ADNEKSALNE MASE U PERIMENOPAUZI I POSTMENOPAUZI Ingrid Marton

































- Slides: 33
ADNEKSALNE MASE U PERIMENOPAUZI I POSTMENOPAUZI Ingrid Marton, dr. med. KB “Sv. Duh”
Adneksalne mase u perimenopausi: • • BENIGNE: funkcionalne, luteinske cy. žutog tijela endometriom dermoidi ektopična trudnoća PID fibromi • MALIGNE: • “borderline” tm. • karcinomi
Corpus luteum Folikularna cista i pericistični protok
Dermoid
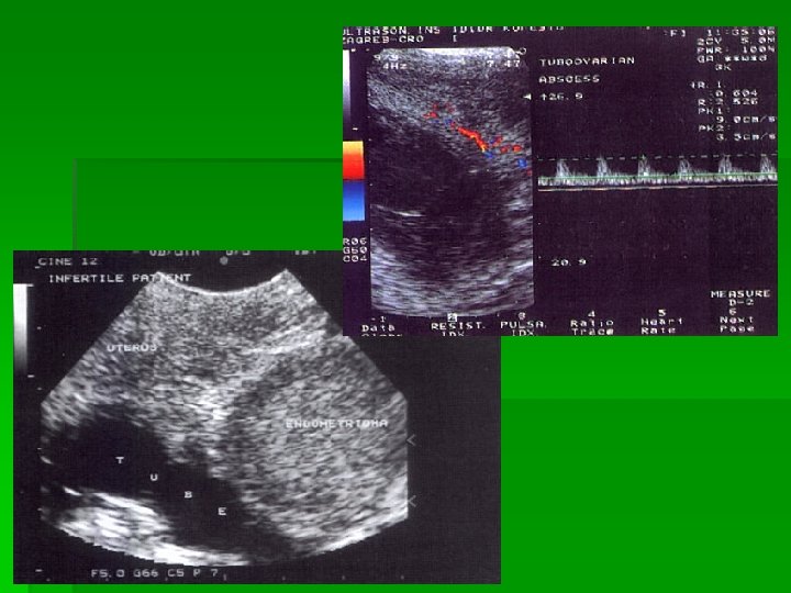
Endometriom
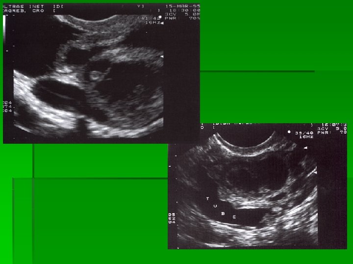
Ektopična trudnoća
PID
Fibromi jajnika
Adneksalne mase u perimenopausi:
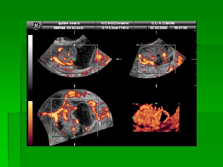
Adneksalne mase u perimenopausi: • • Dijagnostika: UZV: 2 D, CD, PD, 3 DPD 3 D-PDA (vascular sampling) – Alcazar JL MSCT MR PET-CT
Adneksalne mase u perimenopausi: • MALIGNE: • • • “borderline” tumori jajnika karcinomi jajnika anamneza: obiteljska, onkološka, reprodukcijska-stimul. ov. +IVF postupci!
Adneksalne mase u perimenopausi: • Sympthomatic indeks (Goff BA) • Tumorski markeri ili biomarkeri (CA 125+HE 4, CEA, VCAM, …) • HE 4 (human epididymal protein 4) • HE 4 je specifičniji u diferencijaciji benignih od malignih promjena u premenopauzalnih pacijentica od CA-125 (Holcomb K, Vucetic Z, Miller MC, Knapp RC. Am J Obstet Gynecol 2011) • Proteomika- budućnost
Adneksalne mase u perimenopausi, ZAKLJUČCI: • Od funkcionalnih promjena do maligne bolesti • Ne podcijeniti mogućnost nastanka ektopične trudnoće, PID-a, niti karcinoma jajnika • UZV: subjektivna metoda, kvaliteta nalaza ovisi o pretraživaču, sva viđena morfologija se često ne opisuje, kvaliteta stroja • 2 D morfološki kriteriji, shuntovi!!! • Komplementarnost s drugim “imaging” metodama, koje ne zamjenjuju UZV • KOMPLEKSNA ADNEKSALNA MASA- suspektna, dif. dg. : PID, borderline, karcinom! • Slobodna tekućina nije uvijek znak funkcionalne aktivnosti jajnika
Adneksalne mase u postmenopausi: Probir OVARIJSKOG KARCINOMA! Vodeći uzrok smrti od ginekoloških malignoma Svega ~20% se dijagnosticira u kl. St. I i II Tko ima rizik za nastanak bolesti i kako identificirati osobe pod rizikom? v Procjena vjerojatnosti oboljevanja v Obiteljski karcinom- 10% v Ian Jacobs, Usha Menon- UKCTOCS trial v v v Studija prevalencije bolesti na 202 638 postmenopauzalnih žena (50 -74 g. ): godišnji CA-125, ako je povišen TVS (MMS) versus TVS: specifičnost veća u MMS grupi Lancet Oncol 2009
PROBIR OVARIJSKOG KARCINOMA v Menon U, Jacobs I: prva prospektivna studija na postmenoauzalnim ženama (6 682): dob, CA-125, TVS v UKFOCSS- UK familial ovarian cancer screening study v RIM-Risk of Malignancy indeks (menopauzalni status, CA-125, UZV) v ROMA-Risk of Ovarian malignancy Algorithm (menopauzalni status, CA-125+HE 4) Moore RG. Gynecol Oncol 2009 v Sympthomatic indeks (Goff BA) v Biomarkeri (CA-125+HE 4, CEA, VCAM, …) v Proteomika- budućnost v UZV
PROBIR OVARIJSKOG KARCINOMA v Rana detekcija ca. ovarija zahtijeva visoku senzitivnost (>75%) i specifičnost (>99, 6%) v Skrining prevalencije- detektira postojeću bolest v Skrining incidencije-detektira bolest koja će se razviti v CA-125 v HE 4 (human epididymal protein 4) v UZV
PROBIR OVARIJSKOG KARCINOMA v. UZV: v 2 D, CD, PD, 3 DPD, 3 DPDA v 3 D-PDA- vascular sampling (Alcazar JL)
Morfološki 2 D UZV kriteriji PARAMETRI Septa Bez / tanka < 3 mm Debela >3 mm Solidni djelovi Odsutni Prisutni
Morfološki 2 D UZV kriteriji PARAMETRI Struktura stijenke Glatka / nepravilna 3 mm Papile Zasjenjenja Prisutna Odsutna
Morfološki 2 D UZV kriteriji PARAMETRI Ehogenost Slobodna tekućina Anehogeno / Hipoehogeno Miješana Odsutna Prisutna
CD: kriteriji PARAMETRI Tumorski protok krvi Brzine protoka
UZV v BENIGNI tumori jajnika: v Pravilan raspored krvnih žila v Krvne žile jednakog promjera v Stijenke krvnih žila imaju mišićne niti RI 0, 42? ! v MALIGNI tumori jajnika: v Nepravilan raspored krvnih žila v Krvne žile raznolikog promjera v Prikaz tumorskih jezeraca i AV shuntova
UZV v TVS kao metoda probira, osjetljivost: 48 -94% v Nalaz koji sugerira malignost: solidnocistična tvorba, zadebljana septa, papilarne tvorbe, ascites v Različiti bodovni sustavi, “scorinzi“ v Angiogeneza i neovaskularizacija v Kaotična granjanja, shuntovi v NISKI RI i PI v Visoke brzine v Bodovni sustav: morfologija+obojeni i pulzirajući dopler
Program probira v Ciljne skupine: v. Algoritam pregleda: v Asimptomatske žene >50 v 2 D TVS ocjena v Asimptomatske žene volumena i >25 s pozitivnom morfologije obiteljskom anamnezom karcinoma jajnika i/ili v 2 D TVS CD ocjena dojke prožiljenosti
Program probira v Mogući ishodi: v 2 D uredan nalaz: ponoviti za 1. godinu v 2 D susp. nalaz: ponoviti 2 D i CD kod jednostavne ciste za 4 -6 tj. , a kod kompleksne za 2 tjedna ? ! v Ukoliko su ponovljeni nalazi uredni, ponoviti za godinu dana v Perzistencija abnormalnog nalaza: učiniti 3 D, 3 DPD s kontrastom i CA-125
ZAKLJUČAK
ZAKLJUČAK
ZAKLJUČAK v UZV: v v v v subjektivna metoda, kvaliteta nalaza ovisi o pretraživaču, sva viđena morfologija se često ne opisuje, kvaliteta stroja Komplementarnost s drugim “imaging” metodama, koje ne zamjenjuju UZV KOMPLEKSNA ADNEKSALNA MASA- suspektna! BORDERLINE! HIDROSALPINX i SLOBODNA TEKUĆINA u POSTMENOPAUZI-suspektno! NE otkriva karcinomatozu peritoneuma NEPODESAN za dg. anaplastičnog karcinoma 2 D morfološki kriteriji !!! Shuntovi
ZAKLJUČAK v. UZV v. CA-125 v. Triaža v. HE 4