Current managent of closed head injuries Spotlights Zeiad

  • Slides: 49
Download presentation
Current managent of closed head injuries Spotlights Zeiad Fayed MD Lecturer of neurosurgery Ain

Current managent of closed head injuries Spotlights Zeiad Fayed MD Lecturer of neurosurgery Ain shams university

How serious ? • Trauma is the leading cause of death in the developed

How serious ? • Trauma is the leading cause of death in the developed world in persons aged 1 - 45 years. • In polytraumatized patients the head is the most commonly injured part.

How old. . Male Or female ? • Head injuries primarily occur in young

How old. . Male Or female ? • Head injuries primarily occur in young adults. • Males are affected more than females. • The highest incidence occur in September. . Mostly in Fridays , Saturdays and Sundays

What are the causes?

What are the causes?

Motor vehicle accidents

Motor vehicle accidents

Falls from Height

Falls from Height

Assaults

Assaults

How to classify head injuries ? According to Mechanism Severity Morphology

How to classify head injuries ? According to Mechanism Severity Morphology

According to mechanism • Closed • Penetrating

According to mechanism • Closed • Penetrating

Acoording to severity

Acoording to severity

According to Morphology Head injuries Intracranial injuries Skull fractures

According to Morphology Head injuries Intracranial injuries Skull fractures

Intracranial injuries • Focal - extradural - subdural - cerebral contusions - traumatic subarachnoid

Intracranial injuries • Focal - extradural - subdural - cerebral contusions - traumatic subarachnoid - traumatic intracerebral • Diffuse - mild concussion - Classic concussion - Diffuse axonal injury

Skull fractures • Vault - non depressed (fissure ) - depressed • Base

Skull fractures • Vault - non depressed (fissure ) - depressed • Base

Fissure fracture

Fissure fracture

Depressed fracture

Depressed fracture

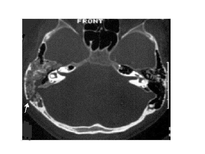
Fracture base

Fracture base

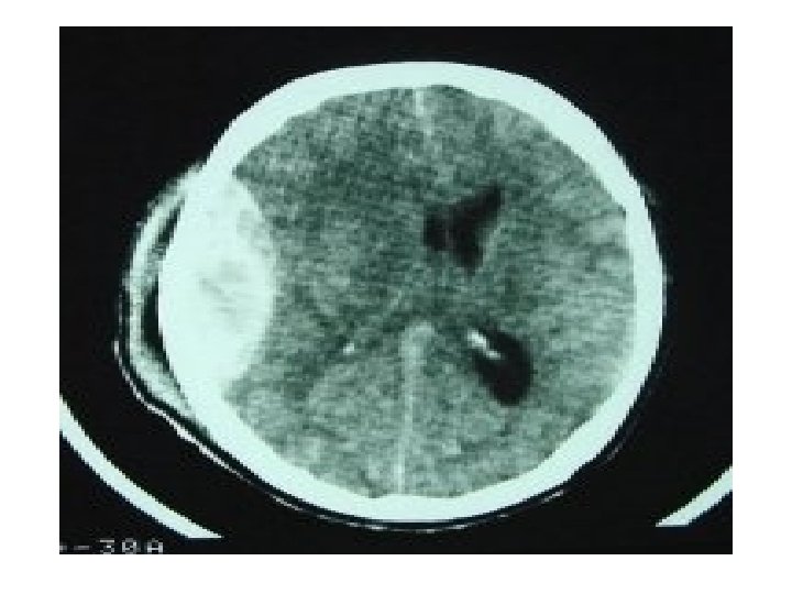
Extradural Hemorrhage

Extradural Hemorrhage

Indications of Surgery • Any Symptomatic EDH • Any EDH > 1 cm

Indications of Surgery • Any Symptomatic EDH • Any EDH > 1 cm

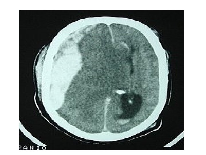
Acute Subdural hematoma

Acute Subdural hematoma

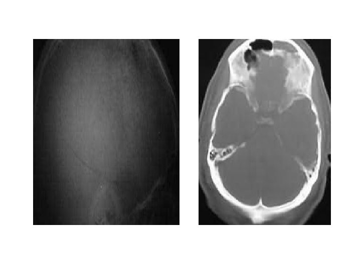
Chronic Subdural hematoma

Chronic Subdural hematoma

Cerebral contusion

Cerebral contusion

Traumatic Subarachnoid hemorrhage

Traumatic Subarachnoid hemorrhage

Traumatic Intracerebral hematoma

Traumatic Intracerebral hematoma

Management of Head injuries

Management of Head injuries

Management of Mild head injury Risk factors • • • Post traumatic amnesia >

Management of Mild head injury Risk factors • • • Post traumatic amnesia > 60 min Retrograde amnesia > 30 min Loss of conciousness > 30 min Clinical signs of skull fracture Headache Vomiting Focal neurological deficit Seizure Age < 2 y Age > 60 y Coagulation disorder High energy accident

Management of severe Head injury • • History Primary survey ( ABC ) Secondary

Management of severe Head injury • • History Primary survey ( ABC ) Secondary survey ( cervical clearence ) General examination Neurologic examination Therapeutic agents CAT scan

Therapeutic agents • • • Mannitol. Steroids. Lasix. Antiepileptic. IV fluids. Hyperventilation.

Therapeutic agents • • • Mannitol. Steroids. Lasix. Antiepileptic. IV fluids. Hyperventilation.

Thank You!

Thank You!