Universit di Roma La Sapienza I Facolt di



































- Slides: 35
Università di Roma “La Sapienza” I Facoltà di Medicina e Chirurgia Dipartimento di Medicina Sperimentale e Patologia PATOLOGIA NEOPLASTICA DEL TRATTO GASTROENTERICO
GENERALITA’ I tumori dell’apparato gastroenterico sono un gruppo eterogeneo di neoplasie che possono originare da qualsiasi strato della parete viscerale
NEOPLASIE DEL TRATTO GE n TONACA MUCOSA: carcinomi squamocellulari, adenocarcinomi n TONACA SOTTOMUCOSA: carcinoidi, GIST, linfomi MALT n TONACA MUSCOLARE: leiomiomi, leiomiosarcomi n TONACA SIEROSA: mesoteliomi
FATTORI DI RISCHIO I n Genetici n Ambientali/comportamentali n Dietetici n Infezioni n Secondari ad altre patologie
FATTORI DI RISCHIO II Solitamente la displasia precede il cancro per cui tutte le condizioni che portano ad essa costituiscono fattori di rischio neoplastico: esofago di Barrett e polipi adenomatosi gastrointestinali sono i principali esempi di questo tipo
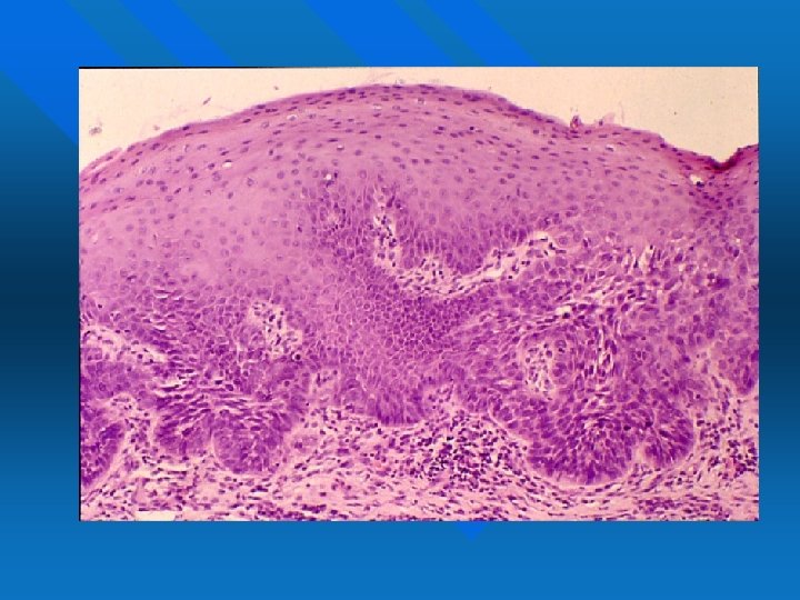
CARATTERISTICHE DELLA DISPLASIA I n LOW GRADE vs HIGH GRADE dipendente da criteri architetturali e citologici
CARATTERISTICHE DELLA DISPLASIA II n ARCHITETTURALI affollamento e distorsione ghiandolare, stratificazione nucleare, deplezione mucipara n CITOLOGICI variazione di forma e taglia dei nuclei, ipercromasia nucleare, aumento del numero e della visibilità dei nucleoli ed aumento del numero di mitosi
CARATTERISTICHE DELLA DISPLASIA III Quando si parla di displasia di alto grado, ci si riferisce perlopiù al carcinoma in situ, ossia ad una neoplasia maligna vera e propria, limitata alla tonaca mucosa, indipendentemente dallo stato linfonodale
VIE DI DIFFUSIONE n Linfonodale n Ematica n Per diffusione agli organi adiacenti
NEOPLASIE EPITELIALI
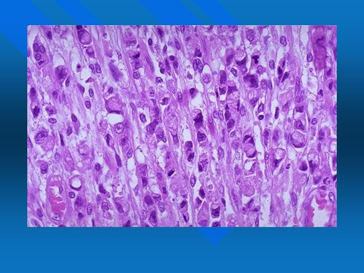
NEOPLASIE ESOFAGEE n n n Insorgono perlopiù su metaplasia intestinale (esofago di Barrett) I sottotipi più comuni sono il carcinoma squamocellulare e l’adenocarcinoma Meno comuni: carcinoma sarcomatoide (a cellule spindle), verrucoso, basaloide (palizzata periferica, dilatazione lume ghiandolare, presenza di lamina basale), adenosquamoso, neuroendocrino (cellule di piccola taglia, a scarso citoplasma eosinofilo)
NEOPLASIE GASTRICHE Principalmente correlato alla presenza di Helicobacter pylori; n Tipo intestinale o gastrico (classificazione di Lauren) n Tipo espansivo/esofitico o infiltrativo (classificazione di Ming) n Early ed advanced gastric cancer n
Classificazione di Bormann I gruppo – carcinomi polipoidi, solitari e circoscritti e senza ulcerazioni n II gruppo – carcinomi ulcerati con margini rilevati e confini netti con la mucosa sana circostante n III gruppo – carcinomi parzialmente ulcerati con margini sollevati e parziale crescita infiltrante n IV gruppo – carcinomi diffusi n
Classificazione di Bormann
Classificazione WHO 2000 Adenocarcinoma (intestinale o diffuso) a. papillare a. tubulare a. mucinoso a. a cellule con castone ca. adenosquamoso ca squamocellulare ca. a piccole cellule ca. indifferenziato
Tumori dello stomaco CANCRO GASTRICO Linite plastica
NEOPLASIE DEL GROSSO INTESTINO n Adenocarcinoma: bene, moderatamente o scarsamente differenziato -sottotipo mucinoso (>50% dell’area totale di neoplasia): scarsamente differenziato, a prognosi peggiore
Classificazione di Dukes n STADIO A: confinato alla sottomucosa o alla muscolare propria n STADIO B: fino alla sierosa o agli organi adiacenti n STADIO C: metastasi linfonodali
NEOPLASIE NON EPITELIALI
LEIOMIOMI Possono insorgere in qualsiasi tratto dell’apparato GE, presentando le stesse caratteristiche morfologiche delle controparti in altri distretti del corpo n Caratterizzati da fasci intrecciati di cellule muscolari lisce commiste ad una quota variabile di collagene n Le cellule muscolari hanno nucleo allungato e citoplasma eosinofilo n
LEIOMIOSARCOMI Rispetto al corrispettivo benigno, il leiomiosarcoma è di dimensioni maggiori e mostra figure chiaramente anaplastiche n Marcato pleomorfismo nucleare, cellule giganti e figure mitotiche talora mostruose n Necrosi intratumorale, foci emorragiche, alto indice mitotico n
TUMORI STROMALI GASTROINTESTINALI ( GIST ) n Derivanti dalle cellule di Cajal, ossia le cellule pacemaker del tratto GE n Mutazione del c-kit nell’ 80 -90% dei casi (CD 117+) n Differenziazione verso cellule muscolari lisce, neuronali, misto o indifferenziato n CHEMIORESISTENTI n IMATINIB inibitore selettivo c-kit
TUMORI STROMALI GASTROINTESTINALI ( GIST )
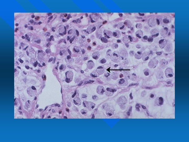
NEOPLASIE LINFOPROLIFERATIVE Stomaco frequente localizzazione secondaria di Linfomi non Hodgkin linfonodali Più raramente Linfomi Primitivi Non Hodgkin di tipo B Patogenesi: sempre associato ad infezioni HP Classificazione: Basso grado di malignità Alto grado di malignità
LINFOMA GASTRICO TIPO MALT
NEOPLASIE DEL PICCOLO INTESTINO Sono prevalentemente carcinoidi (tumori neuroendocrini ben differenziati) n A crescita sottomucosa n Pattern di crescita insulare, circoscritta n Cellule piccole, monomorfe, con nucleo tondo e citoplasma finemente granulare n