Mendelian Genetics Chapter 10 Sexual Reproduction and Genetics


























































- Slides: 58
Mendelian Genetics
Chapter 10 Sexual Reproduction and Genetics 10. 2 Mendelian Genetics How Genetics Began § Inheritance, or heredity passing traits to the next generation § Mendel performed cross-pollination in pea plants. § Mendel followed various traits in the pea plants he bred.
Chapter 10 Sexual Reproduction and Genetics 10. 2 Mendelian Genetics § The parent generation is also known as the P generation.
Chapter 10 Sexual Reproduction and Genetics 10. 2 Mendelian Genetics § The offspring of this P cross are called the first filial (F 1) generation. § The second filial (F 2) generation is the offspring from the F 1 cross.
Chapter 10 Sexual Reproduction and Genetics 10. 2 Mendelian Genetics § Mendel studied seven different traits. § Seed or pea color § Flower color § Seed pod color § Seed shape or texture § Seed pod shape § Stem length § Flower position
Chapter 10 Sexual Reproduction and Genetics 10. 2 Mendelian Genetics Genes in Pairs § Allele § An alternative form of a trait § Ex. Eye color
Chapter 10 Sexual Reproduction and Genetics 10. 2 Mendelian Genetics Dominance § Homozygous 2 of the same alleles for a particular trait, also called pure bred. § Heterozygous 2 different alleles for a particular trait, also called hybrids. Bb bb BB
Chapter 10 Sexual Reproduction and Genetics 10. 2 Mendelian Genetics Genotype and Phenotype § Genotype allele pairs (GENES) § TT, Tt, BB, bb, Mm § Phenotype The observable characteristic or outward expression of an allele pair (WHAT YOU SEE) Bb
Dominant vs. Recessive Dominant Recessive • The phenotype of the • The other allele, has organism is no big effect on the determined completely organism's phenotype by one of the alleles • Written with lowercase • Written with at least 1 letters (bb) capital letter (TT or Tt) Example: Brown eyes is dominant and blue eyes is recessive
Mendel’s Conclusions cont’d… Ex. Tall plant (T) x short plant (t) = tall offspring (Tt) What allele was dominant?
Chapter 10 Sexual Reproduction and Genetics 10. 2 Mendelian Genetics Mendel’s Law of Segregation § Two alleles for each trait separate during meiosis. § During fertilization, two alleles for that trait unite.
Chapter 10 Sexual Reproduction and Genetics 10. 2 Mendelian Genetics Monohybrid Cross § A cross that involves hybrids for a single trait is called a monohybrid cross.
Chapter 10 Sexual Reproduction and Genetics 10. 2 Mendelian Genetics Dihybrid Cross § The simultaneous inheritance of two or more traits in the same plant is a dihybrid cross. § Dihybrids are heterozygous for both traits.
Chapter 10 Sexual Reproduction and Genetics 10. 2 Mendelian Genetics Law of Independent Assortment § Random distribution of alleles occurs during gamete formation § Genes on separate chromosomes sort independently during meiosis. § Each allele combination is equally likely to occur. Law of Segregation § The two alleles for each trait separate during meiosis (ex: If a parent is Tt, then either T or t can be given to the offspring)
Chapter 10 Sexual Reproduction and Genetics 10. 2 Mendelian Genetics Punnett Squares § Predict the possible offspring of a cross between two known genotypes
Monohybrid Crosses Do this on your paper: Tt X Tt Cross: Give the genotypes, phenotypes, & percentages Go to Section:
Monohybrid Cross Answer… Go to Section:
• Probability the chance or percentage of chance of a trait being exhibited
Chapter 10 Sexual Reproduction and Genetics 10. 2 Mendelian Genetics Punnett Square— Dihybrid Cross § Four types of alleles from the male gametes and four types of alleles from the female gametes can be produced. § The resulting phenotypic ratio is 9: 3: 3: 1.
Chapter 10 Sexual Reproduction and Genetics 10. 3 Gene Linkage and Polyploidy Genetic Recombination § The new combination of genes produced by crossing over and independent assortment
Chapter 10 Sexual Reproduction and Genetics 10. 3 Gene Linkage and Polyploidy Gene Linkage § The linkage of genes on a chromosome results in an exception to Mendel’s law of independent assortment because linked genes usually do not segregate independently.
Chapter 11 Complex Inheritance and Human Heredity 11. 2 Complex Patterns of Inheritance Incomplete Dominance § The heterozygous phenotype is an intermediate phenotype between the two homozygous phenotypes.
Chapter 11 Complex Inheritance and Human Heredity 11. 2 Complex Patterns of Inheritance Codominance § Both alleles are expressed in the heterozygous condition.
Chapter 11 Complex Inheritance and Human Heredity 11. 2 Complex Patterns of Inheritance Coat Color of Rabbits § Multiple alleles can demonstrate a hierarchy of dominance. § In rabbits, four alleles code for coat color: C, cch, and c.
Chapter 11 Complex Inheritance and Human Heredity 11. 2 Complex Patterns of Inheritance Coat Color of Rabbits Chinchilla Albino Light gray Dark gray Himalayan
Chapter 11 Complex Inheritance and Human Heredity 11. 2 Complex Patterns of Inheritance Multiple Alleles § Blood groups in humans § ABO blood groups have three forms of alleles.
Human Blood Typing • Human blood is classified according to the presence or absence of certain markers called antigens that are located on the surface of red blood cells. • If you have the A antigen, you have type A blood antibodies against B blood. • If you have the B antigen, you have type B blood antibodies against A blood.
What about O & AB? • If you don’t have either the A or B antigen, you have type O blood. • In the US, O is the most common blood type. • You have antibodies against A and B. • You are also a universal donor. (You can give blood to anyone) • If you have both the A and B antigens, you have type AB blood and this is the rarest form of blood. No antibodies against either A or B.
Describe sex-linked alleles • Sex-linked alleles: controlled by genes located on sex chromosomes • Usually carried on X chromosome • Since females are XX, they are usually carriers of the trait • Since males are XY, they have a higher tendency for inheritance of trait
Recipient’s blood type AA+ BB+ ABAB+ OO+ Compatible donor’s blood type A-, OA-, A+, O-, O+ B-, OB-, B+, O-, O+ A-, B-, AB-, OA-, A+, B-, B+, AB -, AB+, O-, O+ OO-, O+
Chapter 10 Sexual Reproduction and Genetics 10. 3 Gene Linkage and Polyploidy § Polyploidy is the occurrence of one or more extra sets of all chromosomes in an organism. § A triploid organism, for instance, would be designated 3 n, which means that it has three complete sets of chromosomes.
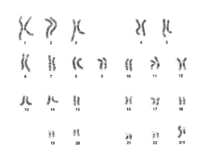
Chapter 11 Complex Inheritance and Human Heredity 11. 3 Chromosomes and Human Heredity Karyotype Studies § Karyotype—micrograph in which the pairs of homologous chromosomes are arranged in decreasing size. § Images of chromosomes stained during metaphase § Chromosomes are arranged in decreasing size to produce a micrograph.
Chapter 10 Sexual Reproduction and Genetics 10. 3 Gene Linkage and Polyploidy § Epistasis- is a gene at one location on a chromosome can affect the expression of a gene at a second location A good example of epistasis is the genetic interactions that produce coat color in horses and other mammals. In horses, brown coat color (B) is dominant over tan (b). Gene expression is dependent on a second gene that controls the deposition of pigment in hair.
Genetics Disorders
Recessive
Cystic Fibrosis § Affects the mucusproducing glands, digestive enzymes, and sweat glands
Albinism §Caused by altered genes, resulting in the absence of the skin pigment melanin in hair and eyes §White Hair §Very pale skin §Pink Pupils
Tay-Sachs • Causes inflating of brain nerve cells and mental deterioration. • Most common in Jewish descent people
Dominant
Huntington’s Disease • Decline in nervous system functions & causes mental retardation • Ability to move deteriorates
Achondroplasia • small body size and limbs that are comparatively short
Sex-Linked (On X Chromosome)
Describe sex-linked alleles • Sex-linked alleles: controlled by genes located on sex chromosomes • Usually carried on X chromosome • Since females are XX, they are usually carriers of the trait • Since males are XY, they have a higher tendency for inheritance of trait
Hemophilia
Red-Green Color-Blindness
Co-Dominant
Sickle Cell Anemia Changes in hemoglobin cause red blood cells to change to a sickle shape.
Non-Disjunction
Klinefelter Syndrome • • • Male Extra X-chromosome Genotype: XXY Sterile Often mentally retarded • Small testes, enlarged breasts, and reduced sperm production
Turner Syndrome • Only one sex chromosome (an X). • X__ • Female • Short • Fails to develop ovaries so become infertile
Down Syndrome
Chapter 11 Complex Inheritance and Human Heredity 11. 1 Basic Patterns of Human Inheritance Pedigrees § A diagram that traces the inheritance of a particular trait through several generations
Interpret pedigrees • Pedigrees: graphic representation of family tree • Symbols identify sex, if they are carriers, if they have a certain trait, etc. • Follows one trait • May be used if testcross cannot be made
Pedigree Symbols
Hemophilia Pedigree
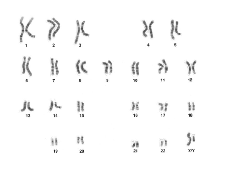
Chapter 11 Complex Inheritance and Human Heredity 11. 3 Chromosomes and Human Heredity Karyotype Studies § Karyotype—micrograph in which the pairs of homologous chromosomes are arranged in decreasing size. § Images of chromosomes stained during metaphase § Chromosomes are arranged in decreasing size to produce a micrograph.