Doc Dr Kadir Gzin Medeniyet niv Gztepe EAH































































- Slides: 63
Doc Dr. Kadir Güzin Medeniyet Üniv. Göztepe EAH, Jinekolojik Onkolojı Bölümü 11 15 Mayıs 2015. Antalya. TJOD
• Over karsinomlarından tüm dünyada her yıl yaklaşık 204 000 kadın etkileniyor. • Over karsinomlarının patogenezi tam olarak anlaşılamadığı için hala en yüksek ölüm oranına sahip jinekolojik malignite • Kadınlarda kansere bağlı ölümlerde over kanseri 5. sırada
NEW CASES vs. MORTALİTY in TURKEY 2002 -2008 -2012
• Over karsinomlarına genellikle ileri evrede tanı konuluyor ve prognozu kötüdür. • Öncül lezyonları saptanması için efektif tarama testi bulunmuyor. • Over karsinomlarının köken aldığı hücre tipi uzun süredir tartışmalı.
Bugüne kadar kabul edilen karsinogenezis Over yüzey epiteli İnklüzyon Kistleri İnklüzyon kistlerinde oluşan metaplazi Over yüzey epitelinde oluşan displastik değişiklikler? ? ? • Ancak bu varsayımı destekleyen yüzey epitelindeki öncül lezyonlar saptanamamış. • •
• Son yıllarda moleküler biyolojideki ilerlemeler ile saptanan genetik veriler, • Klinikopatolojik bulguların da desteklemesi ile, • Over karsinogenezisinde yeni bir model • Over yüzey epitel karsinomlarının sınıflamasında da yeni bir sistem öneriliyor.
OVER TUBA
• Spesifik histolojik tip over karsinomlarında belli değişiklikler olması • Seröz ve endometrioid karsinomların yüksek ve düşük derecelilerinde farklı değişiklikler bulunması • Belli histolojik tip karsinomlar ile bunların öncül lezyonlarında benzer genetik değişiklikler saptanması
OVER KANSERİ Ø Epitelyal over tümörleri Ø Germ hücreli tümörler Ø Sex-cord stromal tümörler
Normal dokunun malign dokuya dönüşmesine neden olacak spesifik olaylar yada kesin bir prekürser lezyon tanımlanmamıştır. 1. Sporadik tümörler için ; Tümör supresör genleri (PTEN, p 16, p 53) in aktive eden moleküler olaylar 2. Ya da Onkogenlerin (Her-2, c-myc, K-ras, Akt) aktivasyonu 3. Genetik gecişli kanserlerin küçük bir kısmında ; BRCA 1, BRCA 2 ve diğer genlerde germline mutasyonlar tanımlanmıştır. Fakat tümörleşmeye giden moleküler yol açıklanamamıştır. Epigenetik olayların da kansere dönüşümde katkıda bulunması muhtemeldir.
• İlk çalışmalar Seröz karsinomlarda • BRCA 1/BRCA 2 taşıyıcısı olan kadınların salpingoooferektomi materyalerinin incelenmesinde Piek ve ark. tarafından tuba epitelinde over seröz karsinomuna benzer değişiklikler tanımlanıyor (2001).
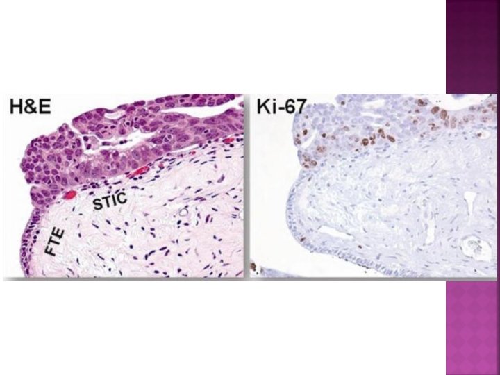
• BRCA 1 mutasyonu taşıyan kadınların tubalarında % 5 -10 oranında“Seröz Tubal Intraepitelyal karsinom” (STIC) saptanıyor. • Bunların % 80’i fimbria yerleşimli • Sporadik over karsinomlarında da % 50 -60 oranında tuba epitelinde “STIC” saptanmış. • Pelvik seröz karsinomlarda tubal mukoza lezyonu % 50’den fazla • Over yüksek dereceli seröz karsinomlar ve STIC lerde benzer p 53 mutasyonu
• Çalışmalarda over yüzey epitelinin mezotel kökenli olduğu ve mezotel hücre belirteçleri (calretinin) ile pozitif • Over inklüzyon kistlerinde ve tuba epitelinde ise müllerian epitel (PAX-8) özelliğinde olduğu gösterilmiş.
Recent epidemiological evidence supports the fallopian tube as the site of origin of pelvic serous cancers (PSC). Crum CP, Drapkin R, Miron A, et al. The distal fallopian tube: a new model for pelvic serous carcinogenesis. Curr Opin Obstet Gynecol. 2007; 19: 3 Y 9. Folkins AK, Jarboe EA, Roh MH, et al. Precursors to pelvic serous carcinoma and their clinical implications. Gynecol Oncol. 2009; 113: 391 Y 396
SERÖZ TÜMÖRLERIN KARSINOGENEZISI
• Tuba epitelinde PAX-8 ile pozitif boyanan sekretuar hücreler ve tubulin ile pozitif boyanan siliyalı hücreler var. • Sekretuar hücrelerin çoğalma yeteneğinde, siliyalı hücreler ise diferansiye hücreler ve G 0/G 1’de. • Sekretuar hücrelerde DNA hasarı erken oluşur, çoğalma olduğundan hasarlanan DNA kümelenmesi oluyor.
H E L S 28 sec etory lee a d Miro er a J Par o 2007 p 73
• Ovulasyon sonrası mikroçevredeki yangısal sinyaller, sitokinler, serbest oksijen radikalleri BRCA-1 mutasyonu taşıyan kadınlarda tuba epitelinde sekretuar hücrelerde DNA hasarının artmasına yolaçtığını savunan araştırmalar var. (Horm Cancer 2010; 1: 277 -90)
The Origin and Pathogenesis of Epithelial Ovarian Cancer- a Proposed Unifying Theory Robert J. Kurman, M. D. and Ie-Ming Shih, M. D. , Ph. D. Departments of Pathology, Gynecology and Obstetrics and Oncology The Johns Hopkins University School of Medicine, Baltimore, Maryland
• Neoplastik olmayan sekretuar hücreler ve seröz karsinomlarda benzer morfolojik ve immunofenotipik özellikler Müllerian belirteç PAX 8 WT 1 ekpresyonu P 53 mutasyonu
• Yüksek dereceli ve düşük dereceli seröz karsinomların histomorfolojik ve moleküler genetik özellikleri farklı • Çalışmalar her ikisinin de öncelikle tuba fimbriası kökenli olduğunu ileri sürüyor • Gelişim yolakları farklı
Seröz tümörlerin karsinogenezisi Düşük dereceli karsinomlar • Papiller tubal hiperplazideki mikro papiller yapıların over yüzeyine ve peritona implantasyonu ile endosalpingiozis odakları geliştiği bildirilmiş.
Seröz tümörlerin karsinogenezisi Düşük dereceli karsinomlar Kurman RJ, Shıh I.
Seröz tümörlerin karsinogenezisi Yüksek dereceli karsinomlar Kuhn E, Kurman RJ, Shıh I.
Seröz tümörlerin karsinogenezisi Yüksek dereceli karsinomlar
> Tuba. JEpi. tk. Ylun LG-SC ---, I I I I Bigb- : roas Cuci. Dmu I I I Gf: . ade I I - - > T-. b: al d) > STIC I Ovarian serous carcinoma: recent concepts on its origin and carcinogenesis Jie u 1 i 1, Oluwole Fadare 31, Li Xiang 1. . 2, Beihua Kong 1 i·and Wenxin Zheng 1. . 2 A. S. & Li er I I I . . . -.
Yüksek dereceli serözkarsinomun öncül lezyonları • P 53 “signature” imzası: - Morfolojik olarak normal en az 12 sekretuar tuba epitel hücresinde yoğun p 53 pozitivitesi - Proliferasyon düşük, MIB< %10 - p 53 “signature” 1/3 kadında bulunuyor.
P 53 “SIGNATURE”
p 53 pozitif sekretuar hücrelerin aşırı büyümesi (SCOUT) veya atipik hiperplazi - p 53 pozitif olgularda proliferasyon - MIB % 40 -75 - DNA hasarı
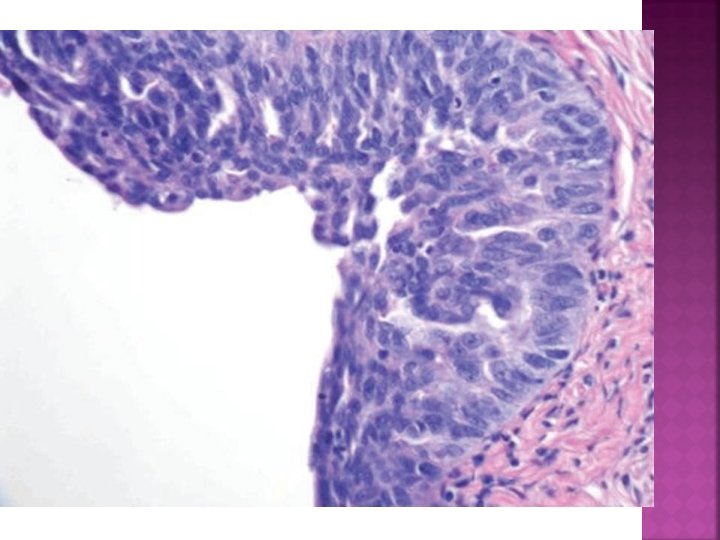
• Epitelde stratifikasyon • Nükleer atipi • Nükleus/sitoplazma büyür • Nükleer polarite kaybı • Siliyalı hücrelerde kayıp
Over kanserlerinin etio-patogenezinde Tubal. /Ovarian orijinmi? . 1 L.
Endometrioid ve Berrak Hücreli Karsinomlar • Her iki karsinomda endometriozis ile bağlantılı • Endometriozis ters akımla endometriumdan kaynaklanıyor. • Düşük dereceli endometrioid, berrak hücreli karsinom ve müsinöz karsinomların (endoservikal borderline kökenliler) öncül lezyonu endometriozis
Endometrioid ve Berrak Hücreli Karsinomlar Kurman RJ, Shıh I.
o/ Grmrol 01: ical Putholoxy ll: 4 -l I. Lippincx>n William • & Wilkins, !laltimorc 2010 lnttmational Society of Gynecological Pathologist< /n 1 erno 11 onol Jwmol Original Article The Fallopian Tube-Peritoneal Junction: A Potential Site of Carcinogenesis Jeffrey D. Seid 1 nan, M. D. , Anna Yeinelya nova , M. D. , Richard J. Zaino, M. o. , and Robert J. Kurma n, M. D. Junction Peritoneum
Son klinikopatolojik ve moleküler çalışmalar Tip II olarak sınıflandırıyor.
• Genellikle tek overde sınırlı, düşük evreli • Over karsinomlarının % 25’i • Yavaş büyüyen, öncül lezyonlardan aşamalı gelişen • Prognozları daha iyi, kansere bağlı ölüm % 10 • KRAS, BRAF, CTNNB 1, ARID 1 A, PIK 3 CA, PTEN mutasyonları sık • Ki 67 LI % 15
Tip II Karsinomlar • • Yüksek dereceli karsinomlar Over karsinomlarının % 75’i Hızlı ilerliyor, tanı konduğunda genellikle ileri evre Prognozları kötü, over kanserine bağlı ölüm % 90 BRCA 1, BRCA 2, TP 53 mutasyonu sık HER 2 % 20 -67 Ki 67 LI % 20 -67
Human PATHOLOG Y www. clsc • icr. ocm'loca. , lhumpmh Progress in pathology Molecu lar path ogenesis and extraova rian origin of epithelial ova ria n cancer-Shifting the pa radigm Robert J. Kurman MD* le-Ming Shih MD, Ph. D KRAS lutatioo Type II
Yeni verilere göre over karsinomlarının görülme sıklığı • • • Seröz karsinom Endometrioid karsinom Berrak hücreli karsinom Müsinöz karsinom Mikst Transisyonel karsinom % 68 -71 % 9 -11 % 12 -13 %3 %6 %1
Over ca ın %85 -90 ı sporadikdir %10 -15 i genetik sebeplerden meydana gelir. Meme- over kanseri sendromu bu sebeplerden biridir ve hastaların çoğunda BRCA 1 ve BRCA 2 gen mutasyonu vardır. BRCA 1 germ line mutasyonu ile yaşam boyu %3545 over kanserine , BRCA’ 2 mutasyonunda %15 -24 yakalanma ihtimali vardır. ABD de yaklaşık 800 kadında birinde BRCA mutasyonu görülmektedir.
Ailesel over kanseri gelişme riski, BRCA mutasyonlu kişilerde %2 -6 dan %25 -50 ye çıkıyor. Profilaktik BSO BRCA taşıyıcılarda %80 -90 over ca riskini azaltıyor 60 y sonra kazanç azalıyor) Çoğu kişi çocuk doğurma tamamlandıktan yada 35 ( bazı yayınlar 40 y)doldurduktan sonra yapılmasını önerir. Alternatif olarak yüksek potent P 4 oks kullanımı da over ca riski belirgin şekilde azalmıştır.
BRCA 1 ve BRCA 2 mutasyonu olan kadınların fallop tüpü kanserine yakalanma ihtimali belirgin olarak daha fazladır, buna bağlı olarak profilaktik ooferektomi yapılan kadınların fallop tüpleride tamamen rezeke edilmelidir.
Prophylactic salpingo‐oophorectomy in 51 women with familial breast–ovarian cancer: importance of fallopian tube dysplasia LEUNEN, K. ; LEGIUS, E. ; MOERMAN, P. ; AMANT, F. ; NEVEN, P. ; VERGOTE, I. International Journal of Gynecological Cancer. 16(1): 183 -188, January/February 2006. doi: Table 1. Distribution of variables in a series of 51 p. BSO Copyright © 2014 International Journal of Gynecological Cancer. Published by Lippincott Williams & Wilkins. 49
Effectiveness of Risk‐Reducing Salpingo‐Oophorectomy in Preventing Ovarian Cancer in a High‐Risk French Canadian Population Bacha, Omar Moreira; Gregoire, Jean; Grondin, Katherine; Edelweiss, Maria Isabel; Laframboise, Rachel; Simard, Jacques; Plante, Marie International Journal of Gynecological Cancer. 22(6): 974 -978, July 2012. doi: 10. 1097/IGC. 0 b 013 e 318257 b 936 TABLE 2 Genetic testing Copyright © 2014 International Journal of Gynecological Cancer. Published by Lippincott Williams & Wilkins. 50
Crum et al provided a sentinel hypothesis that a significantsubset of high-grade serous ovarian carcinomas arise in the distal fallopian tube, coining this carcinogenic process as tubal intraepithelial carcinoma or TIC Crum CP, Drapkin R, Miron A, et al. The distal fallopian tube: a new model for pelvic serous carcinogenesis. Curr Opin Obstet Gynecol. 2007; 19: 3 Y 9.
BRCA 1 and BRCA 2 mutations and demonstrated that RRSO is associated with a 71% to 96% reduction in the risk of developing ovarian and fallopian tube cancers and a decrease in overall mortality. * Recent evidence, however, suggests that the effect of RRSO may not exist for BRCA 2 carriers **. However, a recent meta-analysis confirmed that BRCA positive women who undergo RRSO have an 80% risk reduction for developing gynecologic cancer. *** Most experts agree that RRSO should be offered to BRCA carriers by theage of 40 or after the conclusion of childbearing. 11 ** Finch. JAMA. 2006; 296: 185 Y 192. **Kauff ND. J Clin Oncol. 2008; 26: 1331 Y 1337. ***Rebbeck TR, J Natl Cancer Inst. 2009; 101: 80 Y 87.
• Based on historical data in the BRCA 1 -positive population, in women aged 35 to 50 years, the rate of ovarian cancer without treatment is 22. 7%. * The current treatment (RRSO) has an estimated risk reduction of 97% or a rate of 0. 68%. .
Their hypothesis issupported by a pathologic series of 105 cases of fallopian tube carcinomas in which 92% involved the fimbriae or midportion of the tube. Alvarado-Cabrero I, Young RH, Vamvakas EC, et al. Carcinoma of the fallopian tube: a clinicopathological study of 105 cases with observations on staging and prognostic factors. Gynecol Oncol. 1999; 72: 367 Y 379
Yapılan bu çalışmada: SEROZ OVER EPITELYAL OVER CA VE PRIMER PERITENOEL KARSINOMAYI AZALTMAKTADIR Eksizyonel tubal sterilizasyon teknikleri %64 Tüm tubal sterilizasyon %41 Distal fimbriektomi, total salpenjektomi %78 Bu durum fimbria eksizyonunun, seröz EOC ve PPC da daha fazla azalmış risk ortaya koyabileceğini düşündürmektedir.
ÖZET I Etio-Patogenez Yönünden: 1. Over karsinomları genellikle ileri evrede tanı konulur ve prognozu kötüdür 2. Tm gelişmesinde ; tm süpresör genler(PTEN, p 16, p 53) in aktivasyonu, Onkogenlerin aktivasyonu(Her-2, c-myc, K-ras, ) ve Genetik gecişli kanserlerin bir kısmında BRCA 1 -2 mutasyonları sorumlu tutulmaktadır. 3. Tuba ampulla(Fibria) daki lezyonlar STİL, STİC ve daha sonra overe /peritona tm göcü sonrası geliştiği belirtilmektedir.
Salpenjektominin yararı konusundaki görüşler: Benign nedenlerden dolayı abdominal, vajinal, laparoskopik veya robotik yapılan ve overlerin korunması düşünülen histerektomi ameliyatlarında profilaktik bilateral salpenjektomi yapılmasını önermektedir. Abdominal, laparoskopik veya robotik bilateral tüp ligasyonu planlanan olgularda klasik yöntemlerin yerine bilateral salpenjektomi yada fimbriektomi yapılmasını önermektedir. BRCA 1 veya BRCA 2 taşıyıcılarında, üreme dönemlerini tamamladıktan sonra veya 35 yaşından sonra profilaktik salfingo-ooforektomi düşünülmelidir. Profilaktik salfingo-ooforektomi işlemi sonrası gelişecek cerrahi menopoz ve getireceği riskleri azaltmak için önerilen iki basamaklı tedavi yöntemi (bilateral salpinjektomi ve daha sonra ooforektomi) güvenirliği henüz çalışılmamış olsada hastaya önerilmelidir. Bu hastalarda overlerin ve fallop tüplerinin ve bilhassa fimbriların mikrokesitlerinin incelenmesi şarttır. Salpenjektomi ovarian kanser riskini azaltmak için uygun ve yararlı bir stratejidir Türk Jinekoloji Onkoloji Dernegi ortak görüşü
Referanslar: 1. Kurman RJ, Shih IM. The origin and pathogenesis of epithelial ovarian cancer: a proposed unifying theory. Am J Surg. Pathol 2010; 34: 433 -43. 2. NCCN guidelines: Genetic/Familial High Risk Assessment. Available online, updated 2012. Last accessed 3/2013. 3. Greene MH, Mai PL, Schwartz PE. Does bilateral salpingectomy with ovarian retention warrant consideration as a temporary bridge to riskreducing bilateral oophorectomy in BRCA 1/2 mutation carriers? Am J Obstet Gynecol. 2011 Jan; 204(1): 19. e 1 -6. 4. Eisen A, Lubinski J, Klijn J, Moller P, Lynch HT, Offit K, Weber B, Rebbeck T, Neuhausen SL, Ghadirian P, Foulkes WD, Gershoni-Baruch R, Friedman E, Rennert G, Wagner T, Isaacs C, Kim-Sing C, Ainsworth P, Sun P, Narod SA. Breast cancer risk following bilateral oophorectomy in BRCA 1 and BRCA 2 mutation carriers: an international case-control study. J Clin Oncol. 2005 Oct 20; 23(30): 7491 -6.