Spinal cord protection in surgery of descending thoracic






















- Slides: 22
Spinal cord protection in surgery of descending thoracic aorta Present by R 1康庭瑞
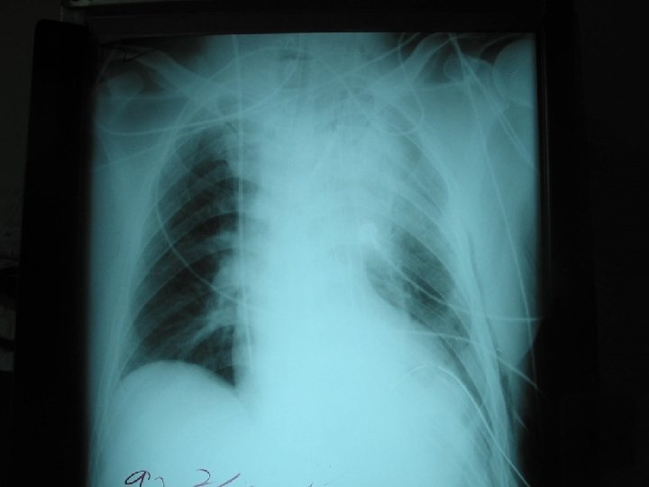
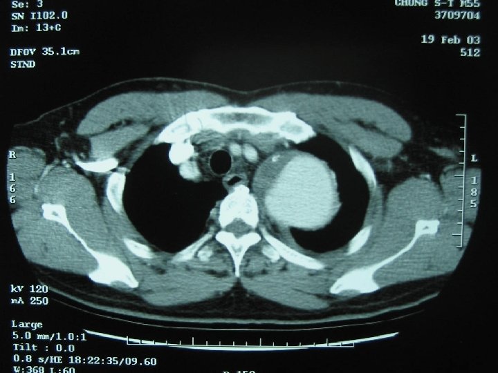
Case w 55 y/o male, HTN for 20+ years with regular medical control for 5 years w Chronic dissecting aortic aneurysm type III noted for 5 years w Left chest pain for 1 week w Denied other systemic diseases w Laboratory data: within normal range
Case w Normal screening spirometry w 2 -D echocardiography: dilated aortic root(diameter 63 mm) & LA, mild MR, good LV contractility w Planning: 1. Left post-lat thoracotomy 2. Femoralfemoral CPB 3. Hypothermia with circulation arrest and retrograde cerebral perfusion via high CVP 18~20 mm. Hg by femoral artery perfusion and partial clamp of venous drain tube 4. Restore proximal aorta perfusion after proximal anastomosis through graft cannulation 5. Open distal anastomosis
Case w Cooling to 16℃ w Partial bypass: 3 hr 25 min w Total bypass: 2 hr 30 min w Aortic cross clamp: ? min w Circulatory arrest: 20 min w Double lumen single-lumen ET tube ICU weaning and extubation on post-op day 3 without major complications
Consequences of aortic crossclamping w Spinal cord ischemia w Vascular anatomy: single ant. spinal a. from vertebral a. supply ant. 2/3 of spinal cord; pair of post. spinal a. from post. cerebellar a. supply remainder of spinal cord w Spinal cord perfusion from: vertebral, deep cervical, intercostal, and lumbar a. radicular a. w The largest radicular a. (artery of Adamkiewicz): origin from T 9~12 intercostal a. supply the majority of blood to the lower 2/3 of the spinal cord
Spinal cord ischemia w Paraplegia and paraparesis: major cause of morbidity and mortality after extensive TAAA repair w Incidence: 2~40%, depending on the site and the degree of aortic lesion, with/without dissection (2 fold), cross-clamp duration (less than 30 min), ligation of the artery of Adamkiewicz, elevation in CSF pressure, reperfusion injury, perioperative hyperglycemia
Spinal cord perfusion pressure w CSF pressure increases during aortic clamping “spinal cord compartment syndrome” w Reduction of CSF pressure improves SCPP w Lumbar drains w Combined with distal aortic perfusion
Result w CSF pressure was maintained at 10 mm. Hg or less w 148 nonemergent patients who received simple crossclamping w 105 with combined adjuncts, 43 with or without the addition of a single adjunct w 0. 9% vs 7% (p<0. 04)
Result w 2. 6% vs 13. 0% w Reduced immediate deficits, particularly paraplegia w Infrequent delayed neurologic deficits in both groups w The longer the ischemic time were, the greater the benefit afforded with CSFD
Conclusions w Significantly reduced the rate of neurologic deficit during nonemergent repair of descending thoracic aortic aneurysms w The recently reports had convinced most surgeons of the benefit of CSF drainage in descending thoracic aortic aneurysm
Other adjuncts w Selective cooling spinal cord via lavage of the epidural space: regional hypothemic (26 ℃) protection of at-risk thoracolumbar cord w Corticosteroid, thiopental, NMDA antagonist, papaverine
Complications of lumbar drainage after TAAA repair w Postoperative lower extremity neurologic deficit: result of thromboembolic or delayed ischemic complication or resulting from lumbar drainage w Intradural hematoma: 3. 2% in this study w CT, MRI
Hypothermic cardiopulmonary bypass and circulatory arrest w Methylprednisone and thiopental are given during the period of cooling to 15℃ w Circulatory arrest intervals: mean, 38 min w Postoperative neurologic injury: 2. 7% w Conclusion: hypothermic circulatory arrest offers certain advantages over other techniques and using of other adjunctive measures is not necessary
References w Hypothermic cardiopulmonary bypass and circulatory arrest for operations on the descending thoracic and thoracoabdominal aorta. Annals of thoracic surgery. 74(5): S 18857, 2002 Nov. w Cerebrospinal fluid drainage reduces paraplegia after thoracoabdominal aortic aneurysm repair: results of a randomized clinical trial. Journal of vascular surgery. 35(4): 631 -9, 2002 Apr. w Thoracoabdominal aneurysm repair: results with 337 operations performed over a 15 -year interval. Annals of surgery. 236(4): 471 -9, 2002 Oct. w Complications of lumbar drainage after thoracoabdominal aortic aneurysm repair. Journal of vascular surgery. 34(4): 623 -7, 2001 Oct.
Thanks for your attention!