PART 2 THE MULTIPLY INJURED PATIENT THE MESSAG

  • Slides: 22
Download presentation
PART 2 THE MULTIPLY INJURED PATIENT

PART 2 THE MULTIPLY INJURED PATIENT

THE MESSAG E DCO - EAC - ETC - WTF Early Skeletal stability =

THE MESSAG E DCO - EAC - ETC - WTF Early Skeletal stability = physiological assistance Biology and biomechanics Soft tissues kill Decision making tools

EVOLUTION OF PHILOSOPHY EARLY TOTAL CARE DAMAGE CONTROL EARLY APPROPRIATE CARE

EVOLUTION OF PHILOSOPHY EARLY TOTAL CARE DAMAGE CONTROL EARLY APPROPRIATE CARE

Terrible triad of death Coagulopath y Death Acidosis Hypothermia

Terrible triad of death Coagulopath y Death Acidosis Hypothermia

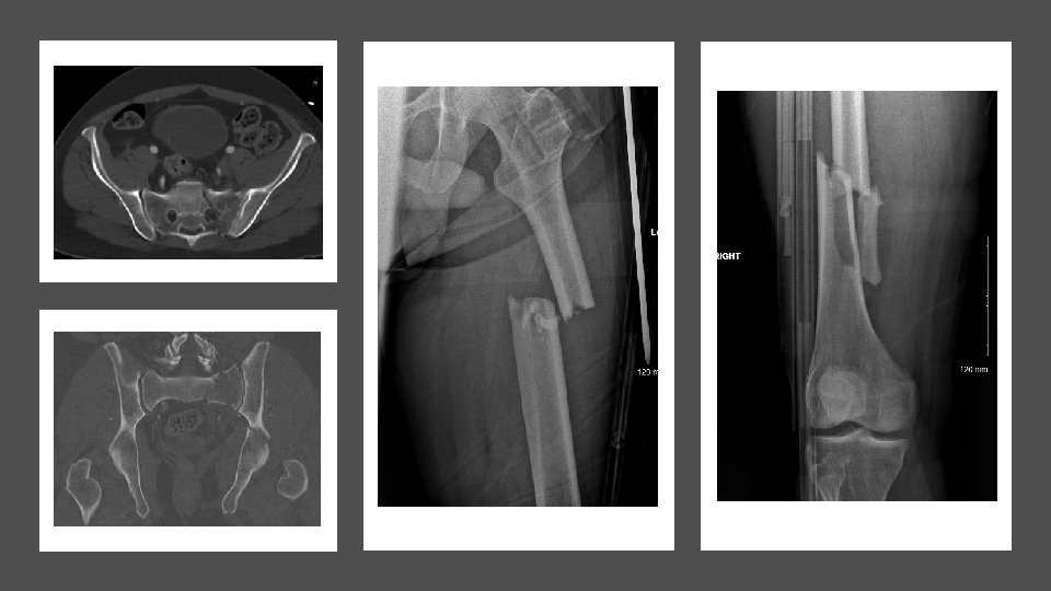
CASE 1: Cyclist runover by cement truck HR 128 BP Unrecordabl e p. H

CASE 1: Cyclist runover by cement truck HR 128 BP Unrecordabl e p. H 6. 759 Lac 9. 4 Sats 60%

KEY MESSAG E CASE 1 1 Right turn resus 2 3 Damage control orthopaedic

KEY MESSAG E CASE 1 1 Right turn resus 2 3 Damage control orthopaedic s Pelvic infected soft tissues can kill

CASE 2: EARLY APPROPRIATE CARE SKELETAL PHYSIOLOGICAL ASSISTANCE • SKELETAL PHYSIOLOGICAL ASSISTANCE

CASE 2: EARLY APPROPRIATE CARE SKELETAL PHYSIOLOGICAL ASSISTANCE • SKELETAL PHYSIOLOGICAL ASSISTANCE

Minimally invasive techniques KEY MESSAG E CASE 2 Beware the multiple long bone patient

Minimally invasive techniques KEY MESSAG E CASE 2 Beware the multiple long bone patient Regular reassessment through the case Keep the surgical hit to a minimum

 • ADEQUATE RESUSCITATION • DCO - PATIENT IN EXTREMIS • EAC - MINIMIZE

• ADEQUATE RESUSCITATION • DCO - PATIENT IN EXTREMIS • EAC - MINIMIZE THE INSULT THROUGH TECHNIQUE • LIVE TO FIGHT ANOTHER DAY • RESPECT THE BIOLOGY • REGULAR

MAINTAIN CAUTION Inadequate resuscitation Coagulopathy TBI ALI 2 or more long bone fractures –

MAINTAIN CAUTION Inadequate resuscitation Coagulopathy TBI ALI 2 or more long bone fractures – Fat Emboli Syndrome

 • THE ISSUE WITH SUSTAINED PERMISSIVE HYPOTENSION – COMPLEMENT CASCADE DISCUSSIO N •

• THE ISSUE WITH SUSTAINED PERMISSIVE HYPOTENSION – COMPLEMENT CASCADE DISCUSSIO N • RESUSCITATION CHANGES • BIOMARKERS PREDICTIVE BUT ARE THEY USEFUL • NUTRITIONAL SUPPORT ANTI-INFLAMMATORY DIETS FOR PICS