Long CTO Case Treated with Gaia Wire Showa

  • Slides: 26
Download presentation
Long CTO Case Treated with Gaia Wire Showa University Fujigaoka Hospital Kohei Wakabayashi

Long CTO Case Treated with Gaia Wire Showa University Fujigaoka Hospital Kohei Wakabayashi

Kohei Wakabayashi, MD, Ph. D I/we have no real or apparent conflicts of interest

Kohei Wakabayashi, MD, Ph. D I/we have no real or apparent conflicts of interest to report.

Gaia Wire specification/structure/performance Total Length 1900 mm Slip Coating Length 400 mm Coil Length

Gaia Wire specification/structure/performance Total Length 1900 mm Slip Coating Length 400 mm Coil Length 150 mm 0. 014 inch First: 0. 010 inch Second: 0. 011 inch Two types of wire Gaia First Diameter : 0. 010 - 0. 014” Tip load : 1. 5 gf Gaia Second Diameter : 0. 011 - 0. 014” Tip load : 3. 5 gf PTFE

Gaia Wire specification/structure/performance 4 straight tapered Gaia First 15 mm 30 mm Gaia Second

Gaia Wire specification/structure/performance 4 straight tapered Gaia First 15 mm 30 mm Gaia Second 6 mm 30 mm

61 yrs, Male # Congestive Heart Failure # Stroke # Dyslipidemia # Chronic obstructive

61 yrs, Male # Congestive Heart Failure # Stroke # Dyslipidemia # Chronic obstructive pulmonary disease (former smoker 20 x 30 yrs) The patient had dyspnea on effort from Sep, 2012. He was admitted because of stroke 6 th, Oct. He also had congestive heart failure.

UCG (10/10/2012) LVEF 36%, LVDD 64 mm diffuse hypokinesis inferior akinesis BNP 2220 pg/ml

UCG (10/10/2012) LVEF 36%, LVDD 64 mm diffuse hypokinesis inferior akinesis BNP 2220 pg/ml CTCA showed

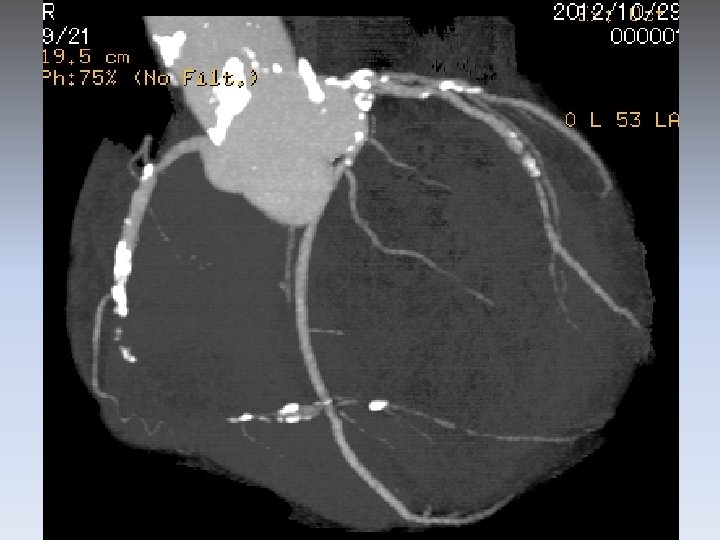
RCA #2 long CTO LAD #6 90% LCX #13 90%

RCA #2 long CTO LAD #6 90% LCX #13 90%

PCI for long CTO CABG

PCI for long CTO CABG

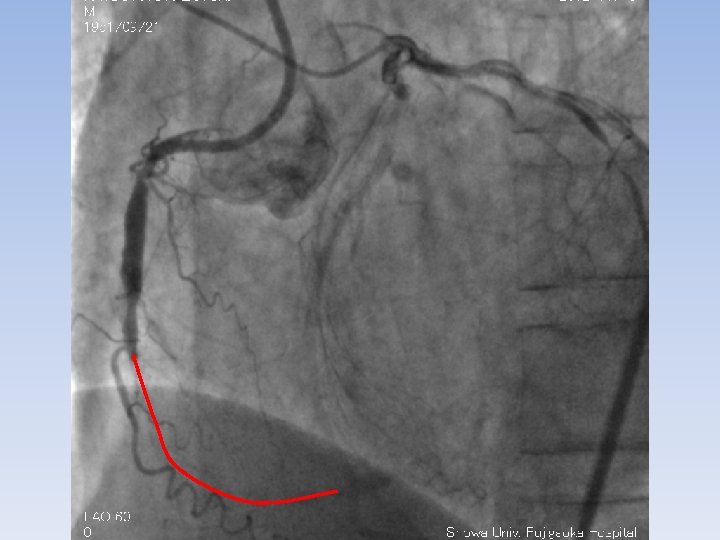
XT-R Gaia-First Gaia-Second with Corsair

XT-R Gaia-First Gaia-Second with Corsair

another day LAD and LCX were treated with DES. 4 months later UCG LVEF

another day LAD and LCX were treated with DES. 4 months later UCG LVEF 47% improved inferior asynergy BNP < 400 pg/ml

Conventional CTO wires Soft wire : to find micro channel and cross Hard wire

Conventional CTO wires Soft wire : to find micro channel and cross Hard wire : to cross calcified lesion When the lesion was not straight, it was difficult to change the direction.

Confianza Straight ○ Curved or winding X

Confianza Straight ○ Curved or winding X

But Gaia

But Gaia

Torque force GW Test Method

Torque force GW Test Method

Initial torque response / 180° GW R=3 mm CCW

Initial torque response / 180° GW R=3 mm CCW

Tip Structure of Gaia wire  Composite core : double coil structure Composite core Round

Tip Structure of Gaia wire  Composite core : double coil structure Composite core Round core design close to tip suppresses whip. Gaia First Gaia Second Ropecoil

Micro cone-tip Gaia micro-cone tip To keep flexibility of tip and penetration force 0.

Micro cone-tip Gaia micro-cone tip To keep flexibility of tip and penetration force 0. 010” / 0. 011” Gaia micro-cone tip Conventional wire tip

Rotation correct route Rotation Different technique to cross CTO lesion Easy to change the

Rotation correct route Rotation Different technique to cross CTO lesion Easy to change the direction and cross

Conclusion Gaia, new generation wire, may revolute CTO treatment.

Conclusion Gaia, new generation wire, may revolute CTO treatment.