PLEVRAL EFFZYON Grntleme yntemleri Akcier grafileri ki ynl







































































- Slides: 71
PLEVRAL EFFÜZYON
Görüntüleme yöntemleri Akciğer grafileri – İki yönlü akciğer grafisi (ayakta) – Yatarak akciğer grafisi – Yan dekübitüs akciğer grafisi Ultrasonografi Bilgisayarlı tomografi Manyetik rezonans görüntüleme
Ayakta PA akciğer grafisi Saptayabilmek için gerekli minimum miktar – 175 m. L Bazen 500 m. L sıvı bile görülemeyebilir Bulgular: – – – Diyaframın yükselmiş gibi görünmesi Kostofrenik sinüsün kapanması Menisküs bulgusu Üst kenarı konkav opasite – Masif effüzyon: Opak hemitoraks Mediastenin karşıya itilmesi – Atelektazi varsa olmayabilir
Normal kostofrenik sinüsler Küntleşmiş sinüs
Plevral effüzyon Üst kenarı konkav opasite Alt zonda, sinüsü kapatan Homojen
Plevral effüzyon miktarı ve PA grafideki görünüm 175 m. L : sinüs küntleşir – Lateral grafide 75 m. L 500 m. L: diyafram konturunu siler 1000 m. L: 4. kosta ön bölümüne yükselir
Yan grafi Görülebilirlik için en az 75 -100 m. L sıvı gerekir Bulgular: – Diyafram yükselmesi – Arka kostofrenik sinüsün homojen opasifikasyonu (üst kenarı konkav) – Diyafram konturunun silinmesi – Masif effüzyon: sadece tek diyaframın görülebilmesi Yan grafide sıvı görülmüyorsa klinik olarak önemli miktarda sıvı yok demektir
Normal Plevral effüzyon
Supin grafi Normal olması effüzyonu ekarte ettirmez Bulgular: – Alt zonlarda opasite artışı – Daha fazla effüzyonda tüm hemitoraksın puslu görünümü – Diyafram konturunun silinmesi – Kostofrenik sinüsün opasifikasyonu – Apikal şapka Pnömoni ve atelektaziden ayrım – Akciğer damarlarının net görülebilmesi – Hava bronkogramının olmayışı
Supin grafi: Yaygın homojen opasite
Yan dekübitus grafisi En hassas projeksiyon 25 ml sıvı görülebilir. Serbest sıvı yan göğüs duvarı ve akciğer arasında birikir – Bant şeklinde opasite 1 cm’den kalın ise torasentez mümkün (en az 200 m. L sıvı var demektir)
Lateral dekübitus grafilerin önemi: Minimal effüzyonu saptamak Serbest effüzyon-loküle effüzyon ayrımı
Atipik effüzyonlar Subpulmonik: genellikle geçirilmiş akciğer hastalığına bağlı, bazen normal akciğerde Fissür içi Loküle: plevral yapışıklıklar sonucu – Genellikle hemotoraks, piyotoraks, tüberküloz plöritisi, şilotoraksa bağlı
Subpulmonik effüzyon Diyaframın yükselmiş gibi görülmesi Diyaframın düzleşmiş gibi görülmesi Diyafram kubbesinin laterale kayması Sol tarafta mide gazıdiyafram mesafesinin artması (> 2 cm) Sağda daha sık
Yükselmiş ve düzleşmiş Normal düzey ve şekil
“Gibraltar Kayası” Avrupa’nın güneybatı ucunda İngiltere-İspanya sınırında büyükçe kaya parçası “Gibraltar Kayası” işareti Diyafram apeksi laterale yer değiştirmiş ve dik bir şekilde aşağı iniyor
Mide gazı – akciğer arası mesafe artmış (> 2 cm)
Fissür içi effüzyon (psödotümör) Minör veya majör fissürde (minör daha sık) Genellikle kalp yetmezliğinde PA: oval-yuvarlak dansite Yan: Lentiform opasite Fissürde devam eden kuyruk
Plevral effüzyonda US Duyarlı: 5 -50 m. L sıvıyı bile saptayabilir Girişimsel işlemlere rehberlik yapabilir – Torasentez – Drenaj – Biyopsi Sıvının eksuda olduğunu anlayabilir – Ekojenik yapılar, septumlar
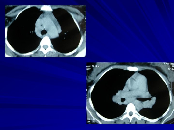
Plevral efüzyonda BT Çok duyarlı: minimal effüzyonlar saptanır Loküle effüzyonların saptanması Effüzyon – konsolidasyon ayrımı Ampiyem – apse ayrımı Nedeni ortaya koyabilir (pnömoni, malignansi, kalp yetmezliği, …) Benign – malign plevral hastalık ayrımı – %70 -80 doğruluk
Plevral asbest plakları Alt zonlarda daha fazla görülür Apeksler ve kostofrenik sinüsler korunur Genellikle iki taraflı Çoğu non-kalsifiye Radyografide eksik kenar bulgusu (incomplete border sign) – İç kenar keskin, dış kenar belirsiz – Çobanpüskülü yaprağı görünümü
Asbest plakları “Çoban püskülü yaprağı” işareti
MEDİASTİNUM
Mediasten kompartmanları Üst mediasten
Mediastinal kitleler Keskin sınırlı, mediasten ile geniş açı yapan, akciğere konveks Mediastinal kitlelerin: – %60 ön – %25’i orta – %15’i arka mediastende
Mediastinal kitle kuşkusunda yanıtlanması gereken sorular Gerçekten mediastende mi? Mediastenin hangi kompartmanında Karakterize edici özelliği var mı? (BT-MR) – Yağ dansitesi – Su dansitesi – Kalsifikasyon – Damarsal bileşen
Mediastende mi, akciğerde mi? Mediastinal kitle Akciğer kitlesi Hava bronkogramı (-) Hava bronkogramı (+/-) Mediasten kenarı ile açı geniş Mediasten kenarı ile açı dar Mediastinal çizgilerde bozulma (+) Mediastinal çizgilerde bozulma (-) Spinal veya sternal anormallik olabilir Spinal veya sternal anormallik beklenmez
Akciğer kitlesi (dar açı) Mediasten kitlesi (geniş açı)
Üst mediastende en sık kitleler Guatr: trakeada itilme Lenfadenopati Anevrizma Kistik higroma
Trakeada itilme sıklıkla tiroid kitlesine bağlıdır
Ön mediasten Önde sternum, arkada perikard ve büyük damarlar Yağ, lenf nodları, lenfatik damarlar, timus, tiroid, paratiroid, internal mamaryan damarlar
Ön mediasten kitleleri En sık: – Lenfoma – Timus kitleleri (> 40 yaş) – Teratom (< 40 yaş) – Tiroid kitleleri Diğerleri: Morgagni hernisi, perikardial kistler, büküntülü damarlar ve anevrizmalar, kalp tümörleri, perikardiyal yağ, kistik higroma, bronkojenik kist, paratiroid adenomu, …
Ön Mediastinal Kitleler Prevasküler Prekardiyak Nadir LAP Epikardiyal yağ yastığı Lenfatik malformasyon Guatr Diyafram hörgücü Hemanjiyom Timik kitle Morgagni hernisi Germ hücreli Perikardiyal kist LAP
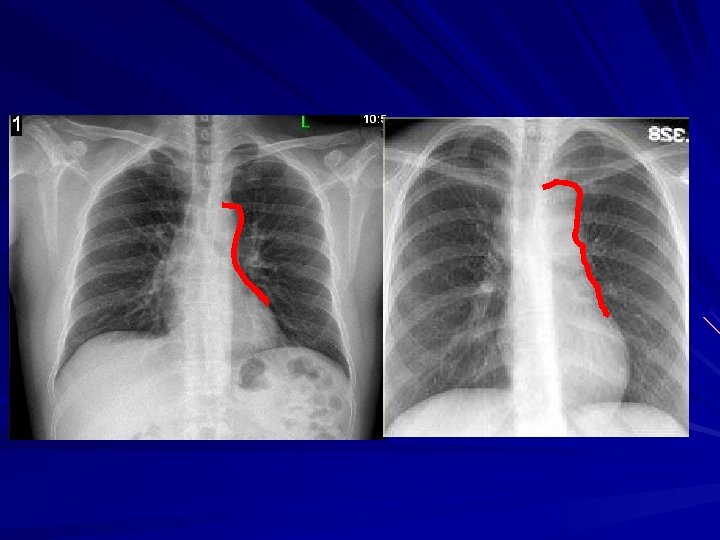
Ön mediastinal kitlelerde radyografik bulgular Ön birleşme çizgisinde (anterior junction line) yer değiştirme Kardiyofrenik açılarda silinme Retrosternal temiz alanın kaybolması “Hilus örtüsü” (hilum overlay) bulgusu Çıkan aortanın dens olması veya silinmesi
Ön birleşme çizgisi
Hilus örtüsü bulgusu (hilum overlay sign) Kitle içinden hiler damarlar görülebiliyorsa kitle hilusun önünde veya arkasındadır Beyaz ok: Hiler damarlar seçilebilitor (kitle hilusta değil) Siyah ok: inen aorta kenarı seçilebiliyor (kitle arka mediastende değil)
Diyaframla temas eden sık ön mediastinal kitleler Epikardiyal yağ yastığı (genellikle düşük dansitede) Morgagni hernisi (gaz varsa, tanısal) Perikardiyal kist Epikardiyal yağ yastığı
Diyaframla temas halindeki ön mediastinal kitlede gaz varlığı Morgagni hernisi için tanısaldır
Retrosternal temiz alanın kaybolması ön mediastinal kitle bulgusudur (ancak şişmanlarda normal olarak görülebilir)
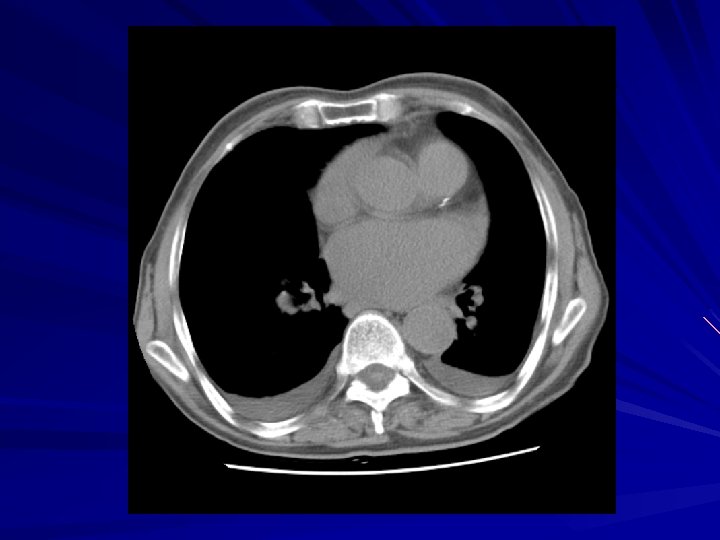
Ön mediasten kitlesi: timoma
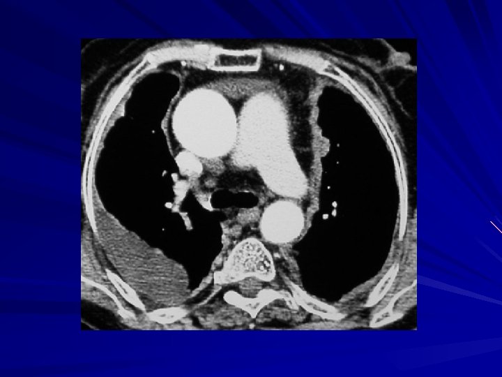
Lenfoma
Germ hücreli tümör
Orta mediasten Sınırlar: önde trakea ön duvarı ve perikard, arkada trakea arka duvarı ve perikard İçerik: kalp ve perikard, çıkan ve arkus aorta, vena kavalar, brakiosefalik damarlar, pulmoner damarlar, trakea ve ana bronşlar, lenf nodları, sinirler (frenik, vagus, rekürren laringeal
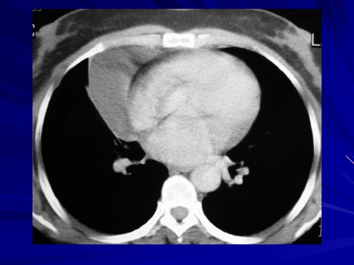
Orta mediasten kitleleri Lenfadenopatiler – Lenfoma – Metastatik lenfadenopatiler – Sarkoidoz – Tüberküloz –… Mediastinal kistler (bronkojenik, özofagus duplikasyon) Anevrizmalar
Orta mediastinal kitlelerde radyografik bulgular PA grafide: – Genişlemiş paratrakeal şerit – Aortopulmoner pencerenin genişlemesi – Azigoözofageal resesin yer değiştirmesi – Psödoparavertebral çizgi Yan grafide: – Trakea arka duvarında kitle – Doughnut (“halka”) bulgusu
Sağ trakeal şerit Normal kalınlık 1 -4 mm ≥ 5 mm: anormal En sık kalınlaşma nedeni: lenfadenopatiler Sağ trakeal şerit Azigos veni
Normal sağ trakeal şerit Geniş sağ trakeal şerit (lenfadenopatiye bağlı)
Aortopulmoner pencere Aort topuzu ile sol pulmoner arter arasında Normalde konkav veya en fazla düz Konveks olması anormal (en sık LAP, nadiren aşırı yağ ve aort anevrizması)
Normal (konkav) aortopulmoner pencere Anormal (konveks) aortopulmoner pencere (lenfadenopatiye bağlı)
Normal aorto-pulmoner pencere Aortopulmoner pencerede ve sağ paratrakeal şeritte genişleme (akciğer kanserinin orta mediastinal lenfadenopatileri)
Azigoözofageal reses Özefagus posterolateral kenarı ile vertebra anterior kenarının bileşkesinde bulunur, subkarinal alana uzanır Azigoözofageal resesin distal bölümünün sağa yer değiştirmesi (hiyatus hernisi olgusu)
Normal posterior trakeal şerit (maksimum kalınlık 5. 5 mm) Akalazyada posterior trakeal şeritin genişlemesi
Pulmoner hipertansiyon Sarkoidozda hiler lenfadenopatiler Saat 9 -3 arası genişleme Halka (doughnut) bulgusu Saat 3 -9 arasında kitle varsa orta mediastinal kitleden şüphelenmek gerekir
Sarkoidoz
Bronkojenik kist
Metastatik lenfadenopatiler
Arka mediasten Sınırlar: önde trakea arka duvarı ve perikard, arkada vertebralar Paraspinal kitleler de arka mediastinal kabul edilir İçerik: Özofagus, inen aorta, azigos/hemiazigos venleri, duktus torasikus, vagus ve splanknik sinirler, lenf nodları, yağ
Arka mediasten kitleleri Nörojenik tm – paraspinal opasite, kemik erozyonu – kalsifikasyon (özellikle nöroblastomlarda) Özofagus lezyonları (hiatus hernisi, akalazya, tümör) Nörenterik kistler Ekstramedüller hematopoez Vertebral lezyonlar İnen aort anevrizmaları
Arka mediastinal kitlelerde radyografik bulgular Servikotorasik işaret Azigoözofageal reseste yer değiştirme Paravertebral çizgilerde genişleme İnen aort kenarında yer değiştirme
Paraspinal çizgiler Sağ ve sol vertebra kenarlarına paralel çizgiler Sol paraspinal çizgi Vertebra kenarı Sağ paraspinal çizgi İnen aort kenarı
İnen aort kenarında konveksite (anevrizmaya bağlı)
Nörojenik tümör Düşük dansiteli Paravertebral
Ekstramedüller hematopoez