Neuroeconomics Individual Differences Daniel Houser Professor of Economics








![Game Theory Prediction 1 [10, 10] 2 [15, 25] [ 0, 40] Game Theory Prediction 1 [10, 10] 2 [15, 25] [ 0, 40]](https://slidetodoc.com/presentation_image_h2/08fb0e84fd408f99c3308a1ab4ef569c/image-9.jpg)





![Dyadic M-Representations Support Non-Cooperation Dyadic Agent – Attitude – Proposition 1 [10, 10] [15, Dyadic M-Representations Support Non-Cooperation Dyadic Agent – Attitude – Proposition 1 [10, 10] [15,](https://slidetodoc.com/presentation_image_h2/08fb0e84fd408f99c3308a1ab4ef569c/image-15.jpg)
![Triadic M-Representations Support Non-Cooperation 1 [10, 10] [15, 25] Triadic Agent – Attitude – Triadic M-Representations Support Non-Cooperation 1 [10, 10] [15, 25] Triadic Agent – Attitude –](https://slidetodoc.com/presentation_image_h2/08fb0e84fd408f99c3308a1ab4ef569c/image-16.jpg)


![1 [] 10 10 Game Forms Used in the Scanner 1 2 2 [ 1 [] 10 10 Game Forms Used in the Scanner 1 2 2 [](https://slidetodoc.com/presentation_image_h2/08fb0e84fd408f99c3308a1ab4ef569c/image-19.jpg)













- Slides: 32
Neuroeconomics & Individual Differences Daniel Houser Professor of Economics Director, Interdisciplinary Center for Economics Science George Mason University, Fairfax, VA
How Information Enters Events Objectives Plans Choices Outcomes Value Beliefs Internal States Sensory Data Feedback about the value of our choices can also change internal states leading to a change in objective.
Exchange Between A and B Gt A sends B something of value. What does B give back? A B Personal Exchange
Exchange Between A and B Gt A sends B something of value. What does B give back? promise A B Personal Exchange A promise.
Exchange Between A and B Gt promise When B returns the favor. What does A give back? A B Ht+1 Personal Exchange
Exchange Between A and B Gt promise When B returns the favor. What does A give back? A good will Ht+1 Personal Exchange B Good will.
Exchange Between A and B Gt So why does A trust B? Because good will increases trading opportunities in the future. promise A good will Ht+1 Personal Exchange B
Kevin Mc. Cabe and Vernon Smith, "A Two Person Trust Game Played by Naïve and Sophisticated Subjects, " Proceedings of the National Academy of Sciences, (97)7, 2000, pp. 3777 -3781. Trust Game 1 [10, 10] 2 [15, 25] [ 0, 40]
Game Theory Prediction 1 [10, 10] 2 [15, 25] [ 0, 40]
Undergraduates Playing Once N = 24 (U of A Undergraduates) 12/24 1 50% [10, 10] 9/12 [15, 25] 2 25% [ 0, 40]
Graduate Students Playing Twice With the Same Partner N = 28 (Econ. Summer Work Shop) 7/28 14/28 1 Period 2 75% 50% [10, 10] 2 16/21 9/14 24% 36% [15, 25] [ 0, 40]
Theory of Mind Mechanism Simon Baron-Cohen Modules ID EDD SAM To. M
Theory of Mind Mechanism Simon Baron-Cohen Modules ID Mental Representations EDD SAM To. M Dyadic Agent – Attitude – Proposition
Theory of Mind Mechanism Simon Baron-Cohen Modules ID Mental Representations EDD SAM To. M Dyadic Agent – Attitude – Proposition Triadic Agent – Attitude – (Self – Attitude –Proposition)
Dyadic M-Representations Support Non-Cooperation Dyadic Agent – Attitude – Proposition 1 [10, 10] [15, 25] 2 DM 1: DM 2 prefers more money to less. [ 0, 40]
Triadic M-Representations Support Non-Cooperation 1 [10, 10] [15, 25] Triadic Agent – Attitude – (Self – Attitude –Proposition) 2 DM 1: DM 2 sees that DM 1 is trying to achieve mutual gains. [ 0, 40]
Kevin Mc. Cabe, Daniel Houser, Lee Ryan, Vernon Smith, and Theodore Trouard, “A Functional Imaging Study of Cooperation in Two-Person Reciprocal Exchange, ” Proceedings of the National Academy of Sciences, (98)2001, pp. 11832 -11835.
Hypothesis Solving the problem of exchange involves being able to delay gratification in order to reciprocate. How is this done? Metcalfe and Mischel, Psychological Review (1999), outline a hot/cool framework where the hot system is under stimulus control and yields to immediate temptations. The cool system is cognitive and allows for the intervention of control strategies for delay of gratification. Hypothesis: Theory-of-mind allows subjects to form joint intentions over mutually advantageous rewards and thus serves as part of a cool system response to allow reciprocity.
1 [] 10 10 Game Forms Used in the Scanner 1 2 2 [ ] [] [] [ ] [] 15 25 105 0 40 (a) Trust Game [] 2 [] [] 105 0 0 (b) Punishment Game 1 75 30 180 30 30 75 (c) Diagram of Mutual Advantage Game
Experimental Design Decision Making Role: 1 = DM 1, 2 = DM 2. Counterpart: H = Human, C = Computer Conditions 1 H 2 H 1 C 2 C 1 C Choose Strategy 75% Left 100% Right 100% Left Trust 1 4 7 9 11 12 Games Punish 2 5 8 10 M-A 3 6 Games and conditions presented in random order.
Functional MRI signal Local neuronal activity Increased local metabolic rate Increased blood flow Increased oxygenated hemoglobin Uptake of O 2 less than supply Surplus oxygenated hemoglobin Decreased concentrations of deoxyhemoglobin Increased local f. MRI T 2* signal
Motor strip activation for button press responses under two decision conditions.
f. MRI Protocol • Spiral Shot • TR = 1. 5 • 15 Axial Slices 6 mm skip 0; aligned on the AC-PC line • 6 scan sessions (10, 8, 6, 6 minutes long) • Subject display on Goggles: See Example Below • Subject input from Button Press (Left) (Right) 1 2 [15, 15] [60, 75] [0, 135]
Time Line of Stimulus and Response Conditions for a Single Game for Decision Maker II (a) (b)
COMPUTER
HUMAN
HUMAN > COMPUTER
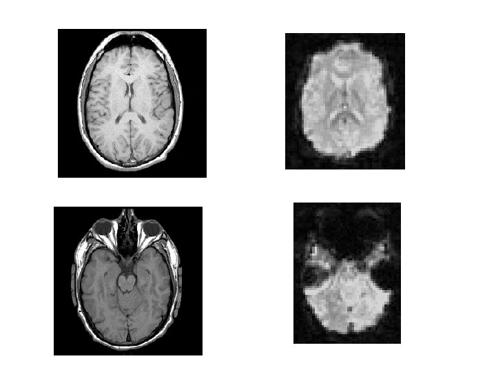
Figure 2 Bold response of cooperator for the contrast H)uman > C)omputer. Subject 19 H C P = 0. 0 Score = 12
Significant H > C Activations by Score 18 16 15 12 8 8 7 5 5 3 2 0
2 Aggregate conjunction analysis for seven cooperators with scores greater than 6. 1. 2. 3. 4. 5. Occipital lobe Parietal lobe Thalamus BA 8 BA 10 4 1 3 5