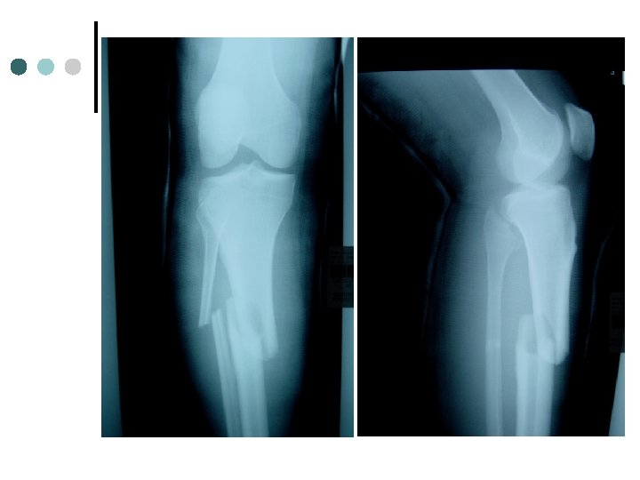
Tibia/Fibula Fractures Cause: Direct Force, rotary force ¢ S/S: Immediate pain, swelling, possible deformity ¢ TX: Immediate referral to MD ¢ Prevention: Wear proper shin protection ¢
Shin Splints Causes: Changes in any kind of training. Abnormal strength in Antagonist muscle ¢ S/S: Anterior medial shin pain ¢ TX: Eliminate bad changes, modified rest, cryotherapy, arch tape job ¢
Achilles Tendonitis ¢ ¢ Cause: Repetitive weight bearing activities that increase quicker than body can adapt to. S/S: Generalized pain and stiffness around the Achilles tendon. Usually gradual onset. TX: Limiting or restricting the activity that caused the irritation. Aggressive stretching of heel cord. Prevention: Heel cord stretching, proper acclimization to activity.
Achilles Tendon Rupture Cause: Sudden, forceful plantar flexion of the ankle with a chronically tight tendon. ¢ S/S: Feel or hear a pop. Feel as if they’ve been kicked in the leg. Inability to plantar flex foot. ¢ TX: Surgery vs. Cast ¢ Prevention: Stretching and proper care of any tendonitis ¢
Compartment Syndrome ¢ ¢ Cause: Increased pressure within one of four compartments of lower leg causes compression of the structures in the leg. S/S: Deep aching pain, tightness, and swelling. Pain with stretching. TX: Acute~ immediate surgery Chronic~ activity modification & ice and sometimes surgery Prevention: Stretching (Hard to prevent)