HIP AND THIGH Common Injuries STRAINS Quad Hip



































- Slides: 35
HIP AND THIGH Common Injuries
STRAINS Quad, Hip Flexor, and groin strains commonly occur from explosive movement c/o “popping” or “pulling” feeling. Typically athlete can not continue activity. � Strains that RTP too soon, or are left untreated with RTP can result in avulsion fx
Signs and Symptoms � Pain, � swelling, � decreased ROM secondary to pain Treatment � Rest, � ice, � ROM activities, � electrical stimulation for tissue regeneration, � Progressive Resistive Strength Training
CONTUSIONS Quadriceps Contusion � Results from a traumatic or repetitive impact to a relaxed quad muscle, compressing the muscle against the femur
Quadriceps Contusion Cont’d Signs and Symptoms – � � � Pain, temporary loss of function, capillary bleeding, swelling, pain to the touch Treatment – Immediately placed in flexion to stretch the muscle (to prevent shortening), with ice pack to minimize swelling/bleeding and moderate pain. RICE and NSAIDs prescribed as needed � ROM (mild stretching), � WBAT, � PRE within pain free ROM � Heat, aggressive massage, and ultrasound are all contraindicated
Hip Pointer – � Occurs from a blow to an inadequately protected hip (iliac crest and abdominal musculature) � Considered one of the most debilitating and hard to manage injuries in contact sports.
Hip pointer cont’d Signs and Symptoms – Immediate pain, � spasms, � temporary paralysis of muscles. � As a result, Ath is unable to rotate trunk, or flex the thigh without pain. Treatment – RICE � Ice cup massage � Initially, steroid injection to manage pain, followed by oral NSAIDs � Recovery 1 to 3 wks MOI is same as Iliac crest fx (later section), Ath must be seen for Xray to RO
MYOSITIS OSSIFICANS Occurs from a severe blow or repeated blows to quadriceps muscle. � Failure to control initial bleeding from quad contusion, or tx that it too aggressive can produce calcification in the muscle. Signs and Symptoms – � Pain, weakness, soreness, swelling, decreased ROM Treatment – � Sx excision 1 yr post injury.
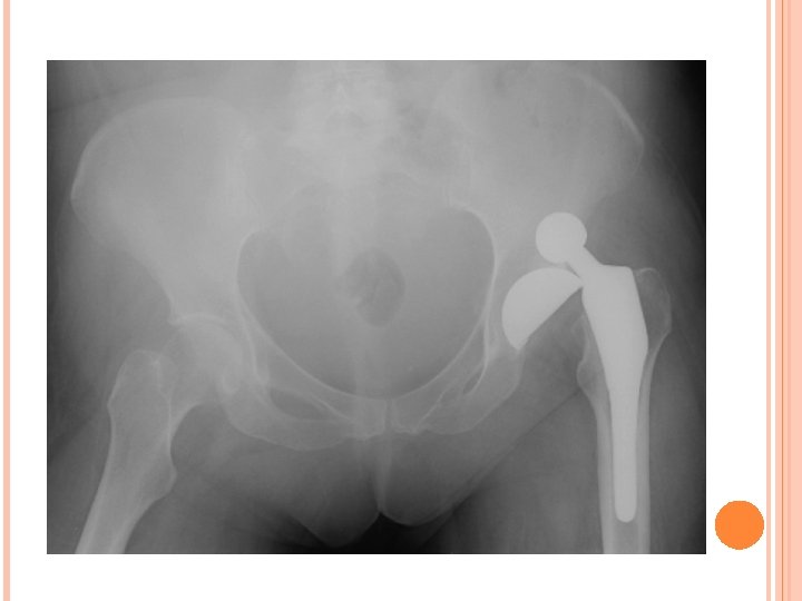
FEMORAL FRACTURE Acute – � Occurs in middle aged athletes, and elderly patients. Osteoporosis is a pre-disposing condition High incident of Avascular Necrosis in adolescent patients due to skeletal immaturity and inadequate blood supply � Fx w/o obvious deformity: c/o pain, no ROM, inability to WB. Ath is muscle-gaurding and resists any attempts to be moved. Hip is often EXTERNALLY rotated and slight adducted. Shortening of the limb is sometimes evident.
FEMORAL FX http: //www. youtube. com/watch? v=r. O_n. Sj. F_Jl 0
FEM FX CONT’D
FEM FX CON’T Treatment – � Immobilized and transported for immediate medical care. Physician will either do a close reduction, or open reduction, depending on placement of fracture and number of fracture sites. ORIF (open Reduction Internal Fixation) requires pins and rods � Following surgery, ath will be immobilized in hinge brace and will require PT. Rehabilitation typically takes 4 months
ORIF – OPEN REDUCTION INTERNAL FIXATION
FEM FX CON’T Stress fracture � Fairly uncommon, occurring most often in endurance athletes, and are more common in FEMALE athletes (MOI Overuse) Signs and symptoms – � Pain in groin or anterior thigh, pain increasing during activity; pain may be referred to knee. Positive Trendelenburg’s sign. Early x rays may not show fracture. Treatment – � Complete rest with calcium and Vitamin D supplementation. Untreated stress fx can result in displaced femoral fx, then requiring sx
LEG LENGTH DISCREPANCY Simply put: one leg is shorter than the other � In non-active individuals, a LLD of 1” will produce symptoms. In highly-active individuals, an LLD of 1/8” will produce symptoms. 3 types: � True (Anatomical) � Apparent � Functional
LLD CONT’D True: Either Femur or Tibia is shorter when compared bilaterally. In some cases BOTH Femur and Tibia are shorter. � To Measure: Ath is supine, measurements taken from medial malleoli to ASIS Apparent: Not a true LLD. Bone length is the same when measured. Apparent shortening is caused by pelvic rotation. Can be fixed/treated. Functional: Deformity in bone causes LLD, such as Genu Valgum/Genu Varum (bow-legged, Pigeontoed). Can not be fixed. Measurements taken from medial malleoli to umbilicus
Left: Genu Valgum (Knock-kneed) Bottom: Genu Varum (bow-legged)
TROCHANTERIC BURSITIS Inflammation of the bursae caused by friction from the muscle or tendons surrounding the area. Signs and Symptoms: c/o P in lateral hip which may radiate down to knee. TTP over greater trochanter. AT must r/o ITB tightness Treatment: RICE, NSAIDS, ROM, and PRE. Avoid running on inclined surfaces. LLD and female athletes w/ increased Q-angle are more at risk
HIP DISLOCATION https: //www. youtube. com/watch? v=v. XLLd. U 8 -j. O 8 MOI: Traumatic force along axis of femur when knee is flexed. � Can displace anteriorly or posteriorly. Posterior dislocation are more common. � Posterior dislocations cause femoral shaft to adduct and flex
HIP DISLOC CONT’D Signs and Symptoms: � Presents with a flexed, adducted, and internally rotated femur, extreme pain and no ROM available Treatment: � Immediately reduce by medical professional. Immobilize and rest for 2 weeks. Use of crutches for ambulation approx 4 weeks Complications: � Serious tearing to capsular ligaments, fracture to femur (head or neck) Sciatic Nerve damage, later development of osteoarthritis, avascular necrosis of femoral head due to interrupted blood supply
HIP REDUCTION http: //www. youtube. com/watch? v=s. GQZaq. B 48 rw
HIP DISLOCATION OVERVIEW https: //www. youtube. com/watch? v=m. AL-Szu 7 q. Ac
HIP LABRAL TEAR MOI: � Commonly from overuse – running and cutting; can occur acutely from hip dislocation
HIP LABRAL TEAR CONT’D Signs and Symptoms � Most often asymptomatic. Occasionally: catching, locking, or clicking, pain in the hip or groin, and feeling stiff or having decreased ROM Treatment: � Hips strengthening and proprioception, avoiding movements that cause pain, NSAIDs, injections of corticosteriod. If pain persists longer than 4 weeks, sx considered to removed or repair
LEGG-CALVE-PERTHES DISEASE Avascular necrosis of the femoral head � Occurs in boys more than girls � Occurs in ages 4 to 10 Etiology not always understood. Trauma only accounts for 25% on cases (femoral fx/hip dislocation) Signs and Symptoms: � Pain in groin, abdomen or knees. Limping is common. Evaluations will only show limited ROM and pain. MRI/Xray needed
LEGG-CALVE-PERTHES DISEASE
LEGG-CALVE-PERTHES DISEASE CONT’D Treatment: � Complete bed rest. If treated in time, femoral head could re-vascularize and re-ossify Complications: � Head of the femur will become ill-shaped and cause osteoarthritis in the future
SLIPPED CAPITAL FEMORAL EPIPHYSIS MOI: idiopathic potentially related to a growth hormone Mostly seen in boys, ages 10 -17 � Tall and thin, or obese � Trauma only account for 25% of cases (femoral fx/hip dislocation) � Signs and Symptoms: � Similar to those of LCP Treatment: Minor slippage: rest and NWB may prevent further slippage � Major displacement: corrective surgery required �
LAST ONE!
SNAPPING HIP SYNDROME ITB moving over the greater trochanter of the femur � Excessive repetitive movements found in athletes such as dancers, gymnasts, hurdlers, and sprinters – creates a muscle imbalance Signs and Symptoms: � Pain, with a visible “clunk” while patient re-enacts motion Treatment: � Decrease inflammation and pain with ice, NSAIDs, stretching and strengtheing
SNAPPING HIP SYNDROME https: //www. youtube. com/watch? v=SUXOqf. T 2 z. C 4