Acute Myeloid Leukaemia at 4 years of age





















- Slides: 21
Acute Myeloid Leukaemia at 4 years of age. Late effects encountered through 20 years of Long Term Follow Up (LTFU) Bernie Mc. Shane Ward sister Haematology/Oncology RBHSC
Case Study • The Late Effects of treatment encountered by the individual • The model of Long Term Follow Up in RBHSC
Case Background • Mary diagnosed with Acute Myeloid Leukaemia at 4 years old in March 1994 • Diagnosis: Right sided facial palsy but CSF clear ? meningeal spread. • Treatment: Daunorubicin, Cytarabine, Mitoxantrone, Amsacrine ( total anthracycline greater than 300 mg /m 2. • CNS: IT MTX/Cytarabine Cranial radiation 25 Gy in 12 fractions • No BMT • Complications severe fungal infection delaying treatment • Remission January 1995
Late Effects • Late effects are health problems that occur months or years after treatment has ended. • Late effects in childhood cancer survivors affect the body and mind. • The chance of having late effects increases over time. COG report in 2010 a cumulative incidence of a chronic condition at 25 years post treatment in 67% of cases whilst 28% had a severe life threatening condition.
Late Effects: Risks The magnitude of risk and the manifestations in an individual patient are influenced by 3 factors: • Tumour-related factors • Treatment-related factors • Patient-related factors
Case Study Treatment related factors: • Anthracycline Chemotherapy • Cranial radiation No tumour or patient related factors • HIGH RISK CASE
Late Effect: Thyroid 2004 aged 14 years • Swelling on right side of neck. Enlarged right lobe of thyroid on USS. Right colloid cyst of thyroid • Right thyroid lobectomy as at risk of thyroid carcinoma secondary to radiotherapy 2010 aged 20 years Further nodule in left lobe of thyroid. Thyroidectomy ( nodule benign) 2017 Continues on Thyroxine
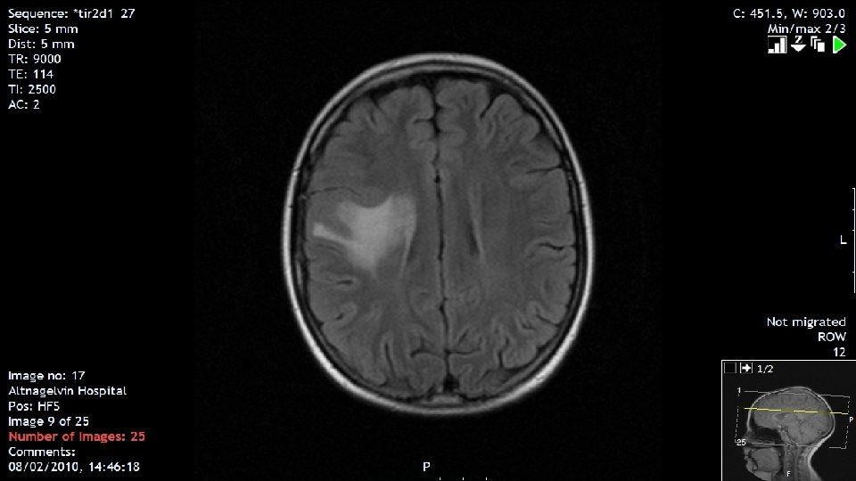
Late Effect Second Malignancy 2010 aged 20 years • Seizures post thyroidectomy. CT and MRI revealed a meningioma • RVH Subtotal removal of right sided meningioma grade 2. No radiotherapy due to previous treatment for AML. On Lamictal for seizure control 2013 aged 23 years • Progression of Meningioma further increase in size of residual tumour 2014 aged 24 years • Stereotactic radiosurgery in Leeds ( gamma knife)
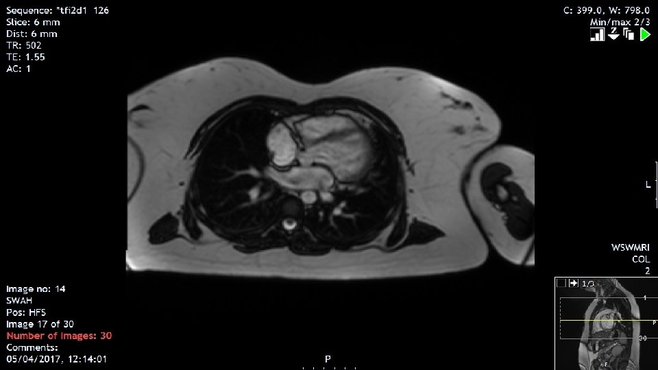
Late Effect: Cardiomyopathy 2004 aged 14 years • Echo RBHSC 10 year post Rx. Normal left ventricular function with a shortening fraction of 29%. Estimated LVEF 65%. Discharged from paediatric cardiology 2016 aged 26 years • Developed SOB on exertion and chest tightness. Non smoker noted to be overweight. Referred to adult cardiologist in RVH with special interest in post chemotherapy cardiac failure. • Echo decreased cardiac function with LVEF of 41%. Cardiac MRI. • Commenced on Ace inhibitor and beta blocker • Heart failure nurse specialist education and lifestyle advice. 2017 • Good improvement in symptoms with cardiac medication
Other Risks • At risk of infertility and early menopause currently using implantable device. • At risk of Cataracts post radiotherapy attends own optician • At risk of skin cancer • Increased weight BMI 30 ( post neurosurgery- steroids and reduction in exercise )
Long Term Follow Up • Risk stratification • Current RBHSC model • Did it meets the needs of this case ?
Long Term Follow Up • 2 Million survivors of Cancer within the UK and this is predicted to rise by 3. 2% per annum • Long term survivors of cancer report poorer health and well being than the general population • The National Cancer Survivorship Initiative (NCSI) is a partnership between NHS England Macmillan Cancer Support. The aim of the NCSI is to ensure that those living with and beyond cancer get the care and support they need to lead as healthy and active a life as possible, for as long as possible • The National Cancer Survivorship Initiative (NCSI) will consider a range of approaches to survivorship care and how these can best be tailored to meet individual patient’s needs
Vision for LTFU • Those living with and beyond cancer are supported to live as active a life as possible for as long as possible • People have the information they need • They are empowered to manage their own care • Aftercare is based on the individual needs of the patient • Particular needs are addressed and care is planned • Self care to specialist care
Risk Stratification
RBHSC Model of LTFU • LTFU clinic when patient is 5 years off treatment • No upper age limit for high risk patients except BMT who transition at 18 years • High risk patients yearly review • MDT : Consultant led. No specialist nurse. • Face to face appointments • Test /examinations • Emphasis on education/self care/signposting • Specialist referrals: established links with other specialists services both in paediatric and adult endocrinology/cardiology /fertility • Primary care update.
Is the RBHSC model meeting Mary’s needs. Cardiomyopathy High risk patients have routine Echo in RBHSC until 18 years old reported by paediatric cardiology Mary asymptomatic at yearly visits but no echo report for 12 years but ? ? ? Pre op assessments elsewhere 2010 /2014 and no record in RBHSC Referred when symptomatic at age 26 years to adult cardiologist with specialist interest in post chemotherapy cardiomyopathy. High risk patients now routinely referred to adult cardiology for follow up. Thyroid Mary had routine referral to paediatric endocrinology. Lump detected at LTFU clinic and referral to ENT specialist Adult endocrinology post thyroidectomy Meningioma Acute neurosurgical event GP/family knowledge of diagnosis/treatment was important
Discussion point • Link to Adult Cardiology service • Previously all follow up by ECHO in RBHSC and results discussed with patient by oncologist at LTFU clinic • Dr Lana Dixon, Consultant Cardiologist, Royal Victoria Hospital • Cardiologist with special interest in heart failure • expression of interest in cardiomyopathy in patients previously treated with chemotherapy and radiotherapy • Improved imaging with cardiac MRI – much more sensitive than ECHO
Discussion point • No Key worker Communication and coordination of service delivery across multiple specialities within different organisations is important in this complex case.
Further Questions