Septic Implantation Syndrome Analysis of 29 canine and















- Slides: 15
Septic Implantation Syndrome Analysis of 29 canine and 11 feline cases Dick Dubielzig and Chris Pirie Comparative Ocular Pathology Laboratory University of Madison-Wisconsin
Canine Cases • 29 cases of 9, 300 ocular submissions • 10 documented cases of cat scratch • Typical ophthalmic findings included – chronic, poorly responsive anterior uveitis – cataract formation – +/- anterior or posterior synechiae, corneal scar, and/or glaucoma
Canine Cases • Signalment – Breed • No predilection, however, small breeds and young (<1 year) large breed dogs over represented – Gender • 3 F, 10 FS, 3 M, 12 MC, 1 unknown – Age • Mean 7. 4 years (range 3. 5 months to 15 years)
Canine Cases • Globe involvement – 15 OD vs 14 OS • History – 10 cat scratch vs 19 unknown or suspected • Duration (2 unknown) Known Cat Unknown Total 3 1 4 1 week- 1 month 1 11 12 1 -4 months 5 3 8 >4 months 1 2 3 < 1 week
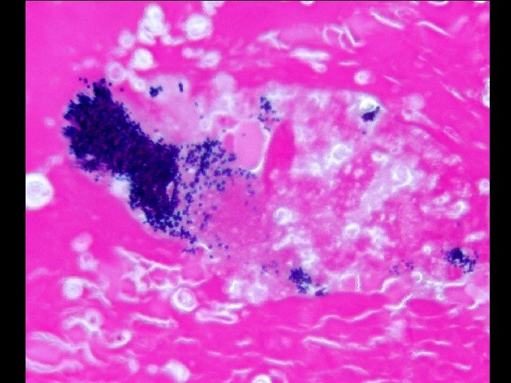
Canine Cases • Intra-lenticular bacteria – 7 negative of H+E and gram stain – 22 positive for bacteria • 19 gram positive cocci • 2 gram positive rods • 1 gram positive cocci and rods
Feline Cases • 11 cases out of 3, 400 ocular submissions • 2 documented, 9 unknown or suspected cases • Signalment – Breed • 8 DSH, 1 DMH, 1 DLH, 1 Persian – Gender • 5 FS, 1 M, 5 MC – Age • Mean 5. 3 years (range 1 year to 14 years)
Feline Cases • Duration (2 unknown) Known Cat Scratch Unknown Total < 1 week 0 0 0 1 week- 1 month 2 3 5 1 -4 months 0 4 4 • Intra-lenticular bacteria – – – 4 negative of H+E and gram stain 4 gram positive cocci 1 Candida 1 gram positive and negative bacilli 1 gram positive cocci, gram positive and negative bacilli
What about phacoclastic inflammaton? Phacoclastic uveitis is a term used to characterize the inflammation seen around a ruptured lens as is seen in these cases. The term carries with it the implication that the inflammation is caused by the release of lens proteins otherwise sequestered. I believe that in these dogs the inflammation is do to bacterial infection and not simply exposure of lens proteins.