SARKODOZ Dr Aye nal Enginar Yrd Do Dr





































































- Slides: 69
SARKOİDOZ Dr. Ayşe Ünal Enginar Yrd. Doç. Dr. Ali Sallı
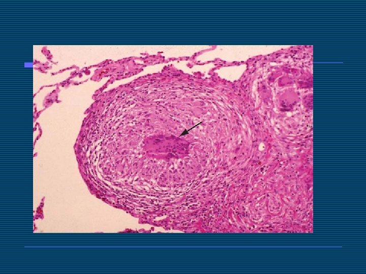
o Sarkoidoz, ilk olarak 1865 yılında Sir Jonathan Hutchinson tarafından tanımlanmıştır. o Sarkoidoz (Besnier-Boeck Schaumann Hastalığı) etyolojisi bilinmeyen, non kazeifiye granulomlarla karakterize, primer olarak akciğer ve lenfatik sistemi etkileyen sistemik bir hastalıktır.
Epidemiyoloji o 100. 000’de 10 -40 oranında görülür. o Kuzey Avrupa ( özellikle İskandinavya, İrlanda, Britanya), Kuzey Amerika, Japonya’da sık görülür. o Çin, Hindistan, Afrika ve Rusya’da insidansı düşüktür. o ABD’de siyah/beyaz oranı 4/1’dir.
o Sarkoidozlu hastaların birinci derece yakınlarında hastalık prevalansının daha yüksek olduğu gösterilmiştir. o Kadınlarda daha sık görülür. o Hastaların %70 -90’ı 20 -40 yaş grubundadır. o Ancak çocuklarda ve yaşlılarda da görülebilir.
Patogenez o o Etyolojisi bilinmiyor. Primer olarak CD 4 + yardımcı T hücreleri ve mononükleer fagosit kaynaklı hücreler aracılık eder. Hedef organların mononükleer hücre infiltrasyonu granülom Tutulan organlarda lenfositler ve CD 4/CD 8
Klinik Özellikler o Sarkoidoz tipik olarak birçok organı aynı anda tutar. o Hastaların çoğunda halsizlik, ateş, iştahsızlık, kilo kaybı vardır. o Hassas olmayan lenfadenopatiler tek bulgu olabilir.
o Siyah ırkta; n n n o göz karaciğer kemik iliği lenf nodu cilt tutulumu (eritema nodozum hariç) daha sıktır. Kadınlarda n n eritema nodozum, göz ya da sinir sistemi tutulumu daha sıktır.
o Yaşlı ve erkek hastalarda hiperkalsemi sıktır. o 4 yaşından küçük çocuklarda; n n n artrit döküntü üveit yaygındır. (juvenil romatoid artrit ile karışabilir)*
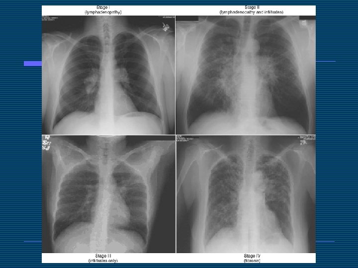
Solunum Sistemi o o Akciğer tutulumu %90’ın üzerindedir. Öncelikle parankim tutulur. Sıklıkla asemptomatiktir. Dispne, kuru öksürük, göğüs ağrısı olabilir.
o o Lenf nodu tutulumu, hava yolu lezyonları (larinks, trakea, bronş), %20 hastada astım benzeri duruma yol açabilir. Plevral tutulum nadirdir. Bilateral olarak eksudatif efüzyon olabilir.
Lenfatik Sistem o Lenf nodu tutulumu %90’dır. o Hiler ya da mediastinal tutulum tesadüfen direkt grafide görülür. Periferal ya da servikal lenfadenopatiler hassas değildir. o
Kas-İskelet Sistemi o o o Kas tutulumu %50 -80 Genellikle asemptomatiktir. Kronik progresif miyopati n En sık form n Ekstremite, gövde ve boyunda proksimal kas güçsüzlüğü vardır. n Sıklıkla kardiyak tutulumla birliktedir. n EMG sıklıkla normaldir.
o Nodüler form n Küçük nodüller veya yumuşak doku neoplazmları ile karışabilen belirgin bir yumuşak doku kitlesi olarak görülebilir. n MR’de aksiyel kesitlerde yıldız işareti, koronal ve sagittal kesitlerde üç çizgi işareti görülür.
o Granülamatöz miyozit n En nadir formu n Akut ve subakut başlangıçlı proksimal kas güçsüzlüğü, kas ağrısı veya hassasiyeti, kilo kaybı görülür. n Kadınlarda ve Afrikan Amerikalılarda sıktır. n Kreatin fosfokinaz ve sedimentasyon yüksektir. n EMG’de miyopatik form görülür.
o Kas tutulumunda tanıda altın standart kas bx. n n Kazeifiye olmayan granülomlar, kas lifi dejenerasyonu ve rejenerasyonu, perivasküler inflamasyonu, vasküliti gösterebilir.
Eklem Tutulumu o o o Artralji % 70 Artrit % 37 Genellikle büyük eklemleri (ayak bilekleri, dizler, el bilekleri, dirsekler) ve simetrik tutar. Elde tenosinovit nadirdir. Ekstansör > fleksör Beyaz erkeklerde hiler adenopati + artralji sık Kadınlarda eritema nodozum + artralji sık
Akut Sarkoid Artriti o o Daha çok ilkbaharda Öncesinde ÜSYE anamnezi Simetrik, gezici veya eklenici Oligoartiküler n o o Özellikle ayak bilekleri ve dizleri Deformite veya destrüksiyon yok. Sinovyal sıvıda n Steril lenfositoz, protein
Kronik Sarkoid Artriti o o o o Nadir. Lupus pernio ve kronik üveit ile birliktelik < 5 yaş poliartrit Erişkinlerde mono-oligoartrit Omuz, diz, el bileği, ayak bileği, el ve ayak küçük eklemleri tutulur. Destrüksiyon nadirdir. Jaccoud tipinde eklem deformiteleri gelişebilir.
Kemik Tutulumu o o o %5 En sık olarak eller ve ayaklar tutulur. Radyolojik olarak belirgin ossöz hastalık; n n sarkoidozun kronik progresif formunda pulmoner tutulumda Afrikan Amerikalılarda granülomatöz cilt lezyonu (lupus pernio) olanlarda
o o o Bilateral ve asemptomatik Lokalize ağrı, şişlik ve sertlik, topuk ağrısı Lezyonlar çoğunlukla n n n Litik (en sık) Kemik gövdesinde genişleme Patolojik kırıklar Kavitasyon Sklerotik
Metakarp, metatars, el ve ayak parmaklarının tutulumu tipiktir.
o o o Sklerotik lezyonlar nadirdir. Ancak olduğu zaman da aksiyal iskeleti sık tutar. Sakroileit nadir (%2 -6).
o o o Düz grafi daha duyarlı MR T 1 hipointens T 2 hiperintens Sintigrafi n n o Multipl kemik tutulumu Steroide bağlı osteonekroz Bx: Kİ ve kemik korteksinde non-kazeifiye granülomalar
o Sarkoid daktiliti, parmakta diffüz yumuşak doku şişliği ile karakterizedir ve terminal falanks tutulduğunda tırnakta şekil bozukluğu, distrofik değişiklikler olur. o Komşu eklemde ağrı, kısıtlılık olabilir.
o Olguların 2/3’ünde osteopeni ve osteoporoz oluşur. o Granülomlarla osteoklast aktivasyonu sorumludur. o Steroid alan hastalarda tedavi öncesi serum kalsitriol seviyesinin yüksek olması durumunda, hiperkalsemiye yol açacağından kalsitriolden kaçınılmalıdır.
Göz o o Göz tutulumu %25’tir. Üveit çok yaygındır. Ön ve arka üveit olabilir. Bulanık görme, fotofobi, körlüğe yol açabilir. Konjonktivit, iridosiklit, koryoretinit, dakriyosistit, kuru göz, optik nörit, glokom ve katarakt rapor edilmiştir. Göz tutulumu siyah Amerikalılarda ve Japonlarda sıktır. Multifocal koroidit
Yarıklı lamba muayenesi keratitik presipitatlar (akut anterior üveit)
Nörolojik Tutulum o o o Kraniyal nöropati n Özellikle 7. kranial sinir (%25 -50), 8. kranial sinir Optik ve periferal nöropati yaygındır. İntrakranyal kitle (% 10 -20) Ensefalopati / vaskülopati (% 5 -10) Nöbetler (% 5 -10) Hidrosefali (% 10)
o o o Multipl skleroz (MS) benzeri seyir (% 5) Ekstramedüller veya intra-medüller spinal kanal tutulumuna ait belirtiler Kauda equina sendromu (< % 5) Gullain-Barre sendromu (% 15) Miyopati / polimiyozit (% 15) Hipotalamik diabetes insipidus, polifaji, obezite, termoregulatör değişiklikler.
o T 1’de gadolinyum sonrası temporal lobda hiperintens sarkoid lezyon o T 2‘de biyopsi ile kanıtlanmış sarkoid lezyon ve çevresinde ödem
Gastrointestinal Sistem o o o Karaciğer tutulumu %40 -75’tir. Genellikle asemptomatiktir. Aktif hepatik inflamasyon, ateş, hepatomegali ve kaşıntı ile ilişkili olabilir. Karaciğer fonksiyon testleri yükselir. Klinik olarak anlamlı kolestaz ve siroz nadirdir.
o o o Dalak tutulumu %10’dur. Genellikle asemptomatiktir. Sol üst kadranda ağrı, trombositopeni olabilir. Karın ağrısına yol açabilen mezenterik lenfadenopati, gastrik granulomlar nadiren görülür.
Deri o Deri tutulumu %25’tir. o Eritema nodozum n Artritle ilişkili n İyi prognoz
o Lupus pernio n Akciğer fibrozu ile ilişkili * n Kötü prognoz *
o Nonspesifik lezyonlar (plak, makül, papül, hipopigmentasyon, hiperpigmentasyon) plaques (A) erthythematous patches (B)
Böbrek o o o Böbrek tutulumu %10’dur. Asemptomatik hiperkalsiüri çok yaygındır. İnterstisyel nefrit, nefrolitiazis, nefrokalsinozis nedeniyle kronik renal yetmezlik olabilir.
Kalp o o o Kalp tutulumu %5’tir. Aritmi, ileti blokları, kardiyomyopati, ani ölüm olabilir. Japonlarda sıktır ve kardiyomyopati sarkoidozla ilişkili ölümün sık nedenidir.
Hematolojik Tutulum o o o < %5 -30 Kemik iliğinin granulamatöz infiltrasyonu nedeniyle pansitopeni görülebilir. Hipergamaglobulinemi olguların % 25’inde görülebilir.
Vaskülit o o o Nadir, fakat ciddi bir formudur. Hemen her organda büyük veya küçük damarlar etkilenebilir. Sarkoidoz ve Takayasu arteriti, hipersensitivite vasküliti, poliarteritis nodoza, mikroskopik polianjitis ve Churg-Strauss sendromu gibi farklı vaskülitlerle birlikteliği bildirilmiştir.
o Oral tutulum < %5 n n o Asemptomatik parotis şişliği çok yaygındır. Kserostomi Nasal sinüs < %10 n n Akut ve kronik granulamatöz inflamasyonla karakterize allerjik ve enfeksiyöz sinüzit (lupus pernio ile ilişkili) Semer burun deformitesi
o o o Tükrük bezlerini ve lakrimal bezleri tutabilir. Panda işareti Galyum 67 sintigrafisinde simetrik Lakrimal, parotid, submandibular bezler simetrik tutulmuş.
o Endometrium, over, epididim ve testiküler tutulum nadirdir. o Fertilite üzerine etkisi yoktur. o Gebelikte o Doğum sonrası remisyon relaps
Sendromlar Heerfordt’s sendromu (Uveoparotid ateş) o o Fasiyal paralizi Ateş Üveit Bilateral parotis şişliği Löfgren sendromu o o Eritema nodozum Bilateral hiler LAP Ateş Akut poliartrit
Tanı o o Klinik Patoloji Diğer granülomatöz hastalıkların ayırıcı tanısı Kutanöz anerji n o Sensitivitesi veya spesifitesi yok. Kveim-Siltzbach cilt testi n n Sarkoidozisli dalak preparatları İntradermal
Biyopsi Alanları o o o o Transbronşial akciğer biyopsisi Tonsiller Konjonktiva Servikal lenf nodları Minör tükrük bezleri Nasal mukosa Deri
Laboratuvar o o o o RF (+) %10 -47, ANA (+) Ig. G Sedimentasyon Kalsiyum ve alkalen fosfataz, 24 saatlik idrar kalsiyumu Ürik asit Anjiotensin dönüştürücü enzim (ACE) n Tanısal değeri yok, tedaviye cevabı izlemede C-reaktif protein n Eklem ve kas tutulumunda %50 -80
Prognoz o o o Tanıdan sonra 2 yıl içinde; n Spontan remisyon > % 90 n Relaps < %10 % 30 kronik % 10 -20 kalıcı hasar
o İyi prognoz n Eritema nodozum n Akut hastalık n HLA-DR 3, DQ 2
Kötü prognostik faktörler o o o o Tanı konduğunda ileri yaşta olmak Hastalık süresinin 6 aydan uzun olması Splenomegali Lupus pernio Yaygın pulmoner tutulum Afrikan Amerikalılar Çok sayıda organ tutulumu
o o o % 1 -5 fatal Pulmoner fibrozis ile beraber solunum yetmezliği (dünyada yaygın ölüm nedeni) Japonya’da kardiyomiyopatiye bağlı kalp yetmezliği ve aritmiler
Ayırıcı Tanı o İnfeksiyöz ajanlar n o o o Neoplazmlar Hipersensitivite pnömonitisi Metaller n o o Tbc, bruselloz, sifiliz, histoplazmoz, toksoplazmoz Berilyum, zirkonyum, alüminyum granülomaları Silikozis Vaskülitler, otoimmün hastalıklar n Wegener, Churg-Strauss, SLE, JRA, primer bilier siroz
Değerlendirme ve izlem o Başlangıç n Anamnez n Sistemik muayene (akciğer, lenf nodları, kasiskelet, kalp, karaciğer, göz) n Tutulan organların biyopsisi n Göğüs radyografisi n Solunum fonksiyon testleri n EKG
Yarıklı lamba muayenesi n Karaciğer ve böbrek fonksiyon testleri n Serum kalsiyumu n 24 saatlik idrarda kalsiyum atılımı İzlem n Tutulan organları en az invaziv yöntemle izlenmesi n Hedef organların yeni tutulum açısından izlenmesi n o
Tedavi o o o Spontan remisyon sık. Asemptomatik veya hafif semptomlarda tedavi gereksiz. Tedavi endikasyonları; n n n Pulmoner fonksiyonlarda kötüleşme Akciğer grafisinde kavitasyon, fibrozis, pulmoner HT bulguları Kalp, sinir sistemi, göz, renal ya da hepatik yetmezlik, cilt ve eklem tutulumu
o Oral kortikosteroidler tedavide ilk basamak n Tüm tutulumlarda n Prednizon 20 -40 mg/gün (0, 3 -1 mg/kg/gün) n Tedaviye cevap varsa doz azaltılır. n En az 1 yıl tedavi
o Metotreksat n Akciğer, göz, cilt, eklem tutulumunda n 5 -15 mg/hafta n 6 ayda etki, kortikosteroidle beraber
o Klorokin n Akciğer, cilt, hiperkalsemi, hiperkalsiüri, steroide dirençli nörosarkoidoz n 500 mg/gün 1000 mg/gün o Hidroksiklorokin n 200 mg/gün 400 mg/gün n Göz toksisitesi daha az
o Leflunomid n (MTX’e alternatif) n Ekstrapulmoner hastalıkta o Siklosporin A Azatioprin Mikofenolat o o küçük serilerde
o o o Siklofosfamid n Steroide dirençli sarkoidoz n Nörosarkoidoz n Kardiyak tutulum Oral 1 -2 mg/kg/gün. Max. doz 150 mg/gün. IV 0, 75 -1, 5 g/ay
o Talidomid n Cilt tutulumunda (lupus pernio) o Pentoksifilin n Yüksek dozda akciğer tutulumunda
o İnfliksimab 3 -5 mg/kg 4 -8 haftada bir n n n n Pulmoner tutulum Renal sarkoidoz Eklem tutulumu Göz tutulumu Cilt tutulumu Komplet AV blok Nörosarkoidoz
o Etanersept 25 mg/haftada iki veya 50 mg/hafta SC n n o Adalimumab 40 mg/2 haftada bir SC n o Özellikle cilt ve eklem tutulumunda Dirençli artritte intraartiküler Dirençli pulmoner ve cilt tutulumunda Rituksimab n n Akciğer, lenfatik, eklem tutulumu 1 g infüzyon 2 hafta arayla
Kaynaklar o o o o Linden SVD, Heijde DVD, Braun J. Sarcoidosis. In: Harris ED, JR. Kelley´s text book of Rheumatology. 2008 Merck Manuel. Eighteenth edition 2006 Shakoory B, Chatham W. Recognizing and managing the musculoskeletal manifestations of sarcoidosis. The Journal of Musculoskeletal Medicine. 2008; 25: 12; 1 -8 Judson M. Sarcoidosis: Clinical Presentation, Diagnosis, and Approach to Treatment. Am J Med Sci 2008; 335(1): 26– 33. Torralba K. D, Quismorio F. P. Sarcoidosis and the rheumatologist. Curr Opin Rheumatol 2009; 21: 62– 70 Callejas-Rubio et al. Tumor necrosis factor-alpha inhibitor treatment for sarcoidosis. Therapeutics and Clinical Risk Management 2008: 4(6) 1305– 1313 Moore S, L, Teirstein A, E. Musculoskeletal Sarcoidosis: Spectrum of Appearancesat MR Imaging. 2003; 23: 1389– 1399