Medical Technology Medical imaging is used to produce


























- Slides: 26
Medical Technology
Medical imaging is used to produce images of organs and tissues within the body for use in diagnosis and treatment. It is a type of diagnostic testing. Different types of medical imaging are used for seeing different things within the body.
History • Over the years the types of diagnostic imaging techniques have advanced. • The newer techniques are less invasive and reduce the patients exposure to radiation.
A Look at History: Shoe Fitting X-ray Device • Shoe fitting x-ray machines were common in department stores in the late 1940’s and early 1950’s. • The purpose of the machine was to produce an image of how your shoe fit. • By the 1970 s, the radiation hazard of the shoe fitting x-ray was realized, eliminating its use as a shoe fitting device.
The Shoe Fitting X-ray Device Randy Glance, CTAE Resource Network
The Discovery of X-ray • • Wilhelm Conrad Roentgen detected electromagnetic radiation in a wavelength and produced a picture of his wife’s hand; known today as the x-ray. Roentgen originally named his discovery the xray because it was an unknown type of radiation and this name has stuck. The photo of his wife, Anna Berthe, was the first x-ray and was taken on December 22, 1895. For his discovery, Roentgen was awarded the Noble Peace Prize in 1901.
X-ray • Most common medical imaging. • Uses high energy radiation that penetrates through skin and tissue but not through bones. This produces a radiograph (x-ray image). • Areas like bone that absorb more radiation appear whiter while areas that the radiation passes through appear dark. • Radiographs can be used to look for broken bones or even cancer. • Radiologists are doctors that use radiographs to look for abnormalities so they can be diagnosed and treated.
X-ray image of a broken collarbone
fluoroscopy • Technique using a continuous beam of x-rays to show the movement of organs like the stomach or intestines. • Patients usually have to ingest a contrast liquid to help the doctor see clearly (barium or iodide). • Used to study blood vessels of the heart and brain. These images are called angriograms. A dye can be injected into an artery in the groin, allowing doctors to see blood flow in the arteries and blood vessels. Can help prevent strokes or heart attacks.
Angiogram showing blood vessels of the heart
radiotherapy Radiotherapy is the use of x-rays to treat cancer. • X-rays damage the DNA of the cancer cells, either killing them or preventing them from multiplying. • Beams of x-rays are directed at the tumour so as not to damage the surrounding healthy tissue. • This is often combined with other treatments such as surgery and chemotherapy (medicine).
ultrasound • Use of high frequency sound waves to produce images of tissues and organs (soft tissues). • A transducer is placed on the skin and produces soundwaves that enter the body and are reflected back. • This reflection creates and image. • It is not used for bones because the sound cannot penetrated bones and not used for the intestinal tract because air bubbles can distort the image. • Ultrasounds are commonly used during pregnancy to study the developing fetus.
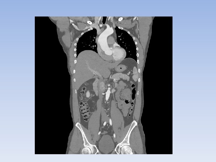
Computer Tomography (CT) Scans • Also known as computer assisted tomography scans (CAT scans). • Uses x-ray equipment to produce 3 D images by taking a series of pictures from different angles. • It is used for diagnosing cancer, skeletal abnormalities, and vascular diseases. • Can be used for imaging bone, soft tissues and blood vessels at the same time. • Used in ERs because it is quick and provides detailed information.
Nuclear technology • Uses radioisotopes (radioactive isotopes) to provide images of how tissues and organs function. • The radioisotope produces radiation and is attached to a chemical that is absorbed by the body. • As the radioisotope emits radiation, a special camera and computer detect it and produce and image. • Used to diagnose cancer, investigate blood circulation and evaluate organ disorders. • Also used for treating some cancers like prostate, thyroid or breast cancer.
Positron Emission Tomography • Nuclear medicine that uses radioisotopes that emit particles called positrons. • Usually used to detect cancer in tissues, heart disease and some brain disorders such as Alzheimer’s disease.
Biophotonics • Light is shone on cells and tissues. The light is scattered by the molecules of the cells and a special device is used to record these scatter patterns. • This produces an image. • Doctors can things like endoscopes to examine deep inside the body. An endoscope is a thin tube with a bright light and a camera.