Sistema cardiovascular Professor Vernica Pantoja Lic MSP Sistema































- Slides: 31
Sistema cardiovascular Professor: Verónica Pantoja. Lic. MSP.
Sistema Circulatorio • El sistema circulatorio está formado por dos componentes separados pero relacionados: – Sistema Cardiovascular: Transporta sangre en ambas direcciones entre el corazón y los tejidos – Sistema Vascular Linfático: su función consiste en reunir linfa, el exceso de líquido extracelular y llevarla de nuevo al sistema cardiovascular, en un solo sentido.
Sistema cardiovascular • El sistema cardiovascular se compone de dos circuitos: el pulmonar ( o menor, que lleva la sangre a los pulmones) y el sistémico (o mayor que lleva la sangre a todos los órganos y tejidos)
Estructura General de los vasos sanguíneos
Estructura General de los vasos sanguíneos • Por lo general las arterias tienen paredes mas gruesas y son de diámetro mas pequeño que sus equivalentes venosos. • Las paredes de los vasos sanguíneos están compuestas por tres capas: túnica intima, túnica media y túnica adventicia
• TÚNICA ÍNTIMA – Compuesta por epitelio escamoso simple y tejido conectivo subendotelial. Debajo de esta se encuentra una lámina elástica interna (en vasos musculares desarrollados)
• TÚNICA MEDIA – Por lo general es la capa mas gruesa de la pared del vaso. Compuesta de capas de músculo liso dispuestas de manera helicoidal. Las arterias musculares grandes tienen una lámina elástica externa. En los capilares y vénulas postcapilares se reemplaza por pericitos
• TUNICA ADVENTICIA – Es la capa mas externa de la pared del vaso, se funde con el tejido conectivo circundante. Aquí encontramos la vasorum. ***Vasa Vasorum – Sistema de irrigación que proporciona sangre de manera profunda a venas y arterias de grueso calibre, siendo más frecuentes en las primeras.
Arterias • Son vasos sanguíneos que transportan la sangre desde el corazón. • Son de tres tipos: – Elásticas – Muscular – Arteriola • *metarteriola
Arteria Elástica Esquema de arteria muscular Arteriola
Capilares • Están compuestos por una capa de células endoteliales y son los vasos sanguíneos más pequeños.
Clasificación de los capilares • Continuos – No tienen poros , ni fenestras en sus paredes. – Se encuentran en tejido muscular, nervioso y conectivo.
• Fenestrados – Poseen poros (fenestras) en sus paredes que están recubiertos por diafragmas en poros
• Sinusoidales – Pueden tener células endoteliales y lamina basal discontinuas e incluyen muchas fenestras grandes sin diafragmas, que aumentan el intercambio entre la sangre y el tejido
Venas • Son vasos que regresan sangre al corazón. • Se clasifican en tres grupos con base en su diámetro y el grosor de la pared: pequeñas, medianas y grandes
Vénulas y venas pequeñas • Son similares a los capilares pero más grandes que ellos; las vénulas más grandes poseen células de músculo liso en lugar de pericitos
Venas medianas • Miden menos de 1 cm de diámetro. • Drenan la mayor parte del cuerpo, incluso casi todas las regiones de las extremidades. • Muchas de ellas tienen válvulas venosas, que funcionan para evitar el flujo retrógrado de la sangre.
Venas grandes • Regresan la sangre venosa de las extremidades, la cabeza, el hígado y la pared del cuerpo directamente al corazón. • Venas cavas, pulmonares, renales, acigos, yugulares internas e ilíacas.
Diferencias anatómicas y funcionales Arterias Venas 1. - Son vasos eferentes (se alejan) 1. - Son vasos aferentes (regresan) 2. - Van de grueso a delgado 2. - Van de delgado a grueso 3. - Tienen alta concentración de O 2 y baja de CO 2 (excepto la arteria pulmonar) 3. -Alta concentración de CO 2 y baja de O 2 (excepto las venas pulmonares) 4. -Tienen Presión (mm. Hg) 4. -Tienen presión mínima (mm. H 2 O) 5. - No tienen válvulas 5. -Tienen válvulas 6. - Tienen nombre propio 6. -Generalmente reciben el nombre de la arteria correspondiente 7. -La red es profunda y superficial 8. - La red e única (sale 1 arteria) 8. - La red es doble (regresan 2 o mas venas) 9. - La red de distribución es única 9. -El retorno venoso es ayudado por el sistema linfático
Diferencias microscópicas entre arteria y vena Arteria 1. - Luz redonda Vena 1. -Luz colapsada o alargada 2. - Capa muscular gruesa 2. -Capa muscular delgada 3. -Tienen elástica externa 3. - No tienen elástica externa
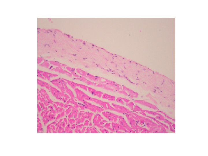
HISTOLOGIA DEL CORAZÓN El corazón es un órgano compuesto de adentro hacia afuera por las siguientes capas histológicas: Endocardio: epitelio simple plano y fibras colágenas. Miocardio: muscular. Epicardio: composición similar a la del endocardio.
Endocardio • Se continua con la túnica intima de los vasos sanguíneos que llegan y salen del corazón. Se compone de un endotelio, que es un epitelio escamoso simple y una capa subyacente de tejido conectivo fibroelastico con fibroblastos dispersos.
• Más abajo yace una capa de tejido conectivo denso que contiene abundantes fibras elásticas entremezcladas con células de musculo liso. En lo profundo, al endocardio se encuentra una capa subendocardica de tejido conectivo laxo que contiene vasos sanguíneos pequeños, nervios y fibras de Purkinje del sistema de conducción del corazón.
MIOCARDIO • La capa media y más gruesa de las tres capas del corazón • Contiene células de músculo cardiaco dispuestas en espirales alrededor de los orificios de las cámaras. • Algunas células de músculo cardiaco fijan el miocardio al esqueleto cardiaco fibroso. Otras están especializadas en secreciones endocrinas y unas más acondicionadas para generar impulsos o conducirlos.
EPICARDIO • La capa mas externa de la pared del corazón, también se denomina capa visceral del pericardio (compuesta por un epitelio escamosos simple conocido como mesotelio).
• La capa subepicárdica de tejido conectivo laxo contiene vasos coronarios, nervios y ganglios. En las raíces de los vasos que penetran y salen del corazón el pericardio visceral se continúa con la capa serosa del pericardio parietal (en raíces de vasos). • Estas dos capas del pericardio encierran la cavidad pericárdica (espacio con cantidad pequeña de líquido seroso para lubricar la capa serosa del pericardio y pericardio visceral).
Definición. - Es un órgano muscular, una bomba aspirante e impelente, que aspira desde las aurículas o entradas de la sangre que circula por las venas, y la impulsa desde los ventrículos hacia las arterias. Entre estos dos se encuentra una válvula que hace que la dirección de la circulación sea la adecuada. Forma. - El corazón tiene forma de pirámide triangular. Tamaño. - El corazón humano tiene el tamaño aproximado de un puño, el corazón pesa entre 7 y 15 onzas (200 a 425 gramos). Color. - es en parte de color rosado y rojo. Corazón Sitio. - El corazón está situado en la parte central del tórax (mediastino), entre los dos pulmones, apoyándose sobre el músculo diafragma. Capas del corazón Endocardio. - Se compone de un endotelio, que es un epitelio escamoso simple y una capa subyacente de tejido conectivo fibroelastico con fibroblastos dispersos. Miocardio. - La capa media y más gruesa de las tres capas del corazón Contiene células de músculo cardiaco dispuestas en espirales alrededor de los orificios de las cámaras. Epicardio. - La capa mas externa de la pared del corazón, también se denomina capa visceral del pericardio (compuesta por un epitelio escamosos simple conocido como mesotelio). Esqueleto cardiaco. - compuesto de tejido conectivo denso, que incluye los anillos fibrosos, trígono fibroso y el tabique membranoso.